Skip to main content

Understanding organ dysfunction in hemophagocytic lymphohistiocytosis

Abstract

Objective

This review aims to help critical care clinicians maintain a high level of suspicion regarding the diagnosis of Hemophagocytic Histiolymphocytosis (HLH). It describes the clinical and laboratory features of HLH, outlines its pathophysiology and reviews the most frequent etiologies related to HLH. Prognostic factors and therapeutic options are also reported.

Data sources

Review of the literature.

Results

The diagnosis of HLH relies on the association of clinical abnormalities and hemophagocytosis in bone marrow, spleen, or lymph node specimens. Liver, pulmonary, renal, cardiac and skin involvement may occur at various degrees possibly leading to multiple organ failure. Three main etiologies can be found, namely infections, lymphoproliferative diseases, or connective tissue diseases. Immune deficiency is often retrieved. Mortality can be as high as 50%. Although clinically mimicking severe sepsis, HLH has a distinct pathophysiology on which specific therapy is based. Early diagnosis and treatment is mandatory to increase the chances of survival.

Conclusion

The comprehensive management of severe HLH requires the involvement of a multidisciplinary team in order to determine the best therapeutic strategy and to identify the underlying cause.

This is a preview of subscription content, access via your institution.

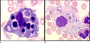
Fig. 1
Fig. 2

References

  1. Scott R, Robb-Smith A (1939) Histiocytic medullary reticulosis. Lancet 2:194–198

    Google Scholar 

  2. Risdall RJ, McKenna RW, Nesbit ME, Krivit W, Balfour HH Jr, Simmons RL, Brunning RD (1979) Virus-associated hemophagocytic syndrome: a benign histiocytic proliferation distinct from malignant histiocytosis. Cancer 44:993–1002

    PubMed  Article  CAS  Google Scholar 

  3. Cohen RA, Hutter JJ Jr, Boxer MA, Goldman DS (1980) Histiocytic medullary reticulosis associated with acute Epstein–Barr (EB) virus infection. Am J Pediatr Hematol Oncol 2:245–248

    PubMed  CAS  Google Scholar 

  4. McKenna RW, Risdall RJ, Brunning RD (1981) Virus associated hemophagocytic syndrome. Hum Pathol 12:395–398

    PubMed  Article  CAS  Google Scholar 

  5. Wilson ER, Malluh A, Stagno S, Crist WM (1981) Fatal Epstein–Barr virus-associated hemophagocytic syndrome. J Pediatr 98:260–262

    PubMed  Article  CAS  Google Scholar 

  6. Ezdinli EZ, Kucuk O, Chedid A, Sinclair TF, Thomas K, Singh S, Sarpel S, Jovanovic L (1986) Hypogammaglobulinemia and hemophagocytic syndrome associated with lymphoproliferative disorders. Cancer 57:1024–1037

    PubMed  Article  CAS  Google Scholar 

  7. Liang DC, Chu ML, Shih CC (1986) Reactive histiocytosis in acute lymphoblastic leukemia and non-Hodgkin's lymphoma. Cancer 58:1289–1284

    PubMed  Article  CAS  Google Scholar 

  8. March LM, Webb J, Eckstein RP (1986) Cytophagic panniculitis. Aust N Z J Med 16:397–401

    PubMed  CAS  Google Scholar 

  9. Gauvin F, Toledano B, Champagne J, Lacroix J (2000) Reactive hemophagocytic syndrome presenting as a component of multiple organ dysfunction syndrome. Crit Care Med 28:3341–3345

    PubMed  Article  CAS  Google Scholar 

  10. Strauss R, Neureiter D, Westenburger B, Wehler M, Kirchner T, Hahn EG (2004) Multifactorial risk analysis of bone marrow histiocytic hyperplasia with hemophagocytosis in critically ill medical patients: a postmortem clinicopathologic analysis. Crit Care Med 32:1316–1321

    PubMed  Article  Google Scholar 

  11. Nahum E, Ben-Ari J, Stain J, Schonfeld T (2000) Hemophagocytic lymphohistiocytic syndrome: unrecognized cause of multiple organ failure. Pediatr Crit Care Med 1:51–54

