Skip to main content

MRT-Morphologie von Knochentumoren und tumorähnlichen Läsionen

MRI morphology of bone tumors and tumor-like lesions

Zusammenfassung

Für das Staging und die Charakterisierung von Knochentumoren und tumorähnlichen Läsionen ist in der Magnetresonanztomographie (MRT) der Einsatz von Spinechosequenzen erforderlich. Die MRT hat nur einen geringen Stellenwert in der Bestimmung der Dignität. Obwohl viele Knochentumoren und tumorähnliche Läsionen eine vergleichbare Morphologie in dieser bildgebenden Modalität aufweisen, können einige Tumorentitäten mittels MRT recht zuverlässig diagnostiziert werden. Hierzu zählen Knorpeltumoren, die solitäre und aneurysmatische Knochenzyste, der Riesenzelltumor, fetthaltige Läsionen und bis zu einem gewissen Grad auch das Osteoidosteom und das Osteoblastom. Es werden praktische Tipps gegeben, wann bei Tumorverdacht die MRT eingesetzt werden sollte, wie bei einem zufällig bei einer MRT gefundenen Tumor die Untersuchung modifiziert werden sollte und welcher Tumor vorliegen könnte.

Abstract

Spin-echo sequences are mandatory at MRI for staging and characterization of bone tumors and tumor-like lesions. MRI is of minor value in the estimation of the malignant potential of an osseous lesion. Although many bone tumors and tumor-like lesions present similar morphology at MRI, some entities can be diagnosed with good reliability. These include chondrogenic tumors, solitary and aneurysmal bone cysts, giant cell tumors, lesions containing fatty tissue and, to a certain extent, osteoid-osteomas and osteoblastomas. Practical advice is given regarding when to perform a MRI study in cases of tumor suspicion. Further advices are given for cases a tumor is found incidentally at a MRI study, how to modify the study and which kind of tumor may be present.

This is a preview of subscription content, access via your institution.

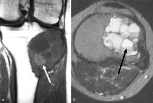
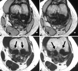
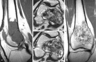
Abb. 1
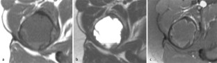
Abb. 2
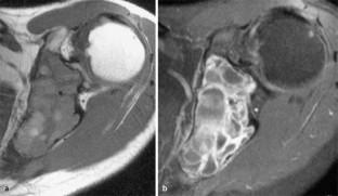
Abb. 3
Abb. 4
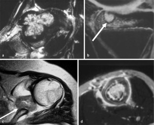
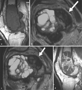
Abb. 5
Abb. 6
Abb. 7
Abb. 8
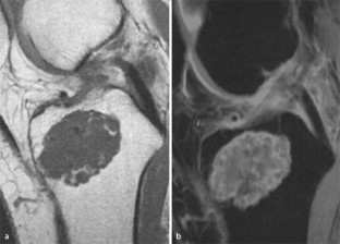
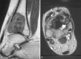
Abb. 9
Abb. 10
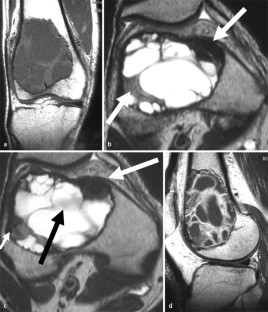
Abb. 11
Abb. 12
Abb. 13
Abb. 14
Abb. 15
Abb. 16
Abb. 17
Abb. 18
Abb. 19
Abb. 20

Literatur

  1. Alya F, James SL, Davies AM, Saifuddin A (2007) The role of MR imaging in the diagnostic characterisation of appendicular bone tumours and tumour-like conditions. Eur Radiol 17:2675–2686

    Article  Google Scholar 

  2. Collins MS, Koyama T, Swee RG, Inward CY (2003) Clear cell chondrosarcoma: radiographic, computed tomographic, and magnetic resonance findings in 34 patients with pathologic correlation. Skeletal Radiol 32:687–694

