Skip to main content

Tumoren und tumorähnliche Erkrankungen

Tumors and tumor-like lesions

Zusammenfassung

Tumoren und tumorähnliche Läsionen zählen zu den seltenen Erkrankungen der Nasennebenhöhlen (NNH). Einer großen Vielfalt an histologischen Typen steht eine sehr begrenzte Zahl bildmorphologischer Muster gegenüber. Die Histologie ist ein wichtiger Punkt bei der Therapieplanung. Eine histologische Sicherung über eine Probeentnahme ist im sinonasalen Bereich nicht so problematisch wie in anderen Körperregionen. Die Hauptaufgabe der Bildgebung besteht in einer exakten Bestimmung von Ausmaß und Ausdehnung eines tumorösen Prozesses. Dieser Artikel beschreibt Möglichkeiten und Grenzen von Computertomographie (CT) und Magnetresonanztomographie (MRT) bei der Beurteilung von Dignität und Ausdehnung tumorverdächtiger Läsionen unter Beachtung therapeutisch relevanter Informationen. Zusätzlich wird ein knapper Überblick über das Erscheinungsbild von NNH-Tumoren sowie tumorähnlichen Läsionen in der Bildgebung gegeben.

Abstract

Tumors and tumor-like lesions are rare diseases in the paranasal sinuses. There is a great variety of histological types, but only a small number of morphological patterns on imaging. Histology is an important point in therapeutic planning. In most cases it is obtained by sampling, which is not as difficult in the sinonasal area as in other regions of the body. The main task of imaging is an exact estimation of the extent and spread of a lesion. This article discusses the possibilities and limitations of CT and MRI in the assessment of the dignity and spread of paranasal tumors and tumor-like lesions in consideration of necessary therapeutic information. Additionally, an overview of features on imaging of different paranasal tumors and tumor-like lesions is given.

This is a preview of subscription content, access via your institution.

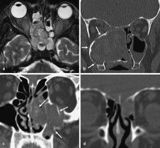
Abb. 1
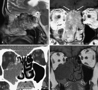
Abb. 2
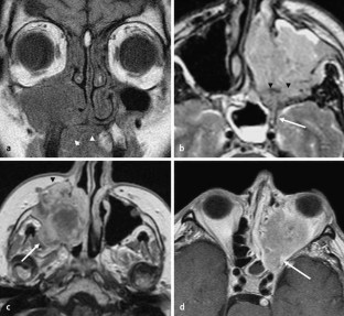
Abb. 3
Abb. 4
Abb. 5
Abb. 6
Abb. 7

Literatur

  1. Boring CC, Squires TS, Tong T (1992) Cancer statistics, 1992. CA Cancer J Clin 42: 19–38

    PubMed  CAS  Article  Google Scholar 

  2. Casselmann JW (2005) The skull base tumoral lesions. Eur Radiol 15: 534–542

    Article  Google Scholar 

  3. Chong VFH, Khoo JBK, Fan Y-F (2002) Fibrous dysplasia involving the base of the Skull. Am J Radiol 178: 717–720

    Google Scholar 

  4. Curtin HD (1998) Detection of perineural spread: fat is a friend. Am J Neuroradiol 19: 1385–1386

    PubMed  CAS  Google Scholar 

  5. Eisen MD, Yousem DM, Montone KT et al. (1996) Use of preoperative MR to predict dural, perineural and venous sinus invasion of skull base tumors. Am J Neuroradiol 17: 1937–1945

    PubMed  CAS  Google Scholar 

  6. Kanamalla US, Kesava PP, McGuff HS (2000) Imaging of nonlaryngeal neuroendocrine carcinoma. AJNR Am J Neuroradiol 21: 775–778

    PubMed  CAS  Google Scholar 

  7. Maroldi R, Farina D, Palvarini L et al. (2004) Magnetic resonance imaging findings of inverted papilloma: differential diagnosis with malignant sinonasal tumors. Am J Rhinol 18: 305–310

    PubMed  Google Scholar 

  8. Ojiri H, Ujita M, Tada S, Fukuda K (2000) Potentially distinctive features of sinonasal inverted papilloma on MR imaging. AJR Am J Roentgenol 175: 465–468

    PubMed  CAS  Google Scholar 

  9. Som PM, Brandwein MS (2003) Tumors and tumor-like conditions. In: Som PM, Curtin HD (eds) Head and neck imaging. Mosby, St. Louis, pp 261–373

  10. Tomura N, Hirano H, Kato K et al. (1998) Comparison of MR imaging with CT in depiction of tumour extension into the pterygopalatine fossa. Clin Radiol 54: 361–366

    Article  Google Scholar 

  11. Wittekind C, Meyer H, Bootz F (Hrsg) (2002) Nasenhöhle und Nasennebenhöhlen. Klassifikation maligner Tumore. Springer, Berlin Heidelberg New York, S 40–44

Download references

Danksagung

Die histologischen Diagnosen verdanken wir den Mitarbeitern der Institute für Pathologie der Universitäten Halle bzw. Leipzig. Die der Abb. 5c zugrunde liegende Untersuchung wurde in der Praxisgemeinschaft Delitzsch angefertigt. Wir danken Frau Dr. E. Kasten für die freundliche Überlassung der Bilder.

Interessenkonflikt

Es besteht kein Interessenskonflikt. Der korrespondierende Autor versichert, dass keine Verbindungen mit einer Firma, deren Produkt in dem Artikel genannt wird oder einer Firma, die ein Konkurrenzprodukt vertreibt, bestehen. Die Präsentation des Themas ist unabhängig und die Darstellung der Inhalte produktneutral.

Author information

Affiliations

Authors

Corresponding author

Correspondence to S. Kösling.

Rights and permissions

Reprints and Permissions

About this article

Cite this article

Kösling, S., Knipping, S. & Stoevesandt, D. Tumoren und tumorähnliche Erkrankungen. Radiologe 47, 613–620 (2007). https://doi.org/10.1007/s00117-007-1505-9

Download citation

  • Published:

  • Issue Date:

  • DOI: https://doi.org/10.1007/s00117-007-1505-9

Schlüsselwörter

  • Nasennebenhöhlen
  • Tumoren
  • Tumorähnliche Läsionen
  • Computertomographie (CT)
  • Magnetresonanztomographie (MRT)

Keywords

  • Paranasal sinuses
  • Tumors
  • Tumor-like lesions
  • Computed tomography (CT)
  • Magnetic resonance imaging (MRI)