Skip to main content

Therapie der Lunatumnekrose

Treatment of necrosis of the lunate bone

Zusammenfassung

Hintergrund

Es gibt bisher keine Standardtherapie, die vorhersagbar zur Ausheilung einer Lunatumnekrose führt. Trotzdem existiert ein breites Spektrum operativer Therapiemöglichkeiten für unterschiedliche Stadien.

Ziel der Arbeit

Darstellung von Behandlungsmöglichkeiten und Vorschläge für Therapiealgorithmen, basierend auf Patientenalter, Lunatum- und Handgelenkbefund.

Methoden

Die operativen Behandlungsmöglichkeiten der Lunatumnekrose lassen sich in entlastende oder revaskularisierende Verfahren am Lunatum sowie Rückzugsverfahren einteilen.

Empfehlungen

Für Patienten <20 Jahre sind die Behandlungsmethoden der Wahl eine längerfristige Ruhigstellung, bei fehlendem Ansprechen oder Progression minimalinvasive oder entlastende Verfahren.

Auch bei Erwachsenen mit umschriebener Schädigung des Lunatums sollte die Immobilisation der erste therapeutische Ansatz sein. Wenn bei Progression oder in fortgeschrittenen Stadien nur das Lunatum betroffen, aber erhaltungsfähig ist, sollte die Rekonstruktion erwogen werden. Bei zunehmendem Kollaps des Lunatums bleiben bewegungserhaltende Verfahren unter Ausnutzung noch funktionsfähiger Teilgelenke. Bei Verlust aller funktionsfähigen Teilgelenke können nur noch klassische Rettungsverfahren durchgeführt werden.

Schlussfolgerungen

Anhand der dargestellten Algorithmen ist eine stadiengerechte Therapie der Lunatumnekrose möglich. Es sollte allerdings nicht vergessen werden, dass für einen Teil der empfohlenen Verfahren eine wissenschaftliche oder evidenzbasierte Grundlage fehlt. Dies gilt auch für maximal invasive Verfahren, deren Überlegenheit gegenüber einfacheren Verfahren bisher nicht bewiesen ist. Ihr Einsatz sollte daher auf der Basis individueller Entscheidungen und mit Zurückhaltung erfolgen.

Abstract

Background

There still is no standard therapy that predictably results in healing of avascular necrosis of the lunate bone. Nevertheless, there exists a wide spectrum of operative treatment options for different stages.

Objective

This article reviews the treatment options for necrosis of the lunate bone and proposes algorithms based on the age of the patient and condition of the lunate bone and the wrist.

Methods

Surgical treatment options for necrosis of the lunate bone can be divided into relieving or revascularization procedures and salvage procedures.

Recommendations

For patients under 20 years old the treatment of choice is prolonged immobilization, in cases of non-response or progression, minimally invasive and relieving procedures are used. In adult patients with limited affection of the lunate bone the first therapeutic approach should also be immobilization. If in progressive disease or advanced stages only the lunate bone is compromised but reconstructable, restoration should be considered. In progressive collapse of a non-reconstructable lunate bone the therapeutic efforts shift to mobility-preserving procedures utilizing still functional articulations of the wrist. If all functional articulations are lost only classical salvage procedures are feasible.

Conclusion

According to the presented algorithms a stage-dependent therapy of necrosis of the lunate bone is possible. It should not be ignored that there are still no scientific and evidence-based arguments for some of these treatment options. This is also true for maximally invasive procedures, where superiority to more simple procedures have not been proven. Therefore, their application should be restricted and based on an individual decision.

This is a preview of subscription content, access via your institution.

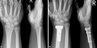
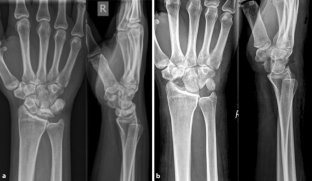
Abb. 1
Abb. 2
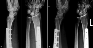
Abb. 3
Abb. 4
Abb. 5

Literatur

  1. Kalb K (2010) Lunatumnekrose. Handchir Mikrochir Plast Chir 42:151–152

    Article  PubMed  Google Scholar 

  2. Schiltenwolf M, Martini AK (1994) Der Spontanverlauf der Lunatumnekrose. Orthopäde 23:243–248

    CAS  PubMed  Google Scholar 

  3. Irisarri C, Kalb K, Ribak S (2010) Infantile and juvenile lunatomalacia. J Hand Surg Eur Vol 35:544–548

    CAS  Article  PubMed  Google Scholar 

  4. Kalb K, Pillukat T, Schmitt R, Prommersberger KJ (2010) Die Lunatumnekrose im Kindes- und Jugendalter. Handchir Mikrochir Plast Chir 42:187–197

