Skip to main content

Minimal-invasive Stabilisierung bei Frakturen des Sakrums

Minimally invasive stabilization of sacral fractures

Zusammenfassung

Hintergrund

Sakrumfrakturen treten sowohl als Insuffizienzfrakturen als auch als traumatische Frakturen auf. Während bei den mechanisch stabilen Insuffizienzfrakturen insbesondere die Schmerzreduktion das therapeutische Ziel ist, bedürfen die instabilen Insuffizienzfrakturen und instabilen Frakturen nach Hochenergietraumata insbesondere auch der mechanischen Stabilisierung. Verschiedene operative Möglichkeiten stehen hierfür zur Verfügung, wobei minimal-invasive Techniken zunehmend favorisiert werden.

Ziel der Arbeit

Darstellung der klinischen Herausforderungen und Möglichkeiten in der minimal-invasiven operativen Therapie von Sakrumfrakturen.

Material und Methoden

Erläuterung aktueller Studienergebnisse sowie des eigenen therapeutischen Vorgehens.

Ergebnisse

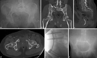
Die wesentlichen Verfahren zur minimal-invasiven operativen Behandlung von Sakrumfrakturen werden dargestellt: sakroiliakale Schraubenosteosynthese, lumbopelvine Stabilisierung und Sakroplastie. Die Auswahl des operativen Verfahrens sollte individuell erfolgen. Während die sakroiliakale Schraubenosteosynthese der internationale Goldstandard ist, haben diverse Autoren auch minimal-invasive Techniken der lumbopelvinen Stabilisierung publiziert. Letztere ermöglicht eine höhere mechanische Stabilität. Die Sakroplastie ist lediglich als therapeutische Alternative bei Insuffizienzfrakturen zu betrachten. Vergleichende Daten der genannten Techniken sind nicht vorhanden.

Schlussfolgerung

Alle Verfahren haben ihren Stellenwert. Allerdings differiert die zu erreichende mechanische Stabilisierung deutlich. Daher sollte individuell eine exakte Analyse erfolgen, was hinsichtlich Reposition und Retention notwendig ist und erreicht werden soll.

Abstract

Background

Sacral fractures can be of traumatic origin and can also occur as insufficiency fractures. While the therapeutic target of mechanically stable insufficiency fractures is mainly pain relief, mechanically unstable insufficiency fractures and traumatic sacral fractures following high-energy trauma require biomechanical stabilization. Various surgical strategies are available for this, whereby minimally invasive techniques are now preferred whenever possible.

Objective

This article presents the clinical challenges and options for minimally invasive treatment of sacral fractures.

Material and methods

Selected important study data are discussed and our own treatment approach is presented.

Results

The most important minimally invasive techniques for operative treatment of sacral fractures are presented: sacroiliac screw osteosynthesis, lumbopelvic stabilization and sacroplasty. The selection of the surgical technique should be made on an individual basis. While sacroiliac screw osteosynthesis is the international gold standard, diverse authors have also published minimally invasive techniques for lumbopelvic stabilization. The latter enables a higher mechanical stability. In contrast, sacroplasty should only be used as an alternative treatment in insufficiency fractures. Comparative studies of the described techniques are still missing.

Conclusion

All surgical options have their indications. Nevertheless, the biomechanical stability which can be achieved differs widely. Therefore, an exact analysis should be carried out of what is necessary with respect to reduction and retention and what should be achieved when treating sacral fractures.

This is a preview of subscription content, access via your institution.

Abb. 1
Abb. 2
Abb. 3

Literatur

  1. van den Bosch EW, van Zwienen CM, van Vugt AB (2002) Fluoroscopic positioning of sacroiliac screws in 88 patients. J Trauma 53(1):44–48

    Article  Google Scholar 

  2. Hinsche AF, Giannoudis PV, Smith RM (2002) Fluoroscopy-based multiplanar image guidance for insertion of sacroiliac screws. Clin Orthop Relat Res 395:135–144

    Article  Google Scholar 

  3. Bellabarba C, Schildhauer TA, Vaccaro AR, Chapman JR (2006) Complications associated with surgical stabilization of high-grade sacral fracture dislocations with spino-pelvic instability. Spine 31(11 Suppl):S80–S88 (discussion S104)

    Article  Google Scholar 

  4. Keel MJ, Benneker LM, Siebenrock KA, Bastian JD (2011) Less invasive lumbopelvic stabilization of posterior pelvic ring instability: technique and preliminary results. J Trauma 71(3):E62–E70

    PubMed  Google Scholar 

  5. Decker S, Herden J, Krettek C, Muller CW (2019) A new minimally invasive U‑shaped lumbopelvic stabilization technique. Eur J Orthop Surg Traumatol 29(6):1223–1230