    PubMed  Article  CAS  Google Scholar 

  12. Stephan F, Thioliere B, Verdy E, Tulliez M (1997) Role of hemophagocytic histiocytosis in the etiology of thrombocytopenia in patients with sepsis syndrome or septic shock. Clin Infect Dis 25:1159–1164

    PubMed  Article  CAS  Google Scholar 

  13. Grom AA (2003) Macrophage activation syndrome and reactive hemophagocytic lymphohistiocytosis: The same entities? Curr Opin Rheumatol 15:587–590

    PubMed  Article  Google Scholar 

  14. Dinarello CA, Wolff SM (1993) The role of interleukin-1 in disease. N Engl J Med 328:106–113

    PubMed  Article  CAS  Google Scholar 

  15. Dinarello CA, Cannon JG (1993) Cytokine measurements in septic shock. Ann Intern Med 119:853–854

    PubMed  CAS  Google Scholar 

  16. Reiner AP, Spivak JL (1988) Hematophagic histiocytosis. A report of 23 new patients and a review of the literature. Medicine (Baltimore) 67:369–388

    CAS  Google Scholar 

  17. Shirono K, Tsuda H (1995) Virus-associated haemophagocytic syndrome in previously healthy adults. Eur J Haematol 55:240–244

    PubMed  CAS  Google Scholar 

  18. Ohta H, Yumara-Yagi K, Sakata N, Inoue M, Kawa-Ha K (1994) Capillary leak syndrome in patients with hemophagocytic lymphohistiocytosis. Acta Paediatr 83:1113–1114

    PubMed  Article  CAS  Google Scholar 

  19. Honig LS, Snipes GJ, Vogel H, Horoupian DS (1991) Sensorimotor neuropathy in hemophagocytosis syndrome. Acta Neurol Scand 84:316–320

    PubMed  CAS  Article  Google Scholar 

  20. Hanada T, Ono I, Iinuma S, Nagai Y (1989) Pure red cell aplasia in association with virus associated haemophagocytic syndrome (VAHS). Br J Haematol 73:570–571

    PubMed  Article  CAS  Google Scholar 

  21. Koduri PR, Carandang G, DeMarais P, Patel AR (1995) Hyperferritinemia in reactive hemophagocytic syndrome report of four adult cases. Am J Hematol 49:247–249

    PubMed  Article  CAS  Google Scholar 

  22. Esumi N, Ikushima S, Todo S, Imashuku S (1987) Hyperferritinemia in malignant histiocytosis and virus-associated hemophagocytic syndrome. N Engl J Med 316:346–347

    PubMed  CAS  Google Scholar 

  23. Esumi N, Ikushima S, Hibi S, Todo S, Imashuku S (1988) High serum ferritin level as a marker of malignant histiocytosis and virus-associated hemophagocytic syndrome. Cancer 61:2071–2076

    PubMed  Article  CAS  Google Scholar 

  24. Dinarello CA, Gelfand JA, Wolff SM (1993) Anticytokine strategies in the treatment of the systemic inflammatory response syndrome. J Am Med Assoc 269:1829–1835

    Article  CAS  Google Scholar 

  25. Henter JI, Carlson LA, Soder O, Nilsson-Ehle P, Elinder G (1991) Lipoprotein alterations and plasma lipoprotein lipase reduction in familial hemophagocytic lymphohistiocytosis. Acta Paediatr Scand 80:675–681

    PubMed  Article  CAS  Google Scholar 

  26. Ooe K (1992) Pathogenesis and clinical significance of hemophagocytic syndrome: hypothesis. Pediatr Pathol 12:309–312

    PubMed  Article  CAS  Google Scholar 

  27. McClure PD, Strachan P, Saunders EF (1974) Hypofibrinogenemia and thrombocytopenia in familial hemophagocytic reticulosis. J Pediatr 85:67–70

    Article  Google Scholar 

  28. de Kerguenec C, Hillaire S, Molinie V, Gardin C, Degott C, Erlinger S, Valla D (2001) Hepatic manifestations of hemophagocytic syndrome: a study of 30 cases. Am J Gastroenterol 96:852–857

    PubMed  Google Scholar 

  29. Billiau AD, Roskams T, Van Damme-Lombaerts R, Matthys P, Wouters C (2005) Macrophage activation syndrome: characteristic findings on liver biopsy illustrating the key role of activated, IFN-gamma-producing lymphocytes and IL-6- and TNF-alpha-producing macrophages. Blood 105:1648–1651

