Skip to main content

Patellaluxation

Patella dislocation

Zusammenfassung

Bei der Patellaluxation handelt es sich um eine einmalige oder wiederkehrende Dislokation der Kniescheibe aus ihrem femoropatellaren Gleitlager. In der Regel luxiert die Patella nach lateral. Die Patellaluxationen werden unterschieden in kongenitale, habituelle und traumatische Luxationen. Zusätzlich wird zwischen rezidivierenden und chronischen Patellaluxationen differenziert. Die Ätiologie der Patellaluxation ist nicht einheitlich und kann durch verschiedene angeborene und/oder erworbene Ursachen, wie z. B. ein Genu valgum, eine Patelladysplasie oder eine Patella alta bedingt sein. Häufig kommt es zu einer Spontanreposition nach Luxation. Neben der klinischen Untersuchung gehören die Röntgendiagnostik und eine Magnetresonanztomographie des betroffenen Kniegelenks zur Diagnostik. Abhängig von möglichen Begleitverletzungen, wie Frakturen oder Bandrupturen, wird die Entscheidung zur konservativen oder operativen Therapie gestellt.

Abstract

The patella dislocation is defined as a non-recurring or recurrent dislocation of the patella from the patella surface of the femur. In general the patella dislocates in the lateral direction. Patella dislocations are subdivided in congenital, habitual or traumatic dislocations. Furthermore patella dislocations are differentiated in recurrent and chronic dislocations. Etiology of patella dislocations is not consistent and can be due to genu valgum, patella dysplasia or patella alta etc. Frequently the patella reposes spontaneously after dislocation. Besides examination of the knee, x-ray and magnetic resonance tomography belong to clinical diagnostics of the knee joint. Decision between conservative and operative therapy is addicted to accompanying injuries like fractures or ligamental injuries.

This is a preview of subscription content, access via your institution.

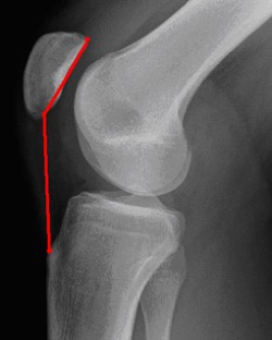
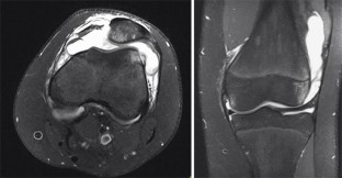
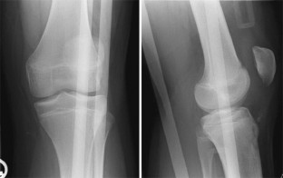
Abb. 1
Abb. 2
Abb. 3
Abb. 4
Abb. 5
Abb. 6
Abb. 7
Abb. 8
Abb. 9
Abb. 10
Abb. 11
Abb. 12
Abb. 13
Abb. 14

Abbreviations

Laxität der Patella:

Beschreibt die physiologische Translation des Gelenks, die benötigt wird, um die physiologischen Bewegungsumfänge ausführen zu können.

Hyperlaxität:

Ist die über das physiologische Maß gesteigerte Translation eines Gelenks, die zu einer Luxation der Patella führen kann.

Subluxation:

Ist die vermehrte, pathologische Translation, wobei kein vollständiger Kontaktverlust erreicht wird. Die Patella reponiert spontan.

Instabilität:

Beschreibt die Unfähigkeit, die Patella im Gleitlager zu zentrieren.

Luxation der Patella:

Stellt den kompletten Kontaktverlust der Gelenkflächen dar, zu dessen Wiederherstellung es der Reposition der Patella bedarf. Bedingt durch die Instabilität kommt es zu einer Luxation der Kniescheibe in der Regel nach außen. Eine Luxation nach innen ist sehr selten.

Literatur

  1. Amis AA (2007) Current concepts on anatomy and biomechanics of patellar stability. Sports Med Arthrosc 15:48–56

    PubMed  Article  Google Scholar 

  2. Amis AA, Firer P, Mountney J et al (2003) Anatomy and biomechanics of the medial patellofemoral ligament. Knee 3:215–220

    Article  Google Scholar 

  3. Arendt EA, Fithian DC, Cohen E (2002) Current concepts of lateral patella dislocation. Clin Sports Med 21:499–519

    PubMed  Article  Google Scholar 

  4. Bachmann M, Pagenstert G (2010) Arthroskopische Biomechanik bei patellofemoralen Beschwerden. Arthroskopie 23:170–175

    Article  Google Scholar 

  5. Bauer M, Jackson RW (1988) Chondral lesions of the femoral condyles: a system of arthroscopic classification. Arthroscopy 4:97–102

