Abstract
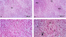
The aim of the study was to investigate for the first time histopathologic effects of carbaryl on the testes of adult frog, Pelophylax bedriagae. Frogs were exposed to carbaryl once by oral gavage in concentrations of 0.05, 0.1 and 0.2 mg/g. After 96 h, frogs were euthanized and dissected. Histopathological changes were more prominent in medium- (0.1 mg/g) and high-dose (0.2 mg/g) groups than in the low-dose (0.05 mg/g) group. In the low-dose group, shrinkage of some seminiferous tubules was observed. In the medium-dose group, an enlargement of interstitial spaces and germ cell necrosis were detected. In the high-dose group, prominent tubule deformation was determined. Germ cell necrosis in seminiferous tubules was frequently seen. In addition, congestion, hemorrhage, cellular infiltration and fibrosis were detected. According to these findings, it is clear that carbaryl affects male fertility in P. bedriagae.





Similar content being viewed by others
References
Afifi NA, Ramadan A, Abd-El-Aziz MI, Saki EE (1991) Influence of dimethoate on testicular and epididymal organs, testosterone plasma level and their tissue residues in rats. Dtsch Tierarztl Wochenschr 98:419–420
Alford RA, Richards SJ (1999) Global amphibian declines: a problem in applied ecology. Ann Rev Ecol Syst 30:133–165
Amin O, Düşen MS, Oğuz MC (2012) Review of the helminth parasites of Turkish anurans (Amphibia). Sci Parasitol 13(1):1–16
Archana R, Sahai A, Srivastava AK, Anita R (2007) Carbaryl induce histopathologic changes in the testis of albino rats. J Anat Soc India 56(1):4–6
Bacchetta R, Mantecca P, Andrioletti M, Vismara C, Vailati G (2008) Axial-skeletal defects caused by carbaryl in Xenopus laevis embryos. Sci Total Environ 392:110–118
Boone MD, Bridges CM (2003) Effects of carbaryl on green frog (Rana clamitans) tadpoles: timing of exposure versus multiple exposures. Environ Toxicol Chem 22:2695–2702
Boone MD, Semlitsch RD, Fairchild JF, Rothermel BB (2004) Effects of an insecticide on amphibians in large-scale experimental ponds. Ecol Appl 14:685–691
Bridges CM (1997) Tadpole swimming performance and activity affected by acute exposure to sublethal levels of carbaryl. Environ Toxicol Chem 16(9):1935–1939
Bridges CM (2000) Long-term effects of pesticide exposure at various life stages of the southern leopard frog (Rana sphenocephala). Arch Environ Contam Toxicol 39(1):91–96
Cakici O, Akat E (2012) Histopathological effects of carbaryl on testes of snake-eyed lizard, Ophisops elegans. Environ Sci Pollut Res 19(1):64–71
Chitra KC, Manogem EM, Vardhanan Shibu Y, Sebastian CD, Jayakumar K (2011) Testicular and epididymal toxicity of carbaryl in Spraguedawley strain rats. J Adv Lab Res Biol 2(2):30–34
Çiçek K, Mermer A (2007) Feeding biology of the marsh frog, Rana ridibunda Pallas 1771, (Anura, Ranidae) in Turkey’s lake district. North-West J Zool 2(2):57–72
Davidson C (2004) Declining downwind: amphibian population declines in California and historical pesticides use. Ecol Appl 14:1892–1902
Davidson C, Benard MF, Shaffer HB, Parker JM, O’leary C, Conlon JM, Rollins-Smith LA (2007) Effects of chytrid and carbaryl exposure on survival, growth and skin peptide defenses in foothill yellow-legged frogs. Environ Sci Technol 41:1771–1776
Delen N, Durmusoglu E, Guncan A, Gungor N, Turgut C, Burcak A (2005) Turkey agricultural engineering 6. In Technical congress Ankara, Turkey, pp 1–21
Distel CA, Boone MD (2009) Effects of aquatic exposure to the insecticide carbaryl and density on aquatic and terrestrial growth and survival in American toads. Environ Toxicol Chem 28:1963–1969
Distel CA, Boone MD (2010) Effects of aquatic exposure to the insecticide carbaryl are species-specific across life stages and mediated by heterospecific competitors in anurans. Funct Ecol 24:1342–1352
DuRant SE, Hopkins WA, Talent LG (2007) Impaired terrestrial and arboreal locomotor performance in the western fence lizard (Sceloporus occidentalis) after exposure to an AChE-inhibiting pesticide. Environ Pollut 149:18–24
Dutta HM, Meijer HJM (2003) Sublethal effects of diazinon on the structure of the testis of bluegill, Lepomis macrochirus: a microscopic analysis. Environ Pollut 125:355–360
Dutta HM, Meijer HJM (2006) The effects of endosulfan on the testes of bluegill fish, Lepomis macrochirus: a histopathological study. Arch Environ Contam Toxicol 51(1):149–156
EPA (2004) Carbaryl ınterim reregistration eligibility decision (IRED) facts. EPA, Office of Pesticide Programs, pp 1–318
Fair JM, Kennedy PL, McEwen LC (1995) Effects of carbaryl grasshopper control on nesting killdeer in North Dakota. Environ Toxicol Chem 14:881–890
