Skip to main content

Bildgebung zerebraler Vaskulitiden

Neuroimaging of cerebral vasculitis

Zusammenfassung

Die zerebrale Vaskulitis kann viele Ursachen haben. Daher ist die klinische und radiologische Diagnose schwierig, auch weil es etliche vaskulitistypische Symptome und MR-Befunde bei anderen Erkrankungen gibt. Die ZNS-Vaskulitis kann zahlreiche andere neurologische Erkrankungen imitieren, die unterschiedlicher Therapie bedürfen. MRT und MR-Angiographie (MRA) sind die Verfahren der Wahl, mit denen die radiologische Diagnostik begonnen werden sollte, um den Parenchymschaden und den Gefäßbefall zu beurteilen. Bei unklaren Befunden kann eine digitale Subtraktionsangiographie (DSA) ergänzt werden, um auch mittelgroße Gefäße beurteilen zu können. Der Befall kleiner Gefäße kann nur bioptisch nachgewiesen werden. In der folgenden Übersicht stellen wir das diagnostische Herangehen bei zerebraler Vaskulitis vor, präsentieren zahlreiche Befunde und diskutieren die wichtigsten radiologischen Differenzialdiagnosen.

Abstract

Cerebral vasculitis can have a variety of origins. Furthermore, there are no vasculitis-specific symptoms or imaging signs and vasculitis of the CNS can mimic many other neurological diseases, which require different treatment approaches. Thus, the clinical and radiological diagnosis of cerebral vasculitis is challenging. Magnetic resonance imaging (MRI) and MR angiography (MRA) should be the radiological imaging methods of choice to assess the degree of parenchymal damage and to detect vessel wall changes. If the results are unclear digital subtraction angiography (DSA) should be pursued in order to also detect changes in medium sized vessels. Vasculitis of small vessels cannot be detected by vascular imaging and requires brain or leptomeningeal biopsy. In this review we present the current diagnostic approach and a variety of imaging findings in cerebral vasculitis and discuss the main radiological differential diagnoses.

This is a preview of subscription content, access via your institution.

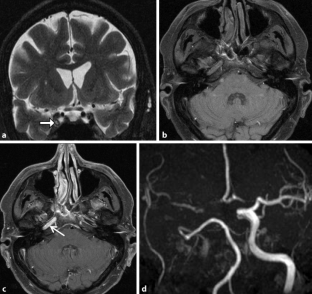
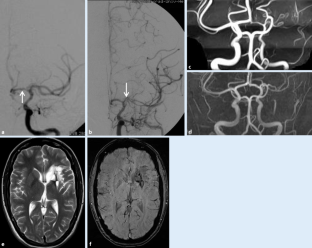
Abb. 1
Abb. 2
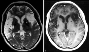
Abb. 3
Abb. 4
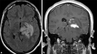
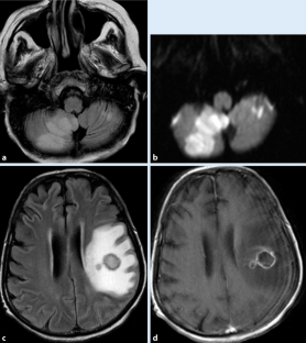
Abb. 5
Abb. 6
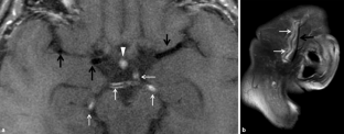
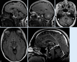
Abb. 7
Abb. 8
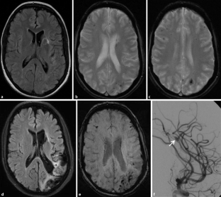
Abb. 9
Abb. 10
Abb. 11
Abb. 12
Abb. 13
Abb. 14
Abb. 15
Abb. 16

Literatur

  1. Ay H, Sahin G, Saatci I et al (2002) Primary angiitis of the central nervous system and silent cortical hemorrhages. Ajnr Am J Neuroradiol 23:1561–1563

    PubMed  Google Scholar 

  2. Berlit P (2004) Diagnosis and differential cerebral vasculitis diagnosis. Nervenarzt 75:105–112

    PubMed  CAS  Article  Google Scholar 

  3. Berlit P (2010) Diagnosis and treatment of cerebral vasculitis. Ther Adv Neurol Disord 3:29–42

    PubMed  PubMed Central  Article  Google Scholar 

  4. Berlit P (2009) Primary angiitis of the CNS – an enigma that needs world-wide efforts to be solved. Eur J Neurol 16:10–11

    PubMed  CAS  Article  Google Scholar 

  5. Birnbaum J, Hellmann DB (2009) Primary angiitis of the central nervous system. Arch Neurol 66:704–709

    PubMed  Article  Google Scholar 

  6. Blatow M, Nennig E, Durst A et al (2007) fMRI reflects functional connectivity of human somatosensory cortex. Neuroimage 37:927–936

    PubMed  Article  Google Scholar 

  7. Calabrese LH, Dodick DW, Schwedt TJ et al (2007) Narrative review: reversible cerebral vasoconstriction syndromes. Ann Intern Med 146:34–44

    PubMed  Article  Google Scholar 

  8. Jennette JC, Falk RJ, Andrassy K et al (1994) Nomenclature of systemic vasculitides. Proposal of an international consensus conference. Arthritis Rheum 37:187–192

