Skip to main content

Strahlentherapie beim Prostatakarzinom

Radiotherapy in prostate cancer

Zusammenfassung

Bislang sind radikale Prostatektomie und Strahlentherapie gleichwertige Verfahren hinsichtlich ihrer onkologischen Wirksamkeit, sofern die Strahlentherapie adäquat dosiert erfolgt. Es stehen die interstitielle Brachytherapie, die perkutane Radiotherapie oder Kombinationen zur Verfügung. Für die Weiterentwicklung strahlentherapeutischer Verfahren ergibt sich insbesondere für Patienten mit intermediärem Risiko ein technologisches Optimierungsfenster über die Dosiseskalation. Neuere Entwicklungen wie die intensitätsmodulierte und bildgeführte Strahlentherapie erlauben eine Applikation höherer Dosen ohne eine relevante Steigerung der Nebenwirkungsraten. Darüber hinaus scheint für definierte Patientenkollektive eine additive Hormontherapie verbesserte Kontrollraten zu erreichen. Nach R1-Resektion verbessert eine adjuvante Bestrahlung das rezidivfreie Überleben; bei später auftretenden lokoregionären Rezidiven ist eine Radiatio die bislang einzige kurative Option.

Abstract

Radiotherapy is a well-accepted treatment modality for patients with localised prostate cancer. Provided that radiotherapy is applied with a sufficient radiation dose, it is as effective as radical prostatectomy. Different radiation modalities are available (interstitial brachytherapy, external beam radiotherapy or a combination of both). Various new developments will further increase the value of radiation-based approaches. In this regard, a wider use of intensity-modulated radiotherapy (IMRT) and image-guided radiotherapy (IGRT) will result in higher treatment doses with even lower toxicity rates. Combinations of radiotherapy and hormonal ablation improve local control rates in defined groups of patients. After prostatectomy with positive surgical margins, adjuvant radiotherapy improves disease-free survival rates; in cases of local relapse, salvage radiotherapy is the only potentially curative treatment approach.

This is a preview of subscription content, access via your institution.

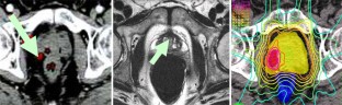
Abb. 1
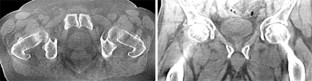
Abb. 2
Abb. 3
Abb. 4
Abb. 5

Abbreviations

BT:

Brachytherapie

CT:

Computertomographie

Gy:

Gray

GS:

Gleason-Score

HAT:

Hormonablative Therapie

IGRT:

Image guided radiotherapy

IMRT:

Intensity modulated radiotherapy

LK:

Lymphknoten

MRT:

Magnetresonanztomographie

PET:

Positronenemissionstomographie

PC:

Prostatakarzinom

PSA:

Prostataspezifisches Antigen

RPE:

Radikale Prostatektomie

R-Status:

Resektionsstatus

RT:

Radiotherapie/Strahlentherapie

SPECT:

Single photon emission computed tomography

TNM:

Tumorstadium (lokal/Lymphknotenbefall/Metastasierung)

Literatur

  1. Akakura K, Suzuki H, Ichikawa T et al. (2006) A randomized trial comparing radical prostatectomy plus endocrine therapy for locally advanced prostate cancer: results at median follow-up of 102 months. Jpn J Clin Oncol 36(12): 789–793

    PubMed  Article  Google Scholar 

  2. Ash D, Flynn A, Battermann J et al. (2000) ESTRO/EAU/EORTC recommendations on permanent seed implantation for localized prostate cancer. Radiother Oncol 57(3): 315–321

    PubMed  Article  CAS  Google Scholar 

  3. Ashman JB, Zelefsky MJ, Hunt MS et al. (2005) Whole pelvic radiotherapy for prostate cancer using 3D conformal and intensity-modulated radiotherapy. Int J Radiat Oncol Biol Phys 63(3): 765–771