Garber K, Jones RD, Steeger T (2007) Risks of carbaryl use to the federally-listed California red-legged frog (Rana aurora draytonii). Pesticide Effects Determination, Environmental Fate and Effects Division, US Environmental Protection Agency Office of Pesticide Programs, Washington, DC
Gibbs KE, Mingo TM, Courtemanch DL (1984) Persistence of carbaryl (Sevin-4-Oil®) in woodland ponds and its effects on pond macroinvertebrates following forest spraying. Can Entomol 116:203–213
Gupta RC (2006) Endocrine disruption by organophosphate and carbamate pesticides: toxicology of organophosphate & carbamate compounds. Elsevier, Amsterdam, p 489
Hayes TB, Khourya V, Narayana A (2010) Atrazine induces complete feminization and chemical castration in male african clawed frogs (Xenopus laevis). Ecology 107:4612–4617
Houlahan JE, Findlay CS, Schmidt BR, Meyer AH, Kuzmin SL (2000) Quantitative evidence for global amphibian population declines. Nature 404:752–755
Jorgensen CB, Shakuntala K, Vijayakumar S (1986) Body size, reproduction and growth in a tropical toad, Bufo melanostictus, with a comparison of ovarian cycles in tropical and temperate zone anurans. Oikos 46:379–389
Kang HS, Park CJ, Gye MC (2010) Effect of carbaryl on survival and development in Bombina orientalis (Boulenger) embryos. Bull Environ Contam Toxicol 84:550–553
Lofts B (1974) Reproduction. In: physiology of the amphibia. N Y Acad Press 2:107–218
Luana Q, Ennio M, Oretta M, Massimo B (2009) Effects of paraquat and glyphosate on steroidogenesis in gonads of the frog Rana esculenta in vitro. Pestic Biochem Physiol 93:91–95
Mann RM, Hyne RV, Choung CB, Wilson SP (2009) Amphibians and agricultural chemicals: review of the risks in a complex environment. Environ Pollut 157:2903–2927
McFarland CA, Quinn MJ Jr, Boyce J, Bazar MA, Talent LG, Johnson MS (2009) Toxic effects of oral hexahydro 1,3,5-triazine in the western fence lizard (Sceloporus occidentalis). Environ Toxicol Chem 28:1043–1050
McFarland CA, Quinn MJ Jr, Boyce J, LaFiandra EM, Bazar MA, Talent LG, Johnson MS (2011) Toxic effects of oral 2-amino-4,6- dinitrotoluene in the western fence lizard (Sceloporus occidentalis). Environ Pollut 159:466–473
Metts BS, Hopkins WA, Nestor JP (2005) Interaction of an insecticide with larval density in pond-breeding salamanders (Ambystoma). Freshw Biol 50:685–696
Norris LA, Lorz HW, Gregory SV (1983) Influence of forest and rangeland management on anadromous fish habitat in Western North America. Forest chemicals. General Technical Report PNW-149, Portland, OR: US Dept of Agriculture, Forest Service, Pacific Northwest Forest and Range Experiment Station
Oliveira C, Zanetoni C, Zieri R (2002) Morphological observations on the testes of Physalaemus cuvieri (Amphibia, Anura). Rev Chil Anat 20:263–268
Oliveira C, Vicentini CA, Taboga SR (2003) Structural characterization of nuclear phenotypes during Scinax fuscovarious spermatogenesis (Anura, Hylidae). Caryologia 56:75–83
Pant N, Shankar R, Srivastava SP (1996) Spermatotoxic effects of carbaryl in rats. Hum Exp Toxicol 15:736–738
Rastogi RK (1976) Seasonal cycle in anuran (Amphibia) testis: the endocrine and environmental controls. Boll Zool 43:151–172
Rastogi RK, Bagnara JT, Iela BL, Krasovich MA (1988) Reproduction in the mexican leaf frog, Pachymedusa dacnicolor. IV. Spermatogenesis: a light and ultrasonic study. J Morphol 197(3):277–302
Renuka MR (2007). Effects of some pesticides on histopathological and biochemical aspects of Euphlyctis hexadactylus (Lesson) Amphibia: Anura. Ph. D. Thesis. Mahatma Ghandi University, p 150
Rohr JR, Elskus AA, Shepherd BS, Crowley PH, McCarthy TM, Niedzwiecki JH, Sager T, Sih A, Palmer BD (2003) Lethal and sublethal effects of atrazine, carbaryl, endosulfan, and octylphenol on the streamside salamander (Ambystoma barbouri). Environ Toxicol Chem 22(10):2385–2392
Shimada H, Narumi R, Nagano M, Yasutake A, Waalkes MP, Imamura Y (2009) Strain difference of cadmium-induced testicular toxicity in inbred Wistar-Imamichi and Fischer 344 rats. Arch Toxicol 83:647–652
Toppari J, Larsen JC, Christiansen P, Giwercman A, Grandjean P, Guillette LJ Jr, Jégou B, Jensen TK, Jouannet P, Keiding N, Leffers H, McLachlan JA, Meyer O, Müller J, Rajpert-De Meyts E, Scheike T, Sharpe RM, Sumpter JS, Skakkebaek NE (1996) Male reproductive health and environmental xenoestrogens. Environ Health Perspect 104:741–803
Author information
Authors and Affiliations
Corresponding author
Rights and permissions
About this article
Cite this article
Çakıcı, Ö. Carbaryl-Induced Histopathologic Alterations on Testes of Levantine Frog, Pelophylax bedriagae (Anura: Ranidae). Bull Environ Contam Toxicol 91, 96–101 (2013). https://doi.org/10.1007/s00128-013-1010-y
Received:
Accepted:
Published:
Issue Date:
DOI: https://doi.org/10.1007/s00128-013-1010-y