    PubMed  CAS  Article  Google Scholar 

  9. Jennette JC, Falk RJ, Bacon PA et al (2013) 2012 revised International Chapel Hill Consensus Conference Nomenclature of Vasculitides. Arthritis Rheum 65:1–11

    PubMed  CAS  Article  Google Scholar 

  10. Koopman K, Uyttenboogaart M, Luijckx GJ et al (2007) Pitfalls in the diagnosis of reversible cerebral vasoconstriction syndrome and primary angiitis of the central nervous system. Eur J Neurol 14:1085–1087

    PubMed  CAS  Article  Google Scholar 

  11. Kraemer M, Berlit P (2011) Primary central nervous system vasculitis: clinical experiences with 21 new European cases. Rheumatol Int 31:463–472

    PubMed  Article  Google Scholar 

  12. Kramer M, Berlit P (2011) Reversible cerebral vasoconstriction syndrome vs cerebral vasculitis? On the importance and difficulty of differentiating. Nervenarzt 82:500

    PubMed  CAS  Article  Google Scholar 

  13. Kuker W (2007) Cerebral vasculitis: imaging signs revisited. Neuroradiology 49:471–479

    PubMed  Article  Google Scholar 

  14. Kuker W, Gaertner S, Nagele T et al (2008) Vessel wall contrast enhancement: a diagnostic sign of cerebral vasculitis. Cerebrovasc Dis 26:23–29

    PubMed  PubMed Central  Article  Google Scholar 

  15. Lee Y, Kim JH, Kim E et al (2009) Tumor-mimicking primary angiitis of the central nervous system: initial and follow-up MR features. Neuroradiology 51:651–659

    PubMed  Article  Google Scholar 

  16. Lie JT (1992) Vasculitis simulators and vasculitis look-alikes. Curr Opin Rheumatol 4:47–55

    PubMed  CAS  Google Scholar 

  17. Linn J, Fesl G, Ottomeyer C et al (2011) Intra-arterial application of nimodipine in reversible cerebral vasoconstriction syndrome: a diagnostic tool in select cases? Cephalalgia 31:1074–1081

    PubMed  CAS  Article  Google Scholar 

  18. Nennig E, Heiland S, Rasche D et al (2007) Functional magnetic resonance imaging for cranial neuronavigation: methods for automated and standardized data processing and management. A technical note. Neuroradiol J 20:159–168

    PubMed  CAS  Article  Google Scholar 

  19. Pfefferkorn T, Schuller U, Cyran C et al (2010) Giant cell arteritis of the Basal cerebral arteries: correlation of MRI, dsa, and histopathology. Neurology 74:1651–1653

    PubMed  CAS  Article  Google Scholar 

  20. Saam T, Habs M, Cyran CC et al (2010) New aspects of MRI for diagnostics of large vessel vasculitis and primary angiitis of the central nervous system. Radiologe 50:861–871

    PubMed  CAS  Article  Google Scholar 

  21. Saam T, Habs M, Pollatos O et al (2010) High-resolution black-blood contrast-enhanced T1 weighted images for the diagnosis and follow-up of intracranial arteritis. Br J Radiol 83:e182–184

    PubMed  CAS  PubMed Central  Article  Google Scholar 

  22. Salvarani C, Brown RD Jr, Calamia KT et al (2007) Primary central nervous system vasculitis: analysis of 101 patients. Ann Neurol 62:442–451

    PubMed  Article  Google Scholar 

  23. Scolding NJ, Joseph F, Kirby PA et al (2005) Abeta-related angiitis: primary angiitis of the central nervous system associated with cerebral amyloid angiopathy. Brain 128:500–515

    PubMed  Article  Google Scholar 

  24. Tanei T, Nakahara N, Takebayashi S et al (2011) Primary angiitis of the central nervous system mimicking tumor-like lesion-case report. Neurol Med Chir 51:56–59

    Article  Google Scholar 

  25. Wengenroth M (2013) Cerebral vasculitis. In: Hähnel S (Hrsg) Inflammatory Diseases of the Brain, 2. Aufl. Springer-Verlag, Heidelberg

    Google Scholar 

Download references

Author information

Affiliations

Authors

Corresponding author

Correspondence to M. Wengenroth.

Ethics declarations

Interessenkonflikt

M. Wengenroth, T. Saam und S. Hähnel geben an, dass kein Interessenkonflikt besteht.

Dieser Beitrag beinhaltet keine Studien an Menschen oder Tieren.

Rights and permissions

Reprints and Permissions

About this article

Verify currency and authenticity via CrossMark

Cite this article

Wengenroth, M., Saam, T. & Hähnel, S. Bildgebung zerebraler Vaskulitiden. Radiologe 56, 52–69 (2016). https://doi.org/10.1007/s00117-015-0053-y

Download citation

  • Published:

  • Issue Date:

  • DOI: https://doi.org/10.1007/s00117-015-0053-y

Schlüsselwörter

  • Zentralnervensystem
  • Entzündung
  • Vaskulitis
  • Ischämie
  • Gefäße

Keywords

  • Central nervous system
  • Inflammation
  • Vasculitis
  • Ischemia
  • Vessels