    Article  Google Scholar 

  6. Schildhauer TA, Ledoux WR, Chapman JR, Henley MB, Tencer AF, Routt ML Jr (2003) Triangular osteosynthesis and iliosacral screw fixation for unstable sacral fractures: a cadaveric and biomechanical evaluation under cyclic loads. J Orthop Trauma 17(1):22–31

    Article  Google Scholar 

  7. Rommens PM, Hofmann A (2013) Comprehensive classification of fragility fractures of the pelvic ring: Recommendations for surgical treatment. Injury 44(12):1733–1744

    Article  Google Scholar 

  8. Chandra V, Wajswol E, Shukla P, Contractor S, Kumar A (2019) Safety and efficacy of sacroplasty for sacral fractures: a systematic review and meta-analysis. J Vasc Interv Radiol 30(11):1845–1854

    Article  Google Scholar 

  9. Khurana B, Sheehan SE, Sodickson AD, Weaver MJ (2014) Pelvic ring fractures: what the orthopedic surgeon wants to know. Radiographics 34(5):1317–1333

    Article  Google Scholar 

  10. Stahel PF, Burlew CC, Moore EE (2017) Current trends in the management of hemodynamically unstable pelvic ring injuries. Curr Opin Crit Care 23(6):511–519

    Article  Google Scholar 

  11. Tile M (1988) Pelvic ring fractures: should they be fixed? J Bone Joint Surg Br 70(1):1–12

    CAS  Article  Google Scholar 

  12. Denis F, Davis S, Comfort T (1988) Sacral fractures: an important problem. Retrospective analysis of 236 cases. Clin Orthop Relat Res 227:67–81

    CAS  PubMed  Google Scholar 

  13. Roy-Camille R, Saillant G, Gagna G, Mazel C (1985) Transverse fracture of the upper sacrum. Suicidal jumper’s fracture. Spine 10(9):838–845

    CAS  Article  Google Scholar 

  14. Hunt N, Jennings A, Smith M (2002) Current management of U‑shaped sacral fractures or spino-pelvic dissociation. Injury 33(2):123–126

    Article  Google Scholar 

  15. Nork SE, Jones CB, Harding SP, Mirza SK, Routt ML Jr (2001) Percutaneous stabilization of U‑shaped sacral fractures using iliosacral screws: technique and early results. J Orthop Trauma 15(4):238–246

    CAS  Article  Google Scholar 

  16. Dudda M, Hoffmann M, Schildhauer TA (2013) Sacrum fractures and lumbopelvic instabilities in pelvic ring injuries: classification and biomechanical aspects. Unfallchirurg 116(11):972–978

    CAS  Article  Google Scholar 

  17. Stockle U, Schaser K, Konig B (2007) Image guidance in pelvic and acetabular surgery—expectations, success and limitations. Injury 38(4):450–462

    Article  Google Scholar 

  18. Schildhauer TA, Josten C, Muhr G (1998) Triangular osteosynthesis of vertically unstable sacrum fractures: a new concept allowing early weight-bearing. J Orthop Trauma 12(5):307–314

    CAS  Article  Google Scholar 

  19. Matta JM, Saucedo T (1989) Internal fixation of pelvic ring fractures. Clin Orthop Relat Res 242:83–97

    Google Scholar 

  20. Routt ML Jr, Simonian PT, Agnew SG, Mann FA (1996) Radiographic recognition of the sacral alar slope for optimal placement of iliosacral screws: a cadaveric and clinical study. J Orthop Trauma 10(3):171–177

    Article  Google Scholar 

  21. Radetzki F, Wohlrab D, Goehre F, Noser H, Delank KS, Mendel T (2014) Anatomical conditions of the posterior pelvic ring regarding bisegmental transverse sacroiliac screw fixation: a 3D morphometric study of 125 pelvic CT datasets. Arch Orthop Trauma Surg 134(8):1115–1120

    Article  Google Scholar 

  22. Wahnert D, Raschke MJ, Fuchs T (2013) Cement augmentation of the navigated iliosacral screw in the treatment of insufficiency fractures of the sacrum: a new method using modified implants. Int Orthop 37(6):1147–1150

    Article  Google Scholar 

  23. Schildhauer TA, Josten C, Muhr G (2006) Triangular osteosynthesis of vertically unstable sacrum fractures: a new concept allowing early weight-bearing. J Orthop Trauma 20(1 Suppl):S44–S51

    CAS  PubMed  Google Scholar 

  24. Williams SK, Quinnan SM (2016) Percutaneous lumbopelvic fixation for reduction and stabilization of sacral fractures with spinopelvic dissociation patterns. J Orthop Trauma 30(9):e318–e324

    Article  Google Scholar 

  25. Decker S, Meyer M, Muller CW, Krettek C, Ferle M (2019) Cement augmentation as revision strategy for loosened thick-diameter non-fenestrated iliac screws—A biomechanical analysis. Clin Biomech 65:41–44