    CAS  Article  PubMed  Google Scholar 

  5. Lichtman DM, Mack GR, MacDonald RI, Gunther SF, Wilson JN (1977) Kienböck’s disease: the role of silicone replacement arthroplasty. J Bone Joint Surg Am 59:899–908

    CAS  Article  PubMed  Google Scholar 

  6. Lichtman DM, Roure AR (1993) External fixation for the treatment of Kienbock’s disease. Hand Clin 9:691–697

    CAS  PubMed  Google Scholar 

  7. Lesley N, Lichtman D (2010) Klassifikation und Behandlung des Morbus Kienböck: Eine Übersicht über die vergangenen 100 Jahre und ein Blick in die Zukunft. Handchir Mikrochir Plast Chir 42:171–176

    CAS  Article  PubMed  Google Scholar 

  8. Danoff JR, Cuellar DO, Jane O, Strauch RJ (2015) The management of Kienbock disease: a survey of the ASSH membership. J Wrist Surg 4:43–48

    Article  PubMed  PubMed Central  Google Scholar 

  9. Pillukat T, Kalb K, van Schoonhoven J, Prommersberger KJ (2010) Der Stellenwert der Arthroskopie bei der Lunatumnekrose. Handchir Mikrochir Plast Chir 42:204–211

    CAS  Article  PubMed  Google Scholar 

  10. Schmitt R, Fellner F, Obletter N, Fiedler E, Bautz W (1998) Diagnostik und Stadieneinteilung der Lunatumnekrose. Eine aktuelle Ubersicht. Handchir Mikrochir Plast Chir 30:142–150

    CAS  PubMed  Google Scholar 

  11. Bain GI, Begg M (2006) Arthroscopic assessment and classification of Kienbock’s disease. Tech Hand Up Extrem Surg 10:8–13

    Article  PubMed  Google Scholar 

  12. Lichtman DM, Pientka WF 2nd, Kienboeck Disease BGI (2017) A new algorithm for the 21st century. J Wrist Surg 6:2–10

    Article  PubMed  Google Scholar 

  13. Calfee RP, Van Steyn MO, Gyuricza C et al (2010) Joint leveling for advanced Kienböck’s disease. J Hand Surg Am 35:1947–1954

    Article  PubMed  PubMed Central  Google Scholar 

  14. Horii E, Garcia-Elias M, An KN et al (1990) Effect on force transmission across the carpus in procedures used to treat Kienböck’s disease. J Hand Surg Am 15:393–400

    CAS  Article  PubMed  Google Scholar 

  15. Trumble T, Glisson RR, Seaber AV, Urbaniak JR (1986) A biomechanical comparison of the methods for treating Kienböck’s disease. J Hand Surg Am 11:88–93

    CAS  Article  PubMed  Google Scholar 

  16. Luegmair M, Goehtz F, Kalb K, Cip J, van Schoonhoven J (2017) Radial shortening osteotomy for treatment of Lichtman Stage IIIA Kienbock disease. J Hand Surg Eur Vol 42:253–259

    CAS  Article  PubMed  Google Scholar 

  17. Shin YH, Kim J, Gong HS et al (2017) Clinical outcome of lateral wedge osteotomy of the radius in advanced stages of Kienbock’s disease. Clin Orthop Surg 9:355–362

    Article  PubMed  PubMed Central  Google Scholar 

  18. Gay AM, Parratte S, Glard Y, Mutaftschiev N, Legre R (2009) Isolated capitate shortening osteotomy for the early stage of Kienbock disease with neutral ulnar variance. Plast Reconstr Surg 124:560–566

    CAS  Article  PubMed  Google Scholar 

  19. Illarramendi AA, De Carli P (2003) Radius decompression for treatment of kienbock disease. Tech Hand Up Extrem Surg 7:110–113

    Article  PubMed  Google Scholar 

  20. De Carli P, Zaidenberg EE, Alfie V et al (2017) Radius core decompression for Kienbock disease stage IIIA: outcomes at 13 years follow-up. J Hand Surg Am 42:752.e1–752.e6

    Article  Google Scholar 

  21. Sherman GM, Spath C, Harley BJ et al (2008) Core decompression of the distal radius for the treatment of Kienböck’s disease: a biomechanical study. J Hand Surg Am 33:1478–1481

    Article  PubMed  Google Scholar 

  22. Blanco RH, Blanco FR (2012) Osteotomy of the radius without shortening for Kienbock disease: a 10-year follow-up. J Hand Surg Am 37:2221–2225

