Skip to main content

Pertrochantäre Femurfrakturen beim geriatrischen Patienten

Pertrochanteric femoral fractures in the elderly

Zusammenfassung

Die pertrochantäre Femurfraktur gehört zu den häufigsten Verletzungen in der Alterstraumatologie und wird mit der demografischen Entwicklung in den nächsten Jahren noch weiter an Bedeutung gewinnen. Während viele Jahre die Versorgung derartiger Frakturen mithilfe der dynamischen Hüftschraube (DHS) als Goldstandard angesehen wurde, zeigen neuere Arbeiten zunehmend Vorteile der zephalomedullären Implantate auf. Aufgrund der hohen Inzidenz dieser Frakturen gehört ihre operative Versorgung zum Standardrepertoire jedes operativ tätigen Unfallchirurgen. Daher gibt der vorliegende Beitrag in kompakter Form eine Übersicht über Bekanntes und neue Entwicklungen im Bereich der pertrochantären Femurfraktur.

Abstract

Pertrochanteric fractures are one of the most common injuries in the elderly and due to the demographic changes the incidence and importance of this fracture entity will even increase in the future. The dynamic hip screw (DHS) has been used as the gold standard implant in the treatment of pertrochanteric femoral fractures for many years but recent studies have shown that cephalomedullary nails have some advantages. Due to the high incidence, operative treatment of these fractures is part of the standard repertoire of trauma surgeons and this article therefore provides an overview of existing knowledge and new trends in the treatment of pertrochanteric femoral fractures.

This is a preview of subscription content, access via your institution.

Abb. 1

Literatur

  1. Muller M, Seitz A, Besch L, Hilgert RE, Seekamp A (2008) [Proximal femur fractures: results and complications after osteosynthesis with PFN and TGN]. Unfallchirurg 111(2):71–77

    Article  CAS  PubMed  Google Scholar 

  2. Lohmann R, Frerichmann U, Stockle U, Riegel T, Raschke MJ (2007) [Proximal femoral fractures in the elderly. Analysis of data from health insurance providers on more than 23 million insured persons – part 1]. Unfallchirurg 110(7):603–609

    Article  CAS  PubMed  Google Scholar 

  3. Müller ME, Nazarin S, Koch P, Schatzker J (1990) The comprehensive classification of fractures of long bones. Springer Verlag, S 68–73

  4. Parker MJ, Handoll HH (2006) Intramedullary nails for extracapsular hip fractures in adults. Cochrane Database Syst Rev 3:CD004961

    PubMed  Google Scholar 

  5. Poigenfürst J, Schnabl P (1977) Multiple intramedullary nailing of pertrochanteric fractures with elastic nails: operative procedure and results. Injury 9(2):102–113

  6. Parker MJ, Pryor GA (1996) Gamma versus DHS nailing for extracapsular femoral fractures. Meta-analysis of ten randomised trials. Int Orthop 20(3):163–168

    Article  CAS  PubMed  Google Scholar 

  7. Sommers MB, Roth C, Hall H, Kam BC, Ehmke LW, Krieg JC, Madey SM, Bottlang M (2004) A laboratory model to evaluate cutout resistance of implants for pertrochanteric fracture fixation. J Orthop Trauma 18(6):361–368

    Article  PubMed  Google Scholar 

  8. Strauss E, Frank J, Lee J, Kummer FJ, Tejwani N (2006) Helical blade versus sliding hip screw for treatment of unstable intertrochanteric hip fractures: a biomechanical evaluation. Injury 37(10):984–989

    Article  PubMed  Google Scholar 

  9. Nuchtern JV, Ruecker AH, Sellenschloh K, Rupprecht M, Puschel K, Rueger JM, Morlock MM, Lehmann W (2014) Malpositioning of the lag screws by 1- or 2-screw nailing systems for pertrochanteric femoral fractures: a biomechanical comparison of gamma 3 and intertan. J Orthop Trauma 28(5):276–282

    Article  PubMed  Google Scholar 

  10. Huang Y, Zhang C, Luo Y (2013) A comparative biomechanical study of proximal femoral nail (InterTAN) and proximal femoral nail antirotation for intertrochanteric fractures. Int Orthop 37(12):2465–2473