    PubMed  Article  CAS  Google Scholar 

  6. Baumgartl F (1964) Das Kniegelenk. Springer, Berlin Heidelberg New York

  7. Benedetto KP (2005) Ergebnisse des Tuberositastransfers bei Patellainstabilität. Arthroskopie 18:301–307

    Article  Google Scholar 

  8. Bicos J, Fulkerson JP, Amis A (2007) Current concepts review: the medial patellofemoral ligament. Am J Sports Med 35:484–492

    PubMed  Article  Google Scholar 

  9. Biedert RM (2004) Patellofemoral disorders. Diagnosis and treatment. Wiley, Chichester

  10. Biedert RM (2008) Osteotomien. Orthopäde 37:872–883

    PubMed  Article  CAS  Google Scholar 

  11. Biedert RM (2010) Sekundäre mediale Patellainstabilität. Arthroskopie 23:195–200

    Article  Google Scholar 

  12. Biedert RM, Friederich NF (1994) Failed lateral retinacular release: clinical outcome. J Sports Traumatol 16:162–173

    Google Scholar 

  13. Biedert RM, Netzer P (2005) Anatomische Betrachtungen der arthroskopischen lateralen Retinakulumspaltung. Arthroskopie 18:289–292

    Article  Google Scholar 

  14. Blauth W, Schwarz I (1989) Operation der habituellen Patellaluxation im Kindesalter. Operat Orthop Traumatol 94 99

  15. Brattström H (1960) Patellar shape and degenerative changes in femoro-patellar joint. Acta Orthop Scand 29:153

    Google Scholar 

  16. Brattström H (1964) Shape of the intercondylar groove normally and in recurrent dislocation of the patella. Acta Orthop Scand 68 (Suppl):S1–S44

    Google Scholar 

  17. Burks RT, Desio SM, Bachus KN et al (1998) Biomechanical evaluation of lateral patellar dislocations. Am J Knee Surg 1:24–31

    Google Scholar 

  18. Carmont MR, Maffulli N (2007) Medial patellofemoral ligament reconstruction: a new technique. BMC Musculoskelet Disord 8:22

    PubMed  Article  Google Scholar 

  19. Carson WG, James SL, Larson RL et al (1984) Patellofemoral disorders: physical and radiographic evaluation. Part II: Radiographic examination. Clin Orthop Relat Res 185:178–186

    PubMed  Google Scholar 

  20. Christiansen SE, Jakobsen BW, Lund B, Lind M (2008) Isolated repair of the medial patellofemoral ligament in primary dislocation of the patella: a prospective randomized study. Arthroscopy 24:881–887

    PubMed  Article  Google Scholar 

  21. Conlan T, Garth WP, Lemons JE (1993) Evaluation of the medial soft-tissue restraints of the extensor mechanism of the knee. J Bone Joint Surg Am 5:682–693

    Google Scholar 

  22. Dejour H, Walch G, Nove-Josserand L, Guier C (1994) Factors of patellar instability: an anatomic radiographic study. Knee Surg Sports Traumatol Arthrosc 2:19–26

    PubMed  Article  CAS  Google Scholar 

  23. Desio SM, Burks RT, Bachus KN (1998) Soft tissue restraints to lateral patellar translation in the human knee. Am J Sports Med 1:59–65

    Google Scholar 

  24. Ewerbeck V, Wentzensen A, Holz F et al (2007) Standardverfahren in der operativen Orthopädie und Unfallchirurgie, 3. Aufl. Thieme, Stuttgart

  25. Feller JA, Amis AA, Andrish JT et al (2007) Surgical biomechanics of the patellofemoral joint. Arthroscopy 23:542–553

    PubMed  Article  Google Scholar 

  26. Ficat P (1970) Pathologie femoro-patellaire. Masson, Paris

  27. Ficat RP, Philippe J, Hungerford DS (1979) Chondromalacia patellae: a system of classification. Clin Orthop Relat Res 55–62

  28. Fithian DC, Paxton EW, Stone ML et al (2004) Epidemiology and natural history of acute patellar dislocation. Am J Sports Med 32:1114–1121

    PubMed  Article  Google Scholar 

  29. Gardner E, O’Rahilly R (1968) The early development of the knee joint in staged human embryos. J Anat 2:289–299

    Google Scholar 

  30. Graf R, Löhr J, Wirth CJ et al (1998) Die Patellaluxation. Orthopäde 27:197–205

    Article  Google Scholar 

  31. Greene CC, Edwards TB, Wade MR, Carson EW (2001) Reliability of the quadriceps angle measurement. Am J Knee Surg 14:97–103

