Skip to main content

Außergewöhnliche Liquoreiweißerhöhung in zwei Fällen eines Liquorunterdrucksyndroms

Extraordinary high cerebrospinal fluid protein in intracranial hypotension syndrome—a report of two cases

Zusammenfassung

Das Liquorunterdrucksyndrom ist eine seltene Ursache chronischer Kopfschmerzen. Die Ätiologie des Syndroms konnte bisher noch nicht zweifelsfrei geklärt werden, vermutlich handelt es sich aber um ein vermindertes Liquorvolumen aufgrund von Duraleckagen, die spontan, nach Liquorpunktionen sowie nach traumatischen oder operativen Duraverletzungen auftreten. Es kommt zu lageabhängigen Kopfschmerzen. In der MRT ist eine meningeale Kontrastmittelaufnahme nachweisbar. Der Liquoreröffnungsdruck ist meistens erniedrigt. Eine Pleozytose wird gelegentlich und eine Liquoreiweißerhöhung in der Mehrzahl der Fälle beobachtet, wobei die Werte normalerweise zwischen 0,6 und 2 g/l liegen. Wir berichten von 2 Fällen mit den typischen klinischen Symptomen und neuroradiologischen Veränderungen eines Liquorunterdrucksyndroms, die aber außergewöhnlich hohe Proteingehalte im Liquor von 9,63 bzw. 8,3 g/l aufwiesen. Vor dem Hintergrund dieser Befunde werden die potenziellen Ursachen der Liquoreiweißerhöhung beim Liquorunterdrucksyndrom diskutiert.

Summary

Intracranial hypotension is a rare cause of chronic headache. Although there is still debate about the aetiology, it is believed that the syndrome is caused by low cerebrospinal fluid volumes due to dural leakage. Such leakages can occur spontaneously after lumbar puncture or surgical or traumatic opening of the dura. In magnetic resonance contrast imaging, diffuse meningeal enhancement can be seen; usually the pressure at the cerebrospinal opening is lower than normal. Sometimes a pleocytosis and, in most cases, increased protein content can be identified in the CSF. These protein levels most frequently range between 0.5 g/l and 2 g/l. Here we describe two patients with typical clinical signs and neuroradiological alterations of intracranial hypotension syndrome but with extraordinarily high CSF protein levels (8.3 g/l and 9.63 g/l). On the basis of these findings, the putative causes of elevated CSF protein contents are discussed.

This is a preview of subscription content, access via your institution.

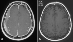
Abb. 1a,b

Literatur

  1. Schaltenbrand G (1938) Neuere Anschauungen zur Pathophysiologie der Liquorzirkulation. Zentralbl Neurochir 3:290–299

    Google Scholar 

  2. Mokri B (2003) Headaches caused by decreased intracranial pressure: diagnosis and management. Curr Opin Neurol 16 (3):319–326

    Article  PubMed  Google Scholar 

  3. Hong M, Shah GV, Adams KM et al. (2002) Spontaneous intracranial hypotension causing reversible frontotemporal dementia. Neurology 58:1285–1287

    CAS  PubMed  Google Scholar 

  4. Beck CE, Rizk NW, Kiger LT et al. (1998) Intracranial hypotension presenting with severe encephalopathy. Case report. J Neurosurg 89:470–473

    CAS  PubMed  Google Scholar 

  5. Niedermuller U, Trinka E, Bauer G (2002) Abducens palsy after lumbar puncture. Clin Neurol Neurosurg 104:61–63

    Article  CAS  PubMed  Google Scholar 

  6. Pakiam AS, Lee C, Lang AE (1999) Intracranial hypotension with parkinsonism, ataxia, and bulbar weakness. Arch Neurol 56:869–872

    Article  CAS  PubMed  Google Scholar 

  7. Pleasure SJ, Abosch A, Friedman J et al. (1998) Spontaneous intracranial hypotension resulting in stupor caused by diencephalic compression. Neurology 50:1854–1857

    CAS  PubMed  Google Scholar 

  8. Chung SJ, Kim JS, Lee MC (2000) Syndrome of cerebral spinal fluid hypovolemia. Neurology 55:1321–1327

    CAS  PubMed  Google Scholar 

  9. Schievink WI, Wijdicks EFM, Meyer FB et al. (2001) Spontaneous intracranial hypotension mimicking aneurysmal subarachnoid hemorrhage. Neurosurgery 48:513–517

    CAS  PubMed  Google Scholar 

  10. Thömke F, Bredel-Geißler A, Mika-Grüttner A et al. (1999) Spontanes Liquorunterdrucksyndrom—klinische, neuroradiologische, nuklearmedizinische und Liquor-Befunde. Nervenarzt 70:909–915