    Article  PubMed Central  PubMed  Google Scholar 

  11. Zhang S, Zhang K, Jia Y, Yu B, Feng W (2013) InterTan nail versus Proximal Femoral Nail Antirotation-Asia in the treatment of unstable trochanteric fractures. Orthopedics 36(3):e288–e294

    Article  PubMed  Google Scholar 

  12. Queally JM, Harris E, Handoll HH, Parker MJ (2014) Intramedullary nails for extracapsular hip fractures in adults. Cochrane Database Syst Rev 9:CD004961

    PubMed  Google Scholar 

  13. Wirtz C, Abbassi F, Evangelopoulos DS, Kohl S, Siebenrock KA, Kruger A (2013) High failure rate of trochanteric fracture osteosynthesis with proximal femoral locking compression plate. Injury 44(6):751–756

    Article  CAS  PubMed  Google Scholar 

  14. Gardenbroek TJ, Segers MJ, Simmermacher RK, Hammacher ER (2011) The proximal femur nail antirotation: an identifiable improvement in the treatment of unstable pertrochanteric fractures? J Trauma 71(1):169–174

    Article  PubMed  Google Scholar 

  15. Xu YZ, Geng DC, Mao HQ, Zhu XS, Yang HL (2010) A comparison of the proximal femoral nail antirotation device and dynamic hip screw in the treatment of unstable pertrochanteric fracture. J Int Med Res 38(4):1266–1275

    Article  CAS  PubMed  Google Scholar 

  16. Papasimos S, Koutsojannis CM, Panagopoulos A, Megas P, Lambiris E (2005) A randomised comparison of AMBI, TGN and PFN for treatment of unstable trochanteric fractures. Arch Orthop Trauma Surg 125(7):462–468

    Article  CAS  PubMed  Google Scholar 

  17. Werner-Tutschku W, Lajtai G, Schmiedhuber G, Lang T, Pirkl C, Orthner E (2002) [Intra- and perioperative complications in the stabilization of per- and subtrochanteric femoral fractures by means of PFN]. Unfallchirurg 105(10):881–885

    Article  CAS  PubMed  Google Scholar 

  18. Pires RE, Santana EO Jr, Santos LE, Giordano V, Balbachevsky D, Dos Reis FB (2011) Failure of fixation of trochanteric femur fractures: clinical recommendations for avoiding Z-effect and reverse Z-effect type complications. Patient Saf Surg 5:17

    Article  PubMed Central  PubMed  Google Scholar 

  19. Bonnaire F, Weber A, Bosl O, Eckhardt C, Schwieger K, Linke B (2007) [„Cutting out“ in pertrochanteric fractures – problem of osteoporosis?]. Unfallchirurg 110(5):425–432

    Article  CAS  PubMed  Google Scholar 

  20. Kempf I, Grosse A, Taglang G, Favreul E (1993) [Gamma nail in the treatment of closed trochanteric fractures. Results and indications apropos of 121 cases]. Rev Chir Orthop Reparatrice Appar Mot 79(1):29–40

    CAS  PubMed  Google Scholar 

  21. Ahrengart L, Tornkvist H, Fornander P, Thorngren KG, Pasanen L, Wahlstrom P, Honkonen S, Lindgren U (2002) A randomized study of the compression hip screw and Gamma nail in 426 fractures. Clin Orthop Relat Res 401:209–222

    Article  PubMed  Google Scholar 

  22. Brammar TJ, Kendrew J, Khan RJ, Parker MJ (2005) Reverse obliquity and transverse fractures of the trochanteric region of the femur; a review of 101 cases. Injury 36(7):851–857

    Article  PubMed  Google Scholar 

  23. Hohendorff B, Meyer P, Menezes D, Meier L, Elke R (2005) [Treatment results and complications after PFN osteosynthesis]. Unfallchirurg 108(11):938, 940, 941–936. (passim)