    PubMed  CAS  Google Scholar 

  32. Grelsamer RP, Dubey A, Weinstein CH (2005) Men and women have similar Q angles. J Bone Joint Surg Br 87-B:1498–501

    Google Scholar 

  33. Haag C, Merkle K (1997) Klinische und radiologische Ergebnisse der operativ behandelten Patellaluxation. Unfallchirurgie 23:210–215

    PubMed  CAS  Google Scholar 

  34. Hackl W, Benedetto KP, Fink C (1999) Locked lateral patella dislocation: a rare case of irreducible patellar dislocation requiring open reduction. Knee Surg Sports Traumatol Arthrosc 7:352–355

    PubMed  Article  CAS  Google Scholar 

  35. Hammerle CP, Jacob RP (1980) Chondral and osteochondral fractures after luxation of the patella and their treatment. Arch Orthop Trauma Surg 97:207–211

    PubMed  Article  CAS  Google Scholar 

  36. Heegaard J, Leyvraz PF, Van Kampen A et al (1994) Influence of soft structures on patellar three-dimensional tracking. Clin Orthop Relat Res 299:235–243

    PubMed  Google Scholar 

  37. Hefti F (2006) Patellaluxation. In: Hefti F (Hrsg) Kinderorthopädie in der Praxis, 2. Aufl. Springer, Berlin Heidelberg New York, S 300–308

  38. Hepp WR (1982) Zur Bestimmung der Dysplasie des Femoropatellargelenkes. Z Orthop 120:259–267

    PubMed  Article  CAS  Google Scholar 

  39. Hertel P, Verschl J (1988) Arthroskopie bei der akuten Patellaluxation. Arthroskopie 1:68–73

    Google Scholar 

  40. Hinton RY, Sharma KM (2003) Acute and recurrent patellar instability in the young athlete. Orthop Clin North Am 34:385–396

    PubMed  Article  Google Scholar 

  41. Huberti HH, Hayes WC (1984) Patellofemoral contact pressures. The influence of q-angle and tendofemoral contact. J Bone Joint Surg Am 66:715–724

    PubMed  CAS  Google Scholar 

  42. Insall J (1984) Disorders of the patella. In: Insall J (ed) Surgery of the knee. Churchill Livingston, New York, p 191–260

  43. Insall J, Falvo KA, Wise DW (1976) Chondromalacia patellae. A prospective study. J Bone Joint Surg Am 58:1–8

    PubMed  CAS  Google Scholar 

  44. Insall J, Salvati E (1971) Patella position in the normal knee joint. Radiology 101:101–104

    PubMed  CAS  Google Scholar 

  45. Insall JN, Aglietti P, Tria AJ (1983) Patellar pain and incongruence. II: Clinical application. Clin Orthop Relat Res 176:225–232

    PubMed  Google Scholar 

  46. Ishibashi Y, Okamura Y, Otsuka H et al (2002) Lateral patellar retinaculum tension in patellar instability. Clin Orthop Relat Res 397:362–369

    PubMed  Article  Google Scholar 

  47. Kettelkamp DB (1973) Clinical implications of knee biomechanics. Arch Surg 107:406–410

    PubMed  CAS  Google Scholar 

  48. Kohn D (2000) Die Spaltung des Retinaculum patellae laterale in offener Technik. In: Wirth CJ, Rudert M (Hrsg) Das patellofemorale Schmerzsyndrom. Steinkopff, Darmstadt

  49. Krödel A, Refior HJ (1990) Die Patellaluxation als Ursache osteochondraler Frakturen im femoropatellaren Gleitlager. Unfallchirurgie 16:12–17

    PubMed  Article  Google Scholar 

  50. Krüger T, Birke A, Decker T et al (1999) Ergebnisse der Operation nach Elmslie-Trillat bei Patellaluxation und -subluxation. Unfallchirurg 102:700–707

    PubMed  Article  Google Scholar 

  51. Larsen E, Lauridsen F (1982) Conservative treatment of patellar dislocations. Influence of evident factors on the tendency to redislocation and the therapeutic results. Clin Orthop 171:131–136

    PubMed  Google Scholar 

  52. Laurin CA, Lévesque HP, Dussault R et al (1978) The abnormal lateral patellofemoral angle. A diagnostic roentgenographic sign of recurrent patellar subluxation. J Bone Joint Surg Am 60:55–60