    Article  PubMed  Google Scholar 

  23. Nakamura R, Watanabe K, Tsunoda K, Miura T (1993) Radial osteotomy for Kienbock’s disease evaluated by magnetic resonance imaging. 24 cases followed for 1‑3 years. Acta Orthop Scand 64:207–211

    CAS  Article  PubMed  Google Scholar 

  24. Hori Y, Tamai S, Okuda H et al (1979) Blood vessel transplantation to bone. J Hand Surg Am 4:23–33

    CAS  Article  PubMed  Google Scholar 

  25. Simmons SP, Tobias B, Lichtman DM (2009) Lunate revascularization with artery implantation and bone grafting. J Hand Surg Am 34:155–160

    Article  PubMed  Google Scholar 

  26. Moran SL, Cooney WP, Berger RA, Bishop AT, Shin AY (2005) The use of the 4 + 5 extensor compartmental vascularized bone graft for the treatment of Kienböcks disease. J Hand Surg Am 30:50–58

    Article  PubMed  Google Scholar 

  27. Nakagawa M, Omokawa S, Kira T, Kawamura K, Tanaka Y (2016) Vascularized bone grafts from the dorsal wrist for the treatment of Kienbock disease. J Wrist Surg 5:98–104

    Article  PubMed  PubMed Central  Google Scholar 

  28. Mathoulin C, Wahegaonkar AL (2009) Revascularization of the lunate by a volar vascularized bone graft and an osteotomy of the radius in treatment of the Kienbock’s disease. Microsurgery 29:373–378

    Article  PubMed  Google Scholar 

  29. Beck E (1971) Die Verpflanzung des Os pisiforme am Gefäßstiel zur Behandlung der Lunatummalazie. Handchirurgie 3:64–67

    CAS  PubMed  Google Scholar 

  30. Daecke W, Lorenz S, Wieloch P, Jung M, Martini A‑K (2005) Vascularized Os Pisiform for reinforcement of the lunate in Kienböcks disease: an average of 12 years of follow-up study. J Hand Surg 30:915–922

    Article  Google Scholar 

  31. Arora R, Lutz M, Zimmermann R et al (2010) Freies gefässgestieltes Beckenkamm-Transplantat bei aseptischer Mondbeinnekrose im Stadium III. Handchir Mikrochir Plast Chir 42:198–203

    CAS  Article  PubMed  Google Scholar 

  32. Frangen TM, Konieczny MR, Gaggl AJ et al (2012) Die idiopathische Mondbeinnekrose (M. Kienböck) - Erste Ergebnisse nach operativer Therapie mit einem freien mikrovaskularen Femurtransplantat. Z Orthop Unfall 150:262–268

    CAS  Article  PubMed  Google Scholar 

  33. Bürger HK, Windhofer C, Gaggl AJ, Higgins JP (2014) Vascularized medial femoral trochlea osteochondral flap reconstruction of advanced Kienbock disease. J Hand Surg Am 39:1313–1322

    Article  PubMed  Google Scholar 

  34. Graner O, Lopes EI, Carvalho BC, Atlas S (1966) Arthrodesis of the carpal bones in the treatment of Kienbock’s disease, painful ununited fractures of the navicular and lunate bones with avascular necrosis, and old fracture-dislocations of carpal bones. J Bone Joint Surg Am 48:767–774

    CAS  Article  PubMed  Google Scholar 

  35. Bartelmann U, Richter N, Landsleitner B (1998) Operation nach Graner zur Therapie der Lunatumnekrose. Literaturubersicht und eigene Ergebnisse. Handchir Mikrochir Plast Chir 30:165–174

    CAS  PubMed  Google Scholar 

  36. Luegmair M, Saffar P (2014) Scaphocapitate arthrodesis for treatment of late stage Kienbock disease. J Hand Surg Eur Vol 39:416–422

    CAS  Article  PubMed  Google Scholar 

  37. Prommersberger KJ, Krimmer H, Hausser D, Lanz U (1998) Die STT-Arthrodese als Therapie der Lunatumnekrose im fortgeschrittenen Stadium. Handchir Mikrochir Plast Chir 30:181–187

    CAS  PubMed  Google Scholar 

  38. Kalb K, Fuchs V, Bartelmann U, Schmitt R, Landsleitner B (2001) Erfahrungen mit der STT-Arthrodese. Eine retrospektive Auswertung. Handchir Mikrochir Plast Chir 33:181–188

    CAS  Article  PubMed  Google Scholar 

  39. Sakai A, Toba N, Oshige T et al (2004) Kienbock disease treated by excisional arthroplasty with a palmaris longus tendon ball: a comparative study of cases with or without bone core. Hand Surg 9:145–149

