Skip to main content

Medium-energy shock wave therapy in the treatment of rotator cuff calcifying tendinitis

Abstract

To evaluate the results of the treatment with medium-energy extracorporeal shock wave therapy (ESWT) in rotator cuff calcifying tendinitis. Fifty-four non-consecutive patients, who were referred to our institute for rotator cuff calcifying tendinitis, were managed with a standardized protocol in four sessions of medium-energy (0.11 mJ/mm2) ESWT administered with an electromagnetic lithotriptor. Pain was evaluated at the end of each session, functional state of shoulder was assessed at 1 and 6 months after the end of procedure. All patients underwent radiographs and sonography imaging. No systemic or local complications. Thirty-eight patients (70%) reported satisfactory functional results. Radiographs and sonographs showed a disappearance of calcium deposit in 29 patients (54%) and in 19 patients (35%) it appeared to be reduced more than a half. A correlation was found between residual calcium deposit and the clinical outcome, but some patients showed a reduced pain without modification of calcium deposit. These results were unmodified at 6 months follow-up. Our protocol of medium-energy ESWT provides good results overall about pain modulation.

This is a preview of subscription content, access via your institution.

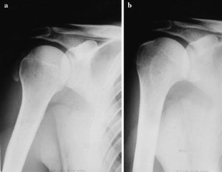
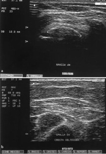
Fig. 1
Fig. 2
Fig. 3

References

  1. Ark JW, Flock TJ, Flatow EL, Bigliani LU (1992) Arthroscopic treatment of calcific tendinitis of the shoulder. Arthroscopy 8:183–188

    Google Scholar 

  2. Booth RE, Marvel JP (1975) Differential diagnosis of the shoulder pain. Orthop Clin North Am 6:353–379

    Google Scholar 

  3. Bosworth BM (1941) Calcium deposits in the shoulder and subacromial bursitis. JAMA 116:2482–2485

    Google Scholar 

  4. Chen HS, Chen LM, Huang TW (2001) Treatment of painful heel syndrome with shock waves. Clin Orthop 387:41–46

    Google Scholar 

  5. Codman EA (1906) On stiff and painful shoulders. Boston Med Surg J 154:613–620

    Google Scholar 

  6. Constant CR, Murley AHG (1987) A clinical method of functional assessment of the shoulder. Clin Orthop 214:160–164

    PubMed  Google Scholar 

  7. Daecke W, Kusnierczak D, Loew M (2002) Extracorporeal shock wave therapy (ESWT) in tendinosis calcarea of the rotator cuff. Long-term results and efficacy. Orthopade 31(7):645–651

    Google Scholar 

  8. De Palma AF, Kruper JS (1961) Long term study of shoulder joints afflicted with and treatment for calcifyng tendinitis. Clin Orthop 20:61–72

    Google Scholar 

  9. Delius M (1994) Medical applications and bioeffects of extracorporeal shock waves. Shock Waves 4:55–72

    Google Scholar 

  10. Farin PU, Rasanen H, Jaroma H, Jarju (1996) Rotator cuff calcifications: treatment with ultrasound-guided percutaneous needle aspiration and lavage. Skeletal Radiol 25:551–554

    Google Scholar 

  11. Gerdersmeier L, Wagenpfeil S, Haake M et al (2003) Extracorporeal shock wave therapy for the treatment of chronic calcifzing tendonitis of the rotator cuff. JAMA 290(19):2573–2580

    Google Scholar 

  12. Gimblett PA, Saville J, Ebrall P (1999) A conservative management protocol for calcifyng tendinitis of the shoulder. J Manipulative Physiol Ther 22(9):622–627

    Google Scholar 

  13. Haupt G (1997) Use of extracorporeal waves in the treatment of pseudoarthrosis, tendinopathy and other orthopedic diseases. J Urol 158:4–11

    Article  CAS  PubMed  Google Scholar 

  14. Jakobeit C, Winiarski B, Jakobeit S, Welp L, Spelsberg G (2002) Ultrasound-guided, high-energy extracorporeal shock wave treatment of symptomatic calcareous tendinopathy of the shoulder. ANZ J Surg 72(7):496–500

    Google Scholar 

  15. Jerosch J, Strauss JM, Schmiel S (1998) Arthroscopic treatment of calcific tendinitis of the shoulder. J Shoulder Elbow Surg 7:30–37

    Google Scholar 

  16. Kilcoyne RF, Reddy PK, Lyons F, Rockwood CA Jr (1989) Optimal plain film imaging of the shoulder impingement syndrome. AJR Am J Roentgenol 153:795–797