    Article  PubMed  Google Scholar 

  3. Davies M, Cassar-Pullicino VN, Davies MA et al (2002) The diagnostic accuracy of MR imaging in osteoid osteoma. Skeletal Radiol 31:559–569

    Article  PubMed  Google Scholar 

  4. Erlemann R (2005) Tumorähnliche Läsionen. In: Stäbler A, Freyschmidt J (Hrsg) Handbuch der Radiologie, Muskuloskelettales System 2. Springer, Heidelberg, S 339–378

  5. Erlemann R (2009) Basisdiagnostik von Knochentumoren. Radiologe 49(4):257–267

    Article  Google Scholar 

  6. Erlemann R, Wörtler K (2005) Knochentumoren. In: Stäbler A, Freyschmidt J (Hrsg) Handbuch der Radiologie, Muskuloskelettales System 2. Springer, Heidelberg, S 125–326

  7. James SL, Panicek DM, Davie AM (2008) Bone marrow oedema associated with benign and malignant bone tumours. Eur J Radiol 67:11–21

    Article  CAS  PubMed  Google Scholar 

  8. Kroon HM, Bloem JL, Holscher HC (1994) MR imaging of edema accompanying benign and malignant bone tumors. Skeletal Radiol 23:261–269

    Article  CAS  PubMed  Google Scholar 

  9. Murphey MD, Robbin MR, McRae GA et al (1997) The many faces of osteosarcoma. Radiographics 17:1205–1231

    CAS  PubMed  Google Scholar 

  10. Murphey MD, Flemming DJ, Boyea SR et al (1998) Enchondroma versus chondrosarcoma in the appendicular skeleton: differentiating features. Radiographics 18:1213–1237

    CAS  PubMed  Google Scholar 

  11. Murphey MD, Nomikos GC, Flemming DJ et al (2001) Imaging of giant cell tumor and giant cell reparative granuloma of bone: radiologic-pathologic correlation. Radiographics 21:1283–1309

    CAS  PubMed  Google Scholar 

  12. Murphey MD, Walker EA, Wilson AJ et al (2003) Imaging of primary chondrosarcoma: radiologic-pathologic correlation, Radiographics 23:1245–1278

    Google Scholar 

  13. O’Donnell P, Saifuddin A (2004) The prevalence and diagnostic significance of fluid-fluid levels in focal lesions of bone. Skeletal Radiol 33:330–336

    Article  Google Scholar 

  14. Woertler K (2003) Benign bone tumors and tumor-like lesions: value of cross-sectional imaging. Eur Radiol 13:1820–1835

    Article  PubMed  Google Scholar 

Download references

Interessenkonflikt

Der korrespondierende Autor gibt an, dass kein Interessenkonflikt besteht.

Author information

Affiliations

Authors

Corresponding author

Correspondence to R. Erlemann.

Additional information

Die MRT-Bilder stammen von eigenen Patienten, den Einsendern des Knochengeschwulstregisters Magdeburg und des Knochentumorreferenzzentrums in Basel, bei denen der Autor viele Jahre mitgearbeitet hat, sowie eigenen Konsiliarfällen.

Rights and permissions

Reprints and Permissions

About this article

Cite this article

Erlemann, R. MRT-Morphologie von Knochentumoren und tumorähnlichen Läsionen. Radiologe 50, 61–82 (2010). https://doi.org/10.1007/s00117-009-1845-8

Download citation

  • Published:

  • Issue Date:

  • DOI: https://doi.org/10.1007/s00117-009-1845-8

Schlüsselwörter

  • Knochentumor
  • Knorpeltumor
  • Aneurysmatische Knochenzyste
  • Lipom
  • Knochen bildender Tumor

Keywords

  • Bone tumor
  • Cartilage tumor
  • Aneurysmal bone cyst
  • Lipoma
  • Osteogenic tumor