Skip to main content

Compression of the suprascapular nerve by a ganglion cyst of the spinoglenoid notch: the arthroscopic solution

Abstract

We evaluated an all arthroscopic technique for treating suprascapular nerve entrapment by cyst formation in the spinoglenoid notch. Eight patients showed positive MRI and EMG findings with clinical sign of weakness and pain and with atrophy of the muscle. All patients underwent an all-arthroscopic procedure. The patients were evaluated preoperatively and 6 weeks and 3 months postoperatively and for the latest follow-up by clinical examination, MRI, and EMG. All patients improved in terms of pain, strength, and function. We found six superior labrum anterior and posterior (SLAP) lesions. In these patients the cyst was drained, and the SLAP lesion was repaired. In two patients there was no communication between the joint and the cyst, and therefore capsulotomy was performed and left open. The results of our study show that arthroscopic decompression of the suprascapular nerve can be achieved by an all arthroscopic technique if the cyst formation is located at the spinoglenoid notch.

This is a preview of subscription content, access via your institution.

Fig. 1
Fig. 2
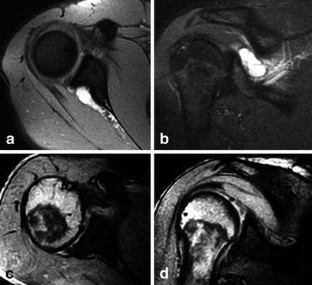
Fig. 3
Fig. 4
Fig. 5
Fig. 6

References

  1. Ajmani ML (1994) The cutaneous branch of the human suprascapular nerve. J Anat 185:439–442

    PubMed  Google Scholar 

  2. Alon M, Weiss S, Fishel B, Dekel S (1988) Bilateral suprascapular nerve entrapment syndrome due to an anomalous transverse scapular ligament. Clin Orthop 234:31–33

    PubMed  Google Scholar 

  3. Antoniadis G, Richter HP, Rath S, Braun V, Moese G (1996) Suprascapular nerve entrapment: experience with 28 cases. J Neurosurg 85:1020–1025

    CAS  PubMed  Google Scholar 

  4. Antoniou J, Tae, SK, Williams GR, Bird S, Ramsey ML, Ianotti JP (2001) Suprascapular neuropathy. Clin Orthop 386:131–138

    PubMed  Google Scholar 

  5. Biedert RM (1996) Atrophy of the infraspinatus muscle caused by a suprascapular ganglion. Clin J Sport Med 6:262–264

    CAS  PubMed  Google Scholar 

  6. Bigliani LU, Dalsey RM, McCann PD, April EW (1990) An anatomical study of the suprascapular nerve. Arthroscopy 6:301–306

    CAS  PubMed  Google Scholar 

  7. Bryan WJ, Wild JJ Jr (1989) Isolated infraspinatus atrophy. A common cause of posterior shoulder pain and weakness in throwing athletes. Am J Sports Med 17:130–131

    CAS  PubMed  Google Scholar 

  8. Chocole MH, Senker W, Meznik C Breienseher MJ (1997) Glenoid-labral cyst entrapping the suprascapular nerve: dissolution after arthroscopic debridement of an extended SLAP-lesion. Arthroscopy 13:753–755

    CAS  PubMed  Google Scholar 

  9. Cohen SB, Dines DM, Moorman CT (1997) Familial calcification of the superior transverse scapular ligament causing neuropathy. Clin Orthop 334:131–135

    PubMed  Google Scholar 

  10. Cummins CA, Anderson K, Bowen M, Nuber G, Roth SI (1998) Anatomy and histological characteristics of the spinoglenoid ligament. J Bone Joint Surg Am 80:1622–1625

    CAS  PubMed  Google Scholar 

  11. Cummins CA, Bowen M, Anderson K, Messer T (1999) Suprascapular nerve entrapment at the spinoglenoidnotch in a professional baseball pitcher. Am J Sports Med 27:810–812

    CAS  PubMed  Google Scholar 

  12. DeMulder K, Maynissen H, Van Laere C, et al (1998) Arthroscopic transglenoid suture of Bankart lesion. Acta Orthop Belg 64:160–166

    CAS  PubMed  Google Scholar 

  13. Edeland HG, Zachrisson BE (1975) Fracture of the scapular notch associated with lesion of the suprascapular nerve. Acta Orthop Scand 46:758–763

