Skip to main content

Kardiale Magnetresonanztomographie

Vom Bild zur Diagnose

Cardiac magnetic resonance imaging

From imaging to diagnosis

An Erratum to this article was published on 23 January 2014

Zusammenfassung

Die kardiale Magnetresonanztomographie (CMR) hat sich in den letzten 20 Jahren von einem forschungsorientierten bildgebenden Verfahren zu einem unverzichtbaren Routineverfahren in der kardialen Diagnostik entwickelt. Neben der rein morphologischen Darstellung der kardialen Anatomie, wo ihr nur im Bereich der Koronardarstellung das nicht-invasive Konkurrenzverfahren der Mehrzeilencomputertomographie (MDCT) überlegen ist, besteht die Stärke der CMR vor allem in der Beurteilung der Herzfunktion und der Gewebedifferenzierung. Dies verlangt vom durchführenden und diagnostizierenden Radiologen neben guten Kenntnissen in der kardialen und thorakalen Anatomie auch ein detailliertes Wissen über die verschiedenen kardiovaskulären Erkrankungen, die Hämodynamik und die Pathophysiologie. Die CMR erlaubt es, zuverlässig eine Vielzahl einfach zu erhebender quantitativer Parameter wie die ventrikuläre Ejektionsfraktion, aber auch die Regurgitationsfraktion von Klappenvitien zu ermitteln, die eine objektive Beurteilung der kardialen Funktion ermöglichen. Insbesondere mit den Möglichkeiten der Gewebedifferenzierung zur Entzündungs- und Vitalitätsdiagnostik sowie der Ischämiediagnostik durch die Adenosinstress-Magenetresonanztomographie hat die CMR im letzten Jahrzehnt ihren Siegeszug in der klinischen Routinediagnostik eingeleitet. Die CMR ist nicht nur zur Therapieentscheidung, auch im Vergleich zu nuklearmedizinischen Konkurrenzverfahren, sondern mittlerweile auch zur Prognoseabschätzung ein unverzichtbarer Bestandteil der kardiovaskulären Diagnostik.

Abstract

Cardiac magnetic resonance imaging (CMR) has evolved over the past 20 years from a research-based imaging modality to an indispensable routine procedure in cardiac diagnostics. In addition to the morphological representation of cardiac anatomy, whereby only noninvasive multidetector computed tomography (MDCT) is superior, another strength of CMR is the assessment of cardiac function and tissue differentiation. This requires that the radiologist performing the examination and analyzing the results has good knowledge of cardiac and thoracic anatomy and a detailed knowledge of the various cardiovascular diseases, hemodynamics, and pathophysiology. CMR reliably allows determination of a range of easy to determine quantitative parameters such as ventricular ejection fraction and also the valvular regurgitation fraction, which allows objective assessment of cardiac function. Especially the possibility to differentiate inflamed, viable, and ischemic tissue using adenosine stress MRI in the last 10 years has led to routine use of CMR. Even compared to competing nuclear medicine procedures, CMR is important for treatment decision-making and for prognosis estimation, thus, making it an indispensable component of cardiovascular diagnostics.

This is a preview of subscription content, access via your institution.

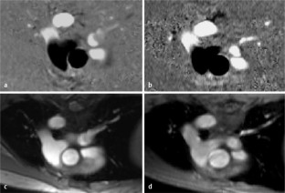
Abb. 1
Abb. 2
Abb. 3
Abb. 4
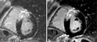
Abb. 5
Abb. 6
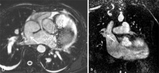
Abb. 7
Abb. 8
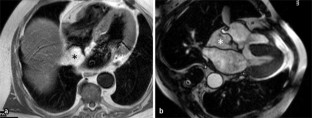
Abb. 9
Abb. 10
Abb. 11
Abb. 12
Abb. 13
Abb. 14

Literatur

  1. Achenbach S, Barkhausen J, Beer M et al (2012) Consensus recommendations of the German Radiology Society (DRG), the German Cardiac Society (DGK) and the German Society for Pediatric Cardiology (DGPK) on the use of cardiac imaging with computed tomography and magnetic resonance imaging. Rofo 184:345–368