    CAS  Article  PubMed  Google Scholar 

  40. Saffar P (1982) Replacement of the semilunar bone by the pisiform. Description of a new technique for the treatment of Kienboeck’s disease. Ann Chir Main 1:276–279

    CAS  Article  PubMed  Google Scholar 

  41. Daecke W, Lorenz S, Wieloch P, Jung M, Martini A‑K (2005) Lunate resection and vascularized Os Pisiform transfer in Kienböcks disease: an average of 10 years of follow-up study after Saffars procedure. J Hand Surg 30:677–684

    Article  Google Scholar 

  42. Agerholm JC, Goodfellow JW (1963) Avascular necrosis of the lunate bone treated by excision and prosthetic replacement. J Bone Joint Surg Br 45-B:110–116

    CAS  Article  PubMed  Google Scholar 

  43. Henry M (2011) Double bundle tendon graft for rotational stabilization of lunate implant arthroplasty. Tech Hand Up Extrem Surg 15:16–23

    Article  PubMed  Google Scholar 

  44. Henry M (2014) Outcomes assessment of lunate replacement arthroplasty with intrinsic carpal ligament reconstruction in Kienbock’s disease. Hand (N Y) 9:364–369

    Article  Google Scholar 

  45. Croog AS, Stern PJ (2008) Proximal row carpectomy for advanced Kienboeck’s disease: average 10-year follow-up. J Hand Surg Am 33:1122–1130

    Article  PubMed  Google Scholar 

  46. Hierner R, Wilhelm K (2010) Long-term follow-up of callotasis lengthening of the capitate after resection of the lunate for the treatment of stage III lunate necrosis. Strategies Trauma Limb Reconstr 5:23–29

    Article  PubMed  Google Scholar 

  47. Menth-Chiari WA, Poehling GG, Wiesler ER, Ruch DS (1999) Arthroscopic debridement for the treatment of Kienbock’s disease. Arthroscopy 15:12–19

    CAS  Article  PubMed  Google Scholar 

  48. Bain GI, Smith ML, Watts AC (2011) Arthroscopic core decompression of the lunate in early stage Kienbock disease of the lunate. Tech Hand Up Extrem Surg 15:66–69

    Article  PubMed  Google Scholar 

  49. Yajima H, Ono H, Tamai S (1998) Temporary internal fixation of the scaphotrapezio-trapezoidal joint for the treatment of Kienbock’s disease: a preliminary study. J Hand Surg Am 23:402–410

    CAS  Article  PubMed  Google Scholar 

  50. Schweizer A, von Känel O, Kammer E, Meuli-Simmen C (2006) Long-term follow-up evaluation of denervation of the wrist. J Hand Surg Am 31:559–564

    Article  PubMed  Google Scholar 

  51. Buck-Gramcko D (1993) Wrist denervation procedures in the treatment of Kienbock’s disease. Hand Clin 9:517–520

    CAS  PubMed  Google Scholar 

  52. Kaszap B, Daecke W (2010) Lunatumnekrose: eine aktuelle Zusammenfassung mit Langzeitergebnissen der therapeutischen Verfahren. Handchir Mikrochir Plast Chir 42:177–186

    CAS  Article  PubMed  Google Scholar 

  53. Dias JJ, Lunn P (2010) Ten questions on Kienbock’s disease of the lunate. J Hand Surg Eur Vol 35:538–543

    Article  PubMed  Google Scholar 

Download references

Author information

Affiliations

Authors

Corresponding author

Correspondence to T. Pillukat.

Ethics declarations

Interessenkonflikt

K. Kalb, J. van Schoonhoven, J. Windolf und T. Pillukat geben an, dass kein Interessenkonflikt besteht.

Dieser Beitrag beinhaltet keine von den Autoren durchgeführten Studien an Menschen oder Tieren.

Additional information

Redaktion

M. Schädel-Höpfner, Neuss

Rights and permissions

Reprints and Permissions

About this article

Verify currency and authenticity via CrossMark

Cite this article

Kalb, K., van Schoonhoven, J., Windolf, J. et al. Therapie der Lunatumnekrose. Unfallchirurg 121, 381–390 (2018). https://doi.org/10.1007/s00113-018-0477-8

Download citation

  • Published:

  • Issue Date:

  • DOI: https://doi.org/10.1007/s00113-018-0477-8

Schlüsselwörter

  • M. Kienböck
  • Avaskuläre Knochennekrose
  • Ruhigstellung
  • Revaskularisation
  • Arthrodese

Keywords

  • Kienboeck’s disease
  • Avascular necrosis of bone
  • Immobilization
  • Revascularization
  • Arthrodesis