Skip to main content

Evaluation des sagittalen Profils nach operativer Therapie der thorakalen adoleszenten idiopathischen Skoliose Lenke Typ 1

Evaluation of the sagittal profile in patients with thoracic adolescent idiopathic scoliosis Lenke type 1 following posterior correction

Zusammenfassung

Hintergrund

Die Behandlungsstrategie der adoleszenten idiopathischen Skoliose (AIS) mittels dorsaler Korrekturspondylodese hat sich in den letzten Jahrzehnten verändert. Primär lag der Fokus auf der Korrektur der Hauptkurve in der Frontalebene, ohne das sagittale Profil bei der Operationsplanung zu berücksichtigen. In verschiedenen Langzeitstudien wurde nachgewiesen, dass nach Skolioseoperationen viele Patienten unter einem Flachrücken („flatback syndrome“) mit Rückenschmerzen litten. Es wurde daher postuliert, dass die optimale chirurgische Versorgung der thorakalen adoleszenten idiopathischen Skoliose auch die Erhaltung der sagittalen Balance und der lumbalen Lordose berücksichtigen sollte. Allerdings existieren nur wenige Studien, welche den Effekt zusätzlicher Prozeduren zum Erhalt des sagittalen Profils untersuchten.

Material und Methoden

Ziel der vorliegenden Studie ist es, den Effekt verschiedener dorsaler Operationstechniken auf das sagittale Profil zu untersuchen. Retrospektiv wurden 36 Patienten mit thorakaler idiopathischen Adoleszentenskoliose eingeschlossen, welche mittels dorsaler Korrekturspondylodese versorgt wurden. Unter Berücksichtigung verschiedener Korrekturprinzipien wurden die Patienten in Subgruppen eingeteilt (A Pedikelschraube, B Langkopfpedikelschraube, C Langkopfpedikelschraube mit Ponte-Osteotomien). Standardröntgenaufnahmen der ganzen Wirbelsäule im Stehen wurden vor und mindestens 2 Jahre nach dorsaler Korrektur angefertigt. Eine Subgruppenanalyse wurde zur Detektierung von Gruppenunterschieden vorgenommen.

Ergebnisse

In allen 3 Gruppen wurde eine signifikante Korrektur der Hauptkurve nachgewiesen (p < 0,001). Das Korrekturausmaß der Hauptkurve war in den Gruppen B und C signifikant höher als in Gruppe A (p < 0,001). Bezüglich des sagittalen Profils wurden signifikante Unterschiede zwischen den Gruppen gefunden. Während sich eine signifikante Verminderung der Thorakalkyphose (TK) sowie der Lendenlordose (LL) in den Gruppen A und B zeigte, kam es in Gruppe C zur signifikanten Erhöhung beider Parameter (p < 0,001). Diese Veränderungen in Gruppe C waren mit einer signifikanten Verminderung des „pelvic tilt“ sowie einer signifikanten Erhöhung des „sacral slope“ assoziiert. Nur in Gruppe C war in der 2-Jahres-Nachuntersuchung der ODI-%-Wert am niedrigsten und mit der Reduktion des „pelvic tilt“ positiv korreliert.

Schlussfolgerung

Die Ergebnisse unserer Studie unterstreichen, das eine isolierte dorsale Korrekturspondylodese ohne Berücksichtigung des sagittalen Profils zwar zur signifikanten Reduktion der Hauptkurve in der Frontalebene führt, jedoch regelhaft zur Verschlechterung des sagittalen Profils („Flachrückensyndrom“) beitragen kann. Weiter wurde nachgewiesen, dass zusätzliche Techniken, welche das sagittale Profil beeinflussen, zur signifikanten Verbesserung der TK sowie der LL führen. Sie sind daher für die Korrektur der thorakalen idiopathischen Adoleszentenskoliose Typ Lenke 1 zu empfehlen.

Abstract

Introduction

The principle philosophy of posterior spinal instrumentation and fusion (PSIF) for the treatment of adolescent idiopathic scoliosis (AIS) has changed during recent decades. In the past the treatment of AIS mainly focused on correction of the major curve in the frontal plane while the sagittal profile and balancing were only of inferior interest in treatment planning. Various long-term outcome studies have demonstrated that many AIS patients developed a flatback syndrome (decrease of thoracic kyphosis and lumbar lordosis) associated with pain. It was concluded that treatment of AIS should consider the sagittal profile and balance; however, there are only few studies addressing additional procedures, which include the correction of the sagittal profile.

