Skip to main content

Vacuum-assisted-closure-Therapie

Behandlung einer schweren Explosionsverletzung der unteren Extremität

Vacuum assisted closure therapy

Management of a severe blast injury to the lower limb

Zusammenfassung

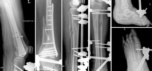
Fallbericht einer 23-jährigen Patientin, die im Rahmen einer Bombenexplosion ausgedehnte Weichteilverletzungen mit subtotaler Amputation des Fußes, offener Femur- und Tibiafraktur, sowie Gefäßverletzung der Aa. tibialis posterior und anterior erlitt. Bei Zuverlegung bestanden schwere Infektionen aller primär verschlossener Wunden. Die Frakturen waren mittels Fixateur externe und Kirschner-Drähten versorgt. Nach ausgiebigen Débridements und Beginn der „Vacuum-assisted-closure-“ (VAC-)Therapie wurde 3 Tage nach Übernahme eine Gefäßrekonstruktion und nach 19 Tagen die plastische Deckung mittels Rectus-abdominis-Lappen durchgeführt. Nach Versorgung der Weichteilverletzungen erfolgte ein Verfahrenswechsel auf eine Plattenosteosynthese für die distale Femurfraktur. Die VAC-Therapie ist eine wichtige Komponente der Therapie von komplexen Weichteilverletzungen und offenen Frakturen. Allerdings muss sie Teil eines früh festgelegten interdisziplinären Behandlungskonzepts sein. Dabei sollte klar festgelegt werden, wann welche Maßnahme durchgeführt wird, was die Voraussetzungen für die einzelnen Maßnahmen sind und welches Ziel jede einzelne Maßnahme hat.

Abstract

This article reports the case of a 23-year-old woman who sustained severe soft tissue injuries with open fractures of the left distal femur, the left proximal tibia, a subtotal amputation of the left foot with injuries to the anterior and posterior tibial artery due to a bomb blast. When the patient was transferred to our hospital 17 days after the trauma, all primarily closed wounds were severely infected. The fractures were treated by external fixateur and k-wire fixation. After debridement and initiation of negative pressure therapy the anterior tibial artery was reconstructed after 3 days and partial wound closure by a rectus abdominis muscle flap was achieved after 19 days. After almost total wound closure was accomplished open reduction internal fixation (ORIF) was performed for the distal femur fracture and a modification of the external fixateur for the tibial and foot fractures. The negative pressure therapy is an important component for treatment of complex soft tissue injuries and open fractures; however, it must be embedded in an interdisciplinary treatment plan with well-defined treatment goals.

This is a preview of subscription content, access via your institution.

Abb. 1
Abb. 2
Abb. 3
Abb. 4
Abb. 5
Abb. 6
Abb. 7

Literatur

  1. Argenta LC, Morykwas MJ (1997) Vacuum-assisted closure: a new method for wound control and treatment: clinical experience. Ann Plast Surg 38:563–576

    PubMed  Article  CAS  Google Scholar 

  2. Evans D, Land L (2001) Topical negative pressure for treating chronic wounds: a systematic review. Br J Plast Surg 54:238–242

    PubMed  Article  CAS  Google Scholar 

  3. Fleischmann W, Strecker W, Bombelli M, Kinzl L (1993) Vakuumversiegelung zur Behandlung des Weichteilschadens bei offenen Frakturen. Unfallchirurg 96:488–492

    PubMed  CAS  Google Scholar 

  4. Gustilo RB, Anderson JT (1976) Prevention of infection in the treatment of one thousand and twenty-five open fractures of long bones: retrospective and prospective analyses. J Bone Joint Surg Am 58:453–458

    PubMed  CAS  Google Scholar 

  5. Holle G et al (2007) Vakuumtherapie und Defektdeckung beim Weichteiltrauma. Klinische Anwendung. Unfallchirurg 110:289–300

    PubMed  Article  CAS  Google Scholar 

  6. Holle G et al (2007) Vakuumtherapie. Aktueller Stand der Grundlagenforschung. Unfallchirurg 110:490–504

    PubMed  Article  CAS  Google Scholar 

  7. Kamolz LP et al (2004) Use of subatmospheric pressure therapy to prevent burn wound progression in human: first experiences. Burns 30:253–258

    PubMed  Article  Google Scholar 

  8. Morykwas MJ, Argenta LC, Shelton-Brown EI, McGuirt W (1997) Vacuum-assisted closure: a new method for wound control and treatment: animal studies and basic foundation. Ann Plast Surg 38:553–562

    PubMed  Article  CAS  Google Scholar 

  9. Stannard JP et al (2009) Negative pressure wound therapy after severe open fractures: a prospective randomized study. J Orthop Trauma 23:552–557

    PubMed  Article  Google Scholar 

  10. Taylor CJ et al (2009) Contemporary approaches to definitive extremity reconstruction of military wounds. J R Army Med Corps 155:302–307

    PubMed  CAS  Google Scholar 

  11. Wackenfors A et al (2004) Effects of vacuum-assisted closure therapy on inguinal wound edge microvascular blood flow. Wound Repair Regen 12:600–606

    PubMed  Article  Google Scholar 

Download references

Interessenkonflikt

Der korrespondierende Autor gibt für sich und seinen Koautor an, dass kein Interessenkonflikt besteht.

Author information

Affiliations

Authors

Corresponding author

Correspondence to H. Polzer.

Rights and permissions

Reprints and Permissions

About this article

Cite this article

Polzer, H., Mutschler, W. Vacuum-assisted-closure-Therapie. Unfallchirurg 115, 792–797 (2012). https://doi.org/10.1007/s00113-012-2210-3

Download citation

  • Published:

  • Issue Date:

  • DOI: https://doi.org/10.1007/s00113-012-2210-3

Schlüsselwörter

  • Explosionsverletzung
  • Untere Extremität
  • „Vacuum-assisted-closure-Therapie“
  • Weichteilverletzung
  • Wundheilung

Keywords

  • Blast injury
  • Lower extremity
  • Negative pressure wound therapy
  • Soft tissue injury
  • Wound management