    PubMed  Article  CAS  Google Scholar 

  30. Whiting JF, Green RM, Rosenbluth AB, Gollan JL (1995) Tumor necrosis factor-alpha decreases hepatocyte bile salt uptake and mediates endotoxin-induced cholestasis. Hepatology 22:1273–1278

    PubMed  CAS  Google Scholar 

  31. Iso ON, Hashimoto N, Tanaka A, Sunaga S, Oka T, Kurokawa K, Watanabe T (1998) Cytokine-induced hypoalbuminemia in a patient with hemophagocytic syndrome: direct in vitro evidence for the role of tumor necrosis factor-alpha. Dig Dis Sci 43:67–73

    Article  Google Scholar 

  32. Weber J, Yang JC, Topalian SL, Parkinson DR, Schwartzentruber DS, Ettinghausen SE, Gunn H, Mixon A, Kim H, Cole D et al. (1993) Phase I trial of subcutaneous interleukin-6 in patients with advanced malignancies. J Clin Oncol 11:499–506

    PubMed  CAS  Google Scholar 

  33. Braun MC, Cohn RA, Kletzel M (1996) Nephrotic syndrome accompanying familial hemophagocytic syndrome. J Pediatr Hematol Oncol 18:195–197

    PubMed  Article  CAS  Google Scholar 

  34. Thaunat O, Delahousse M, Fakhouri F, Martinez F, Stephan JL, Noel LH, Karras A (2006) Nephrotic syndrome associated with hemophagocytic syndrome. Kidney Int 69:1892–1898

    PubMed  Article  CAS  Google Scholar 

  35. Chubachi A, Miura I, Hatano Y, Ohshima A, Nishinari T, Miura AB (1995) Syndrome of inappropriate secretion of antidiuretic hormone in patients with lymphoma-associated hemophagocytic syndrome. Ann Hematol 70:53–55

    PubMed  Article  CAS  Google Scholar 

  36. Favara BE (1996) Histopathology of the liver in histiocytosis syndromes. Pediatr Pathol Lab Med 16:413–433

    PubMed  CAS  Google Scholar 

  37. Janka GE (2007) Hemophagocytic syndromes. Blood Rev 21:245–253

    PubMed  Article  CAS  Google Scholar 

  38. Danish EH, Dahms BB, Kumar ML (1985) Cytomegalovirus-associated hemophagocytic syndrome. Pediatrics 75:280–283

    PubMed  CAS  Google Scholar 

  39. Lasserre M, Huguet C, Terno O (1993) Acute severe herpes simplex hepatitis with virus-associated hemophagocytic syndrome in an immunocompetent adult. J Hepatol 18:256–257

    PubMed  Article  CAS  Google Scholar 

  40. Boruchoff SE, Woda BA, Pihan GA, Durbin WA, Burstein D, Blacklow NR (1990) Parvovirus B19-associated hemophagocytic syndrome. Arch Intern Med 150:897–899

    PubMed  Article  CAS  Google Scholar 

  41. Morimoto A, Teramura T, Asazuma Y, Mukoyama A, Imashuku S (2003) Hemophagocytic syndrome associated with severe adenoviral pneumonia: usefulness of real-time polymerase chain reaction for diagnosis. Int J Hematol 77:295–298

    PubMed  Google Scholar 

  42. Kyoda K, Nakamura S, Machi T, Kitagawa S, Ohtake S, Matsuda T (1998) Acute hepatitis A virus infection-associated hemophagocytic syndrome. Am J Gastroenterol 93:1187–1188

    PubMed  Article  CAS  Google Scholar 

  43. Guerin C, Pozzetto B, Berthoux F (1989) Hemophagocytic syndrome associated with coxsackie virus A 9 infection in a non-immunosuppressed adult. Intensive Care Med 15:547–548

    PubMed  CAS  Google Scholar 

  44. Henter JI, Chow CB, Leung CW, Lau YL (2006) Cytotoxic therapy for severe avian influenza A (H5N1) infection. Lancet 367:870–873

    PubMed  Article  CAS  Google Scholar 

  45. Chen TL, Wong WW, Chiou TJ (2003) Hemophagocytic syndrome: an unusual manifestation of acute human immunodeficiency virus infection. Int J Hematol 78:450–452

