Skip to main content

Femoral tunnel enlargement after anatomic ACL reconstruction: a biological problem?

Abstract

Tunnel enlargement after anterior cruciate ligament (ACL) reconstruction may compromise revision surgery. The cause of this tunnel enlargement is not yet fully understood, but it is thought to be multifactorial, with biomechanical and biological factors playing a role. Tunnel enlargement has been described particularly in patients who underwent ACL reconstruction with hamstring tendons with extracortical fixation devices. The purpose of our study was to evaluate prospectively with magnetic resonance imaging (MRI) the changes in femoral tunnel diameter following arthroscopic anatomic ACL reconstruction with hamstring tendons. At 3-month post-op, all tunnels had enlarged compared to the diameter of the drill and most tunnels enlarged more in the midsection than at the aperture. In the posterolateral tunnels, the entrance increased 16% in diameter and the middle of the tunnel increased 30% in diameter. In the anteromedial femoral tunnels, the tunnels enlarged 14% at the aperture and 35% in the midsection. All femoral tunnels enlarged and most of them enlarged in a fusiform manner. The biological factors explain better our findings than the mechanical theory, although mechanical factors may play a role and the cortical bone at the entrance of the tunnel may modify the way tunnels respond to mechanical stress.

This is a preview of subscription content, access via your institution.

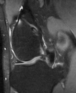
Fig. 1
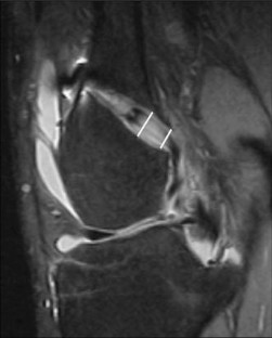
Fig. 2
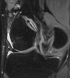
Fig. 3

References

  1. Amiel D, Kleiner JB, Akeson WH (1986) The natural history of the anterior cruciate ligament autograft of patellar tendon origin. Am J Sports Med 14:449–462

    Article  CAS  PubMed  Google Scholar 

  2. Buelow JU, Siebold R, Ellermann A (2000) A new bicortical tibial fixation technique in anterior cruciate ligament reconstruction with quadruple hamstring graft. Knee Surg Sports Traumatol Arthrosc 8:218–225

    Article  CAS  PubMed  Google Scholar 

  3. Clancy WG, Narechania RG, Rosenberg RD, Gmeiner JG, Wisnefske DD, Lange TA (1981) Anterior and posterior cruciate ligament reconstruction in rhesus monkeys. J Bone Joint Surg [Am] 63:1270–1284

    Google Scholar 

  4. Clatworthy MG, Annear P, Bulow JU, Bartlett RJ (1999) Tunnel widening in anterior cruciate ligament reconstruction: a prospective evaluation of hamstring and patella tendon grafts. Knee Surg Sports Traumatol Arthrosc 7:138–145

    Article  CAS  PubMed  Google Scholar 

  5. Clatworthy MG, Bulow JU, Pinczewski L, Howell S, Fowler P (2002) Tunnel widening in hamstring ACL reconstruction: a prospective clinical and radiographic evaluation of four different fixation techniques. J Bone Joint Surg Br 84-B:133–134

    Google Scholar 

  6. Fahey M, Indelicato PA (1994) Bone tunnel enlargement after anterior cruciate ligament replacement. Am J Sports Med 22:410–414

    Article  CAS  PubMed  Google Scholar 

  7. Fauno P, Kaalund S (2005) Tunnel widening after hamstring anterior cruciate ligament reconstruction is influenced by the type of graft fixation used: a prospective randomized study. Arthroscopy 21:1337–1341

    Article  PubMed  Google Scholar 

  8. Fink C, Zapp M, Benedetto KP, Hackl W (2001) Tibial tunnel enlargement following anterior cruciate ligament reconstruction with patellar tendon autograft. Arthroscopy 17:138–143

    Article  CAS  PubMed  Google Scholar 

  9. Getelman MH, Friedman MJ (1999) Revision anterior cruciate ligament reconstruction surgery. J Am Acad Orthop Surg 7:189–198

    CAS  PubMed  Google Scholar 

  10. Me Hantes, Mastrokalos DS, Yu J, Paessler HH (2004) The effect of early motion on tibial tunnel widening after anterior cruciate ligament replacement using hamstring tendon grafts. Arthroscopy 20:572–580

    Article  Google Scholar 

  11. Hoher J, Livesay GA, Ma CB, Withrow JD, Fu FH, Woo SL (1999) Hamstring graft motion in the femoral bone tunnel when using titanium button/polyester tape fixation. Knee Surg Sports Traumatol Arthrosc 7:215–219