    Article  Google Scholar 

  24. Lucke M, Burghardt RD, Siebenlist S, Ganslmeier A, Stockle U (2010) Medial migration of lag screw with intrapelvic dislocation in gamma nailing – a unique problem? A report of 2 cases. J Orthop Trauma 24(2):e6–e11

    Article  PubMed  Google Scholar 

  25. Robinson SJ, Fountain JR, Torella F, Pennie BH (2011) Intrapelvic migration of a lag screw from a cephalomedullary femoral nail: a case report. Injury 42(11):1384–1386

    Article  CAS  PubMed  Google Scholar 

  26. Schoffel N, Moller M, Pross M, Reuther F (2012) [Intrapelvic dislocation of lag screw in gamma nailing]. Unfallchirurg 115(8):750–753

    Article  CAS  PubMed  Google Scholar 

  27. Kammerlander C, Gebhard F, Meier C, Lenich A, Linhart W, Clasbrummel B, Neubauer-Gartzke T, Garcia-Alonso M, Pavelka T, Blauth M (2011) Standardised cement augmentation of the PFNA using a perforated blade: a new technique and preliminary clinical results. A prospective multicentre trial. Injury 42(12):1484–1490

    Article  CAS  PubMed  Google Scholar 

  28. Erhart S, Schmoelz W, Blauth M, Lenich A (2011) Biomechanical effect of bone cement augmentation on rotational stability and pull-out strength of the Proximal Femur Nail Antirotation. Injury 42(11):1322–1327

    Article  CAS  PubMed  Google Scholar 

  29. Lenich A, Bachmeier S, Prantl L, Nerlich M, Hammer J, Mayr E, Al-Munajjed AA, Fuchtmeier B (2011) Is the rotation of the femoral head a potential initiation for cutting out? A theoretical and experimental approach. BMC Musculoskelet Disord 12:79

    Article  PubMed Central  PubMed  Google Scholar 

  30. Cleveland M, Bosworth DM, Thompson FR, Wilson HJ Jr, Ishizuka T (1959) A ten-year analysis of intertrochanteric fractures of the femur. J Bone Joint Surg Am 41-A:1399–1408

    CAS  PubMed  Google Scholar 

  31. Baumgaertner MR, Curtin SL, Lindskog DM, Keggi JM (1995) The value of the tip-apex distance in predicting failure of fixation of peritrochanteric fractures of the hip. J Bone Joint Surg Am 77(7):1058–1064

    CAS  PubMed  Google Scholar 

  32. Nuchtern JV, Ruecker AH, Sellenschloh K, Rupprecht M, Puschel K, Rueger JM, Morlock MM, Lehmann W (2014) Malpositioning of the lag-screws by one- or two-screw nailing systems for pertrochanteric femoral fractures: a biomechanical comparison of Gamma3 and Intertan. J Orthop Trauma

  33. Kraus M, Krischak G, Wiedmann K, Riepl C, Gebhard F, Jockel JA, Scola A (2011) [Clinical evaluation of PFNA(R) and relationship between the tip-apex distance and mechanical failure]. Unfallchirurg 114(6):470–478

    Article  CAS  PubMed  Google Scholar 

  34. Haidukewych GJ (2009) Intertrochanteric fractures: ten tips to improve results. J Bone Joint Surg Am 91(3):712–719

    PubMed  Google Scholar 

  35. Kadar A, Chechik O, Steinberg E, Reider E, Sternheim A (2013) Predicting the need for blood transfusion in patients with hip fractures. Int Orthop 37(4):693–700

    Article  PubMed Central  PubMed  Google Scholar 

  36. Hou G, Zhou F, Tian Y, Ji H, Zhang Z, Guo Y, Lv Y (2014) Predicting the need for blood transfusions in elderly patients with pertrochanteric femoral fractures. Injury 45(12):1932–1937

    Article  PubMed  Google Scholar 

  37. Burger W, Chemnitius JM, Kneissl GD, Rucker G (2005) Low-dose aspirin for secondary cardiovascular prevention – cardiovascular risks after its perioperative withdrawal versus bleeding risks with its continuation – review and meta-analysis. J Intern Med 257(5):399–414

