Skip to main content

Hepatische Enzephalopathie

Zusammenfassung

Die hepatische Enzephalopathie (HE) ist eine neuropsychiatrische Komplikation akuter und chronischer Lebererkrankungen. Ursache ist eine komplexe, metabolisch induzierte und damit potenziell reversible Funktionsstörung des Gehirns. Voraussetzung für die Diagnose einer HE ist der Nachweis einer Funktionsstörung des zentralen Nervensystems bei gleichzeitig bestehender Leberfunktionsstörung und sicherem Ausschluss einer neurologischen oder psychiatrischen Erkrankung anderer Ätiologie. Die Diagnose einer HE wird rein klinisch gestellt und umfasst ein weites Spektrum neuropsychiatrischer Symptome unterschiedlicher Schweregrade. Die ergänzende Zusatzdiagnostik beinhaltet labormedizinische Methoden, bildgebende Verfahren und neurophysiologische Zusatzuntersuchungen. Die Therapie der HE besteht im Wesentlichen aus der Behandlung und zukünftigen Vermeidung auslösender Faktoren, der Modulation metabolischer Prozesse sowie ultima ratio der Lebertransplantation. Die Prognose hängt von der Art und dem Verlauf der hepatischen Grunderkrankung ab.

Summary

Hepatic encephalopathy (HE) is a neuropsychiatric complication of acute and chronic liver disease. Its etiology and pathogenesis are thought to be a complex, metabolically induced, and therefore potentially reversible disturbance in brain functions. The diagnosis is based on demonstrating both a disorder of the central nervous system and a concomitant liver disease as well as the exclusion of any neurological or psychiatric disorder of other etiology. The diagnosis of HE is clinical and displays a wide spectrum of neuropsychiatric symptoms in different degrees of severity. Ancillary diagnostic workup includes laboratory tests, neuroimaging, and neurophysiological exams such as electroencephalography and evoked potentials. The therapy of HE mainly consists of treatment and avoidance of any precipitating conditions such as high protein intake, infections, and gastrointestinal bleeding. Other therapeutic approaches modulate metabolic processes such as ammonium synthesis and excretion, formation of neurotransmitters, and as a last resort liver transplantation. The prognosis depends ultimately on the course of the liver disease.

This is a preview of subscription content, access via your institution.

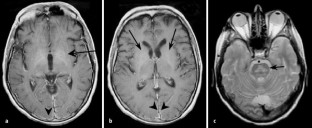
Abb. 1a–c.

Literatur

  1. Amodio P, Del Piccolo F, Marchetti P et al. (1999) Clinical features and survivial of cirrhotic patients with subclinical cognitive alterations detected by the number connection test and computerized psychometric tests. Hepatology 29(6): 1662–1667

    Google Scholar 

  2. Amodio P, Marchetti P, Del Piccolo F et al. (1999) Spectral versus visual EEG analysis in mild hepatic encephalopathy. Clin Neurophysiol 110(8): 1334–1344

    Google Scholar 

  3. Baktir G, Fisch HU, Karlaganis G (1987) Mechanism of the excessive sedative response of cirrhotics to benzodiazepines: model experiment with triazolam. Hepatology 7:629–638

    Google Scholar 

  4. Basile AS, Gammal SH, Mullen KD, Jones EA, Skolnick P (1988) Differential responsiveness of cerebellar Purkinje neurons to GABA and benzodiazepin receptor ligands in an animal model of hepatic encephalopathy. J Neurosci 8:2414–2421

    Google Scholar 

  5. Bergeron M, Reader TA, Pomier Layrargues G, Butterworth RF (1989) Monoamines and metabolites in autopsied brain tissue from cirrhotic patients with hepatic encephalopathy. Neurochem Res 14:853–859

    Google Scholar 

  6. Bernthal P, Hays A, Tarter RE, van Thiel D, Lecky J, Hegedus A (1987) Cerebral CT scan abnormalities in cholestatic and hepatocellular disease and their relationship to neuropsychologic test performance. Hepatology 7:107–114

    Google Scholar 

  7. Bucci L, Palmieri GC (1993) Double-blind, double-dummy comparison between treatment with rifaximin and lactulose in patients with medium to severe degree hepatic encephalopathy. Curr-Med Res Opin 13:109–118

