Skip to main content

Pseudarthrose des kindlichen Condylus radialis humeri mit posttraumatischem Cubitus valgus

Non-union of pediatric lateral humeral condyle following post-traumatic cubitus valgus

Zusammenfassung

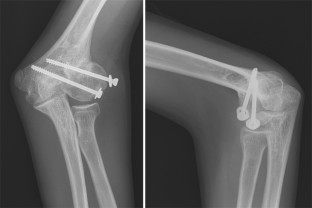
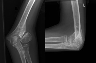
Die Pseudarthrose des kindlichen Condylus radialis humeri mit posttraumatischem Cubitus valgus stellt nach inadäquater Behandlung eine ernsthafte Komplikation dar. Wir berichten über einen damals 14-jährigen männlichen Patienten, der nach konservativer Frakturbehandlung des Condylus radialis humeri eine zunehmende Fehlstellung im Sinne eines Cubitus valgus entwickelte. Nach Durchführung einer Schraubenosteosynthese wurde nach gesicherter Konsolidierung eine erfolgreiche suprakondyläre Domosteotomie vorgenommen, die zur Beschwerdefreiheit und freien Beweglichkeit des Ellenbogengelenks führte.

Abstract

Non-union of the pediatric lateral humeral condyle following post-traumatic cubitus valgus is a severe complication after inadequate treatment. We report on a then 14-year-old male patient who developed an increasingly defective position in terms of cubitus valgus after conservative treatment of a lateral humeral condyle fracture. After performing screw osteosynthesis and achieving consolidation, a successful supracondylar dome osteotomy was performed which led to relief from pain and free range of motion of the elbow joint.

This is a preview of subscription content, access via your institution.

Abb. 1
Abb. 2
Abb. 3
Abb. 4
Abb. 5
Abb. 6
Abb. 7
Abb. 8
Abb. 9

Literatur

  1. Kanaujia RR, Yoshioka K, Murakami T (1988) A fixation device for corrective osteotomy: brief report. J Bone Joint Surg [Br] 70:223

    Google Scholar 

  2. Kim HT, Lee JS, Yoo CI (2005) Management of cubitus varus and valgus. J Bone Joint Surg [Am] 87:771–780

    Google Scholar 

  3. Kumar K, Sharma VK, Sharma R, Maffulli N (2000) Correction of cubitus varus by French or dome osteotomy: a comparative study. J Trauma 49:717–721

    PubMed  Article  CAS  Google Scholar 

  4. Mirsky EC, Karas EH, Weiner LS (1997) Lateral condyle fractures in children: evaluation of classification and treatment. J Orthop Trauma 11:117–120

    PubMed  Article  CAS  Google Scholar 

  5. Morgan SJ, Beaver WB (1999) Non-union of a pediatric lateral condyle fracture without ulnar nerve palsy: sixty-year follow-up. J Orthop Trauma 13:456–458

    PubMed  Article  CAS  Google Scholar 

  6. Shimada K, Masada K, Tada K, Yamamoto T (1997) Osteosynthesis for the treatment of nonunion of the lateral humeral condyle in children. J Bone Joint Surg [Am] 79:234–240

    Google Scholar 

  7. Täger G, Podleska LE, Ruchholtz S et al (2007) Epiphysennahe Frakturen bei Kindern. Teil I: Obere Extremität. Unfallchirurg 110:867–882

    PubMed  Article  Google Scholar 

  8. Tien YC, Chen JC, Fu YC et al (2005) Supracondylar dome osteotomy for cubitus valgus deformity associated with a lateral condylar nonunion in children. J Bone Joint Surg [Am] 87:1456–1463

    Google Scholar 

  9. Toh S, Tsubo K, Nishikawa S et al (2002) Long-standing non-union of fractures of the lateral humeral condyle. J Bone Joint Surg [Am] 84:593–598

    Google Scholar 

  10. Toh S, Tsubo K, Nishikawa S et al (2002) Osteosynthesis for nonunion of the lateral humeral condyle. Clin Orthop Relat Res 405:230–241

    PubMed  Article  Google Scholar 

  11. Von Laer LR (1998) Die Fraktur des Condylus radialis humeri im Wachstumsalter. Unfallchirurg 101:271–279

    Article  Google Scholar 

  12. Von Laer LR (2007) Frakturen und Luxationen im Wachstumsalter. Thieme, Stuttgart, S 166–172

  13. Von Laer LR (1981) Posttraumatische Wachstumsstörungen am kindlichen Ellbogen. Unfallheilkunde 84:101–108

    Google Scholar 

Download references

Interessenkonflikt

Der korrespondierende Autor gibt an, dass kein Interessenkonflikt besteht.

Author information

Affiliations

Authors

Corresponding author

Correspondence to T. Kocak.

Rights and permissions

Reprints and Permissions

About this article

Cite this article

Kocak, T., Gebhard, F. & Keppler, P. Pseudarthrose des kindlichen Condylus radialis humeri mit posttraumatischem Cubitus valgus. Unfallchirurg 114, 360–365 (2011). https://doi.org/10.1007/s00113-010-1812-x

Download citation

  • Published:

  • Issue Date:

  • DOI: https://doi.org/10.1007/s00113-010-1812-x

Schlüsselwörter

  • Condylus-radialis-humeri-Fraktur
  • Komplikationen
  • Pseudarthrose
  • Cubitus valgus
  • Suprakondyläre Domosteotomie

Keywords

  • Lateral humeral condyle fracture
  • Complications
  • Non-union
  • Cubitus valgus
  • Supracondylar dome osteotomy