Skip to main content

Multilobulated popliteal cyst after a failed total knee arthroplasty

Abstract

Popliteal cyst is a rare finding after total knee arthroplasty (TKA), but when present, it might indicate a malfunction of the TKA related to generation of wear-particles, or loosening. We present a case of a multilobulated popliteal cyst developing in a patient 8 years after primary TKA. The cyst was associated with a mechanical prosthetic loosening. The primary complaint of the patient was pain in the posterior region of the knee. A two-stage procedure consisting of cyst excision at first, followed after 5 months by a revision TKA was performed. Intraoperatively, a darkish, multilobulated cyst with a well-defined thick wall filled with fluid containing polyethylene debris, communicating with the knee joint was found. After 3 years of follow-up, the patient was satisfied and walked without the support of a cane. The patient presented a satisfactory knee range of motion. Clinical, radiological and ultrasound investigations ruled out popliteal cyst recurrence. A dissecting popliteal cyst associated with a failed TKA should be excised because it contains polyethylene debris that constitutes an induced factor for prosthetic loosening. A two-stage procedure with quite a long time in-between, as presented in this paper, can be a useful alternative to manage such a problem, in particular in very old patients associated with other medical problems.

This is a preview of subscription content, access via your institution.

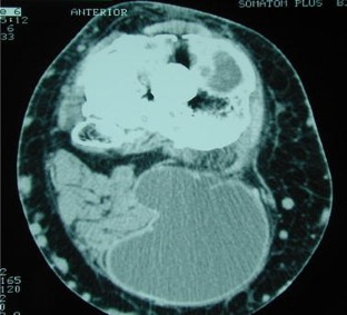
Fig. 1
Fig. 2
Fig. 3
Fig. 4
Fig. 5
Fig. 6

References

  1. Adams R (1840) Chronic rheumatoid arthritis of the knee. J Med Sci 17:520

    Google Scholar 

  2. Anthony PP, Gie GA, Howie CR et al (1990) Localized endosteal bone lysis in relation to the femoral components of cemented total hip arthroplasties. J Bone Joint Surg Br 72:971–976

    PubMed  CAS  Google Scholar 

  3. Burleson RJ, Bickel WH, Dahlin DC (1956) Popliteal cyst: a clinicopathology survey. J Bone Joint Surg A 38:1265–1270

    Google Scholar 

  4. Chan Yi-Seng, Wang Ching-Jen, Shin Chun-Hsiung (2000) Two stage operation for treatment of a large dissecting popliteal cyst after failed TKA. J Arthroplasty 15:1068–1072

    Article  Google Scholar 

  5. Dirschl DR, Lachiewicz PF (1992) Dissecting popliteal cyst as the presenting symptom of a malfunctioning TKA. Report of four cases. J Arthroplasty 7:37–41

    PubMed  Article  CAS  Google Scholar 

  6. Gross TP, Lennox DW (1992) Osteolytic cyst-like area associated with polyethylene and metallic debris after total knee replacement with an uncemented vitallium prosthesis:a case report. J Bone Joint Surg A 74:1096–1101

    CAS  Google Scholar 

  7. Hsu Wei-Hsiu, Hsu Wen-Wei Robert, Huang TsunJen, Lee Kam-Fui (2002) Dissecting popliteal cyst resulting from fragmented, dislodged metal part of the patellar component after total knee arthroplasty. J Arthroplasty 17:792–797

    PubMed  Article  CAS  Google Scholar 

  8. Jacobs JJ, Rosenbaum DH, Hay RM, Gitelis S, Black J (1992) Early sarcomatous degeneration near a cementless hip replacement: a case report and review. J Bone Joint Surg Br 74:740–744

    PubMed  CAS  Google Scholar 

  9. Katz RS, Zizic TM, Arnold WP (1977) The pseudothrombophebitis syndrome. Medicine (Baltimore) 56:151

    CAS  Google Scholar 

  10. Mari M (1999) Radiographic evaluation of the painful total knee replacement. In: Lotke PA, Garino JP (eds) Revision total knee arthroplasty. Lippincot-Raven, New York, p 115

    Google Scholar 

  11. Niki Y, Matsumoto H, Otani T, Yoshimine F, Inokuchi W, Morisue H (2003) Gigantic popliteal synovial cyst caused by wear particles after TKA. J Arthroplasty 18:1071–1075

    PubMed  Article  Google Scholar 

  12. Pavlov H, Steinbach L, Fried SH (1983) A posterior ascending popliteal cyst mimicking thrombophebitis following TKA. Clin Orthop 179:204–208

    PubMed  Google Scholar 

  13. Visuri T, Pukkala E, Paavolainen P, Pulkkinen P, Riska EB (1996) Cancer risk after metal on metal and polyethylene on metal total hip arthroplasty. Clin Orthop 329S:S280–S289

    Google Scholar 

Download references

Author information

Affiliations

Authors

Corresponding author

Correspondence to Elyazid Mouhsine.

Rights and permissions

Reprints and Permissions

About this article

Cite this article

Moretti, B., Patella, V., Mouhsine, E. et al. Multilobulated popliteal cyst after a failed total knee arthroplasty. Knee Surg Sports Traumatol Arthrosc 15, 212–216 (2007). https://doi.org/10.1007/s00167-006-0155-1

Download citation

  • Received:

  • Accepted:

  • Published:

  • Issue Date:

  • DOI: https://doi.org/10.1007/s00167-006-0155-1

Keywords

  • Total knee arthroplasty
  • Synovial cyst
  • Polyethylene wear
  • Revision
  • Loosening