    PubMed  CAS  Google Scholar 

  53. Ledingham J, Regan M, Jones A, Doherty M (1995) Factors affecting radiographic progression of knee osteoarthritis. Ann Rheum Dis 54:53–58

    PubMed  Article  CAS  Google Scholar 

  54. Lin F, Wilson NA, Makhsous M et al (2010) In vivo patellar tracking induced by individual quadriceps components in individuals with patellofemoral pain. J Biomech 43:235–241

    PubMed  Article  Google Scholar 

  55. Livingston LA (1998) The Quadriceps angle: a review of the literature. J Orthop Sport Phys Ther 28:105–109

    CAS  Google Scholar 

  56. Madigan R, Wissinger HA, Donaldson WF (1975) Preliminary experience with a method of quadricepsplasty in recurrent subluxation of the patella. J Bone Joint Surg Am 57:600–607

    PubMed  CAS  Google Scholar 

  57. Madry H, Pape D (2008) Autologe Chondrozytentransplantation. Orthopäde 37:756–763

    PubMed  Article  CAS  Google Scholar 

  58. Mariani PP, Adriani E (1993) Arthroskopische Naht des Ligamentum alare mediale bei der akuten Patellaluxation. Arthroskopie 6:169–173

    Google Scholar 

  59. Merchant AC, Mercer RL, Jacobsen RH, Cool CR (1974) Roentgenographic analysis of patellofemoral congruence. J Bone Joint Surg Am 56:1391–1396

    PubMed  CAS  Google Scholar 

  60. Miller PR, Klein RM, Teitge RA (1991) Medial dislocation of the patella. Skeletal Radiol 20:429–431

    PubMed  Article  CAS  Google Scholar 

  61. Molnar TJ, Fox JM (1993) Overuse injuries of the knee in basketball. Clin Sports Med 12:349–362

    PubMed  CAS  Google Scholar 

  62. Nam EK, Karzel RP (2005) Mini-open medial reefing and arthroscopic lateral release for treatment of recurrent patellar dislocation: a medium-termin follow-up. Am J Sports Med 33:220–230

    PubMed  Article  Google Scholar 

  63. Nietosvaara Y, Paukku R, Palmu S, Donell ST (1994) Acute patellar dislocation in children: incidence and associated osteochondral fractures. J Pediatr Orthop 4:513–515

    Google Scholar 

  64. Nomura E, Inoue M (2004) Cartilage lesions of the patella in recurrent patellar dislocation. Am J Sports Med 2:498–50

    Article  Google Scholar 

  65. Nonweiler DE, DeLee JC (1994) The diagnosis and treatment of medial subluxation of the patella after lateral retinacular release. Am J Sports Med 22:680–686

    PubMed  Article  CAS  Google Scholar 

  66. Outerbridge RE, Dunlop JA (1975) The problem of chondromalacia patellae. Clin Orthop Relat Res 110:177–196

    PubMed  Article  Google Scholar 

  67. Panni AS, Tartarone M, Patricola A et al (2005) Long-term results of lateral retinacular release. Arthroscopy 21:526–531

    PubMed  Article  Google Scholar 

  68. Petersen W, Zantop T (2009) Eine neue Methode zur patellaren Fixation von MPFL-Transplantaten. Arthroskopie 22:237–240

    Article  Google Scholar 

  69. Pritsch M, Velkes S, Levy O, Greental A (1995) Suture fixation of osteochondral fractures of the patella. J Bone Joint Surg Br 77:154–155

    PubMed  CAS  Google Scholar 

  70. Rillmann P, Fischer A, Berbig R, Holzach P (1999) Arthroskopisch unterstützte mediale Retinakulumnaht nach akuter Erstluxation der Patella. Unfallchirurg 102:167–172

    PubMed  Article  CAS  Google Scholar 

  71. Rorabeck CH, Bobechko WP (1976) Acute dislocation of the patella with osteochondral fractures. J Bone Joint Surg Br 58:237–240

    PubMed  CAS  Google Scholar 

  72. Sanders TG, Morrison WB, Singleton BA et al (2001) Medial patellofemoral ligament injury following acute transient dislocation of the patella: MR findings with surgical correlation in 14 patients. J Comput Assist Tomogr 6:957–962

    Article  Google Scholar 

  73. Schäfer N, Lehmann M, Müller W (1993) Laterale Erstluxation der Patella. Arthroskopische vs. offene Retinakulumnaht. Arthroskopie 6:256–259

    Google Scholar 

  74. Schaller C, Thannheimer A, Kusche H et al (2009) Neue Entwicklungen in der Sporttraumatologie. Trauma Berufskrankh 11:26–38

