Skip to main content

Aktueller Stand und Entwicklungen der Laserablation in der Tumortherapie

Laser ablation of tumors: current concepts and recent developments

Zusammenfassung

Fragestellung

In diesem Artikel werden methodische Innovationen und klinische Ergebnisse der perkutanen interventionellen Laserablation von Tumoren mit neueren Techniken vorgestellt.

Methodik

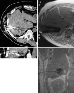
Im interdisziplinären Konsens wurden 182 Patienten (Lebertumoren: 131, andere Tumoren—Knochen, Lunge, weitere Tumoren: 51) mit 1–6 Applikatoren behandelt. Die Interventionen erfolgten in Kombination verschiedener Modalitäten (CT/MRT; CT/US) oder ausschließlich im geschlossenen MRT (1,5 T) mit direkt postinterventioneller MRT-Kontrolle.

Ergebnisse

Bei Lebertumoren wurde eine Ablationsrate von insgesamt 90,9% erzielt, die MRT erwies sich als optimale Methode zur Prozesssteuerung und direkten postinterventionellen Kontrolle. Die Komplikationsrate („major events“) betrug 5,4%. Bei nichthepatischen Tumoren ergab sich eine hohe technische Erfolgsrate mit organabhängig unterschiedlichem klinischem Erfolg.

Schlussfolgerungen

Die Laserablation mit neuen Techniken ist ein sicheres und nebenwirkungsarmes Verfahren zur Behandlung von Leber- und anderen Tumoren bis zu einer Größe von 5 cm. Die MRT hat sich für die exakte multiplanare Abbildung des Tumors, die Prozesssteuerung und die Erfolgskontrolle der Laserablation bewährt.

Abstract

Purpose

The purpose of this paper is to present technical innovations and clinical results of percutaneous interventional laser ablation of tumors using new techniques.

Methods

Laser ablation was performed in 182 patients (liver tumors: 131, non hepatic tumors—bone, lung, others: 51) after interdisciplinary consensus was obtained. The procedure was done using a combination of imaging modalities (CT/MRI, CT/US) or only closed high field MRI (1.5 T). All patients received an MRI-scan immediately after laser ablation.

Results

In 90.9% of the patients with liver tumors, a complete ablation was achieved. Major events occurred in 5.4%. The technical success rate of laser ablation in non-hepatic tumors was high, clinical results differed depending on the treated organ.

Conclusions

The treatment of tumors of the liver and other organs up to 5 cm by laser ablation was a safe procedure with a low rate of complications and side effects. Image guidance by MRI is advantageous for precise tumor visualization in all dimensions, therapy monitoring, and control of laser ablation results.

This is a preview of subscription content, access via your institution.

Abb. 1
Abb. 2
Abb. 3
Abb. 4
Abb. 5
Abb. 6
Abb. 7
Abb. 8

Literatur

  1. Amin Z, Donald J, Masters A (1993) Hepatic metastases interstitial laser photocoagulation with real-time US monitoring and dynamic CT evaluation of treatment. Radiology 187:339–347

    CAS  Google Scholar 

  2. Bown SG (1983) Phototherapy in tumors. World J Surg 7(6):700–709

    CAS  PubMed  Google Scholar 

  3. DeFriend DE, Smith SP, Hughes PM (2003) Percutaneous laser photocoagulation of osteoid osteomas under CT guidance. Clin Radiol 58(3):222–226

    Article  CAS  PubMed  Google Scholar 

  4. Desai DC, Zervos EE, Arnold MW, Burak WE Jr, Mantil J, Martin EW jr (2003) Positron emission tomography affects surgical management in recurrent colorectal cancer patients. Ann Surg Oncol 10(1):59–64

    Article  PubMed  Google Scholar 

  5. Dickinson RJ, Hall AS, Hind AJ, Young IR (1986) Measurement of changes in tissue temperature using MR imaging. J Comp Assist Tomogr 10:468–472

    CAS  Google Scholar 

  6. Eichler K, Mack MG, Straub R, Engelmann K, Zangos S, Woitaschek D, Vogl TJ (2001) Oligonoduläres hepatozelluläres Karzinom (HCC): MR-gesteuerte laserinduzierte Thermotherapie (LITT). Radiologe 41(10):915–922