    Google Scholar 

  8. Butterworth RF (1995) Detection of benzodiazepines in hepatic encephalopathy: reply. Hepatology 2:605

    Google Scholar 

  9. Butterworth RF (2000) Complications of cirrhosis III. Hepatic encephalopathy. J Hepatol 32(1): 171–180

    Google Scholar 

  10. Butterworth RF (2000) Hepatic encephalopathy: a neuropsychiatric disorder involving multiple neurotransmitter systems. Curr Opin Neurol 13(6): 721–727

    Google Scholar 

  11. Cordoba J, Blei AT (1997) Treatment of hepatic encephalopathy. Am J Gastroent 92:1429–1439

    Google Scholar 

  12. DeWaele JP, Audet RM, Rose C, Butterworth RF (1997) The portocaval-shunted rat: a new model for the study of the mechanisms controlling voluntary methanol consumption and ethanol dependence. Alcohol Clin Exp Res 21:305–310

    Google Scholar 

  13. Ferenci P (1991) Hepatische Enzephalopathie Klinik der Gegenwart, Urban & Schwarzenberg, München Wien Baltimore

  14. Ferenci P (2001) Hepatic encephalopathy. Dtsch Med Wochenschr 126 [Suppl 1]: 76–80

  15. Ferenci P, Herneth A, Steindl P (1996) Newer approaches to therapy of hepatic encephalopathy. Semin Liver Dis 16:329–338

    Google Scholar 

  16. Ferenci P, Lockwood A, Mullen K, Tarter R, Weissenborn K, Blei AT (2002) Hepatic Encephalopathy—Definition, Nomenclature, Diagnosis, and Quantification: Final Report of the Working Party at the 11th World Congress of Gastroenterology, Vienna 1998. Hepatology 35:716–721

    Google Scholar 

  17. Fischer JE, Baldessarini RJ (1971) False neurotransmitters and hepatic failure. Lancet 2(7715): 75–80

    Google Scholar 

  18. Gabuzda Jr D, Philips GB, Davidson CS (1952) Reversible toxic manifestations in patients with cirrhosis of the liver given cation-exchange resins. N Engl J Med 246:124–130

    Google Scholar 

  19. Gerok W (1984) Hepatische Enzephalopathie. Therapie mit adaptierten Aminosäuren- und Ketosäurengemischen. Therapiewoche 34:49–62

    Google Scholar 

  20. Gerok W, Haeussinger D (1984) Ammonia detoxication and glutamine metabolism in severe liver disease and its role in the pathogenesis of hepatic encephalopathy. In: Haeussinger D, Sies H (eds) Glutamine Metabolism in Mammalian Tissues, Springer, Heidelberg Berlin New York Tokyo, pp. 257–277

  21. Gyr K, Meier R, Haussler J, Bouletreau P, Fleig WE, Gatta A, Holstege A (1996) Evaluation of the efficacy and safety of flumazenil in the treatment of portal systemic encephalopathy. Gut 39:319–324

    Google Scholar 

  22. Haeussinger D (1990) Nitrogen metabolism in liver: structural-functional organization and physiological implications. Biochem J 267:281–290

    Google Scholar 

  23. Haeussinger D, Gerok W (1995) Rückwirkungen von Lebererkrankungen auf das Zentralnervensystem: Hepatogene Enzephalopathie. In: Gerok W, Blum HE (eds) Hepatologie, 2nd edn. Urban & Schwarzenberg, München Wien Baltimore pp 845–859

  24. Haeussinger D, Steeb R, Gerok W (1992) Metabolic alkalosis as driving force for urea synthesis in liver disease: pathogenetic model and therapeutic implications. Clin Investig 70(5): 411–415

    Google Scholar 

  25. Kircheis G, Nilius R, Held C, Berndt H, Buchner M, Görtelmeyer R (1997) Therapeutic efficacy of L-ornithine-L-aspartate infusions in patients with cirrhosis and hepatic encephalopathy: results of a placebo-controlled, double blind study. Hepatology 25:1351–1360

    Google Scholar 

  26. Krieger D, Krieger S, Jansen O, Gass P, Theilmann L, Lichtnecker H (1995) Manganese and chronic hepatic encephalopathy. Lancet 346(8970): 270–274