    PubMed  Google Scholar 

  46. Baraldes MA, Domingo P, Gonzalez MJ, Aventin A, Coll P (1998) Tuberculosis-associated hemophagocytic syndrome in patients with acquired immunodeficiency syndrome. Arch Intern Med 158:194–195

    PubMed  Article  CAS  Google Scholar 

  47. Yang WK, Fu LS, Lan JL, Shen GH, Chou G, Tseng CF, Chi CS (2003) Mycobacterium avium complex-associated hemophagocytic syndrome in systemic lupus erythematosus patient: report of one case. Lupus 12:312–316

    PubMed  Article  CAS  Google Scholar 

  48. Masri K, Mahon N, Rosario A, Mirza I, Keys TF, Ratliff NB, Starling RC (2003) Reactive hemophagocytic syndrome associated with disseminated histoplasmosis in a heart transplant recipient. J Heart Lung Transplant 22:487–491

    PubMed  Article  Google Scholar 

  49. Kumar N, Jain S, Singh ZN (2000) Disseminated histoplasmosis with reactive hemophagocytosis: aspiration cytology findings in two cases. Diagn Cytopathol 23:422–424

    PubMed  Article  CAS  Google Scholar 

  50. Kontopoulou T, Tsaousis G, Vaidakis E, Fanourgiakis P, Michalakeas E, Trigoni E, Samarkos M (2002) Hemophagocytic syndrome in association with visceral leishmaniasis. Am J Med 113:439–440

    PubMed  Article  Google Scholar 

  51. Tapisiz A, Belet N, Ciftci E, Ince E, Dogru U (2007) Hemophagocytic lymphohistiocytosis associated with visceral leishmaniasis. J Trop Pediatr 11:11

    Google Scholar 

  52. Taillan B, Ferrari E, Heudier P, Fuzibet JG, Dujardin P (1991) Hemophagocytic syndrome in pneumocystosis. Presse Med 20:1456–1457 [in French]

    PubMed  CAS  Google Scholar 

  53. Garcia Escudero A, Benitez Moya JM, Lag Asturiano E (2000) Hemophagocytic syndrome and invasive aspergillosis in a patient with Churg-Strauss vasculitis. Med Clin (Barc) 115:598 [in Spanish]

    CAS  Google Scholar 

  54. Bhatia S, Bauer F, Bilgrami SA (2003) Candidiasis-associated hemophagocytic lymphohistiocytosis in a patient infected with human immunodeficiency virus. Clin Infect Dis 37:e161–e166

    PubMed  Article  Google Scholar 

  55. Jaffe ES, Costa J, Fauci AS, Cossman J, Tsokos M (1983) Malignant lymphoma and erythrophagocytosis simulating malignant histiocytosis. Am J Med 75:741–749

    PubMed  Article  CAS  Google Scholar 

  56. Chuang HC, Lay JD, Hsieh WC, Su IJ (2007) Pathogenesis and mechanism of disease progression from hemophagocytic lymphohistiocytosis to Epstein–Barr virus-associated T-cell lymphoma: nuclear factor-kappa B pathway as a potential therapeutic target. Cancer Sci 98:1281–1287

    PubMed  Article  CAS  Google Scholar 

  57. Janka G, Imashuku S, Elinder G, Schneider M, Henter JI (1998) Infection- and malignancy-associated hemophagocytic syndromes. Secondary hemophagocytic lymphohistiocytosis. Hematol Oncol Clin North Am 12:435–444

    PubMed  Article  CAS  Google Scholar 

  58. Kojima H, Takei N, Mukai Y, Hasegawa Y, Suzukawa K, Nagata M, Noguchi M, Mori N, Nagasawa T (2003) Hemophagocytic syndrome as the primary clinical symptom of Hodgkin's disease. Ann Hematol 82:53–56

    PubMed  CAS  Google Scholar 

  59. Aouba A, Lambotte O, Vasiliu V, Divine M, Valensi F, Varet B, Bazarbachi A, Hermine O (2004) Hemophagocytic syndrome as a presenting sign of transformation of smoldering to acute adult T-cell leukemia/lymphoma: efficacy of anti-retroviral and interferon therapy. Am J Hematol 76:187–189