Material and methods

The purpose of this study was to evaluate the effects of different posterior correction techniques on sagittal profile and balance. A total of 36 consecutive patients with thoracic AIS, who were treated with selective thoracic posterior correction were included in this retrospective study. The patients were further assigned to three different subgroups according to different surgical strategies: A: pedicle screws, B: long-head pedicle screws and C: additional Ponte osteotomy. Standardized radiographs in the standing position of the whole spine in two planes were evaluated before and at least 2 years after correction for all patients and a subgroup analysis was done to identify differences between the three groups.

Results

A significant correction of the major curve was achieved in all three groups (p < 0.001). There was a significant difference between the groups with groups B and C showing significantly higher levels of major curve correction in comparison to group A (p < 0.001). Concerning the sagittal profile, there was a significant difference in the development of thoracic kyphosis (TK) and lumbar lordosis (LL). While a significant reduction of TK and LL was found in groups A and B after surgery, a significant increase of TK and LL was noted in group C which was associated with a decrease of pelvic tilt and an increase of sacral slope. The 2-year follow-up showed the lowest ODI-% value only in group C which was positively correlated with reduction in pelvic tilt.

Conclusions

The results of this study underline that the PSIF technique alone using pedicle screws leads to a satisfactory correction in the frontal plane but is associated with adverse effects on the sagittal profile (flat back syndrome), corroborating previous studies. It was further shown that significant improvements of sagittal parameters were achieved by adding techniques for the lengthening of the dorsal thoracic column. This approach can therefore be recommended for the treatment of AIS Lenke type 1.

This is a preview of subscription content, access via your institution.

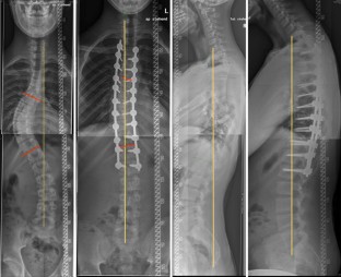
Abb. 1
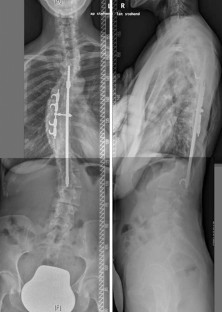
Abb. 2
Abb. 3

Literatur

  1. Betz RR, Harms J, Clements DH IIIrd et al (1999) Comparison of anterior and posterior instrumentation for correction of adolescent thoracic idiopathic scoliosis. Spine 24:225–239

    PubMed  Article  CAS  Google Scholar 

  2. Boos N, Dolan LA, Weinstein SL (2007) Long-term clinical and radiographic results of Cotrel-Dubousset instrumentation of right thoracic adolescent idiopathic scoliosis. Iowa Orthop J 27:40–46

    PubMed  Google Scholar 

  3. Bridwell KH (1999) Surgical treatment of idiopathic adolescent scoliosis. Spine 24:2607–2616

    PubMed  Article  CAS  Google Scholar 

  4. Danielsson AJ, Nachemson AL (2003) Back pain and function 23 years after fusion for adolescent idiopathic scoliosis: a case-control study-part II. Spine 28:E373–E383

    PubMed  Article  Google Scholar 

  5. De Jonge T, Dubousset JF, Illes T (2002) Sagittal plane correction in idiopathic scoliosis. Spine 27:754–760

    Article  Google Scholar 

  6. Deacon P, Archer IA, Dickson RA (1987) The anatomy of spinal deformity: a biomechanical analysis. Orthopedics 10:897–903

    PubMed  CAS  Google Scholar 

  7. Dickson RA (1988) The aetiology of spinal deformities. Lancet 1:1151–1155

    PubMed  Article  CAS  Google Scholar 

  8. Fairbank JC, Couper J, Davies JB et al (1980) The Oswestry low back pain disability questionnaire. Physiotherapy 66:271–273

    PubMed  CAS  Google Scholar 

  9. Fletcher ND, Hopkins J, Mcclung A et al (2012) Residual thoracic hypokyphosis after posterior spinal fusion and instrumentation in adolescent idiopathic scoliosis: risk factors and clinical ramifications. Spine 37:200–206

    PubMed  Article  Google Scholar 

  10. Geck MJ, Macagno A, Ponte A et al (2007) The Ponte procedure: posterior only treatment of Scheuermann’s kyphosis using segmental posterior shortening and pedicle screw instrumentation. J Spinal Disord Tech 20:586–593