    Google Scholar 

  27. Kullmann F, Hollerbach S, Holstege A, Scholmerich J (1995) Subclinical hepatic encephalopathy: the diagnostic value of evoked potentials. J Hepatol 22(1): 101–110

    Google Scholar 

  28. Lang F, Hauessinger D (1990) Interaction of Cell Volume and Cell Function. Springer, Berlin Heidelberg New York Tokyo

  29. Laubenberger J, Haussinger D, Bayer S, Gufler H, Hennig J, Langer M (1997) Proton magnetic resonance spectroscopy of the brain in symptomatic and asymptomatic patients with liver cirrhosis. Gastroenterology 112(5): 1610–1616

    Google Scholar 

  30. Lockwood AH (2002) Positron emission tomography in the study of hepatic encephalopathy. Metab Brain Dis 17(4): 431–435

    Google Scholar 

  31. Lockwood AH, Murphy BW, Donnelly KZ, Mahl TC, Perini S (1993) Positron-emission tomographic localization of abnormalities of brain metabolism in patients with minimal hepatic encephalopathy. Hepatology 18(5): 1061–1068

    Google Scholar 

  32. Lockwood AH, Yap EW, Rhoades HM, Wong WH (1991) Altered cerebral blood flow and glucose metabolism in patients with liver disease and minimal encephalopathy. J Cereb Blood Flow Metab 11(2): 331–336

    Google Scholar 

  33. Lockwood AH, Yap EW, Wong WH (1991) Cerebral ammonia metabolism in patients with severe liver disease and minimal hepatic encephalopathy. J Cereb Blood Flow Metab 11(2): 337–341

    Google Scholar 

  34. Mendenhall CL, Rouster S, Marshall L, Weesner R (1986) A new therapy for portal systemic encephalopathy. American J Gastroent 81:540–543.

    Google Scholar 

  35. Morgan MY (1996) Noninvasive neuroinvestigation in liver disease. Semin Liver Dis 16(3): 293–314

    Google Scholar 

  36. Naylor CD, O´Rourkee K, Detsky AS, Baker JP (1989) Parenteral nutrition with branched-chain amino acids in hepatic encephalopathy. A Meta-Analysis. Gastroenterology 97:1033–1042

    Google Scholar 

  37. O'Carroll RE, Hayes PC, Ebmeier KP et al. (1991) Regional cerebral blood flow and cognitive function in patients with chronic liver disease. Lancet 337(8752): 1250–1253

    Google Scholar 

  38. Plauth M, Egberts EH (1993) Was ist gesichert in der Therapie der hepatischen Enzephalopathie? Internist 34:35–42

    Google Scholar 

  39. Pomier Layrargues G (1996) TIPS and hepatic encephaloapthy. Semin Liver Dis 16:315–320

    Google Scholar 

  40. Pomier Layrargues G, Giguére JF, Lavoie J, Perney P, Gagnon S, D'Amour M (1994) Clinical efficacy of benzodiazepine antagonist RO 15–1788 (flumazenil) in cirrhotic patients with hepatic coma: results of a randomized double-blind placebo-controlled crossover trial. Hepatology 19:32–37

    Google Scholar 

  41. Pomier Layrargues G, Spahr L, Butterworth RF (1995) Increased manganese concentrations in pallidum of cirrhotic patients. Lancet 345:735

    Google Scholar 

  42. Pujol A, Pujol J, Graus F et al. (1993) Hyperintense globus pallidus on T1-weighted MRI in cirrhotic patients is associated with severity of liver failure. Neurology 43(1): 65–69

    Google Scholar 

  43. Ross B, Kreis R, Farrow NA, Ackermann Z (1992) Metabolic disorders of the brain in chronic hepatic encephalopathy detected with H-1 MR spectroscopy. Radiology 182:19–27

    Google Scholar 

  44. Sanyal AJ, Freedman AM, Shiffman ML, Purdum PP, Luketic VA, Cheatham AK (1994) Portosystemic encephalopathy after transjugular intrahepatic portosystemic shunts: Results of a prospective controlled study. Hepatology 20:46–55

    Google Scholar 

  45. Schomerus H, Schreiegg J (1993) Prevalence of latent portosystemic encephalopathy in an unselected population of patients with liver cirrhosis in general practice. Z Gastroent 31:231–234

    Google Scholar 

  46. Sterns RH, Riggs JE, Schochet SS Jr (1986) Osmotic demyelination syndrome following correction of hyponatremia. N Engl J Med 314(24): 1535–1542

