Skip to main content

Treatment of an osteoporotic Hoffa fracture

Abstract

Two patients with Hoffa fracture of the knee, both suffering from poliomyelitis are reported. Both had unicondylar coronal plane fracture of the medial femoral condyle. The patients were treated with open reduction and screw fixation. Due to poor screw purchase, reoperation was necessary in one patient. The results were satisfactory in both patients.

This is a preview of subscription content, access via your institution.

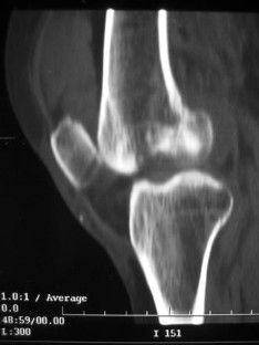
Fig. 1
Fig. 2
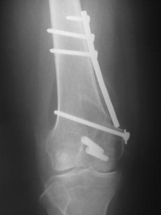
Fig. 3
Fig. 4

References

  1. Haziza M, Kremer R, Benedetti A, Trojan DA (2007) Osteoporosis in a Postpolio Clinic population. Arch Phys Med Rehabil 88:1030–1035

    Article  PubMed  Google Scholar 

  2. Letenneur J, Labour PE, Rogez JM et al (1978) Fractures de Hoffa: a propos de 20 observations. Ann Chir 32:213–219

    CAS  PubMed  Google Scholar 

  3. Lewis SL, Pozo JL, Muirhead-Allwood WFG (1989) Coronal fractures of the lateral femoral condyle. J Bone Joint Surg Br 71:118–120

    CAS  PubMed  Google Scholar 

  4. Manfredini M, Gildone A, Ferrante R, Bernasconi S, Massari L (2001) Unicondylar femoral fractures: therapeutic strategy and long-term results. Acta Orthop Belg 67:132–138

    CAS  PubMed  Google Scholar 

  5. McDonough PW, Bernstein RM (2000) Nonunion of a Hoffa fracture in a child. J Orthop Trauma 14:519–521

    CAS  Article  PubMed  Google Scholar 

  6. Schatzker J, Tile M (1996) The rationale of operative fracture care, 2nd edn. Springer-Verlag, Berlin, pp 390–391

    Google Scholar 

Download references

Author information

Affiliations

Authors

Corresponding author

Correspondence to Kwai Yau Fung.

Rights and permissions

Reprints and Permissions

About this article

Cite this article

Chang, J.J.H.T., Fan, J.C.H., Lam, H.Y. et al. Treatment of an osteoporotic Hoffa fracture. Knee Surg Sports Traumatol Arthrosc 18, 784–786 (2010). https://doi.org/10.1007/s00167-009-0960-4

Download citation

  • Received:

  • Accepted:

  • Published:

  • Issue Date:

  • DOI: https://doi.org/10.1007/s00167-009-0960-4

Keywords

  • Poliomyelitis
  • Hoffa fracture
  • Osteoporosis
  • Open reduction
  • Unicondylar fracture