    PubMed  Article  Google Scholar 

  60. Srichaikul T, Punyagupta S, Mongkolsritrakul W, Jidpugdeebodin S (2004) EBV and hemophagocytic syndrome: analysis of 3 cases, with speculation on clinical features, therapy and role of EBV. J Med Assoc Thai 87:974–983

    PubMed  Google Scholar 

  61. Fardet L, Blum L, Kerob D, Agbalika F, Galicier L, Dupuy A, Lafaurie M, Meignin V, Morel P, Lebbe C (2003) Human herpesvirus 8-associated hemophagocytic lymphohistiocytosis in human immunodeficiency virus-infected patients. Clin Infect Dis 37:285–291

    PubMed  Article  CAS  Google Scholar 

  62. Seliem RM, Griffith RC, Harris NL, Beheshti J, Schiffman FJ, Longtine J, Kutok J, Ferry JA (2007) HHV-8+, EBV+ multicentric plasmablastic microlymphoma in an HIV+ Man: the spectrum of HHV-8+ lymphoproliferative disorders expands. Am J Surg Pathol 31:1439–1445

    PubMed  Article  Google Scholar 

  63. Li CF, Ye H, Liu H, Du MQ, Chuang SS (2006) Fatal HHV-8-associated hemophagocytic syndrome in an HIV-negative immunocompetent patient with plasmablastic variant of multicentric Castleman disease (plasmablastic microlymphoma). Am J Surg Pathol 30:123–127

    PubMed  Article  Google Scholar 

  64. Okuda T, Sakamoto S, Deguchi T, Misawa S, Kashima K, Yoshihara T, Ikushima S, Hibi S, Imashuku S (1991) Hemophagocytic syndrome associated with aggressive natural killer cell leukemia. Am J Hematol 38:321–323

    PubMed  Article  CAS  Google Scholar 

  65. Ma L, Bandarchi B, Glusac EJ (2005) Fatal subcutaneous panniculitis-like T-cell lymphoma with interface change and dermal mucin, a dead ringer for lupus erythematosus. J Cutan Pathol 32:360–365

    PubMed  Article  Google Scholar 

  66. Palazzi DL, McClain KL, Kaplan SL (2003) Hemophagocytic syndrome after Kawasaki disease. Pediatr Infect Dis J 22:663–666

    PubMed  Article  Google Scholar 

  67. al-Eid W, al-Jefri A, Bahabri S, al-Mayouf S (2000) Hemophagocytosis complicating Kawasaki disease. Pediatr Hematol Oncol 17:323–329

    PubMed  Article  CAS  Google Scholar 

  68. Okada M, Suzuki K, Hidaka T, Shinohara T, Kataharada K, Matsumoto M, Takada K, Ohsuzu F (2001) Hemophagocytic syndrome in systemic lupus erythematosus. Intern Med 40:1263–1264

    PubMed  Article  CAS  Google Scholar 

  69. Sekigawa I, Suzuki J, Nawata M, Ikeda K, Koike M, Iida N, Hashimoto H, Oshimi K (2001) Hemophagocytosis in autoimmune disease. Clin Exp Rheumatol 19:333–338

    PubMed  CAS  Google Scholar 

  70. Dhote R, Simon J, Papo T, Detournay B, Sailler L, Andre MH, Dupond JL, Larroche C, Piette AM, Mechenstock D, Ziza JM, Arlaud J, Labussiere AS, Desvaux A, Baty V, Blanche P, Schaeffer A, Piette JC, Guillevin L, Boissonnas A, Christoforov B (2003) Reactive hemophagocytic syndrome in adult systemic disease: report of twenty-six cases and literature review. Arthritis Rheum 49:633–639

    PubMed  Article  Google Scholar 

  71. Menasche G, Feldmann J, Fischer A, Basile Gde S (2005) Primary hemophagocytic syndromes point to a direct link between lymphocyte cytotoxicity and homeostasis. Immunol Rev 203:165–179

    PubMed  Article  CAS  Google Scholar 

  72. Egeler RM, Shapiro R, Loechelt B, Filipovich A (1996) Characteristic immune abnormalities in hemophagocytic lymphohistiocytosis. J Pediatr Hematol Oncol 18:340–345