    CAS  PubMed  Article  Google Scholar 

  2. Gutberlet M, Hoffmann J, Künzel E et al (2011) Preoperative and postoperative imaging in patients with transposition of the great arteries. Radiologe 51(1):15–22

    CAS  PubMed  Article  Google Scholar 

  3. Beerbaum P, Barth P, Kropf S et al (2009) Cardiac function by MRI in congenital heart disease: impact of consensus training on interinstitutional variance. J Magn Reson Imaging 30(5):956–966

    PubMed  Article  Google Scholar 

  4. Sarikouch S, Peters B, Gutberlet M et al (2010) Sex-specific pediatric percentiles for ventricular size and mass as reference values for cardiac MRI: assessment by steady-state free-precession and phase-contrast MRI flow. Circ Cardiovasc Imaging 3(1):65–76

    PubMed  Article  Google Scholar 

  5. Fiechter M, Fuchs TA, Gebhard C et al (2013) Age-related normal structural and functional ventricular values in cardiac function asessed by magnetic resonance. BMC Med Imaging 13:6

    PubMed Central  PubMed  Article  Google Scholar 

  6. Gutberlet M, Abdul-Khaliq H, Stobbe H et al (2001) The use of cross-sectional imaging modalities in the diagnosis of heart valve diseases. Z Kardiol 90(Suppl 6):2–12

    PubMed  Article  Google Scholar 

  7. Huber A, Prompona M, Kozlik-Feldmann R et al (2011) MRI for therapy planning in patients with atrial septum defects. Radiologe 51(1):31–37

    CAS  PubMed  Article  Google Scholar 

  8. Lotz J, Meier C, Leppert A, Galanski M (2002) Cardiovascular flow measurement with phase-contrast MR imaging: basic facts and implementation. Radiographics 22(3):651–671

    PubMed  Article  Google Scholar 

  9. Lehmkuhl L, Herz F, Foldyna B et al (2011) Diagnostic performance of prospectively ECG triggered versus retrospectively ECG gated 64-slice computed tomography coronary angiography in a heterogeneous patient population. Eur J Radiol 80(2):342–348

    PubMed  Article  Google Scholar 

  10. Thiele H, Dörr R, Gutberlet M (2012) Diagnostic work-up of coronary artery disease: clinical value of different imaging methods. Herz 37(8):887–899

    CAS  PubMed  Article  Google Scholar 

  11. Ferket BS, Genders TSS, Colkesen EB et al (2011) Systematic review of guidelines on imaging of asymptomatic coronary artery disease. J Am Coll Cardiol 57:1591–1600

    PubMed  Article  Google Scholar 

  12. Hoffmann U, Truong QA, Schoenfeld DA et al (2012) Coronary CT angiography versus standard evaluation in acute chest pain. N Engl J Med 367(4):299–308

    CAS  PubMed Central  PubMed  Article  Google Scholar 

  13. Ko BS, Cameron JD, Leung M et al (2012) Combined CT coronary angiography and stress myocardial perfusion imaging for hemodynamically significant stenoses in patients with suspected coronary artery disease: a comparison with fractional flow reserve. JACC Cardiovasc Imaging 5(11):1097–1111

    PubMed  Article  Google Scholar 

  14. Greenwood JP, Maredia N, Younger JF et al (2012) Cardiovascular magnetic resonance and single-photon emission computed tomography for diagnosis of coronary heart disease (CE-MARC): a prospective trial. Lancet 379(9814):453–460

    PubMed Central  PubMed  Article  Google Scholar 

  15. SchwitterJ, Wacker CM, Wilke N et al (2012) Superior diagnostic performance of perfusion-cardiovascular magnetic resonance versus SPECT to detect coronary artery disease: the secondary endpoints of the multicenter multivendor MR-IMPACT II (Magnetic Resonance Imaging for Myocardial Perfusion Assessment in Coronary Artery Disease Trial). J Cardiovasc Magn Reson 14:61

    Article  Google Scholar 

  16. Schwitter J, Wacker CM, Wilke N et al (2013) MR-IMPACT II: Magnetic Resonance Imaging for Myocardial Perfusion Assessment in Coronary artery disease Trial: perfusion- cardiac magnetic resonance vs. single-photon emission computed tomography for the detection of coronary artery disease: a comparative multicentre, multivendor trial. Eur Heart J 34(10):775–781

