Skip to main content

Measurement of lateral plateau depression and lateral plateau widening in a Schatzker type II fracture can predict a lateral meniscal injury

Abstract

Purpose

The purpose of this study is to determine the plain radiographic signs that can be indicative of meniscal injuries in Schatzker type II tibial plateau fractures.

Methods

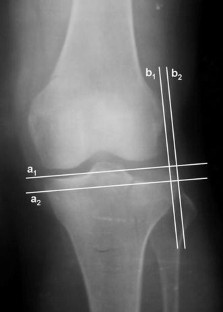
The lateral plateau depression and lateral plateau widening were measured on anteroposterior knee radiographs in 20 patients with Schatzker type II tibial plateau fracture. Meniscal injury was present in 12 patients (three, meniscal tears; nine, peripheral meniscal detachments). The lateral plateau depression and lateral plateau widening measurements were compared between those who had meniscal injury (Group 1) and those who did not (Group 2).

Results

In Group 1, the median lateral plateau depression was 20 mm (IQR: 14–25) and the median lateral plateau widening was 12 mm (IQR: 10–14). In Group 2, the respective values were 10 mm (IQR: 5–17) and 6 mm (IQR: 2–10). There was a statistically significant difference in both parameters when the two groups were compared (p = 0.001).

Conclusions

A plain anteroposterior radiograph depicting a lateral plateau depression ≥14 mm and/or a lateral plateau widening ≥10 mm is associated with a significantly increased risk of meniscal injury in Schatzker type II tibial plateau fractures. These parameters can be used to predict the probable presence of lateral meniscal injury in such patients in routine clinical practice.

Level of evidence

Retrospective comparative study, Level III.

This is a preview of subscription content, access via your institution.

Fig. 1
Fig. 2

References

  1. Abdel-Hamid MZ, Chang CH, Chan YS, Lo YP, Huang JW, Hsu KY, Wang CJ (2006) Arthroscopic evaluation of soft tissue injuries in tibial plateau fractures: retrospective analysis of 98 cases. Arthroscopy 22:669–675

    PubMed  Article  Google Scholar 

  2. Abdon P, Turner MS, Pettersson H, Lindstrand A, Stenström A, Swanson AJ (1990) A long-term follow-up study of total menisectomy in children. Clin Orthop Relat Res 257:166–170

    PubMed  Google Scholar 

  3. Barrow BA, Fajman WA, Parker LM, Albert MJ, Drvaric DM, Hudson TM (1994) Tibial plateau fractures: evaluation with MR imaging. Radiographics 14:553–559

    PubMed  CAS  Google Scholar 

  4. Bennett WF, Browner B (1994) Tibial plateau fractures: a study of associated soft tissue injuries. J Orthop Trauma 8:183–188

    PubMed  Article  CAS  Google Scholar 

  5. Boden SD, Davis DO, Dina TS, Stoller DW, Brown SD, Vailas JC, Labropoulos PA (1992) A prospective and blinded investigation of magnetic resonance imaging of the knee. Abnormal findings in asymptomatic subjects. Clin Orthop Relat Res 282:177–185

    PubMed  Google Scholar 

  6. Colletti P, Greenberg H, Terk MR (1996) MR findings in patients with acute tibial plateau fractures. Comput Med Imaging Graph 20:389–394

    PubMed  Article  CAS  Google Scholar 

  7. Fukuda Y, Takai S, Yoshino N, Murase K, Tsutsumi S, Ikeuchi K, Hirasawa Y (2000) Impact load transmission of the knee joint-influence of leg alignment and the role of meniscus and articular cartilage. Clin Biomech (Bristol, Avon) 15:516–521

    Article  CAS  Google Scholar 

  8. Gardner MJ, Yacoubian S, Geller D, Suk M, Mintz D, Potter H, Helfet DL, Lorich DG (2005) The incidence of soft tissue injury in operative tibial plateau fractures: a magnetic resonance imaging analysis of 103 patients. J Orthop Trauma 19:79–84

    PubMed  Article  Google Scholar 

  9. Gardner MJ, Yacoubian S, Geller D, Pode M, Mintz D, Helfet DL, Lorich DG (2006) Prediction of soft-tissue injuries in Schatzker II tibial plateau fractures based on measurements of plain radiographs. J Trauma 60:319–323

    PubMed  Article  Google Scholar 

  10. Hackl W, Riedl J, Reichkendler M, Benedetto KP, Freund M, Bale R (2001) Preoperative computerized tomography diagnosis of fractures of the tibial plateau. Unfallchirurg 104:519–523