    Article  CAS  PubMed  Google Scholar 

  38. Levi M (2009) Emergency reversal of antithrombotic treatment. Intern Emerg Med 4(2):137–145

    Article  PubMed  Google Scholar 

  39. Rade JJ, Hogue CW Jr (2008) Noncardiac surgery for patients with coronary artery stents: timing is everything. Anesthesiology 109(4):573–575

    Article  PubMed Central  PubMed  Google Scholar 

  40. Schlitt A, Jambor C, Spannagl M, Gogarten W, Schilling T, Zwissler B (2013) The perioperative management of treatment with anticoagulants and platelet aggregation inhibitors. Dtsch Arztebl Int 110(31–32):525–532

    PubMed Central  PubMed  Google Scholar 

  41. Zhou W, Schwarting S, Illanes S, Liesz A, Middelhoff M, Zorn M, Bendszus M, Heiland S, van Ryn J, Veltkamp R (2011) Hemostatic therapy in experimental intracerebral hemorrhage associated with the direct thrombin inhibitor dabigatran. Stroke 42(12):3594–3599

    Article  PubMed  Google Scholar 

  42. Becker C, Fleischer S, Hack A, Hinderer J, Horn A, Scheible S, Can H, Muche R, Gebhard F, Kinzl L et al (1999) [Disabilities and handicaps due to hip fractures in the elderly]. Z Gerontol Geriatr 32(5):312–317

    Article  CAS  PubMed  Google Scholar 

  43. Bredahl C, Nyholm B, Hindsholm KB, Mortensen JS, Olesen AS (1992) Mortality after hip fracture: results of operation within 12 h of admission. Injury 23(2):83–86

    Article  CAS  PubMed  Google Scholar 

  44. Hamlet WP, Lieberman JR, Freedman EL, Dorey FJ, Fletcher A, Johnson EE (1997) Influence of health status and the timing of surgery on mortality in hip fracture patients. Am J Orthop (Belle Mead NJ) 26(9):621–627

    CAS  Google Scholar 

  45. Fuchtmeier B, Gebhard F, Lenich A (2011) [Complications after pertrochanteric fractures]. Unfallchirurg 114(6):479–484

    Article  CAS  PubMed  Google Scholar 

  46. Frerichmann U, Raschke MJ, Stockle U, Wohrmann S, Lohmann R (2007) [Proximal femoral fractures in the elderly. Data from health insurance providers on more than 23 million insured persons – part 2]. Unfallchirurg 110(7):610–616

    Article  CAS  PubMed  Google Scholar 

  47. Davis FM, Woolner DF, Frampton C, Wilkinson A, Grant A, Harrison RT, Roberts MT, Thadaka R (1987) Prospective, multi-centre trial of mortality following general or spinal anaesthesia for hip fracture surgery in the elderly. Br J Anaesth 59(9):1080–1088

    Article  CAS  PubMed  Google Scholar 

  48. Villar RN, Allen SM, Barnes SJ (1986) Hip fractures in healthy patients: operative delay versus prognosis. Br Med J (Clin Res Ed) 293(6556):1203–1204

    Article  CAS  Google Scholar 

  49. Ryder SA, Reynolds F, Bannister GC (2001) Refining the indications for surgery after proximal femoral fracture. Injury 32(4):295–297

    Article  CAS  PubMed  Google Scholar 

  50. Bonnaire F, Lein T, Bula P (2011) [Trochanteric femoral fractures: anatomy, biomechanics and choice of implants]. Unfallchirurg 114(6):491–500

    Article  CAS  PubMed  Google Scholar 

  51. Fogagnolo F, Kfuri M Jr, Paccola CA (2004) Intramedullary fixation of pertrochanteric hip fractures with the short AO-ASIF proximal femoral nail. Arch Orthop Trauma Surg 124(1):31–37

    Article  CAS  PubMed  Google Scholar 

  52. Hogel F, Gerlach UV, Sudkamp NP, Muller CA (2010) Pulmonary fat embolism after reamed and unreamed nailing of femoral fractures. Injury 41(12):1317–1322