    PubMed  Article  Google Scholar 

  17. Bonow RO, Maurer G, Lee KL et al (2011) Myocardial viability and survival in ischemic left ventricular dysfunction. N Engl J Med 364:1617–1625

    CAS  PubMed Central  PubMed  Article  Google Scholar 

  18. Gutberlet M, Lücke C, Krieghoff C et al (2013) MRT bei Myokarditis. Radiologe 53(1):30–37

    CAS  PubMed  Article  Google Scholar 

  19. Grothoff M, Pachowsky M, Hoffmann J et al (2012) Value of cardiovascular MR in diagnosing left ventricular non-compaction cardiomyopathy and in discriminating between other cardiomyopathies. Eur Radiol 22(12):2699–2709

    PubMed Central  PubMed  Article  Google Scholar 

  20. Eitel I, Lücke C, Grothoff M et al (2010) Inflammation in takotsubo cardiomyopathy: insights from cardiovascular magnetic resonance imaging. Eur Radiol 20(2):422–431

    PubMed  Article  Google Scholar 

  21. Bruder O, Wagner A, Lombardi M et al (2013) European Cardiovascular Magnetic Resonance (EuroCMR) registry – multi national results from 57 centers in 15 countries. J Cardiovasc Magn Reson 15:9

    PubMed  Article  Google Scholar 

  22. https://www.mrct-registry.org/

  23. Desch S, Eitel I, De Waha S et al (2011) Cardiac magnetic resonance imaging parameters as surrogate endpoints in clinical trials of acute myocardial infarction. Trials 12:e204–e215

    Article  Google Scholar 

  24. Kelle S, Nagel E, Voss A et al (2013) A bi-center cardiovascular magnetic resonance prognosis study focusing on dobutamine wall motion and late gadolinium enhancement in 3,138 consecutive patients. J Am Coll Cardiol 61(22):2310–2312

    PubMed  Article  Google Scholar 

  25. Fluechter S, Kuschyk J, Wolpert C et al (2010) Extent of late gadolinium enhancement detected by cardiovascular magnetic resonance correlates with the inducibility of ventricular tachyarrhythmia in hypertrophic cardiomyopathy. J Cardiovasc Magn Reson 12:30

    PubMed  Article  Google Scholar 

  26. Flotats A, Knuuti J, Gutberlet M et al (2011) Hybrid cardiac imaging: SPECT/CT and PET/CT. A joint position statement by the European Association of Nuclear Medicine (EANM), the European Society of Cardiac Radiology (ESCR) and the European Council of Nuclear Cardiology (ECNC). Eur J Nucl Med Mol Imaging 38(1):201–212

    PubMed  Article  Google Scholar 

  27. Gutberlet M, Schwinge K, Freyhardt P et al (2005) Influence of high magnetic field strengths and parallel acquisition strategies on image quality in cardiac 2D CINE magnetic resonance imaging: comparison of 1.5 T vs. 3.0 T. Eur Radiol 15(8):1586–1597

    PubMed  Article  Google Scholar 

  28. Gutberlet M, Noeske R, Schwinge K et al (2006) Comprehensive cardiac magnetic resonance imaging at 3.0 Tesla: feasibility and implications for clinical applications. Invest Radiol 41(2):154–167

    PubMed  Article  Google Scholar 

  29. Zhang S, Uecker M, Voit D et al (2010) Real-time cardiovascular magnetic resonance at high temporal resolution: radial FLASH with nonlinear inverse reconstruction. J Cardiovasc Magn Reson 12:39

    PubMed  Article  Google Scholar 

  30. Lüdemann L, Schmitt B, Podrabsky P et al (2007) Usage of the T1 effect of an iron oxide contrast agent in an animal model to quantify myocardial blood flow by MRI. Eur J Radiol 62(2):247–256

    PubMed  Article  Google Scholar 

  31. Strach K, Meyer C, Thomas D et al (2007) High-resolution myocardial perfusion imaging at 3 T: comparison to 1.5 T in healthy volunteers. Eur Radiol 17(7):1829–1835