    PubMed  Google Scholar 

  4. Bolla M, Collette L, Blank L et al. (2002) Long-term results with immediate androgen suppression and external irradiation in patients with locally advanced prostate cancer (an EORTC study): a phase III randomised trial. Lancet 360(9327): 103–106

    PubMed  Article  CAS  Google Scholar 

  5. D’Amico AV, Whittington R, Malkowicz SB et al. (1998) Biochemical outcome after radical prostatectomy, external beam radiotherapy, or interstitial radiation therapy for clinically localized prostate cancer. JAMA 280(11): 969–974

    Article  Google Scholar 

  6. Fletcher SG, Mills SE, Smolkin ME et al. (2006) Case-matched comparison of contemporary radiation therapy to surgery in patients with locally advanced prostate cancer. Int J Radiat Oncol Biol Phys 66(4): 1092–1999

    PubMed  Google Scholar 

  7. Ganswindt U, Paulsen F, Anastasiadis AG et al (2005) 70 Gy or more: which dose for which prostate cancer? J Cancer Res Clin Oncol 131(7): 407–419

    PubMed  Article  CAS  Google Scholar 

  8. Ganswindt U, Stenzl A, Bamberg M, Belka C (2008) Adjuvant radiotherapy for patients with locally advanced prostate cancer – a new standard? Eur Urol (in press); doi:10.1016/j.eururo.2008.06.059

  9. Belka C, Ganswindt U (2006) Recurrence of prostate cancer – value of salvage radiotherapy. Urologe A 45(10): 1266–1270

    PubMed  Article  CAS  Google Scholar 

  10. Jani AB, Gratzle J, Correa D (2007) Influence of intensity-modulated radiotherapy on acute genitourinary and gastrointestinal toxicity in the treatment of localized prostate cancer. Technol Cancer Res Treat 6(1): 11–15

    PubMed  Google Scholar 

  11. Konski A, Speier W, Hanlon A et al. (2007) Is proton therapy cost effective in the treatment of adenocarcinoma of the prostate? J Clin Oncol 25(24): 3603–3638

    PubMed  Article  Google Scholar 

  12. Kupelian PA, Potters L, Khuntia D et al. (2004) Radical prostatectomy, external beam radiotherapy <72 Gy, external beam radiotherapy >or =72 Gy, permanent seed implantation, or combined seeds/external beam radiotherapy for stage T1–T2 prostate cancer. Int J Radiat Oncol Biol Phys 58(1): 25–33

    PubMed  Article  Google Scholar 

  13. Lawton CA, DeSilvio M, Roach M 3rd et al. (2007) An update of the phase III trial comparing whole pelvic to prostate only radiotherapy and neoadjuvant to adjuvant total androgen suppression: updated analysis of RTOG 94–13, with emphasis on unexpected hormone/radiation interactions. Int J Radiat Oncol Biol Phys 69(3): 646–655

    PubMed  Google Scholar 

  14. Merglen A, Schmidlin F, Fioretta G et al. (2007) Short- and long-term mortality with localized prostate cancer. Arch Intern Med 167(18): 1944–1950

    PubMed  Article  Google Scholar 

  15. Pollack A, Zagars GK, Smith LG et al. (2000) Preliminary results of a randomized radiotherapy dose-escalation study comparing 70 Gy with 78 Gy for prostate cancer. J Clin Oncol 18(23): 3904–3911

    PubMed  CAS  Google Scholar 

  16. Pommier P, Chabaud S, Lagrange JL et al. (2007) Is there a role for pelvic irradiation in localized prostate adenocarcinoma? Preliminary results of GETUG-01. J Clin Oncol 25(34): 5366–5373

    PubMed  Article  Google Scholar 

  17. Roach M 3rd, DeSilvio M, Lawton C et al. (2003) Phase III trial comparing whole-pelvic versus prostate-only radiotherapy and neoadjuvant versus adjuvant combined androgen suppression: Radiation Therapy Oncology Group 9413. J Clin Oncol 21(10): 1904–1911

