Skip to main content

Das Chediak-Higashi-Syndrom

Chediak-Higashi syndrome

Zusammenfassung

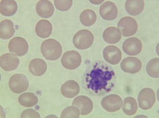
Das Chediak-Higashi-Syndrom (CHS) ist eine seltene autosomal rezessiv vererbte lysosomale Speicherkrankheit. Typische Symptome sind rezidivierende Infekte, ein okulokutaner Albinismus, vermehrte Blutungsneigung und neurologische Ausfälle. Die infantile Form dieser Erkrankung führt häufig zu einer lymphohistiozytären Infiltration multipler Organe und verläuft ohne Knochenmarktransplantation letal, während die adulte Form des CHS einen gutartigeren Verlauf nimmt. Hier stehen neurologische Störungen wie Polyneuropathie, Parkinson-Syndrom, Demenz und Ataxie im Vordergrund. Im jungen Erwachsenenalter sollte eine Kombination dieser neurologischen Ausfälle mit einem okulokutanen Albinismus oder rezidivierenden Infekten an ein CHS denken lassen. Diagnostisch wertvoll ist ein Blutausstrich mit eosinophilen, peroxidasepositiven Riesengranula in Leukozyten. In unserem Artikel fassen wir die derzeitigen Kenntnisse über diese Erkrankung zusammen und berichten über eigene Erfahrungen mit zwei adulten CHS-Patienten.

Summary

Chediak-Higashi syndrome (CHS) is a rare autosomal recessive lysosomal disorder characterized by frequent infections, oculocutaneous albinism, high bleeding tendency, and various neurological symptoms. Onset in early childhood mostly leads to lymphohistiocytic infiltration into multiple organs, which is usually lethal without bone marrow transplantation. The adult form of CHS has a milder course, no lymphohistiocytic infiltration, and is characterized by neurological manifestations such as polyneuropathy, parkinsonism, dementia, and ataxia. In young adults, a combination of these defects with oculocutaneous albinism or recurrent infections should bring CHS into consideration. Diagnosis is established by the presence of characteristic eosinophilic peroxidase-positive giant granules in leukocytes. This article summarizes current knowledge about the pathogenesis, clinical course, and therapy of CHS and reports on experience with two adult CHS patients.

This is a preview of subscription content, access via your institution.

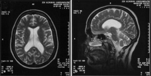
Abb 1
Abb. 2
Abb. 3

Literatur

  1. Anikster Y, Huizing M, Anderson PD et al. (2002) Evidence that Griscelli syndrome with neurological involvement is caused by mutations in RAB27A, not MYO5A. Am J Hum Genet 71:407–414

    PubMed  Google Scholar 

  2. Baldus M, Zunftmeister V, Geibel-Werle G et al. (1999) Chediak-Higashi-Steinbrinck syndrome in a 27-year-old woman—effects of G-CSF treatment. Ann Hematol 78:321–327

    Article  PubMed  Google Scholar 

  3. Blume RS, Wolff SM (1972) The Chediak-Higashi syndrome: studies in four patients and a review of the literature. Medicine (Baltimore) 51:247–280

  4. Buchanan GR, Handin RI (1976) Platelet function in the Chediak-Higashi syndrome. Blood 47:941–948

    PubMed  Google Scholar 

  5. Certain S, Barrat F, Pastural E et al. (2000) Protein truncation test of LYST reveals heterogenous mutations in patients with Chediak-Higashi syndrome. Blood 95:979–983

    PubMed  Google Scholar 

  6. Donohue WL, Bain HW (1957) Chediak-Higashi syndrome: a lethal familial disease with anomalous inclusions in the leukocytes and constitutional stigmata. Pediatrics 20:416–430

    PubMed  Google Scholar 

  7. Duran-McKinster C, Rodriguez-Jurado R, Ridaura C et al. (1999) Elejalde syndrome—a melanolysosomal neurocutaneous syndrome: clinical and morphological findings in 7 patients. Arch Dermatol 135:182–186

    Article  PubMed  Google Scholar 

  8. Faigle W, Raposo G, Tenza D et al. (1998) Deficient peptide loading and MHC class II endosomal sorting in a human genetic immunodeficiency disease: the Chediak-Higashi syndrome. J Cell Biol 141:1121–1134

    Article  PubMed  Google Scholar 

  9. Fukada M, Morimoto T, Ishida Y et al. (2000) Improvement of peripheral neuropathy with oral prednisolone in Chediak-Higashi syndrome. Eur J Pediatr 159:300–301

    Article  PubMed  Google Scholar 

  10. Haddad E, Le Deist F, Blanche S et al. (1995) Treatment of Chediak-Higashi syndrome by allogenic bone marrow transplantation: report of 10 cases. Blood 85:3328–3333

    PubMed  Google Scholar 

  11. Harris E, Wang N, Wu Wl WL et al. (2002) Dictyostelium LvsB mutants model the lysosomal defects associated with Chediak-Higashi syndrome. Mol Biol Cell 13:656–669

    Article  PubMed  Google Scholar 

  12. Hauser RA, Friedlander J, Baker MJ et al. (2000) Adult Chediak-higashi parkinsonian syndrome with dystonia. Mov Disord 15:705–708