    Article  CAS  PubMed  Google Scholar 

  53. Saarenpaa I, Heikkinen T, Jalovaara P (2007) Treatment of subtrochanteric fractures. A comparison of the Gamma nail and the dynamic hip screw: short-term outcome in 58 patients. Int Orthop 31(1):65–70

    Article  PubMed Central  CAS  PubMed  Google Scholar 

  54. Utrilla AL, Reig JS, Munoz FM, Tufanisco CB (2005) Trochanteric gamma nail and compression hip screw for trochanteric fractures: a randomized, prospective, comparative study in 210 elderly patients with a new design of the gamma nail. J Orthop Trauma 19(4):229–233

    Article  PubMed  Google Scholar 

  55. Saudan M, Lubbeke A, Sadowski C, Riand N, Stern R, Hoffmeyer P (2002) Pertrochanteric fractures: is there an advantage to an intramedullary nail?: a randomized, prospective study of 206 patients comparing the dynamic hip screw and proximal femoral nail. J Orthop Trauma 16(6):386–393

    Article  PubMed  Google Scholar 

  56. Sadowski C, Lubbeke A, Saudan M, Riand N, Stern R, Hoffmeyer P (2002) Treatment of reverse oblique and transverse intertrochanteric fractures with use of an intramedullary nail or a 95 degrees screw-plate: a prospective, randomized study. J Bone Joint Surg Am 84-A(3):372–381

    PubMed  Google Scholar 

  57. Nuber S, Schonweiss T, Ruter A (2003) [Stabilisation of unstable trochanteric femoral fractures. Dynamic hip screw (DHS) with trochanteric stabilisation plate vs. proximal femur nail (PFN)]. Unfallchirurg 106(1):39–47

    Article  CAS  PubMed  Google Scholar 

  58. Bong MR, Patel V, Iesaka K, Egol KA, Kummer FJ, Koval KJ (2004) Comparison of a sliding hip screw with a trochanteric lateral support plate to an intramedullary hip screw for fixation of unstable intertrochanteric hip fractures: a cadaver study. J Trauma 56(4):791–794

    Article  PubMed  Google Scholar 

  59. Kim JW, Park KC, Oh JK, Oh CW, Yoon YC, Chang HW (2014) Percutaneous cerclage wiring followed by intramedullary nailing for subtrochanteric femoral fractures: a technical note with clinical results. Arch Orthop Trauma Surg 134(9):1227–1235

    Article  PubMed  Google Scholar 

  60. Miedel R, Ponzer S, Tornkvist H, Soderqvist A, Tidermark J (2005) The standard Gamma nail or the Medoff sliding plate for unstable trochanteric and subtrochanteric fractures. A randomised, controlled trial. J Bone Joint Surg Br 87(1):68–75

    CAS  PubMed  Google Scholar 

  61. Cheng MT, Chiu FY, Chuang TY, Chen CM, Chen TH, Lee PC (2005) Treatment of complex subtrochanteric fracture with the long gamma AP locking nail: a prospective evaluation of 64 cases. J Trauma 58(2):304–311

    Article  PubMed  Google Scholar 

  62. Alvarez DB, Aparicio JP, Fernandez EL, Mugica IG, Batalla DN, Jimenez JP (2004) Implant breakage, a rare complication with the Gamma nail. A review of 843 fractures of the proximal femur treated with a Gamma nail. Acta Orthop Belg 70(5):435–443

    PubMed  Google Scholar 

  63. von Ruden C, Hungerer S, Augat P, Trapp O, Buhren V, Hierholzer C (2014) Breakage of cephalomedullary nailing in operative treatment of trochanteric and subtrochanteric femoral fractures. Arch Orthop Trauma Surg 135(2):179–185

    Article  Google Scholar 

  64. Parker MJ, Handoll HH (2008) Gamma and other cephalocondylic intramedullary nails versus extramedullary implants for extracapsular hip fractures in adults. Cochrane Database Syst Rev 3:CD000093