    Article  CAS  Google Scholar 

  7. Fiedler VU, Schwarzmaier HJ, Eickmeyer F, Muller FP, Schoepp C, Verreet PR (2001) Laser-induced interstitial thermotherapy of liver metastases in an interventional 0.5 Tesla MRI system: technique and first clinical experiences. J Magn Reson Imaging 13(5):729–737

    Article  CAS  PubMed  Google Scholar 

  8. Friedel G, Pastorino U, McCormack P et al. (1999) Resektion von Lungenmetastasen, Langzeitresultate und prognostische Faktoren auf der Basis von 5206 Fällen—The International Registry of Lung Metastases. Zentralbl Chir 124:96-103

    CAS  PubMed  Google Scholar 

  9. Gaffke G, Stroszczynski C, Felix R (2003) Laserinduzierte Thermotherapie einer Nebennierenmetastase. Fortschr Rontgenstr 175:705–706

    Article  CAS  Google Scholar 

  10. Giorgio A, Tarantino L, de Stefano G (2003) Interstitial laser photocoagulation under ultrasound guidance of liver tumors; results in 104 treated patients. Eur J Ultrasound 11:181–188

    Article  Google Scholar 

  11. Helmberger TK, Roth U, Empen K (2002) Massive air embolism during interventional laser therapy of the liver: successful resuscitation without chest compression. Cardiovasc Intervent Radiol 25(4):335–336

    PubMed  Google Scholar 

  12. Helmberger T, Holzknecht N, Schopf U, Kulinna C, Rau H, Stabler A, Reiser M (2001) Radiofrequenzablation von Lebermetastasen. Technik und erste Ergebnisse. Radiologe 41(1):69–76

    Article  CAS  PubMed  Google Scholar 

  13. Hosten N, Stier A, Weigel C, Kirsch M, Puls R, Nerger U, Jahn D, Stroszczynski C, Heidecke CD, Speck U (2003) Laser-induzierte Thermotherapie (LITT) von Lungenmetastasen: Beschreibung eines miniaturisierten Applikators, Optimierung und erste Patientenbehandlungen. Fortschr Rontgenstr 175:393–400

    Article  CAS  Google Scholar 

  14. Hosten N, Kreissig R, Puls R, Amthauer H, Beier J, Rohlfing T, Stroszczynski C, Herbel A, Lemke AJ, Felix R (2000) Bildfusion von CT und PET Daten: Methoden und klinische Relevanz für die Planung der laserinduzierten Thermotherapie von Lebermetastasen. Fortschr Geb Rontgenstr 172(7):630–635

    Article  CAS  Google Scholar 

  15. Isbert C, Roggan A, Ritz JP, Muller G, Buhr HJ, Lehmann KS, Germer CT (2001) Laser-induced thermotherapy: intra- and extralesionary recurrence after incomplete destruction of experimental liver metastasis. Surg Endosc 15(11):1320–1326

    CAS  PubMed  Google Scholar 

  16. Isbert C, Ritz JP, Schilling A, Roggan A, Heiniche A, Wolf KJ, Muller G, Buhr HJ, Germer CT (2002) Laser induced thermotherapy (LITT) of experimental liver metastasis-detection of residual tumors using Gd-DTPA enhanced MRI. Lasers Surg Med 30(4):280–289

    Article  PubMed  Google Scholar 

  17. Kahn T, Harth T, Schwabe B, Schwarzmaier HJ, Mödder U (1997) MR-tomographische Temperaturquantifizierung bei 1.5 T in vitro: Vergleich von schnellen T1-Parameterbildern und einer phasensensitiven Sequenz. Fortschr Röntgenstr 167:187–193

    Google Scholar 

  18. Mumtaz H, Hall-Craggs MA, Wotherspoon A, Paley M, Buonaccorsi G, Amin Z, Wilkinson I, Kissin MW, Davidson TI, Taylor I, Bown SG (1996) Laser therapy for breast cancer: MR imaging and histopathologic correlation. Radiology 2000(3):651–658

    Google Scholar 

  19. Nordlinger B, Guiguet M, Vaillant JC (1996) Surgical resection of colorectal carcinoma metastases to the liver: a prognostic scoring system to improve case selection, based on 1568 patients. Association Française de Chirurgie. Cancer 77:1254–1262

