Skip to main content

Management of an unusual case of acute respiratory failure with a double-lumen endobronchial tube

This is a preview of subscription content, access via your institution.

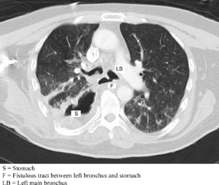
Fig. 1

References

  1. Anantham D, Jagadesan R, Tiew PE (2005) Clinical review: Independent lung ventilation in critical care. Crit Care 9:594–600

    PubMed  Article  Google Scholar 

  2. Barcons M, Betbese A, Perez M, Vallverdu I, Net A, Mancebo J (1996) Gastrobronchial fistula: report of an unusual case. Intensive Care Med 22:271–272

    PubMed  Article  CAS  Google Scholar 

  3. Grillo HC (2003) Acquired tracheoesophageal fistula and bronchoesophageal fistula. In: Grillo HC (ed) Surgery of the trachea and bronchi. BC Decker, New York, pp 341–356

    Google Scholar 

Download references

Author information

Affiliations

Authors

Corresponding author

Correspondence to K. Venkatesan.

Electronic supplementary material

Rights and permissions

Reprints and Permissions

About this article

Cite this article

Venkatesan, K., Coleman, N.A. Management of an unusual case of acute respiratory failure with a double-lumen endobronchial tube. Intensive Care Med 33, 2034–2035 (2007). https://doi.org/10.1007/s00134-007-0746-4

Download citation

  • Received:

  • Accepted:

  • Published:

  • Issue Date:

  • DOI: https://doi.org/10.1007/s00134-007-0746-4

Keywords

  • Acute Respiratory Failure
  • Fistulous Tract
  • Main Stem Bronchus
  • Left Main Stem
  • Left Main Stem Bronchus