Skip to main content

Nervenverletzungen nach Ellenbogenluxationsfraktur im Kindesalter

Indikation und Zeitpunkt zur operativen Revision

Nerve injuries after elbow luxation fractures in childhood

Indication and timing for surgical revision

Zusammenfassung

Hintergrund

Suprakondyläre Humerusfrakturen stellen die häufigsten Ellenbogenfrakturen im Kindesalter dar. Bei dislozierten Frakturen wird die geschlossene Reposition und perkutane Kirschner-Draht-Osteosynthese empfohlen. Jedoch kommt es initial in 10–16 % der Fälle zu einer Schädigung des N. ulnaris – der N. medianus ist in 6,4 % und der N. radialis in 2,6 % der Fälle betroffen.

Methodik

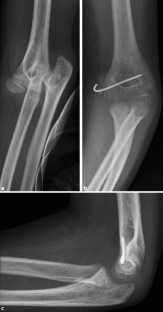
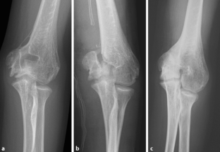
Es wird ein zum Unfallzeitpunkt 10-jähriger Junge mit Ellenbogengelenksluxation und Fraktur des Epicondylus medialis links präsentiert. Im Verlauf nach erfolgter medialer Kirschner-Draht-Osteosynthese wird eine Läsion des N. medianus beschrieben. Dass auch der N. ulnaris geschädigt ist, fällt erst mehr als 3 Jahre postoperativ auf. Daraufhin erfolgt eine operative Dekompression und Neurolyse des N. medianus und ulnaris, und es wird das Ergebnis 3½ Jahre postoperativ präsentiert.

Diskussion

Anhand des vorgestellten Falles werden die Indikation und der Zeitpunkt zur operativen Revision diskutiert sowie der Stellenwert und die Güte der klinischen Kontrolluntersuchungen und der bildgebenden apparativen Diagnostik hervorgehoben.

Abstract

Background

Supracondylar humerus fractures are very common in pediatric populations. In cases of dislocated fractures, closed reduction and percutaneous K‑wire fixation is recommended. Initially, 10–16 % of the patients also present lesion of the ulnar nerve as well as median nerve palsy in 6.4% and radial nerve palsy in 2.6 % of cases, respectively.

Method

We present the case of a 10-year-old boy with a dislocation of the elbow and fracture of the medial epicondyle. After closed reduction and K‑wire fixation from medial, he presents a median nerve palsy. That a lesion of the ulnar nerve is also present is only noticed 3½ years posttraumatically. A surgical decompression and neurolysis of the ulnar and median nerve is performed and the postoperative grip and key strength presented.

Discussion

With the help of the presented case we discuss the indication and the point of surgical revision. Clinical assessment and neurosonography are essential for an exact diagnosis.

This is a preview of subscription content, access via your institution.

Abb. 1a–c
Abb. 2
Abb. 3
Abb. 4
Abb. 5
Abb. 6

Literatur

  1. Abbott MD, Buchler L, Loder RT, Caltoum CB (2014) Gartland type III supracondylar humerus fractures: outcome and complications as related to operative timing and pin configuration. J Child Orthop 8:473–477

    Article  PubMed  PubMed Central  Google Scholar 

  2. Aksakal M, Ermutlu C, Sarısözen B, Akesen B (2013) Approach to supracondylar humerus fractures with neurovascular compromise in children. Acta Orthop Traumatol Turc 47:244–249

    Article  PubMed  Google Scholar 

  3. Babal JC, Mehlman CT, Klein G (2010) Nerve injuries associated with pediatric supracondylar humeral fractures: a meta-analysis. J Pediatr Orthop 30:253–263

    Article  PubMed  Google Scholar 

  4. Bahk MS, Srikumaran U, Ain MC, Erkula G, Leet AI, Sargent MC et al (2008) Patterns of pediatric supracondylar humerus fractures. J Pediatr Orthop 28:493–499

