Skip to main content

Risiken und Komplikationen der Embolisationstherapie von Uterusmyomen

Zusammenfassung

Ziel

Ziel der Arbeit war die Evaluation der beobachteten Komplikationen und Risiken der Myomembolisation. Dazu führten wir eine Literaturrecherche der 50 am häufigsten zitierten Publikationen durch. Zusätzlich befragten wir die in der Myomembolisation sehr erfahrenen Kollegen R. Cursch, J. Lammer, J. Spies und J.P. Pelage hinsichtlich der von ihnen beobachteten Komplikationen und Risiken. Im Vergleich dazu analysierten wir die aufgetretenen Komplikationen in unserem Patientengut.

Ergebnisse

Die häufigsten in der Literatur beschriebenen Komplikationen sind meist mit der Angiographie assoziierte wie Leistenhämatome oder leichte Leistenschmerzen, die sich schnell zurückbilden.

Schlussfolgerung

Die Uterusmyomembolisation (UFE) ist eine sehr sichere und risikoarme angiographische Intervention. Die möglichen Risiken und Komplikationen und die besten Vermeidungsstrategien müssen bekannt sein.

Abstract

Aim

Our goal was to evaluate risks and complication rate of uterine fibroid embolization (UFE).

Results

The most frequent complications reported in the literature are associated with angiography procedure, serious complications are extremely infrequent.

Conclusion

The embolization of fibroids is a safe angiographic intervention. Nethertheless, the interventional radiologist must be aware of the common risks and complication and the strategies to avoid them.

This is a preview of subscription content, access via your institution.

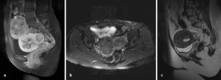
Abb. 1a,b
Abb. 2
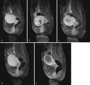
Abb. 3a–e
Abb. 4
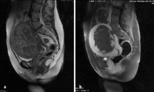
Abb. 5a,b
Abb. 6
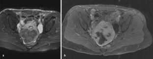
Abb. 7a–c

Literatur

  1. Baker CM, Winkel CA, Subramanian S, Spies JB (2002) Estimated costs for uterine artery embolization and abdominal myomectomy for uterine leiomyomata: a comparative study at a single institution. J Vask Interv Radiol 13(12):1207–1210

    Google Scholar 

  2. Broekmans FJ, Heitbrink MA, Hompes PG, Schoute E, Falke T, Schoemaker J (1996) Quantitative MRI of uterine leiomyomas during triptorelin treatment: reproducibility of volume assessment and predictability of treatment response. Magn Reson Imaging 14(10):1127–1135

    Google Scholar 

  3. Burn PR, McCall JM, Chinn R, Healy J (1999) Embolization of uterine fibroids. BrJ Radiol 72(854):159–161

    Google Scholar 

  4. Burn PR, McCall JM, Chinn RJ, Vashisht A, Smith JR, Healy JC (2000) Uterine fibroleiomyoma: MR imaging appearances before and after embolization of uterine arteries. Radiology 214(3):729–734

    Google Scholar 

  5. Chrisman HB, Smith SJ, Sterling KM, Vogelzang R, Bonn J, Andrews RT, Worthington-Kirsch RL, Goodwin SC, Lipman JC, Siskin GP, Hovsepian DM (2002) Uterine fibroid embolization: developing a clinical service. Tech Vasc Interv Radiol 5(1):67–76

    Google Scholar 

  6. Chrisman HB, Saker MB, Ryu RK, Nemcek AA Jr, Gerbie MV, Milad MP, Smith SJ, Sewall LE, Omary RA, Vogelzang RL (2000) The impact of uterine fibroid embolization on resumption of menses and ovarian function. J Vask Interv Radiol 11(6):699–703

    Google Scholar 

  7. Goodwin SC, Walker WJ (1998) Uterine artery embolization for the treatment of uterine fibroids. Curr Opin Obstet Gynecol 10(4):315–320

    Google Scholar 

  8. Goodwin SC, Lee M, McLucas B, Vedantham S, Forna AE, Perella R (1998) Uterine artery embolization for uterine fibroids. J Vask Interv Radiol 9(1, pt 2):184

    Google Scholar 

  9. Goodwin SC, Vedantham S, McLucas B et al. (1999) Preliminary experience with uterine artery embolization. J Vask Interv Radiol 10(9):1159–1165