    Article  PubMed  Google Scholar 

  13. Huynh C, Roth D, Ward DM et al. (2004) Defective lysosomal exocytosis and plasma membrane repair in Chediak-Higashi/beige cells. Proc Natl Acad Sci USA 101:16795–16800

    Article  PubMed  Google Scholar 

  14. Jacobi C, Koerner C, Fruehauf S et al. (2005) Presynaptic dopaminergic pathology in Chediak-Higashi syndrome with parkinsonian syndrome. Neurology 64:1814–1815

    PubMed  Google Scholar 

  15. Karim MA, Suzuki K, Fukai K et al. (2002) Apparent genotype-phenotype correlation in childhood, adolescent, and adult Chediak-Higashi syndrome. Am J Med Genet 108:16–22

    Article  PubMed  Google Scholar 

  16. Larsen WG (1967) The Chediak-Higashi syndrome and Aleutian mink. Arch Dermatol 96:330–331

    Article  PubMed  Google Scholar 

  17. Lockman LA, Kennedy WR, White JG (1967) The Chediak-Higashi syndrome: elektrophysiological and electron microscopic observations on the peripheral neuropathy. J Pediatr 70:942–951

    PubMed  Google Scholar 

  18. McVey Ward D, Griffiths GM, Stinchcombe JC et al. (2000) Analysis of the lysosomal storage disease Chediak-Higashi syndrome. Traffic 1:816–822

    Article  PubMed  Google Scholar 

  19. Misra VP, King RHM, Harding AE et al. (1991) Peripheral neuropathy in the Chediak-Higashi syndrome. Acta Neuropathol (Berl) 81:354–358

    Google Scholar 

  20. Mottonen M, Lanning M, Baumann P et al. (2003) Chediak-Higashi syndrome: four cases from Nothern Finland. Acta Paediatr 92:1047–1051

    Article  PubMed  Google Scholar 

  21. Perou CM, Leslie JD, Green W et al. (1997) The beige/Chediak-Higashi syndrome gene encodes a widely expressed cytosolic protein. J Biol Chem 272:29790–29794

    Article  PubMed  Google Scholar 

  22. Pettit RE, Berdal KG (1984) Chediak-Higashi syndrome: neurologic appearance. Arch Neurol 41:1001–1002

    PubMed  Google Scholar 

  23. Sayanagi K, Fujikado T, Onodera T et al. (2003) Chediak-Higashi syndrome with progressive visual loss. Jpn J Ophthalmol 47:304–306

    Article  PubMed  Google Scholar 

  24. Sheramata W, Kott HS, Cyr DP (1971) The Chediak-Higashi-Steinbrinck syndrome. Arch Neurol 25:289–294

    PubMed  Google Scholar 

  25. Shiflett SL, Kaplan J, McVey Ward D (2002) Chediak-Higashi syndrome: a rare disorder of lysosomes and lysosome related organelles. Pigment Cell Res 15:251–257

    Article  PubMed  Google Scholar 

  26. Silveira-Moriyama L, Moriyama TS, Gabbi TVB et al. (2004) Chediak-Higashi syndrome with parkinsonism. Mov Disord 19:472–475

    Article  PubMed  Google Scholar 

  27. Sung JH, Meyers JP, Stadlan EM et al. (1969) Neuropathological changes in Chediak-Higashi disease. J Neuropathol Exp Neurol 28:86–118

    PubMed  Google Scholar 

  28. Tomita Y, Suzuki T (2004) Genetics of pigmentary disorders. Am J Med Genet C Semin Med Genet 131:75–81

    Article  Google Scholar 

  29. Uyama E, Hirano T, Ito K et al. (1994) Adult Chediak-Higashi syndrome presenting as parkinsonism and dementia. Acta Neurol Scand 89:175–183

    PubMed  Google Scholar 

  30. Ward DM, Shiflett SL, Kaplan J (2002) Chediak-Higashi syndrome: a clinical and molecular view of rare lysosomal storage disorder. Curr Mol Med 2:469–477

    Article  PubMed  Google Scholar 

Download references

Interessenkonflikt

Der korrespondierende Autor versichert, dass keine Verbindungen mit einer Firma, deren Produkt in dem Artikel genannt ist, oder einer Firma, die ein Konkurrenzprodukt vertreibt, bestehen.

Author information

Affiliations

Authors

Corresponding author

Correspondence to J. Wolf.

Rights and permissions

Reprints and Permissions

About this article

Cite this article

Wolf, J., Jacobi, C., Breer, H. et al. Das Chediak-Higashi-Syndrom. Nervenarzt 77, 148–157 (2006). https://doi.org/10.1007/s00115-005-1989-3

Download citation

  • Issue Date:

  • DOI: https://doi.org/10.1007/s00115-005-1989-3

Schlüsselwörter

  • Chediak-Higashi-Syndrom
  • Lysosomale Störung
  • Polyneuropathie
  • Parkinson-Syndrom
  • Okulokutaner Albinismus

Keywords

  • Chediak-Higashi syndrome
  • Lysosomal disorder
  • Polyneuropathy
  • Parkinsonism
  • Oculocutaneous albinism