    Article  PubMed  Google Scholar 

  11. Binder DK, Dillon WP, Fishman RA et al. (2002) Intrathecal saline infusion in the treatment of obtundation associated with spontaneous intracranial hypotension: technical case report. Neurosurgery 51:830–837

    PubMed  Google Scholar 

  12. Muller B, Adelt K, Reichmann H et al. (1994) Atraumatic needle reduces the incidence of post-lumbar puncture syndrome. J Neurol 241 (6):376–380

    CAS  PubMed  Google Scholar 

  13. Mokri B, Hunter SF, Atkinson JLD et al. (1998) Orthostatic headaches caused by CSF leak but with normal CSF pressures. Neurology 51:786–790

    CAS  PubMed  Google Scholar 

  14. Levine DN, Rapalino O (2001) The pathophysiology of lumbar puncture headache. J Neurol Sci 192:1–8

    Article  CAS  PubMed  Google Scholar 

  15. Mino M, Narita N, Adachi M (2001) Epidural blood patch for the treatment of intracranial hypotension due to cerebrospinal fluid leakage after thoracic spine surgery. No Shinkei Geka 29:865–869

    CAS  PubMed  Google Scholar 

  16. Adams RF, Anslow P, Talbot K (2001) Screwdriver headache: a case of traumatic intracranial hypotension. Clin Radiol 56:676–680

    Article  CAS  PubMed  Google Scholar 

  17. Aldrete JA (1994) Persistent post-dural-puncture headache treated with epidural infusion of dextran. Headache 34:265–267

    CAS  PubMed  Google Scholar 

  18. Mokri B, Piepgras DG, Miller GM (1997) Syndrome of orthostatic headaches and diffuse pachymeningeal gadolinium enhancement. Mayo Clin Proc 72(5):400–413

    CAS  PubMed  Google Scholar 

  19. Fishman RA, Dillon WP (1993) Dural enhancement and cerebral displacement secondary to intracranial hypotension. Neurology 43:609–611

    CAS  PubMed  Google Scholar 

  20. Pannullo SC, Reich JB, Krol G et al. (1993) MRI changes in intracranial hypotension. Neurology 43:919–926

    CAS  PubMed  Google Scholar 

  21. Atkinson JL, Weinshenker BG, Miller GM et al. (1998) Acquired Chiari malformation secondary to spontaneous spinal cerebrospinal fluid leakage and chronic intracranial hypotension syndrome in seven cases. J Neurosurg 88:237–242

    CAS  PubMed  Google Scholar 

  22. Chiapparini L, Farina L, D’Incerti L et al. (2002) Spinal radiological findings in nine patients with spontaneous intracranial hypotension. Neuroradiology 44:143–150

    Article  CAS  PubMed  Google Scholar 

  23. Reiber H (1994) Flow rate of cerebrospinal fluid (CSF)—a concept common to normal blood-CSF barrier function and to dysfunction in neurological dieseases. J Neurol Sci 122:189–203

    Article  CAS  PubMed  Google Scholar 

  24. Schrijver I, Schievink WI, Godfrey M et al. (2002) Spontaneous spinal cerebrospinal fluid leaks and minor skeletal features of Marfan syndrome: a microfibrillopathy. J Neurosurg 96 (3):483–489

    PubMed  Google Scholar 

  25. Davenport RJ, Chataway SJ, Warlow CP (1995) Spontaneous intracranial hypotension from a CSF leak in a patient with Marfan’s syndrome. J Neurol Neurosurg Psychiatry 59:516–519

    CAS  PubMed  Google Scholar 

  26. Mokri B, Maher CO, Sencakova D (2002) Spontaneous CSF leaks: underlying disorder of connective tissue. Neurology 58:814–816

    PubMed  Google Scholar 

Download references

Author information

Affiliations

Authors

Corresponding author

Correspondence to Christoph Spitzer.

Rights and permissions

Reprints and Permissions

About this article

Cite this article

Spitzer, C., Wessels, T. & Block, F. Außergewöhnliche Liquoreiweißerhöhung in zwei Fällen eines Liquorunterdrucksyndroms . Nervenarzt 75, 1222–1225 (2004). https://doi.org/10.1007/s00115-004-1753-0

Download citation

  • Issue Date:

  • DOI: https://doi.org/10.1007/s00115-004-1753-0

Schlüsselwörter

  • Liquorunterdrucksyndrom
  • Liquoreiweißerhöhung
  • Chronische Kopfschmerzen

Keywords

  • Intracranial hypotension
  • Cerebrospinal fluid protein concentration
  • Chronic headache