    PubMed  Article  CAS  Google Scholar 

  73. Osugi Y, Hara J, Tagawa S, Takai K, Hosoi G, Matsuda Y, Ohta H, Fujisaki H, Kobayashi M, Sakata N, Kawa-Ha K, Okada S, Tawa A (1997) Cytokine production regulating Th1 and Th2 cytokines in hemophagocytic lymphohistiocytosis. Blood 89:4100–4103

    PubMed  CAS  Google Scholar 

  74. Akashi K, Hayashi S, Gondo H, Mizuno S, Harada M, Tamura K, Yamasaki K, Shibuya T, Uike N, Okamura T et al. (1994) Involvement of interferon-gamma and macrophage colony-stimulating factor in pathogenesis of haemophagocytic lymphohistiocytosis in adults. Br J Haematol 87:243–250

    PubMed  Article  CAS  Google Scholar 

  75. Hasegawa D, Kojima S, Tatsumi E, Hayakawa A, Kosaka Y, Nakamura H, Sako M, Osugi Y, Nagata S, Sano K (1998) Elevation of the serum Fas ligand in patients with hemophagocytic syndrome and Diamond-Blackfan anemia. Blood 91:2793–2799

    PubMed  CAS  Google Scholar 

  76. Imashuku S, Hibi S, Sako M, Ishida Y, Mugishima H, Chen J, Tsunematsu Y (1995) Soluble interleukin-2 receptor: a useful prognostic factor for patients with hemophagocytic lymphohistiocytosis. Blood 86:4706–4707

    PubMed  CAS  Google Scholar 

  77. Imashuku S, Hibi S (1991) Cytokines in hemophagocytic syndrome. Br J Haematol 77:438–440

    PubMed  Article  CAS  Google Scholar 

  78. Henter JI, Elinder G, Soder O, Hansson M, Andersson B, Andersson U (1991) Hypercytokinemia in familial hemophagocytic lymphohistiocytosis. Blood 78:2918–2922

    PubMed  CAS  Google Scholar 

  79. Fujiwara F, Hibi S, Imashuku S (1993) Hypercytokinemia in hemophagocytic syndrome. Am J Pediatr Hematol Oncol 15:92–98

    PubMed  CAS  Google Scholar 

  80. Castilletti C, Preziosi R, Bernardini G, Caterini A, Gomes V, Calcaterra S, Carletti F, Capobianchi MR, Armignacco O (2004) Hemophagocytic syndrome in a patient with acute human immunodeficiency virus infection. Clin Infect Dis 38:1792–1793

    PubMed  Article  Google Scholar 

  81. Lambotte O, Khellaf M, Harmouche H, Bader-Meunier B, Manceron V, Goujard C, Amoura Z, Godeau B, Piette JC, Delfraissy JF (2006) Characteristics and long-term outcome of 15 episodes of systemic lupus erythematosus-associated hemophagocytic syndrome. Medicine (Baltimore) 85:169–182

    Article  Google Scholar 

  82. Karras A, Thervet E, Legendre C (2004) Hemophagocytic syndrome in renal transplant recipients: report of 17 cases and review of literature. Transplantation 77:238–243

    PubMed  Article  Google Scholar 

  83. Lin MT, Chang HM, Huang CJ, Chen WL, Lin CY, Lin CY, Chuang SS (2007) Massive expansion of EBV+ monoclonal T cells with CD5 down regulation in EBV-associated haemophagocytic lymphohistiocytosis. J Clin Pathol 60:101–103

    PubMed  Article  CAS  Google Scholar 

  84. Chuang HC, Lay JD, Chuang SE, Hsieh WC, Chang Y, Su IJ (2007) Epstein–Barr virus (EBV) latent membrane protein-1 down-regulates tumor necrosis factor-alpha (TNF-alpha) receptor-1 and confers resistance to TNF-alpha-induced apoptosis in T cells: implication for the progression to T-cell lymphoma in EBV-associated hemophagocytic syndrome. Am J Pathol 170:1607–1617

    PubMed  Article  CAS  Google Scholar 

  85. Kaito K, Kobayashi M, Katayama T, Otsubo H, Ogasawara Y, Sekita T, Saeki A, Sakamoto M, Nishiwaki K, Masuoka H, Shimada T, Yoshida M, Hosoya T (1997) Prognostic factors of hemophagocytic syndrome in adults: analysis of 34 cases. Eur J Haematol 59:247–253