    PubMed  Article  Google Scholar 

  11. Gelb DE, Lenke LG, Bridwell KH et al (1995) An analysis of sagittal spinal alignment in 100 asymptomatic middle and older aged volunteers. Spine 20:1351–1358

    PubMed  CAS  Google Scholar 

  12. Halanski MA, Cassidy JA (2011) Do multilevel Ponte osteotomies in thoracic idiopathic scoliosis surgery improve curve correction and restore thoracic kyphosis? J Spinal Disord Tech 31(6):633–637

    Google Scholar 

  13. Hammerberg EM, Wood KB (2003) Sagittal profile of the elderly. J Spinal Disord Tech 16:44–50

    PubMed  Article  Google Scholar 

  14. Hilibrand AS, Tannenbaum DA, Graziano GP et al (1995) The sagittal alignment of the cervical spine in adolescent idiopathic scoliosis. J Pediatr Orthop 15:627–632

    PubMed  Article  CAS  Google Scholar 

  15. Imrie M, Yaszay B, Bastrom TP et al (2011) Adolescent idiopathic scoliosis: should 100% correction be the goal? J Pediatr Orthop 31:9–13

    Article  Google Scholar 

  16. Jackson RP, Mcmanus AC (1994) Radiographic analysis of sagittal plane alignment and balance in standing volunteers and patients with low back pain matched for age, sex, and size. A prospective controlled clinical study. Spine 19:1611–1618

    PubMed  Article  CAS  Google Scholar 

  17. Kim YJ, Lenke LG, Cho SK et al (2004) Comparative analysis of pedicle screw versus hook instrumentation in posterior spinal fusion of adolescent idiopathic scoliosis. Spine 29:2040–2048

    PubMed  Article  Google Scholar 

  18. Kim YJ, Lenke LG, Kim J et al (2006) Comparative analysis of pedicle screw versus hybrid instrumentation in posterior spinal fusion of adolescent idiopathic scoliosis. Spine 31:291–298

    PubMed  Article  Google Scholar 

  19. La Grone MO (1988) Loss of lumbar lordosis. A complication of spinal fusion for scoliosis. Orthop Clin North Am 19:383–393

    Google Scholar 

  20. Lagrone MO, Bradford DS, Moe JH et al (1988) Treatment of symptomatic flatback after spinal fusion. J Bone Joint Surg [Am] 70:569–580

    Google Scholar 

  21. Larson AN, Fletcher ND, Daniel C et al (2012) Lumbar curve is stable after selective thoracic fusion for adolescent idiopathic scoliosis: a 20-year follow-up. Spine 37:833–839

    PubMed  Article  Google Scholar 

  22. Legaye J, Duval-Beaupere G, Hecquet J et al (1998) Pelvic incidence: a fundamental pelvic parameter for three-dimensional regulation of spinal sagittal curves. Eur Spine J 7:99–103

    PubMed  Article  CAS  Google Scholar 

  23. Lowenstein JE, Matsumoto H, Vitale MG et al (2007) Coronal and sagittal plane correction in adolescent idiopathic scoliosis: a comparison between all pedicle screw versus hybrid thoracic hook lumbar screw constructs. Spine 32:448–452

    PubMed  Article  Google Scholar 

  24. Majdouline Y, Aubin CE, Robitaille M et al (2007) Scoliosis correction objectives in adolescent idiopathic scoliosis. J Pediatr Orthop 27:775–781

    PubMed  Article  Google Scholar 

  25. Mladenov KV, Vaeterlein C, Stuecker R (2011) Selective posterior thoracic fusion by means of direct vertebral derotation in adolescent idiopathic scoliosis: effects on the sagittal alignment. Eur Spine J 20:1114–1117

    PubMed  Article  Google Scholar 

  26. Moskowitz A, Moe JH, Winter RB et al (1980) Long-term follow-up of scoliosis fusion. J Bone Joint Surg [Am] 62:364–376

    Google Scholar 

  27. Muschik MT, Kimmich H, Demmel T (2006) Comparison of anterior and posterior double-rod instrumentation for thoracic idiopathic scoliosis: results of 141 patients. Eur Spine J 15:1128–1138

    PubMed  Article  Google Scholar 

  28. Newton PO, Yaszay B, Upasani VV et al (2010) Preservation of thoracic kyphosis is critical to maintain lumbar lordosis in the surgical treatment of adolescent idiopathic scoliosis. Spine 35:1365–1370