    Article  Google Scholar 

  26. Gupta AC, Chandra RV, Yoo AJ, Leslie-Mazwi TM, Bell DL, Mehta BP, Vanderboom TL, Rabinov JD, Larvie M, Hirsch JA (2014) Safety and effectiveness of sacroplasty: a large single-center experience. AJNR Am J Neuroradiol 35(11):2202–2206

    CAS  Article  Google Scholar 

  27. Zhang R, Yin Y, Li S, Hou Z, Jin L, Zhang Y (2018) Percutaneous sacroiliac screw versus anterior plating for sacroiliac joint disruption: a retrospective cohort study. Int J Surg 50:11–16

    Article  Google Scholar 

  28. Carlson DA, Scheid DK, Maar DC, Baele JR, Kaehr DM (2000) Safe placement of S1 and S2 iliosacral screws: the “vestibule” concept. J Orthop Trauma 14(4):264–269

    CAS  Article  Google Scholar 

  29. Matityahu A, Kahler D, Krettek C, Stockle U, Grutzner PA, Messmer P, Ljungqvist J, Gebhard F (2014) Three-dimensional navigation is more accurate than two-dimensional navigation or conventional fluoroscopy for percutaneous sacroiliac screw fixation in the dysmorphic sacrum: a randomized multicenter study. J Orthop Trauma 28(12):707–710

    Article  Google Scholar 

  30. Zwingmann J, Konrad G, Mehlhorn AT, Sudkamp NP, Oberst M (2010) Percutaneous iliosacral screw insertion: malpositioning and revision rate of screws with regards to application technique (navigated vs. Conventional). J Trauma 69(6):1501–1506

    CAS  Article  Google Scholar 

  31. Zwingmann J, Konrad G, Kotter E, Sudkamp NP, Oberst M (2009) Computer-navigated iliosacral screw insertion reduces malposition rate and radiation exposure. Clin Orthop Relat Res 467(7):1833–1838

    Article  Google Scholar 

  32. Zwingmann J, Sudkamp NP, Konig B, Culemann U, Pohlemann T, Aghayev E, Schmal H (2013) Intra- and postoperative complications of navigated and conventional techniques in percutaneous iliosacral screw fixation after pelvic fractures: results from the German Pelvic Trauma Registry. Injury 44(12):1765–1772

    Article  Google Scholar 

  33. Rysavy M, Pavelka T, Khayarin M, Dzupa V (2010) Iliosacral screw fixation of the unstable pelvic ring injuries. Acta Chir Orthop Traumatol Cech 77(3):209–214

    CAS  PubMed  Google Scholar 

  34. Quade J, Busel G, Beebe M, Auston D, Shah AR, Infante A, Maxson B, Watson D, Sanders RW, Mir HR (2019) Symptomatic Iliosacral screw removal after pelvic trauma-incidence and clinical impact. J Orthop Trauma 33(7):351–353

    Article  Google Scholar 

  35. Jazini E, Klocke N, Tannous O, Johal HS, Hao J, Salloum K, Gelb DE, Nascone JW, Belin E, Hoshino CM, Hussain M, O’Toole RV, Bucklen B, Ludwig SC (2017) Does lumbopelvic fixation add stability? A cadaveric biomechanical analysis of an unstable pelvic fracture model. J Orthop Trauma 31(1):37–46

    Article  Google Scholar 

  36. Frey ME, Warner C, Thomas SM, Johar K, Singh H, Mohammad MS, Beall DP (2017) Sacroplasty: a ten-year analysis of prospective patients treated with percutaneous sacroplasty: literature review and technical considerations. Pain Phys 20(7):E1063–E1072

    Google Scholar 

Download references

Author information

Affiliations

Authors

Corresponding author

Correspondence to S. Decker.

Ethics declarations

Interessenkonflikt

S. Decker, C. Krettek und T. Stübig geben an, dass kein Interessenkonflikt besteht.

Für diesen Beitrag wurden von den Autoren keine Studien an Menschen oder Tieren durchgeführt. Für die aufgeführten Studien gelten die jeweils dort angegebenen ethischen Richtlinien.

Additional information

Redaktion

C. Müller, Hamburg

Rights and permissions

Reprints and Permissions

About this article

Verify currency and authenticity via CrossMark

Cite this article

Decker, S., Krettek, C. & Stübig, T. Minimal-invasive Stabilisierung bei Frakturen des Sakrums. Unfallchirurg 123, 774–782 (2020). https://doi.org/10.1007/s00113-020-00853-z

Download citation

  • Published:

  • Issue Date:

  • DOI: https://doi.org/10.1007/s00113-020-00853-z

Schlüsselwörter

  • Insuffizienzfrakturen
  • Trauma
  • Frakturfixierung
  • Hinterer Beckenring
  • Spinopelvine Dissoziation

Keywords

  • Insufficiency fractures
  • Trauma
  • Fracture fixation
  • Posterior pelvic ring
  • Spinopelvic dissociation