    Article  Google Scholar 

  75. Scharf HP, Rüter A, Pohlemann T et al (2008) Orthopädie und Unfallchirurgie: Facharztwissen nach der neuen Weiterbildungsordnung. Urban & Fischer, München

  76. Schneider FJ, Thumfart A, Linhart WE (2009) Behandlung der Patellaluxation im Kindes- und Jugendalter. Arthroskopie 22:60–67

    Article  Google Scholar 

  77. Schoettle PB, Zanetti M, Seifert B et al (2006) The tibial tuberosity-trochlear groove distance; a comparative study between CT and MRI scanning. Knee 1:26–31

    Article  Google Scholar 

  78. Schöttle P, Beitzel K, Imhoff A (2009) Die kindliche Patellaluxation. Anatomie, Pathomorphologie und Behandlungsstrategien. Arthroskopie 22:51–59

    Article  Google Scholar 

  79. Schöttle P, Schmeling A, Romero J, Weiler A (2009) Anatomical reconstruction of the medial patellofemoral ligament using a free gracilis autograft. Arch Orthop Trauma Surg 129:305–309

    PubMed  Article  Google Scholar 

  80. Schöttle PB, Fucentese SF, Romero J (2008) Clinical and radiological outcome of medial patellofemoral ligament reconstruction with a semitendinosus autograft for patella instability. Knee Surg Sports Traumatol Arthrosc 13:516–521

    Article  Google Scholar 

  81. Schöttle PB, Hensler D (2008) Revisionseingriffe zur Patellastabilisierung nach erfolgloser Operation am Streckapparat. Arthroskopie 21:145–152

    Article  Google Scholar 

  82. Sillanpää P, Mattila VM, Iivonen T et al (2008) Incidence and risk factors of acute traumatic primary patellar dislocation. Med Sci Sports Exerc 40:606–611

    PubMed  Article  Google Scholar 

  83. Spahn G (2006) Knorpelschaden und Gonarthrose. Teil II: Epidemiologie und Diagnostik von chondralen Schäden und der Gonarthrose. Akt Trauma 36:1–13

    Article  Google Scholar 

  84. Strobel MJ (2002) Manual of arthroscopic surgery. Springer, Berlin, Heidelberg

  85. Strobl W, Grill F (1998) Die Patellaluxation. Orthopäde 27:197–205

    PubMed  Article  CAS  Google Scholar 

  86. Tsujimoto K, Kurosaka M, Yoshiya S, Mizuno K (2000) Radiographic and computed tomographic analysis of the position of the tibial tubercle in recurrent dislocation and subluxation of the patella. Am J Knee Surg 13:83–88

    PubMed  CAS  Google Scholar 

  87. Vainionpää S, Laasonen E, Pätiälä H et al (1986) Acute dislocation of the patella. Clinical, radiographic and operative findings in 64 consecutive cases. Acta Orthop Scand 57:331–333

    PubMed  Article  Google Scholar 

  88. Verdonk P, Bonte F, Verdonk R (2008) Lateral retinacular release. Orthopäde 37:884–889

    PubMed  Article  CAS  Google Scholar 

  89. Viernstein K, Weigert M (1968) Chondromalacia patellae in the active sportsman. Z Orthop 104:432–435

    PubMed  CAS  Google Scholar 

  90. Weber O, Goost H, Kabir K et al (2007) Distale osteochondrale Femurimpressionsfrakturen. Z Orthop Unfall 145:436–440

    PubMed  Article  CAS  Google Scholar 

  91. Wiberg G (1941) Roentgenographic and anatomical studies on the femoropatelar joint. With special reference to chondromalacia patellae. Acta Orthop Scand 12:319–323

    Article  Google Scholar 

Download references

Interessenkonflikt

Der korrespondierende Autor gibt an, dass kein Interessenkonflikt besteht.

Author information

Affiliations

Authors

Corresponding author

Correspondence to S. Oestern.

Rights and permissions

Reprints and Permissions

About this article

Cite this article

Oestern, S., Varoga, D., Lippross, S. et al. Patellaluxation. Unfallchirurg 114, 345–359 (2011). https://doi.org/10.1007/s00113-011-2012-z

Download citation

  • Published:

  • Issue Date:

  • DOI: https://doi.org/10.1007/s00113-011-2012-z

Schlüsselwörter

  • Patellaluxation
  • Patelladysplasie
  • Instabilität
  • Laterales Release

Keywords

  • Patella dislocation
  • Patellar dysplasia
  • Instability
  • Lateral release