    Article  PubMed  Google Scholar 

  5. Barrett KK, Skaggs DL, Sawyer JR, Andras L, Moisan A, Goodbody C et al (2014) Supracondylar Humeral Fractures with Isolated Anterior Interosseous Nerve Injuries: Is Urgent Treatment Necessary? J Bone Joint Surg Am 96:1793–1797

    Article  PubMed  Google Scholar 

  6. Brown IC, Zinar DM (1995) Traumatic and iatrogenic neurological complications after supracondylar humerus fractures in children. J Pediatr Orthop 15:440–443

    CAS  Article  PubMed  Google Scholar 

  7. Calfee RP, Wilson JM, Wong AHW (2011) Variations in the anatomic relations of the posterior interosseous nerve associated with proximal forearm trauma. J Bone Joint Surg Am 93:81–90

    Article  PubMed  PubMed Central  Google Scholar 

  8. Cramer KE, Green NE, Devito DP (1993) Incidence of anterior interosseous nerve palsy in supracondylar humerus fractures in children. J Pediatr Orthop 13:502–505

    CAS  Article  PubMed  Google Scholar 

  9. Diesselhorst MM, Deck JW, Davey JP (2014) Compartment syndrome of the upper arm after closed reduction and percutaneous pinning of a supracondylar humerus fracture. J Pediatr Orthop 34:e1–e4

    Article  PubMed  Google Scholar 

  10. Dormans JP, Squillante R, Sharf H (1995) Acute neurovascular complications with supracondylar humerus fractures in children. JHS 20:1–4

    CAS  Google Scholar 

  11. Gangadharan S, Rathinam B, Madhuri V (2014) Radial nerve safety in Dorgan’s lateral cross-pinning of the supracondylar humeral fracture in children. J Pediatr Orthop B 23:579–583

    Article  PubMed  Google Scholar 

  12. Hadlow AT, Devane P, Nicol RO (1996) A selective treatment approach to supracondylar fracture of the humerus in children. J Pediatr Orthop 16:104–106

    CAS  Article  PubMed  Google Scholar 

  13. Houshian S, Mehdi B, Larsen MS (2001) The epidemiology of elbow fracture in children: analysis of 355 fractures, with special reference to supracondylar humerus fractures. J Orthop Sci 6:312–315

    CAS  Article  PubMed  Google Scholar 

  14. Joiner ERA, Skaggs DL, Arkader A, Andras LM, Lightdale-Miric NR, Pace JL et al (2014) Iatrogenic nerve injuries in the treatment of supracondylar humerus fractures: are we really just missing nerve injuries on preoperative examination? J Pediatr Orthop 34:388–392

    Article  PubMed  Google Scholar 

  15. Joist A, Joosten U, Wetterkamp D, Neuber M, Probst A, Rieger H (1999) Anterior interosseous nerve compression after supracondylar fracture of the humerus: a metaanalysis. J Neurosurg 90:1053–1056

    CAS  Article  PubMed  Google Scholar 

  16. Khademolhosseini M, Abd Rashid AH, Ibrahim S (2013) Nerve injuries in supracondylar fractures of the humerus in children. J Pediatr Orthop B 22:123–126

    Article  PubMed  Google Scholar 

  17. Krusche-Mandl I, Aldrian S, Köttstorfer J, Seis A, Thalhammer G, Egkher A (2012) Crossed pinning in paediatric supracondylar humerus fractures: a retrospective cohort analysis. Int Orthop 36:1893–1898

    Article  PubMed  PubMed Central  Google Scholar 

  18. Ladenhauf HN, Schaffert M, Bauer J (2014) The displaced supracondylar humerus fracture: indications for surgery and surgical options: a 2014 update. Curr Opin Pediatr 26:64–69

    Article  PubMed  Google Scholar 

  19. Memisoglu K, Cevdet Kesemenli C, Atmaca H (2011) Does the technique of lateral cross-wiring (Dorgan’s technique) reduce iatrogenic ulnar nerve injury? Int Orthop 35:375–378