    CAS  PubMed  Google Scholar 

  14. Edelson JG (1995) Bony bridges and other variants of the supraglenoid notch. J Bone Joint Surg Br 77:505–506

    CAS  PubMed  Google Scholar 

  15. Fehrman DA, Orwin JF, Jennings RM (1995) Suprascapular nerve entrapment by ganglion cyst: a report of six cases with arthoscopic findings and review of the literature. Arthroscopy 11:727–734

    CAS  PubMed  Google Scholar 

  16. Ferretti A, Cerullo G, Russo G (1987) Suprascapular neuropathy in volleyball players. J Bone Joint Surg Am 69:260–263

    CAS  PubMed  Google Scholar 

  17. Ferretti A, De Carli A, Fontana M (1998) Injury of the suprascapular nerve at the spinoglenoid notch: the natural history of infraspinatus atrophy in volleyball players. Am J Sports Med 26:759–763

    CAS  PubMed  Google Scholar 

  18. Ferrick MR, Marzo JM (1997) Ganglion cyst of the shoulder associated with a glenoid labral tear and symptomatic glenohumeral instability. Am J Sports Med 25:717–719

    CAS  PubMed  Google Scholar 

  19. Fritz RC, Helms CA, Steinbach LS, Genant HK (1992) Suprascapular nerve entrapment: evaluation with MRI imaging. Radiology 182:437–444

    CAS  PubMed  Google Scholar 

  20. Garcia G, McQueen D (1981) Bilateral suprascapular-nerve entrapment syndrome. Case report and review of the literature. J Bone Joint Surg Am 63:491–492

    CAS  PubMed  Google Scholar 

  21. Goss TP, Aronow MS, Coumas JM (1994) The use of MRI to diagnose suprascapular entrapment caused by a ganglion. Orthopedics 17:359–362

    CAS  PubMed  Google Scholar 

  22. Hashimoto BE, Hayes AS, Ager JD (1994) Sonographic diagnosis and treatment of ganglion cysts causing suprascapular nerve entrapment. J Ultrasound Med 13:671–674

    CAS  PubMed  Google Scholar 

  23. Helms CA, Martinez S, Speer KP (1998) Acute brachial neuritis (Parsonage-Turner syndrome): MR imaging appearance—report on three cases. Radiology 207:255–259

    CAS  PubMed  Google Scholar 

  24. Holzgraefe M, Kukowski B, Eggert S (1994) Prevalence of latent and manifest suprascapular neuropathy in high-performance volleyball players. Br J Sports Med 28:177–179

    CAS  PubMed  Google Scholar 

  25. Ianotti JP, Ramsey ML (1996) Arthroscopic decompression of a ganglion cyst causing suprascapular nerve compression. Arthroscopy 12:739–745

    CAS  PubMed  Google Scholar 

  26. Jackson DL, Farrage J, Hynninen BC, Cabom DN (1995) Suprascapular neuropathy in athletes: case reports. Clin J Sport Med 5:134–137

    CAS  PubMed  Google Scholar 

  27. King ESJ (1932) The pathology of ganglion. Aust N Z J Surg 1:367–381

    Google Scholar 

  28. Kopell HP, Thompson WAL (1959) Pain and the frozen shoulder. Surg Gynecol Obstet 109:92–96

    CAS  PubMed  Google Scholar 

  29. Kukowski B (1993) Suprascapular nerve lesion as an occupational neuropathy in a semiprofessional dancer. Arch Phys Med Rehabil 74:768–769

    CAS  PubMed  Google Scholar 

  30. Lee HY, Chung IH, Sir WS, Kang HS, Lee HS, Ko JS, Lee MS, Park SS (1992) Variations of the ventral rami of the brachial plexus. J Korean Med Sci 7:19–24

    CAS  PubMed  Google Scholar 

  31. Mesdagh H, Drizenko A, Ghestem P (1981) Anatomical bases of suprascapular nerve syndrome. Anat Clin 3:67–71

    Google Scholar 

  32. Misamore GW, Lehman DE (1996) Parsonage-Turner syndrome (acute brachial neuritis). J Bone Joint Surg Am 78:1405–1408

    CAS  PubMed  Google Scholar 

  33. Moore TP, Fritts HM, Quick DC, Buss DD (1997) Suprascapular nerve entrapment caused by supraglenoid cyst compression. J Shoulder Elbow Surg 6:455–462

