Skip to main content

Blasenfunktionsstörung in Folge einer großen präsakralen Retentionsmukozele

Bladder dysfunction caused by a large presacral retention mucocele

Zusammenfassung

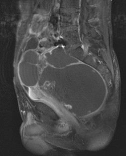
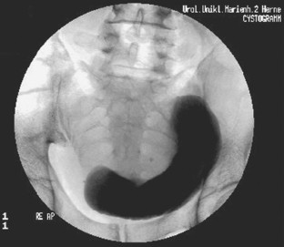
Große Raumforderungen im kleinen Becken können die Harnblase verdrängen und Blasenfunktionsstörungen mit unterschiedlicher Symptomatik hervorrufen. Wir beschreiben den Fall eines 42-jährigen Patienten, der über eine Harnstrahlabschwächung und Restharngefühl bei reduziertem Blasenfüllungsgefühl seit frühester Jugend berichtete und nach zahlreichen konservativen Therapieversuchen neurourologisch evaluiert werden sollte. Bei der Diagnostik zeigte sich eine große zystische, die Blase verdrängende Raumforderung, die einer Retentionsmukozele (bei Zustand nach konnataler Analatresie und chirurgischer Versorgung) entsprach und operativ entfernt wurde.

Abstract

Large pelvic masses can displace the urinary bladder and cause bladder dysfunction with various symptoms. We report the case of a 42-year-old man who described a feeling of reduced urinary stream and bladder filling and residual urine since his youth. After various unsuccessful conservative treatments, the patient was evaluated by our neurourologic department. The diagnostic workup revealed a large cystic mass that displaced the urinary bladder. Histopathological examination showed a retention mucocele (the patient had been surgically treated for connatal anal atresia). The lesion was surgically excised.

This is a preview of subscription content, access via your institution.

Abb. 1
Abb. 2
Abb. 3

Literatur

  1. Advincula A, Hernandez J (2006) Acute urinary retention caused by a large peritoneal inclusion cyst: a case report. J Reprod Med 51:202–204

    PubMed  Google Scholar 

  2. Cooperberg M, Chambers S, Rutherford T et al (2000) Cystic pelvic pathology presenting as falsely elevated post-void residual urine measured by portable ultrasound bladder scanning: report of 3 cases and review of the literature. Urology 55:590

    Article  CAS  PubMed  Google Scholar 

  3. Hsu W, Wang W, Chen C (2000) Enteric mucocele formation after endorectal pull-through: report of a case. J Formos Med Assoc 99:650–652

    CAS  PubMed  Google Scholar 

  4. Hwang E, Kang T, Koh Y et al (2006) Post-transplant lymphocele: an unusual cause of acute urinary retention mimicking urethral injury. Int J Urol 13:468–470

    Article  PubMed  Google Scholar 

  5. Ilbeigi P, Lombardo S, Sadeghi-Nejad H (2005) Unusual cause of obstructive uropathy. Int Urol Nephrol 37:505–506

    Article  PubMed  Google Scholar 

  6. Katz R, Landau E, Pikarsky A et al (1997) Bladder outlet obstruction by a lymphocele following kidney transplantation. Urol Int 59:186–187

    Article  CAS  PubMed  Google Scholar 

  7. Kiratli P, Aksoy T, Bozkurt M et al (2009) Detection of ectopic gastric mucosa using 99mTc pertechnetate: review of the literature. Ann Nucl Med 23:97–105

    Article  PubMed  Google Scholar 

  8. Mikami H, Ito K, Yoshii H et al (2008) Giant lymphocele arising after extraperitoneal laparoscopic radical prostatectomy. Hinyokika Kiyo 54:23–27

    PubMed  Google Scholar 

  9. Panicek D, Leeson S, Hitch D et al (1987) Perirectal mucocele after imperforate anus repair. Pediatr Radiol 17:73–74

    Article  CAS  PubMed  Google Scholar 

  10. Wada I, Dohkita S, Hirano S et al (1987) Urinary retention due to idiopathic megacolon. Urol Int 42:392–394

    Article  CAS  PubMed  Google Scholar 

Download references

Interessenkonflikt

Der korrespondierende Autor gibt an, dass kein Interessenkonflikt besteht.

Author information

Affiliations

Authors

Corresponding author

Correspondence to T. Klein.

Rights and permissions

Reprints and Permissions

About this article

Cite this article

Klein, T., Diedrich, M., Holz, A. et al. Blasenfunktionsstörung in Folge einer großen präsakralen Retentionsmukozele. Urologe 49, 847–849 (2010). https://doi.org/10.1007/s00120-010-2282-z

Download citation

  • Published:

  • Issue Date:

  • DOI: https://doi.org/10.1007/s00120-010-2282-z

Schlüsselwörter

  • Analatresie
  • Blasenfunktionsstörung
  • Mukozele

Keywords

  • Anal atresia
  • Bladder dysfunction
  • Mucocele