    Google Scholar 

  10. Hagspiel KD, Matsumoto AH, Berr SS (2001) Uterine fibroid embolization: assessment of treatment response using perfusion-weighted extraslice spin tagging (EST) magnetic resonance imaging. J Magn Reson Imaging 13(6):982–986

    Google Scholar 

  11. Jones K, Walker WJ, Walker, Sutton C (2000) Sequestration and extrusion of intramural fibroids following arterial embolization: a case series. Gynecol Endos 9:309–313

  12. Keyoung AJ, Levy EB, Roth AR, Gomez-Jorge J et al. (2001) Intrarterial lidocaine for pain control after uterine artery embolization for leiomyomata. J Vask Interv Radiol 12:1065–1069

    Google Scholar 

  13. Lipman JC, Smith SJ, Spies JB, Siskin GP, Machan LS, Bonn J, Worthington-Kirsch RL, Goodwin SC, Hovsepian DM (2002) Uterine fibroid embolization: follow-up. Tech Vasc Interv Radiol 5(1):44–55

    Google Scholar 

  14. Lethaby A, Vollenhoven B, Sowter M (2002) Efficacy of pre-operative gonadotrophin hormone releasing analogues for women with uterine fibroids undergoing hysterectomy or myomectomy: a systematic review. BJOG 109(10):1097–1108

    Google Scholar 

  15. McLucas B, Adler L Perrella R (2001) Uterine fibroid embolization: nonsurgical treatment for symptomatic fibroids. J Am Coll Surg 192(1):95–105

    Google Scholar 

  16. Montemagno U, De-Placido G, Colacurci N, Zullo F, Locci M (1993) Uterine fibroids: protocols of integrated medical/surgical treatment. Clin Exp Obstet Gynecol 20(3):167–172

    Google Scholar 

  17. Nikolic B, Spies JB, Campbell L, Walsh M et al. (2001) Uterine artery embolization: reduced radiation with refined technique. J Vask Interv Radiol 12:39–44

    Google Scholar 

  18. Pelage JP, Le-Dref O, Soyer P, Rymer R et al. (2000) Fibroid-related menorrhagia: treatment with superselective embolization of the uterine arteries and midterm follow-up. Radiology 215:428–431

    Google Scholar 

  19. Pelage JP, Le-Dref O, Jacob D, Rymer R (2000) Ovarian artery supply of uterine fibroid. J Vask Interv Radiol 11(4):535

    Google Scholar 

  20. Pelage JP, Laurent A, Bonneau M, Wassef M, Rymer R, Merland JJ (2001) Arterial blood supply to the uterus in nonpregnant sheep: a pertinent model for clinical practice? Invest-Radiol 36(12):721–725

    Google Scholar 

  21. Pelage JP, Walker WJ, Le-Dref O, Laurent A, Rymer R (2001) Treatment of uterine fibroids. Lancet 12(9267):1530

    Google Scholar 

  22. Pelage JP, Laurent A, Wassef M, Bonneau M et al. (2002) Uterine artery embolization in sheep: comparison of acute effects with polyvinyl alcohol paricles and calibrated microspheres. Radiology 224:436–445

    Google Scholar 

  23. Pelage JP, Le-Dref O, Beregi JP, Nonent M et al. (2003) Limited uterine artery embolization with tris acryl gelatin microspheres for uterine fibroids. J Vask Interv Radiol 14(1):15–20

    Google Scholar 

  24. Ravina JH, Bouret JH, Ciraru-Vigneron N et al. (1997) Recourse to particular arterial embolization in the treatment of some uterine leiomyoma. Bull Acad Natl Med 181(2):233–243

    Google Scholar 

  25. Ravina JH, Herbreteau D, Ciraru-Vigneron N (1995) Arterial embolization to treat uterine myomata. Lancet 346:671–672

    Google Scholar 

  26. Roth AR, Spies JB, Walsh SM, Wood BJ, Gomez-Jorge J et al. (2000) Pain after uterine artery embolization for leiomyomata: can its severity be predicted and does severity predict outcome. J Vask Interv Radiol 11:1047–1052