    PubMed  Article  CAS  Google Scholar 

  11. Kennedy JC, Bailey WH (1968) Experimental tibial-plateau fractures. Studies of the mechanism and a classification. J Bone Joint Surg Am 50:1522–1534

    PubMed  CAS  Google Scholar 

  12. Kode L, Lieberman JM, Motta AO, Wilber JH, Vasen A, Yagan R (1994) Evaluation of tibial plateau fractures: efficacy of MR imaging compared with CT. AJR Am J Roentgenol 163:141–147

    PubMed  Article  CAS  Google Scholar 

  13. Markardt BK, Gross JM, Monu JU (2009) Schatzker classification of tibial plateau fractures: use of CT and MR imaging improves assessment. Radiographics 29:585–597

    Article  Google Scholar 

  14. Mustonen AO, Koivikko MP, Lindahl J, Koskinen SK (2008) MRI of acute meniscal injury associated with tibial plateau fractures: prevalence, type, and location. AJR Am J Roentgenol 191:1002–1009

    PubMed  Article  Google Scholar 

  15. Papagelopoulos PJ, Partsinevelos AA, Themistocleous GS, Mavrogenis AF, Korres DS, Soucacos PN (2006) Complications after tibia plateau fracture surgery. Injury 37:475–484

    PubMed  Article  Google Scholar 

  16. Rademakers MV, Kerkhoffs GM, Sierevelt IN, Raaymakers EL, Marti RK (2007) Operative treatment of 109 tibial plateau fractures: five- to 27-year follow-up results. J Orthop Trauma 21:5–10

    PubMed  Article  CAS  Google Scholar 

  17. Ringus VM, Lemley FR, Hubbard DF, Wearden S, Jones DL (2010) Lateral tibial plateau fracture depression as a predictor of lateral meniscus pathology. Orthopedics 33:80–84

    PubMed  Article  Google Scholar 

  18. Schatzker J, McBroom R, Bruce D (1979) The tibial plateau fracture. The Toronto experience 1968–1975. Clin Orthop Relat Res 138:94–104

    PubMed  Google Scholar 

  19. Schatzker J (2005) Fractures of the tibial plateau. In: Schatzker J, Tile M (eds) Rationale of operative fracture care, 3rd edn. Springer, New York, pp 447–469

    Chapter  Google Scholar 

  20. Shepherd L, Abdollahi K, Lee J, Vangsness CT Jr (2002) The prevalence of soft tissue injuries in nonoperative tibial plateau fractures as determined by magnetic resonance imaging. J Orthop Trauma 16:628–631

    PubMed  Article  Google Scholar 

  21. Stevens DG, Beharry R, McKee MD, Waddell JP, Schemitsch EH (2001) The long-term functional outcome of operatively treated tibial plateau fractures. J Orthop Trauma 15:312–320

    PubMed  Article  CAS  Google Scholar 

  22. Walker PS, Erkman MJ (1975) The role of the menisci in force transmission across the knee. Clin Orthop Relat Res 109:184–192

    PubMed  Article  Google Scholar 

  23. Watson JT, Wiss DA (2001) Fractures of the proximal tibia and fibula. In: Bucholz RW, Heckman JD (eds) Fractures in adults, 5th edn. Lippincott-Williams & Wilkins, Philadelphia, pp 1801–1841

    Google Scholar 

  24. Yacoubian SV, Nevins RT, Sallis JG, Potter HG, Lorich DG (2002) Impact of MRI on treatment plan and fracture classification of tibial plateau fractures. J Orthop Trauma 16:632–637

    PubMed  Article  Google Scholar 

Download references

Author information

Affiliations

Authors

Corresponding author

Correspondence to Mehmet Oguz Durakbasa.

Rights and permissions

Reprints and Permissions

About this article

Cite this article

Durakbasa, M.O., Kose, O., Ermis, M.N. et al. Measurement of lateral plateau depression and lateral plateau widening in a Schatzker type II fracture can predict a lateral meniscal injury. Knee Surg Sports Traumatol Arthrosc 21, 2141–2146 (2013). https://doi.org/10.1007/s00167-012-2195-z

Download citation

  • Received:

  • Accepted:

  • Published:

  • Issue Date:

  • DOI: https://doi.org/10.1007/s00167-012-2195-z

Keywords

  • Schatzker type II fracture
  • Plateau depression
  • Plateau widening
  • Lateral meniscal injury