    PubMed  Article  Google Scholar 

  18. Ross PL, Scardino PT, Kattan MW (2001) A catalog of prostate cancer nomograms. J Urol 165(5): 1562–1568

    PubMed  Article  CAS  Google Scholar 

  19. Slater JD, Rossi CJ Jr, Yonemoto LT et al. (2004) Proton therapy for prostate cancer: the initial Loma Linda University experience. Int J Radiat Oncol Biol Phys 59(2): 348–352

    PubMed  Google Scholar 

  20. Antonarakis ES, Blackford AL, Garrett-Mayer E, Eisenberger MA (2007) Survival in men with nonmetastatic prostate cancer treated with hormone therapy: a quantitative systematic review. J Clin Oncol 25(31): 4998–5008

    PubMed  Article  CAS  Google Scholar 

  21. Stephenson AJ, Shariat SF, Zelefsky MJ et al. (2004) Salvage radiotherapy for recurrent prostate cancer after radical prostatectomy. JAMA 291(11): 1325–1332

    PubMed  Article  CAS  Google Scholar 

  22. Sylvester JE, Blasko JC, Grimm PD et al. (2003) Ten-year biochemical relapse-free survival after external beam radiation and brachytherapy for localized prostate cancer: the Seattle experience. Int J Radiat Oncol Biol Phys 57(4): 944–952

    PubMed  Google Scholar 

  23. Van der Kwast TH, Bolla M, van Poppel H et al. (2007) Identification of patients with prostate cancer who benefit from immediate postoperative radiotherapy: EORTC 22911. J Clin Oncol 25(27): 4178–4186

    Article  Google Scholar 

  24. Wong JR, Grimm L, Uematsu M et al. (2005) Image-guided radiotherapy for prostate cancer by CT-linear accelerator combination: prostate movements and dosimetric considerations. Int J Radiat Oncol Biol Phys 61(2): 561–569

    PubMed  Google Scholar 

  25. Zelefsky MJ, Fuks Z, Hunt M et al. (2002) High-dose intensity modulated radiation therapy for prostate cancer: early toxicity and biochemical outcome in 772 patients. Int J Radiat Oncol Biol Phys 53(5): 1111–1116

    PubMed  Article  Google Scholar 

  26. Zelefsky MJ, Chan H, Hunt M et al. (2006) Long-term outcome of high dose intensity modulated radiation therapy for patients with clinically localized prostate cancer. J Urol 176 (4 Pt 1): 1415–1419

    PubMed  Article  Google Scholar 

  27. Zietman AL, DeSilvio ML, Slater JD et al. (2005) Comparison of conventional-dose vs high-dose conformal radiation therapy in clinically localized adenocarcinoma of the prostate: a randomized controlled trial. JAMA 294(10): 1233–1239

    PubMed  Article  CAS  Google Scholar 

  28. Zietman AL (2007) The Titanic and the iceberg: prostate proton therapy and health care economics. J Clin Oncol 25(24): 3565–3566

    PubMed  Article  Google Scholar 

Download references

Interessenkonflikt

Der korrespondierende Autor gibt an, dass kein Interessenkonflikt besteht.

Author information

Affiliations

Authors

Corresponding author

Correspondence to U. Ganswindt.

Rights and permissions

Reprints and Permissions

About this article

Cite this article

Ganswindt, U., Belka, C. Strahlentherapie beim Prostatakarzinom. Urologe 47, 1245–1255 (2008). https://doi.org/10.1007/s00120-008-1846-7

Download citation

  • Published:

  • Issue Date:

  • DOI: https://doi.org/10.1007/s00120-008-1846-7

Schlüsselwörter

  • Prostatakarzinom
  • Kurative Strahlentherapie
  • Adjuvante Strahlentherapie
  • Salvage-Strahlentherapie
  • IMRT

Keywords

  • Prostate cancer
  • Curative radiotherapy
  • Adjuvant radiotherapy
  • Salvage radiotherapy
  • IMRT