    CAS  PubMed  Article  Google Scholar 

  32. Gutberlet M (2002) Habilitationsschrift: Einsatz der Kernspintomographie in der Diagnostik und Verlaufskontrolle angeborener Herzfehler unter besonderer Berücksichtigung der Verwendung flusssensitiver Sequenzen und der Ventrikelfunktionsanalyse. http://edoc.hu-berlin.de/habilitationen/gutberlet-matthias-2002-11-05/PDF/Gutberlet.pdf

  33. Born S, Pfeifle M, Markl M et al (2013) Visual analysis of cardiac 4D MRI blood flow using line predicates. IEEE Trans Vis Comput Graph 19(6):900–912

    PubMed  Article  Google Scholar 

  34. Higgins CB, Sovak M, Schmidt W, Siemers PT (1978) Uptake of contrast materials by experimental acute myocardial infarctions: a preliminary report. Invest Radiol 13(4):337–339

    CAS  PubMed  Article  Google Scholar 

  35. Kim RJ, Wu E, Rafael A et al (2000) The use of contrast-enhanced magnetic resonance imaging to identify reversible myocardial dysfunction. N Engl J Med 343(20):1445–1453

    CAS  PubMed  Article  Google Scholar 

  36. De Cobelli F, Esposito A, Perseghin G et al (2012) Intraindividual comparison of gadubutrol and gadopentetate dimeglumine for detection of myocardial late enhancement in cardiac MRI. Am J Roentgenol 198(4):809–816

    Article  Google Scholar 

  37. Wagner M, Schilling R, Doeblin P et al (2013) Macrocyclic contrast agents for magnetic resonance imaging of chronic myocardial infarction: intraindividual comparison of gadubutrol and gadoterate meglumine. Eur Radiol 23(1):108–114

    PubMed  Article  Google Scholar 

  38. Tumkosit M, Puntawangkoon C, Morgan TM et al (2009) Left ventricular infarct size assessed with 0.1 mmol/kg of gadobenate dimeglumine correlates with that assessed with 0.2 mmol/kg of gadopentetate dimeglumine. J Comput Assist Tomogr 33(3):328–333

    PubMed Central  PubMed  Article  Google Scholar 

  39. Wildgruber M, Settles M, Kosanke K et al (2012) Evaluation of phase-sensitive versus magnitude reconstructed inversion recovery imaging for the assessment of myocardial infarction in mice with a clinical magnetic resonance scanner. J Magn Reson Imaging 36(6):1372–1382

    PubMed  Article  Google Scholar 

  40. Huber A, Bauner K, Wintersperger BJ et al (2006) Phase-sensitive inversion recovery (PSIR) single-shot TrueFISP for assessment of myocardial infarction at 3 tesla. Invest Radiol 41(2):148–153

    PubMed  Article  Google Scholar 

  41. Gutberlet M, Spors B, Thoma T et al (2008) Suspected chronic myocarditis at cardiac MR: diagnostic accuracy and association with immunohistologically detected inflammation and viral persistence. Radiology 246(2):401–409

    PubMed  Article  Google Scholar 

  42. Friedrich MG, Sechtem U, Schulz-Menger J et al; International Consensus Group on Cardiovascular Magnetic Resonance in Myocarditis (2009) Cardiovascular magnetic resonance in myocarditis: a JACC White Paper. J Am Coll Cardiol 53(17):1475–1487

    PubMed Central  PubMed  Article  Google Scholar 

  43. Lurz P, Eitel I, Adam J et al (2012) Diagnostic performance of CMR imaging compared with EMB in patients with suspected myocarditis. JACC Cardiovasc Imaging 5(5):513–524

    PubMed  Article  Google Scholar 

  44. Karamitsos TD, Piechnik SK, Banypersad SM et al (2013) Noncontrast T1 mapping for the diagnosis of cardiac amyloidosis. JACC Cardiovasc Imaging 6(4):488–497

    PubMed  Article  Google Scholar 

  45. Ferreira VM, Piechnik SK, Dall’Armellina E et al (2012) Non-contrast T1-mapping detects acute myocardial edema with high diagnostic accuracy: a comparison to T2-weighted cardiovascular magnetic resonance. J Cardiovasc Magn Reson 14:42

    PubMed  Article  Google Scholar 

  46. Messroghli DR, Radjenovic A, Kozerke S et al (2004) Modified Look-Locker inversion recovery (MOLLI) for high-resolution T1 mapping of the heart. Magn Reson Med 52(1):141–146