    PubMed  Google Scholar 

  65. Green S, Moore T, Proano F (1987) Bipolar prosthetic replacement for the management of unstable intertrochanteric hip fractures in the elderly. Clin Orthop Relat Res 224:169–177

    PubMed  Google Scholar 

  66. Haentjens P, Lamraski G (2005) Endoprosthetic replacement of unstable, comminuted intertrochanteric fracture of the femur in the elderly, osteoporotic patient: a review. Disabil Rehabil 27(18–19):1167–1180

    Article  CAS  PubMed  Google Scholar 

  67. Harwin SF, Stern RE, Kulick RG (1990) Primary Bateman-Leinbach bipolar prosthetic replacement of the hip in the treatment of unstable intertrochanteric fractures in the elderly. Orthopedics 13(10):1131–1136

    CAS  PubMed  Google Scholar 

  68. Kim SY, Kim YG, Hwang JK (2005) Cementless calcar-replacement hemiarthroplasty compared with intramedullary fixation of unstable intertrochanteric fractures. A prospective, randomized study. J Bone Joint Surg Am 87(10):2186–2192

    Article  PubMed  Google Scholar 

  69. Waddell JP, Morton J, Schemitsch EH (2004) The role of total hip replacement in intertrochanteric fractures of the femur. Clin Orthop Relat Res 429:49–53

    Article  PubMed  Google Scholar 

  70. Parker MJ, Handoll HH (2006) Replacement arthroplasty versus internal fixation for extracapsular hip fractures in adults. Cochrane Database Syst Rev 2:CD000086

    PubMed  Google Scholar 

  71. Stappaerts KH, Deldycke J, Broos PL, Staes FF, Rommens PM, Claes P (1995) Treatment of unstable peritrochanteric fractures in elderly patients with a compression hip screw or with the Vandeputte (VDP) endoprosthesis: a prospective randomized study. J Orthop Trauma 9(4):292–297

    Article  CAS  PubMed  Google Scholar 

  72. Grote S, Stegmeyer F, Bogner V, Biberthaler P, Mutschler W (2012) [Treatment results after cemented hemiprosthesis for care of unstable pertrochanteric femoral fractures in the elderly]. Unfallchirurg 115(3):234–242

    Article  CAS  PubMed  Google Scholar 

  73. De Martino I, Triantafyllopoulos GK, Sculco PK, Sculco TP (2014) Dual mobility cups in total hip arthroplasty. World J Orthop 5(3):180–187

    Article  PubMed Central  PubMed  Google Scholar 

  74. Antonelli Incalzi R, Gemma A, Capparella O, Terranova L, Sanguinetti C, Carbonin PU (1993) Post-operative electrolyte imbalance: its incidence and prognostic implications for elderly orthopaedic patients. Age Ageing 22(5):325–331

    Article  CAS  PubMed  Google Scholar 

  75. Antonelli Incalzi R, Gemma A, Capparella O, Landi F, Carbonin P (1998) Post-operative electrolyte imbalance: implications for elderly. J Nutr Health Aging 2(1):34–38

    CAS  PubMed  Google Scholar 

  76. Hagen JE, Miller AN, Ott SM, Gardner M, Morshed S, Jeray K, Alton TB, Ren D, Abblitt WP, Krieg JC (2014) Association of atypical femoral fractures with bisphosphonate use by patients with varus hip geometry. J Bone Joint Surg Am 96(22):1905–1909

    Article  PubMed  Google Scholar 

  77. Miller PD, McCarthy EF (2014) Bisphosphonate-associated atypical sub-trochanteric femur fractures: paired bone biopsy quantitative histomorphometry before and after teriparatide administration. Semin Arthritis Rheum 44(5):477–482

  78. Bronson WH, Kaye ID, Egol KA (2014) Atypical femur fractures: a review. Curr Osteoporos Rep 12(4):446–453

    Article  PubMed  Google Scholar 

Download references

Author information

Affiliations

Authors

Corresponding author

Correspondence to P. Biberthaler.

Ethics declarations

Interessenkonflikt

G.H. Sandmann und P. Biberthaler geben an, dass kein Interessenkonflikt besteht.