    CAS  PubMed  Google Scholar 

  34. Ogino T, Minami A, Kato H et al (1991) Entrapment neuropathy of the suprascapular nerve by a ganglion. A report of three cases. J Bone Joint Surg Am 73:141–147

    CAS  PubMed  Google Scholar 

  35. Ozer Y, Grossman JA, Gilbert A (1995) Anatomic observations on the suprascapular nerve. Hand Clin 11:539–544

    CAS  PubMed  Google Scholar 

  36. Rachbauer F, Sterzinger W, Frischhut B (1996) Suprascapular nerve entrapment at the spinoglenoid notch caused by a ganglion cyst. J Shoulder Elbow Surg 5:150–152

    CAS  PubMed  Google Scholar 

  37. Rengychary SS, Neff JP, Singer PA, Brackett CE (1979) Suprascapular entrapment neuropathy: a clinical, anatomical and comparative study. I. Clinical study. Neurosurgery 5:441–446

    CAS  PubMed  Google Scholar 

  38. Rengachary SS, Burr D, Lucas S, et al (1979) Suprascapular entrapment neuropathy: a clinical, anatomical and comparative study. II. Anatomical study. Neurosurgery 5:447–451

    CAS  PubMed  Google Scholar 

  39. Ringel SP, Treihaft M, Carry M, Fisher R, Jacobs P (1990) Suprascapular neuropathy in pitchers Am J Sports Med 18:80–86

    CAS  Google Scholar 

  40. Sandow MJ, Ilic J (1998) Suprascapular nerve rotator cuff compression syndrome in volleyball players. J Shoulder Elbow Surg 7:516–521

    CAS  PubMed  Google Scholar 

  41. Sjoden GO, Movin T, Guntner P, Ingelman-Sundberg H (1996) Spinoglenoid bone cyst causing suprascapular nerve compression. J Shoulder Elbow Surg 5:147–149

    CAS  PubMed  Google Scholar 

  42. Soren A (1966) Pathogenesis and treatment of ganglion. Clin Orthop 48:173–179

    CAS  PubMed  Google Scholar 

  43. Thomas A (1936) La paralysie du muscle sous-épineux. Presse Med 64:1283–1284

    Google Scholar 

  44. Thompson RC Jr, Schneider W, Kennedy T (1982) Entrapment neuropathy of the inferior branch of the suprascapular nerve by ganglia. Clin Orthop 166:185–187

    PubMed  Google Scholar 

  45. Ticker JB, Djurasovic M, Strauch RJ, April EW, Pollock RG, Flatow EL, Bigliani LU (1998) The incidence of ganglion cysts and other variations in anatomy along the course of the suprascapular nerve. J Shoulder Elbow Surg 7:472–478

    CAS  PubMed  Google Scholar 

  46. Tirman PF, Feller JF, Janzen DL, Peterfy CG, Bergman GA (1994) Association of glenoid labral cysts with labral tears and glenohumeral instability: radiologic findings and clinical significance. Radiology 190:653–658

    CAS  PubMed  Google Scholar 

  47. Warner JJP, Krushell RJ, Masquelet A, Gerber C (1992) Anatomy and relationships of the suprascapular nerve: anatomical constraints to mobilization of the supraspinatus and infraspinatus muscles in the management of massive rotator cuff tears. J Bone Joint Surg Am 74:36–45

    CAS  PubMed  Google Scholar 

  48. Vastmäki M, Göransson H (1993) Suprascapular nerve entrapment. Clin Orthop 297:135–143

    PubMed  Google Scholar 

  49. Zuckerman JD, Polonsky L, Edelson G (1993) Suprascapular nerve palsy in a young athlete. Bull Hosp Jt Dis 53:11–12

    CAS  Google Scholar 

Download references

Author information

Affiliations

Authors

Corresponding author

Correspondence to Sven Lichtenberg.

Rights and permissions

Reprints and Permissions

About this article

Cite this article

Lichtenberg, S., Magosch, P. & Habermeyer, P. Compression of the suprascapular nerve by a ganglion cyst of the spinoglenoid notch: the arthroscopic solution. Knee Surg Sports Traumatol Arthrosc 12, 72–79 (2004). https://doi.org/10.1007/s00167-003-0443-y

Download citation

  • Received:

  • Accepted:

  • Published:

  • Issue Date:

  • DOI: https://doi.org/10.1007/s00167-003-0443-y

Keywords

  • Arthroscopy
  • Ganglion cyst
  • Spinoglenoid notch
  • Suprascapular nerve entrapment