    PubMed  CAS  Article  Google Scholar 

  86. Imashuku S (2000) Advances in the management of hemophagocytic lymphohistiocytosis. Int J Hematol 72:1–11

    PubMed  CAS  Google Scholar 

  87. Imashuku S, Hibi S, Tabata Y, Todo S (1999) Hemophagocytic syndrome in five patients with Epstein–Barr virus negative B-cell lymphoma. Cancer 85:2298–2300

    PubMed  Article  CAS  Google Scholar 

  88. Imashuku S, Kuriyama K, Sakai R, Nakao Y, Masuda S, Yasuda N, Kawano F, Yakushijin K, Miyagawa A, Nakao T, Teramura T, Tabata Y, Morimoto A, Hibi S (2003) Treatment of Epstein–Barr virus-associated hemophagocytic lymphohistiocytosis (EBV-HLH) in young adults: a report from the HLH study center. Med Pediatr Oncol 41:103–109

    PubMed  Article  Google Scholar 

  89. Hardikar W, Pang K, Al-Hebbi H, Curtis N, Couper R (2006) Successful treatment of cytomegalovirus-associated haemophagocytic syndrome following paediatric orthotopic liver transplantation. J Paediatr Child Health 42:389–391

    PubMed  Article  Google Scholar 

  90. Ramasamy K, Lim ZY, Savvas M, Salisbury JR, Dokal I, Mufti GJ, Pagliuca A (2006) Disseminated herpes virus (HSV-2) infection with rhabdomyolysis and hemophagocytic lymphohistiocytosis in a patient with bone marrow failure syndrome. Ann Hematol 85:629–630

    PubMed  Article  CAS  Google Scholar 

  91. Imashuku S, Hibi S, Ohara T, Iwai A, Sako M, Kato M, Arakawa H, Sotomatsu M, Kataoka S, Asami K, Hasegawa D, Kosaka Y, Sano K, Igarashi N, Maruhashi K, Ichimi R, Kawasaki H, Maeda N, Tanizawa A, Arai K, Abe T, Hisakawa H, Miyashita H, Henter JI (1999) Effective control of Epstein–Barr virus-related hemophagocytic lymphohistiocytosis with immunochemotherapy. Histiocyte Society. Blood 93:1869–1874

    PubMed  CAS  Google Scholar 

  92. Papo T, Andre MH, Amoura Z, Lortholary O, Tribout B, Guillevin L, Piette JC (1999) The spectrum of reactive hemophagocytic syndrome in systemic lupus erythematosus. J Rheumatol 26:927–930

    PubMed  CAS  Google Scholar 

  93. Ravelli A, Viola S, Benedetti F de, Magni-Manzoni S, Tzialla C, Martini A (2001) Dramatic efficacy of cyclosporine A in macrophage activation syndrome. Clin Exp Rheumatol 19:108

    PubMed  CAS  Google Scholar 

  94. Ravelli A (2002) Macrophage activation syndrome. Curr Opin Rheumatol 14:548–552

    PubMed  Article  CAS  Google Scholar 

  95. Henzan T, Nagafuji K, Tsukamoto H, Miyamoto T, Gondo H, Imashuku S, Harada M (2006) Success with infliximab in treating refractory hemophagocytic lymphohistiocytosis. Am J Hematol 81:59–61

    PubMed  Article  Google Scholar 

Download references

Acknowledgements

The authors thank M.T. Daniel for her contribution to iconography preparation and A. Wolfe for her help with the manuscript.

Author information

Affiliations

Authors

Corresponding author

Correspondence to Elie Azoulay.

Rights and permissions

Reprints and Permissions

About this article

Cite this article

Créput, C., Galicier, L., Buyse, S. et al. Understanding organ dysfunction in hemophagocytic lymphohistiocytosis. Intensive Care Med 34, 1177–1187 (2008). https://doi.org/10.1007/s00134-008-1111-y

Download citation

  • Received:

  • Accepted:

  • Published:

  • Issue Date:

  • DOI: https://doi.org/10.1007/s00134-008-1111-y

Keywords

  • Hemophagocytosis
  • Histiocytosis
  • Langerhans cells
  • Th1 Cytokines activation
  • Cytopenia
  • Autoimmune disease