    Article  PubMed  Google Scholar 

  20. Muchow RD, Riccio AI, Garg S, Ho CA, Wimberly RL (2015) Neurological and vascular injury associated with supracondylar humerus fractures and ipsilateral forearm fractures in children. J Pediatr Orthop 35:121–125

    Article  PubMed  Google Scholar 

  21. Omid R (2008) Supracondylar Humeral Fractures in Children. J Bone Joint Surg Am 90:1121–1112

    Article  PubMed  Google Scholar 

  22. Pathy R, Dodwell ER (2015) Medial epicondyle fractures in children. Curr Opin Pediatr 27:58–66

    PubMed  Google Scholar 

  23. Piza-Katzer H, Herczeg E, Balogh B, Berger R (1994) Intra-and postoperative nerve lesions and their treatment. Nervenarzt 65:375–380

    CAS  PubMed  Google Scholar 

  24. Piza-Katzer H, Balogh B, Herczeg E, Vass A (1995) [Iatrogenic nerve injury and microsurgical treatment]. Chirurg 66:1146–1153

    CAS  PubMed  Google Scholar 

  25. Tomaszewski R, Gap A, Wozowicz A, Wysocka P (2012) Analysis of early vascular and neurological complications of supracondylar humerus fractures in children. Pol Orthop Traumatol 77:101–104

    PubMed  Google Scholar 

  26. Valencia M, Moraleda L, Díez-Sebastián J (2014) Long-term Functional Results of Neurological Complications of Pediatric Humeral Supracondylar Fractures. J Pediatr Orthop 35(6):606–610

    Article  Google Scholar 

  27. Vincelet Y, Journeau P, Popkov D, Haumont T, Lascombes P (2013) The anatomical basis for anterior interosseous nerve palsy secondary to supracondylar humerus fractures in children. Orthop Traumatol Surg Res 99:543–547

    CAS  Article  PubMed  Google Scholar 

Download references

Danksagung

Die Indikation zu Revisionseingriffen an Nerven kann nur mit einer guten präoperativen Diagnostik gestellt werden – hier sei Priv. Doz. Dr. G. Bodner herzlich für die jahrelange ausgezeichnete Zusammenarbeit hinsichtlich der Neurosonographie gedankt. Und jeder operative Eingriff ist nur so gut wie die therapeutische Behandlung danach. Vielen Dank an Dunja Estermann, die mit ihrem unermüdlichen Einsatz noch immer zahlreichen Patienten ergotherapeutische Behandlung angedeihen lässt und uns zusätzlich mit detaillierten handtherapeutischen Befunden in unserer Arbeit unterstützt.

Author information

Affiliations

Authors

Corresponding author

Correspondence to H. Piza-Katzer.

Ethics declarations

Interessenkonflikt

A. Wenger, J. Berger und H. Piza-Katzer geben an, dass kein Interessenkonflikt besteht.

Dieser Beitrag beinhaltet keine von den Autoren durchgeführten Studien an Menschen oder Tieren.

Additional information

Redaktion

W. Mutschler, München

V. Braunstein, München

H. Polzer, München

Rights and permissions

Reprints and Permissions

About this article

Verify currency and authenticity via CrossMark

Cite this article

Wenger, A., Berger, J. & Piza-Katzer, H. Nervenverletzungen nach Ellenbogenluxationsfraktur im Kindesalter. Unfallchirurg 119, 690–697 (2016). https://doi.org/10.1007/s00113-016-0160-x

Download citation

  • Published:

  • Issue Date:

  • DOI: https://doi.org/10.1007/s00113-016-0160-x

Schlüsselwörter

  • Ellenbogenluxation
  • Suprakondyläre Humerusfraktur
  • Epicondylus medialis
  • N. medianus
  • N. ulnaris

Keywords

  • Elbow dislocation
  • Supracondylar humerus fracture
  • Medial epicondyle
  • Median nerve
  • Ulnar nerve