    PubMed  Google Scholar 

  29. Parsch D, Gaertner V, Brocai DR et al (2001) The effect of spinal fusion on the long-term outcome of idiopathic scoliosis. A case-control study. J Bone Joint Surg [Br] 83:1133–1136

    Google Scholar 

  30. Perdriolle R, Vidal J (1981) A study of scoliotic curve. The importance of extension and vertebral rotation (author’s transl). Rev Chir Orthop Reparatrice Appar Mot 67:25–34

    PubMed  CAS  Google Scholar 

  31. Ponte A (2003) Posterior column shortining for Scheuermann’s kyphosis. In: Haher TR, Merola AA (eds) Surgical techniques for the spine. Thieme, New York, pp 107–113

  32. Ponte A, Vero B, Siccardi GL (1984) Surgical teratment of Scheuermann’s hyperkyphosis. In: Winter RB (ed) Progress in spinal pathology. Kyphosis Aulo Gaggi, Bologna, pp 75–80

  33. Potter BK, Kuklo TR, Lenke LG (2005) Radiographic outcomes of anterior spinal fusion versus posterior spinal fusion with thoracic pedicle screws for treatment of Lenke Type I adolescent idiopathic scoliosis curves. Spine 30:1859–1866

    PubMed  Article  Google Scholar 

  34. Potter BK, Lenke LG, Kuklo TR (2004) Prevention and management of iatrogenic flatback deformity. J Bone Joint Surg [Am] 86-A:1793–1808

    Google Scholar 

  35. Rhee JM, Bridwell KH, Won DS et al (2002) Sagittal plane analysis of adolescent idiopathic scoliosis: the effect of anterior versus posterior instrumentation. Spine 27:2350–2356

    PubMed  Article  Google Scholar 

  36. Schwab F (2011) Osteotomy planning using surgimap software. 2011 HIBBS Society Meeting Louisville, Kentucky, USA

  37. Schwab F (2011) Techniques for optimizing safety and outcomes in spinal deformity surgery session II: techniques and panel discussion. Scoliosis Research Society 46th Annual Meeting and Course Louisville, Kentucky, USA

  38. Somerville EW (1952) Rotational lordosis; the development of single curve. J Bone Joint Surg [Br] 34-B:421–427

    Google Scholar 

  39. Sucato DJ, Agrawal S, O’brien MF et al (2008) Restoration of thoracic kyphosis after operative treatment of adolescent idiopathic scoliosis: a multicenter comparison of three surgical approaches. Spine 33:2630–2636

    PubMed  Article  Google Scholar 

  40. Vitale MG, Colacchio ND, Matsumoto H et al (2011) Flatback revisited? Reciprocal loss of lumbar lordosis following selective thoracic fusion. Scoliosis Reseach Society 46th Annual Meeting And Course. Louisville, Kentucky, USA

  41. Vora V, Crawford A, Babekhir N et al (2007) A pedicle screw construct gives an enhanced posterior correction of adolescent idiopathic scoliosis when compared with other constructs: myth or reality. Spine 32:1869–1874

    PubMed  Article  Google Scholar 

  42. Wiedenhofer B, Furstenberg CH, Schroder K et al (2011) Multiplan correction of a 3D deformity. Options and relevance of optimizing the thoracic kyphosis in reconstructive scoliosis surgery. Orthopade 40:672–681

    PubMed  Article  CAS  Google Scholar 

Download references

Interessenkonflikt

Der korrespondierende Autor gibt für sich und seine Koautoren an, dass kein Interessenkonflikt besteht.

Author information

Affiliations

Authors

Corresponding authors

Correspondence to M. Akbar or B. Wiedenhöfer.

Rights and permissions

Reprints and Permissions

About this article

Cite this article

Akbar, M., Dreher, T., Schwab, F. et al. Evaluation des sagittalen Profils nach operativer Therapie der thorakalen adoleszenten idiopathischen Skoliose Lenke Typ 1. Orthopäde 42, 150–156 (2013). https://doi.org/10.1007/s00132-012-2060-2

Download citation

  • Published:

  • Issue Date:

  • DOI: https://doi.org/10.1007/s00132-012-2060-2

Schlüsselwörter

  • Thorakale Kyphose
  • Lumbale Lordose
  • „Pelvic tilt“
  • „Sacral slope“
  • Spinopelvine Parameter

Keywords

  • Thoracic kyphosis
  • Lumbar lordosis
  • Pelvic tilt
  • Sacral slope
  • Spinopelvic parameters