Dieser Beitrag beinhaltet keine Studien an Menschen oder Tieren.

CME-Fragebogen

CME-Fragebogen

Welche Aussage im Hinblick auf die Epidemiologie der proximalen Femurfraktur ist richtig?

Die proximale Femurfraktur ist eine selten auftretende Fraktur.

Die Fraktur des proximalen Femurs ereignet sich beim älteren, geriatrischen Patienten häufig durch einfache Stürze aus Standhöhe.

Osteoporose ist im betroffenen Patientenkollektiv zu vernachlässigen.

Die Fraktur des proximalen Femurs ereignet sich bei jungen Patienten ebenfalls durch Bagatelltraumen.

Zirka 10% der geriatrischen Patienten mit einer proximalen Femurfraktur versterben innerhalb eines Jahres nach erlittenem Trauma.

Welche Aussage zur Diagnostik bei Verdacht auf proximale Femurfraktur trifft zu?

Die Basisdiagnostik besteht aus einer Beckenübersichtsaufnahme auf die Symphyse zentriert und einer „Cross-table“-Aufnahme bzw. einer axialen Aufnahme.

Die Sonographie ist zu Beurteilung der Frakturdislokation ein gutes Diagnostikum.

Die MRT-Diagnostik ist ein Standardverfahren zur Beurteilung der Fragmentdislokation.

Die PET-Untersuchung gehört bei osteoporotischen Frakturen zur Basisdiagnostik.

Bei einer einfachen A1-Fraktur sollte ein CT zur Beurteilung der lateralen Wand erfolgen.

Welche Aussage zu biomechanischen Überlegungen trifft zu?

Eine anatomische Reposition des Trochanter minor ist von essenzieller Bedeutung für das postoperative Outcome.

Eine anatomische Reposition ist nur bei extramedullären Verfahren von entscheidender Bedeutung.

Zephalomedulläre Kraftträger sind den extramedullären Verfahren bei instabilen Frakturformen (A3) biomechanisch überlegen.

Die  Plattenosteosynthese ist aufgrund der geringen Versager als Standardimplantat in der Versorgung von pertrochantären Femurfrakturen zu sehen.

Die Zementaugmentation hat biomechanisch gegenüber der nichtzementierten Klinge keinen Vorteil.

Welche Aussage zu den anatomischen Begebenheiten ist richtig?

Knöchern besteht der proximale Femur aus Hüftkopf, Schenkelhals und den beiden Tubercula.

Der Collum-Diaphysen-Winkel kann zwischen 125 und 150° variieren.

Der Antetorsionswinkel sollte im negativen Bereich gewählt werden, um eine entsprechende Innenrotationsstellung des Fußes zu haben.

Im Bereich des Trochanter major setzen die adduzierenden und innenrotierenden Muskeln an.

Das typische klinische Bild bei Patienten mit pertrochantärer Femurfraktur ist das verkürzt, innenrotierte Bein.

Das Risiko für eine perioperative Bluttransfusion ist erhöht bei …

männlichem Geschlecht.

jüngerem Patienten.

einem normwertigen Ausgangshämoglobinwert.

einer Operationsdauer über 85 min.

Vegetariern aufgrund ihrer diätetischen Besonderheiten.

Welche Aussage zur Biomechanik bezüglich der Osteosyntheseverfahren bei pertrochantären Femurfrakturen ist richtig?

Der Z-Effekt ist eine typische Komplikation der DHS.

Die Positionierung der Schenkelhalskomponente sollte nahe des Adam-Bogens erfolgen, um rotatorische Kräfte auszuschalten.

Das Cutting out ist eine Komplikation extra- und intramedullärer Kraftträger und wird durch Osteoporose sowie auch durch eine nichtanatomische Rekonstruktion begünstigt.

Medial der Schaftachse finden sich überwiegend Zugkräfte und lateral hauptsächlich Druckbelastungen.

Die DHS erlaubt bei A1-Frakturen keine belastungsstabile Osteosynthese; eine Entlastung von 6 Wochen sollte erfolgen.

Welche Aussage zur Versorgung pertrochantärer Femurfrakturen trifft zu?