    CAS  PubMed  Google Scholar 

  20. Puls R, Stroszczynski C, Gaffke G, Hosten N, Felix R, Speck U (2003) Laser-induced thermotherapy (LITT) of liver metastases: MR-guided percutaneous insertion of an MRI-compatible irrigated microcatheter system using a closed high-field unit. J Magn Reson Imaging17(6):663–670

    Google Scholar 

  21. Scheele J, Stangl R, Schmidt K, Altendorf-Hofmann A (1995) Recurrent tumor after R0 resection of colorectal liver metastases: incidence, resectability and prognosis. Chirurg 66:965–973

    CAS  PubMed  Google Scholar 

  22. Stroszczynski C, Hosten N, Puls R, Nagel S, Scholman HJ, Wlodarczyk W, Oettle H, Moesta KT, Schlag PM, Felix R (2001) Histopathologic correlation to MR findings during and after laser-induced thermotherapy (LITT) in a pig pancreas model: a pilot study. Invest Rad 36:413–420

    Article  CAS  Google Scholar 

  23. Stroszczynski C, Gretschel S, Gaffke G, Puls R, Kretzschmar A, Hosten N, Schlag PM, Felix R (2002) Laserinduzierte Thermotherapie (LITT) bei malignen Lebertumoren: Evaluation der sonographischen Prozesskontrolle. Ultraschall Med 23:163–167

    Article  CAS  Google Scholar 

  24. Tacke J (2003) Perkutane Radiofrequenzablation—klinische Indikationen und Ergebnisse. Fortschr Röntgenstr 175:156-168

  25. Vogl TJ, Straub R, Eichler K, Sollner O, Mack MG (2003) Colorectal carcinoma metastases in liver: laser-induced interstitial thermotherapy—local tumor control rate and survival data. Radiology [Elektronische Vorabveröffentlichung]

    Google Scholar 

  26. Vogl TJ, Mack MG, Balzer JO, Engelmann K, Straub R, Eichler K, Woitaschek D, Zangos S (2003) Liver metastases neoadjuvant downsizing with transarterial chemoembolization before laser-induced thermotherapy. Radiology 229(2):457–464

    PubMed  Google Scholar 

  27. Wacker FK, Reither K, Ritz JP, Roggan A, Germer CT, Wolf KJ (2001) MR-guided interstitial laser-induced thermotherapy of hepatic metastasis combined with arterial blood flow reduction: technique and first clinical results in an open MR system. J Magn Reson Imaging 13(1):31–36

    Article  CAS  PubMed  Google Scholar 

  28. Wallace JR, Christians KK, Quiroz FA, Foley WD, Pitt HA, Quebbeman EJ (2001) Ablation of liver metastasis: is preoperative imaging sufficiently accurate? J Gastrointest Surg 5:98–107

    CAS  PubMed  Google Scholar 

  29. Witt JD, Hall-Craggs MA, Ripley P, Cobb JP, Bown SG (2000) Interstitial laser photocoagulation for the treatment of osteoid osteoma. J Bone Joint Surg [Br] 82(8):1125–1128

    Google Scholar 

  30. Wlodarczyk W, Hentschel M, Wust P, Noeske R, Hosten N, Rinneberg H, Felix R (1999) Comparison of four magnetic resonance methods for mapping small temperature changes. Phys Med Biol 44:607–624

    Article  CAS  PubMed  Google Scholar 

Download references

Interessenkonflikt:

Der korrespondierende Autor weist auf eine Verbindung mit folgender Firma/Firmen hin: Sponsorverträge mit der Firma Schering.

Author information

Affiliations

Authors

Corresponding author

Correspondence to C. Stroszczynski.

Rights and permissions

Reprints and Permissions

About this article

Cite this article

Stroszczynski, C., Gaffke, G., Gnauck, M. et al. Aktueller Stand und Entwicklungen der Laserablation in der Tumortherapie. Radiologe 44, 320–329 (2004). https://doi.org/10.1007/s00117-004-1034-8

Download citation

  • Issue Date:

  • DOI: https://doi.org/10.1007/s00117-004-1034-8

Schlüsselwörter

  • Laserablation
  • Interstitielle Therapieverfahren
  • Leberneoplasien
  • Magnetresonanztomographie (MRT)

Keywords

  • Laser ablation
  • Interstitial therapies
  • Liver neoplasms
  • Magnetic resonance imaging (MRI)