    Google Scholar 

  47. Strauss E, Tramote R, Silva EP, Caly WR, Honain NZ, Maffei RA, de Sa ME (1992) Double-blind randomized clinical trial comparing neomycin and placebo in the treatment of exogenous hepatic encephalopathy. Hepatogastroenterology 39:542–545

    Google Scholar 

  48. Sushma S, Dasarathy S, Tandon RK, Jain S, Gupta S, Bhist MS (1992) Sodium benzoate in the treatment of acute hepatic encephalopathy: a double-blind randomized trial. Hepatology 16:138–144

    Google Scholar 

  49. Tangermann A (1991) The role of mercaptans in the pathogenesis of hepatic encephalopathy. In: Bengtsson F, Jeppsson B, Almdal T, Vilstrup H (eds) Progress in Hepatic Encephalopathy and Metabolic Nitrogen Exchange, CRC Press, Boca Raton, pp 259–270

  50. Tarao K, Ikeda T, Hayashi K, Sakurai A, Okada T, Ito T (1990) Successful use of vancomycin hydrochloride in the treatment of lactulose resistant chronic hepatic encephalopathy. Gut 31:702–706

    Google Scholar 

  51. Taylor-Robinson SD, Sargentoni J et al. (1994) Cerebral phosphorus-31 magnetic resonance spectroscopy in patients with chronic hepatic encephalopathy. Hepatology 20(5): 1173–1178

    Google Scholar 

  52. Taylor-Robinson SD, Sargentoni J, Marcus CD, Morgan MY, Bryant DJ (1994) Regional variations in cerebral proton spectroscopy in patients with chronic hepatic encephalopathy. Metab Brain Dis 9(4): 347–359

    Google Scholar 

  53. Taylor-Robinson SD, Sargentoni J et al. (1996) MR imaging and spectroscopy of the basal ganglia in chronic liver disease: correlation of T1-weighted contrast measurements with abnormalities in proton and phosphorus-31 MR spectra. Metab Brain Dis 11(3): 249–268

    Google Scholar 

  54. Timmermann L, Gross J, Dirks M, Volkmann J, Freund HJ, Schnitzler A (2003) The cerebral oscillatory network of parkinsonian resting tremor. Brain 126(Pt 1): 199–212

    Google Scholar 

  55. Weissenborn K, Ehrenheim C, Hori A, Kubicka S, Manns MP (1995) Pallidal lesions in patients with liver cirrhosis: clinical and MRI evaluation. Metab Brain Dis 10(3): 219–231

    Google Scholar 

  56. Zeneroli ML, Cioni G, Vezzelli C, Grandi S, Crisi G, Luzietti R, Ventura E (1987) Prevalence of brain atrophy in liver cirrhosis patients with chronic persistent encephalopathy. Evaluation by computed tomography. J Hepatol 4:283–292

    Google Scholar 

  57. Zieve FJ, Zieve L, Doizaki WM, Gilsdorf RB (1974) Synergism between ammonia and fatty acids in the production of coma: implications for hepatic coma. J Pharmacol Exp Ther 191(1): 10–16

    Google Scholar 

  58. Zieve L, Doizaki WM, Zieve J (1974) Synergism between mercaptans and ammonia or fatty acids in the production of coma: a possible role for mercaptans in the pathogenesis of hepatic coma. J Lab Clin Med 83(1): 16–28

    Google Scholar 

Download references

Author information

Affiliations

Authors

Corresponding author

Correspondence to P. D. Schellinger.

Rights and permissions

Reprints and Permissions

About this article

Cite this article

Schellinger, P.D., Hartmann, M.K., Klingmann, C. et al. Hepatische Enzephalopathie. Nervenarzt 74, 1078–1087 (2003). https://doi.org/10.1007/s00115-003-1579-1

Download citation

  • Issue Date:

  • DOI: https://doi.org/10.1007/s00115-003-1579-1

Schlüsselwörter

  • Ammonium
  • Hepatische Enzephalopathie
  • Funktionsstörung des Gehirns
  • Leberzirrhose
  • Therapie

Keywords

  • Ammonium
  • Hepatic encephalopathy
  • Disturbance in brain functions
  • Therapy
  • Liver cirrhosis