    PubMed  Article  Google Scholar 

  47. Gutberlet M, Abdul-Khaliq H, Grothoff M et al (2003) Evaluation of left ventricular volumes in patients with congenital heart disease and abnormal left ventricular geometry. Comparison of MRI and transthoracic 3-dimensional echocardiography. Rofo 175(7):942–951

    CAS  PubMed  Article  Google Scholar 

  48. Young AA, Cowan BR, Schoenberg SO, Wintersperger BJ (2008) Feasibility of single breath-hold left ventricular function with 3 Tesla TSENSE acquisition and 3D modeling analysis. J Cardiovasc Magn Reson 10:24

    PubMed  Article  Google Scholar 

  49. Perseghin G, De Cobelli F, Esposito A et al (2007) Effect of the sporting discipline on the right and left ventricular morphology and function of elite male track runners: a magnetic resonance imaging and phosphorus 31 spectroscopy study. Am Heart J 154(5):937–942

    PubMed  Article  Google Scholar 

  50. Prakken NH, Velthuis BK, Teske AJ et al (2010) Cardiac MRI reference values for athletes and nonathletes corrected for body surface area, training hours/week and sex. Eur J Cardiovasc Prev Rehabil 17(2):198–203

    PubMed  Article  Google Scholar 

  51. Gutberlet M, Spors B, Grothoff M et al (2004) Comparison of different cardiac MRI sequences at 1.5 T/3.0 T with respect to signal-to-noise and contrast-to-noise ratios – initial experience. Rofo 176(6):801–808

    CAS  PubMed  Article  Google Scholar 

  52. Gutberlet M, Hosten N, Vogel M et al (2001) Quantification of morphologic and hemodynamic severity of coarctation of the aorta by magnetic resonance imaging. Cardiol Young 11(5):512–520

    CAS  PubMed  Article  Google Scholar 

  53. Gutberlet M, Fröhlich M, Mehl S et al (2005) Myocardial viability assessment in patients with highly impaired left ventricular function: comparison of delayed enhancement, dobutamine stress MRI, end-diastolic wall thickness, and TI201-SPECT with functional recovery after revascularization. Eur Radiol 15(5):872–880

    CAS  PubMed  Article  Google Scholar 

  54. Theisen D, Wintersperger BJ, Huber A et al (2007) Myocardial first pass perfusion imaging with gadobutrol: impact of parallel imaging algorithms on image quality and signal behavior. Invest Radiol 42(7):522–528

    CAS  PubMed  Article  Google Scholar 

  55. Doesch C, Papavassiliu T, Michaely HJ et al (2013) Detection of myocardial ischemia by automated, motion-corrected, color-encoded perfusion maps compared with visual analysis of adenosine stress cardiovascular magnetic resonance imaging at 3 T: a pilot study. Invest Radiol 48(9):678–686

    CAS  PubMed  Article  Google Scholar 

  56. Vöhringer M, Mahrholdt H, Yilmaz A, Sechtem U (2007) Significance of late gadolinium enhancement in cardiovascular magnetic resonance imaging (CMR). Herz 32(2):129–137

    PubMed  Article  Google Scholar 

Download references

Einhaltung der ethischen Richtlinien

Interessenkonflikt. M. Gutberlet gibt an, dass kein Interessenkonflikt besteht. Dieser Beitrag beinhaltet keine Studien an Menschen oder Tieren.

Author information

Affiliations

Authors

Corresponding author

Correspondence to M. Gutberlet.

Rights and permissions

Reprints and Permissions

About this article

Cite this article

Gutberlet, M. Kardiale Magnetresonanztomographie. Radiologe 53, 1033–1052 (2013). https://doi.org/10.1007/s00117-013-2533-2

Download citation

  • Published:

  • Issue Date:

  • DOI: https://doi.org/10.1007/s00117-013-2533-2

Schlüsselwörter

  • Kardiale Funktion
  • Gewebedifferenzierung
  • Magnetresonanzperfusion
  • Ventrikelfunktion
  • Magnetresonanzflussmessung

Keywords

  • Cardiac function
  • Tissue differentiation
  • Magnetic resonance perfusion
  • Ventricular function
  • Magnetic resonance flow measurements