    Google Scholar 

  17. Ko JY, Chen HS, Chen LM (2001) Treatment of lateral epicondylitis of the elbow with shock waves. Clin Orthop 387:60–67

    PubMed  Google Scholar 

  18. Loew M, Jurgowski W, Mau HC, Thomsen M (1995) Treatment of calcifying tendinitis of rotator cuff by extracorporeal shock waves: a preliminary report. J Shoulder Elbow Surg 4:101–106

    Google Scholar 

  19. Loew M, Daecke W, Kusnierczak D, Rahamanzadeh M, Ewerebeck V (1999) Extracorporeal shock wave application: an effective treatment for patients with chronic and therapy-resistant calcifying tendinitis? J Bone Joint Surg 81B:863–867

    Article  CAS  PubMed  Google Scholar 

  20. Maier M, Steinborn M, Schmitz C, Stabler A, Kohler S, Pfahler M, Durr HR, Refior HJ (2000) Shock wave application in calcifying tendinitis of the shoulder. Prediction of outcome by imaging. Arch Orthop Trauma Surg 120:43–48

    Google Scholar 

  21. Molé D, Kempf JF, Gleyze P (1993) Résultats du traitement arthroscopique des tendinopathies non-rompues de la coiffe des rotateurs: 2. Calcifications de la coiffe. Rev Chir Orthop Reparatrice Appar Mot 79:532–541

    Google Scholar 

  22. Moseley HF, Goldie I (1963) The arterial pattern of the rotator cuff of the shoulder. J Bone Joint Surg 45-B:780–789

    Google Scholar 

  23. Ogden JA, Alvarez RG, Levitt R, Marlow M (2001) Shock wave therapy (orthotripsy) in musculoskeletal disorders. Clin Orthop 387:22–40

    PubMed  Google Scholar 

  24. Plenk H (1952) Calcifying tendinitis of the shoulder: a critical study of the value of x-ray therapy. Radiology 59:384–389

    Google Scholar 

  25. Rompe JD, Rumler F, Hoph C et al (1995) Extracorporeal shock wave therapy for calcifying tendinitis of the shoulder. Clin Orthop 321:196–201

    Google Scholar 

  26. Rompe JD, Zoellner J, Nafe B (2001) Shock wave therapy versus conventional surgery in the treatment of calcifying tendinitis of the shoulder. Clin Orthop 387:72–82

    PubMed  Google Scholar 

  27. Schleberger R, Senge (1992) Noninvasive treatment of long bone pseudoarthrosis by shock wave. Acta Orthop Trauma Surg 111:224–227

    Google Scholar 

  28. Seil R, Rupp S, Hammer DS, Ensslin S, Gebhardt T, Kohn DR (1999) Extracorporeal shock wave therapy in tendinosis calcrea of the rotator cuff: comparison of different treatment protocols. Z Orthop Ihre Grenzgeb 137(4):310–314

    Google Scholar 

  29. Shaden W, Fischer A, Sailler A (2001) Extracorporeal chock wave therapy of nonunion or delayed osseous union. Clin Orthop 387:90–94

    PubMed  Google Scholar 

  30. Thiel M (2001) Application of shock waves in medicine. Clin Orthop 387:18–21

    Google Scholar 

  31. Uhthoff HK, Loehr JW (1997) Calcific tendinopathy of the rotator cuff. J Am Acad Orthop Surg 5(4):183–191

    Google Scholar 

  32. Waghenhäuser JF (1972) Die Periarthropatie-Syndrome. Therapiewoche 37:3187–3192

    Google Scholar 

  33. Wittenberg RH, Rubenthaler F, Wolk T, Ludwig J, Willburger RE, Steffen R (2001) Surgical or conservative treatment for chronic rotator cuff calcifying tendinitis-a matched-pair analysis of 100 patients. Arch Orthop Trauma Surg 121:56–59

    Google Scholar 

Download references

Author information

Affiliations

Authors

Corresponding author

Correspondence to Elyazid Mouhsine.

Rights and permissions

Reprints and Permissions

About this article

Cite this article

Moretti, B., Garofalo, R., Genco, S. et al. Medium-energy shock wave therapy in the treatment of rotator cuff calcifying tendinitis. Knee Surg Sports Traumatol Arthrosc 13, 405–410 (2005). https://doi.org/10.1007/s00167-005-0619-8

Download citation

  • Received:

  • Accepted:

  • Published:

  • Issue Date:

  • DOI: https://doi.org/10.1007/s00167-005-0619-8

Keywords

  • Rotator cuff
  • Calcification
  • Shock wave