    Article  CAS  PubMed  Google Scholar 

  12. Hoher J, Moller HD, Fu FH (1998) Bone tunnel enlargement after anterior cruciate ligament reconstruction: fact or fiction? Knee Surg Sports Traumatol Arthrosc 6:231–240

    Article  CAS  PubMed  Google Scholar 

  13. Järvelä T, Moisala AS, Paakkala T, Paakkala A (2008) Tunnel enlargement after double-bundle anterior cruciate ligament reconstruction: a prospective, randomized study. Arthroscopy 24:1349–1357

    Article  PubMed  Google Scholar 

  14. Kline J, Lintner D, Downs D, Vavrenka K (2003) The incidence and significance of femoral tunnel widening after quadrupled hamstring ACL reconstruction using femoral cross-pin fixation. Arthroscopy 19:470–476

    Article  Google Scholar 

  15. Linn RM, Fischer DA, Smith JP, Burstein DB, Quick DC (1993) Achilles tendon allograft reconstruction of the anterior cruciate ligament-deficient knee. Am J Sports Med 21:825–831

    Article  CAS  PubMed  Google Scholar 

  16. Lorio R, Vadalà A, Argento G, Sanzo V, Ferretti A (2007) Bone tunnel enlargement after ACL reconstruction using autologous hamstring tendons: a CT study. Int Orthop 31:49–55

    Article  Google Scholar 

  17. Ma BC, Francis K, Towers J, Irrgang J, Fu FH, Harner CH (2004) Hamstring anterior cruciate ligament reconstruction: a comparison of bioabsorbable interference screw and EndoButton-post fixation. Arthroscopy 20:122–128

    Article  PubMed  Google Scholar 

  18. Peyrache MD, Djian P, Christel P (1996) Tibial tunnel enlargement after anterior cruciate ligament reconstruction by autogenous bonepatellar tendon-bone graft. Knee Surg Sports Traumatol Arthrosc 4:2–8

    Article  CAS  PubMed  Google Scholar 

  19. Rodeo SA, Kawamura S, Kim HJ, Dynybil C, Ying L (2006) Tendon healing in a bone tunnel differs at the tunnel entrance versus the tunnel exit: an effect of graft-tunnel motion? Am J Sports Med 34:1790–1800

    Article  PubMed  Google Scholar 

  20. Sgaglione NA, Douglas JA (2004) Allograft bone augmentation in anterior cruciate ligament reconstruction. Arthroscopy 20(Suppl 2):171–177

    Article  PubMed  Google Scholar 

  21. Silva A, Sampaio R (2009) Anatomic ACL reconstruction: does the platelet-rich plasma accelerate tendon healing? Knee Surg Sports Traumatol Arthrosc 17:676–682

    Article  PubMed  Google Scholar 

  22. Simonian PT, Monson JT, Larson RV (2001) Biodegradable interference screw augmentation reduces tunnel expansion after ACL reconstruction. Am J Knee Surg 14:104–108

    CAS  PubMed  Google Scholar 

  23. Tsuda E, Fukuda Y, Loh JC, Debski RE, Fu FH, Woo SL (2002) The effect of soft-tissue graft fixation in anterior cruciate ligament reconstruction on graft-tunnel motion under anterior tibial loading. Arthroscopy 18:960–967

    Article  PubMed  Google Scholar 

  24. Vergis A, Gilquist J (1995) Graft failure in intra-articular anterior cruciate ligament reconstructions: a review of the literature. Arthroscopy 11:312–321

    Article  CAS  PubMed  Google Scholar 

  25. Webster KE, Feller JA, Hameister KA (2001) Bone tunnel enlargement following anterior cruciate ligament reconstruction: a randomised comparison of hamstring and patellar tendon grafts with 2-year follow-up. Knee Surg Sports Traumatol Arthrosc 9:86–91

    Article  CAS  PubMed  Google Scholar 

  26. Weiler A, Sckeffler S, Apreleva M (2006) Healing of ligaments and tendon to bone. In: Walsh W (ed) Repair and regeneration of ligaments, tendons, and joint capsule, 1st edn. Humana Press, New Jersey, pp 201–231

    Google Scholar 

Download references

Author information

Affiliations

Authors

Corresponding author

Correspondence to Alcindo Silva.

Rights and permissions

Reprints and Permissions

About this article

Cite this article

Silva, A., Sampaio, R. & Pinto, E. Femoral tunnel enlargement after anatomic ACL reconstruction: a biological problem?. Knee Surg Sports Traumatol Arthrosc 18, 1189–1194 (2010). https://doi.org/10.1007/s00167-010-1046-z

Download citation

  • Received:

  • Accepted:

  • Published:

  • Issue Date:

  • DOI: https://doi.org/10.1007/s00167-010-1046-z

Keywords

  • Anterior cruciate ligament
  • Anatomic reconstruction
  • Tunnel enlargement
  • Tunnel widening