    Google Scholar 

  27. Saraiya PV, Chang TC, Pelage JP, Spies JB (2002) Uterine artery replacement by the round ligament artery: an anatomic variant discovered during uterine artery embolization for leiomyomata. J Vask Interv Radiol 13(9): 939–941

    Google Scholar 

  28. Silva BA, Falcone T, Bradley L, Goldberg JM, Mascha E, Lindsey R, Stevens L (2000) Case-control study of laparoscopic versus abdominal myomectomy. J Laparoendosc Adv Surg Tech 10(4):191–197

    Google Scholar 

  29. Siskin GP, Stainken B, Dowling K et al. (2000) Outpatient uterine artery embolization for symptomatic uterine fibroids: experience in 49 patients. J Vask Interv Radiol 11:305–311

    Google Scholar 

  30. Siskin GP, Bonn J, Worthington-Kirsch RL, Smith SJ, Shlansky-Goldberg R, Machan LS, Andrews RT, Goodwin SC, Hovsepian DM (2002) Uterine fibroid embolization: pain management. Tech Vasc Interv Radiol 5(1):35–43

    Google Scholar 

  31. Spies JB, Benenati JF, Worthington-Kirsch RL, Pelage JP (1999) Initial experience with use of tris-acryl gelatin microspheres for uterine artery embolization for leiomyomata. J Vask Interv Radiol 10(9):1149–1157

    Google Scholar 

  32. Spies JB, Spector A, Roth AR, Baker CM et al. (2002) Complications after uterine artery embolization for leiomyomas. Obstet Gynecol 100(5 Pt 1):873–880

    Google Scholar 

  33. Spies JB, Roth AR, Jha RC, Gomez-Jorge J et al. (2002) Leiomyomata treated with uterine artery embolization: factors associated with successful symptom and imaging outcome. Radiology 222:45–52

    Google Scholar 

  34. Spies JB (2003) Uterine artery embolization for fibroids: understanding the technical causes of failure. J Vask Interv Radiol 14:11–14

    Google Scholar 

  35. Subramanian S, Spies JB (2001) Uterine artery embolization for leiomyomata: resource use and cost estimation. J Vasc Interv Radiol 12:571–574

    Google Scholar 

  36. Sterling KM, Vogelzang RL, Chrisman HB, Worthington-Kirsch RL, Machan LS, Goodwin SC, Andrews RT, Hovsepian DM, Smith SJ, Bonn J (2002) Uterine fibroid embolization: management of complications. Tech Vasc Interv Radiol 5(1):56–66

    Google Scholar 

  37. Vedantham S, Sterling KM, Goodwin SC, Spies JB, Shlansky-Goldberg R, Worthington-Kirsch RL, Andrews RT, Hovsepian DM, Smith SJ, Chrisman HB (2002) Uterine fibroid embolization: preprocedure assessment. Tech Vasc Interv Radiol 5(1):2–16

    Google Scholar 

  38. Walker WJ, Pelage JP (2002) Uterine artery embolisation for symptomatic fibroids: clinical results in 400 women with imaging follow up. BJOG 109(11):1262–1272

    Google Scholar 

  39. Worthington-Kirsch RL, Popky GL, Hutschins FL (1998) Uterine arterial embolization for the management of leiomyomas: quality-of-life assessment and clinical response. Radiology 208:625–629

    Google Scholar 

  40. Worthington-Kirsch RL, Andrews RT, Siskin GP, Shlansky-Goldberg R, Lipman JC, Goodwin SC, Bonn J, Hovsepian DM (2002) Uterine fibroid embolization: technical aspects. Tech Vasc Interv Radiol 5(1):17–34

Download references

Author information

Affiliations

Authors

Corresponding author

Correspondence to B. Radeleff.

Rights and permissions

Reprints and Permissions

About this article

Cite this article

Radeleff, B., Rimbach, S., Kauffmann, G.W. et al. Risiken und Komplikationen der Embolisationstherapie von Uterusmyomen. Radiologe 43, 641–650 (2003). https://doi.org/10.1007/s00117-003-0932-5

Download citation

  • Issue Date:

  • DOI: https://doi.org/10.1007/s00117-003-0932-5

Schlüsselwörter

  • Uterusmyom
  • Embolisation
  • MRT
  • Angiographie
  • Komplikationen

Keywords

  • Uterus
  • Leiomyoma
  • Embolization
  • MRI
  • Complications