Als „Goldstandard“ bei dislozierten A2-Frakturen gilt die primäre Prothesenimplantation.

Die operative Stabilisierung der pertrochantären Femurfraktur ist das Standardverfahren.

Der Extensionstisch führt zu einer Dislokation der Fraktur und spielt daher bei der Versorgung derartiger Frakturen keine Rolle.

Die Frakturen des proximalen Femurs lassen sich in aller Regel durch Zug, Abduktion und Außenrotation des Beins reponieren.

Die Standard-DHS ist für die Versorgung subtrochantärer Femurfrakturen ausreichend.

Welche Aussage zu den Komplikationen nach pertrochantären Femurfrakturen ist zutreffend?

Das Risiko einer Fettembolie findet sich bei extra- und intramedullären Implantaten gleichermaßen.

Diese Frakturen sollten innerhalb der ersten 72 h versorgt werden.

Ein Dauerkatheter sollte nach Möglichkeit im Rahmen des stationären Aufenthalts belassen werden, um Wundinfektionen zu vermeiden.

Eine Frühmobilisierung ist von essenzieller Bedeutung, um die Gefahr von Komplikationen wie Dekubitalulzera, Pneumonien oder Thromboembolien zu verringern.

Eine Thromboseprophylaxe ist nur bei immobilen Patienten erforderlich.

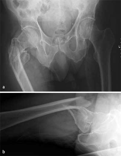
Welche Aussage zur Behandlung der in Abb. 2a, b dargestellten intertrochantären Femurfraktur ist zutreffend?

Abb. 2
figure 2

a Im a.-p. -Strahlengang, b „Cross-table“-Aufnahme

Diese A1-Fraktur ist als dringlich anzusehen und sollte zeitnah versorgt werden.

Bei einer derartigen Fraktur ist eine Versorgung mithilfe der DHS die beste Option, da die laterale Wand intakt scheint.

Aufgrund der Schaftkomponente ist diese Fraktur gut für einen retrograden Nagel zugänglich.

Bei derartigen Frakturen ist eine offene Reposition unter Zuhilfenahme von Cerclagen und die Einbringung eines langen intramedullären Nagels eine sehr gute Therapieoption.

Die sekundäre Dynamisierung stellt bei derartigen Frakturen keine Therapieoption dar.

Welche Aussage hinsichtlich der Rehabilitation nach pertrochantären Femurfrakturen ist zutreffend?

Im Rahmen der Rehabilitation ist nach dem stationären Aufenthalt eine Anschlussheilbehandlung bzw. geriatrische Rehabilitätion nur in Ausnahmen notwendig.

Wichtig ist eine Sekundärprophylaxe mit Erkennen von Risikofaktoren wie Schwindel oder rezidivierenden Synkopen.

Osteoporosetherapie ist bei derartigen Frakturen aufgrund der im Zusammenhang mit Bisphosphonaten beschriebenen atypischen Femurfrakturen nicht indiziert.

Nach derartigen Frakturen ist das Tragen von Hüftprotektoren obligat, um das Risiko von periprothetischen Frakturen zu senken.

Entgleisungen des Flüssigkeitshaushalts sind bei den geriatrischen Patienten kein Problem, da sie in der Regel auf eine ausreichende Flüssigkeitszufuhr achten.

Rights and permissions

Reprints and Permissions

About this article

Verify currency and authenticity via CrossMark

Cite this article

Sandmann, G., Biberthaler, P. Pertrochantäre Femurfrakturen beim geriatrischen Patienten. Unfallchirurg 118, 447–462 (2015). https://doi.org/10.1007/s00113-015-0007-x

Download citation

  • Published:

  • Issue Date:

  • DOI: https://doi.org/10.1007/s00113-015-0007-x

Schlüsselwörter

  • Dynamische Hüftschraube
  • Zephalomedulläre Implantate
  • Frakturfixation
  • AO-Klassifikation
  • Osteoporose

Keywords

  • Dynamic hip screw
  • Zephalomedullary nail
  • Fracture fixation
  • AO classification
  • Osteoporosis