Skip to main content

Vordere Pfeilerfraktur des Acetabulums mit dorsaler Impression

Operatives Management mittels chirurgischer Hüftluxation

Anterior column fracture of the acetabulum with dorsal impression

Zusammenfassung

Es wird ein ungewöhnlicher Fall einer vorderen Pfeilerfraktur des Acetabulums mit ausgedehnter Impression im Bereich des hinteren Pfeilers beschrieben. Nach primärer Osteosynthese über einen ilioinguinalen Zugang erfolgt die Reposition der dorsalen Impressionen über einen hinteren Zugang mit Repositionskontrolle mittels chirurgischer Hütluxation.

Abstract

An unusual case of an anterior column fracture of the acetabulum with extended marginal impaction at the posterior column is presented. Fracture fixation was primarily performed by an ilioinguinal approach followed by a posterior approach with surgical dislocation of the hip to reduce the impacted fragments.

This is a preview of subscription content, access via your institution.

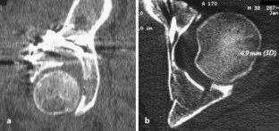
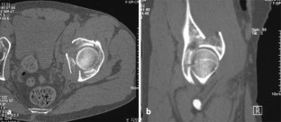
Abb. 1
Abb. 2
Abb. 3
Abb. 4
Abb. 5
Abb. 6
Abb. 7
Abb. 8
Abb. 9

Literatur

  1. Gänsslen A, Pohlemann T, Lange M et al. (2002) Influence of additional fracture markers on the long-term result in acetabular T-type fractures. Eur J Trauma 28(Suppl 1): 22–23

    Google Scholar 

  2. Gänsslen A, Pohlemann T, Paul C, Tscherne H (1996) Welche prognostischen Faktoren beeinflussen das Langzeitergebnis nach Acetabulum-T-Frakturen ? Hefte Unfallchir 262: 72

    Google Scholar 

  3. Ganz R, Gill T, Gautier E et al. (2001) Surgical dislocation of the adult hip – A technique with full access to the femoral head and acetabulum without the risk of avascular necrosis. J Bone Joint Surg Br 73(8): 1119–1124

    Article  Google Scholar 

  4. Kloen P, Siebenrock K, Raaymakers E et al. (2002) Femoral head fractures revisited. Eur J Trauma 4: 221–233

    Article  Google Scholar 

  5. Letournel E, R (1993) Fractures of the acetabulum, 2nd edn. Springer, Berlin Heidelberg New York

  6. Matta J (1996) Fractures of the acetabulum: accuracy of reduction and clinical results of fractures operated within three weeks after the injury. J Bone Joint Surg Am 78(11): 1632–1645

    PubMed  Google Scholar 

  7. Matta J, Anderson L, Epstein H, Hendricks P (1986) Fractures of the acetabulum: a retrospective analysis. Clin Orthop 205: 230–240

    PubMed  Google Scholar 

  8. Rowe C, Lowell J (1961) Prognosis of fractures of the acetabulum. J Bone Joint Surg Am 43(1): 30–59

    Google Scholar 

  9. Saterbak AM, Marsh JL, Nepola JV et al. (2000) Clinical failure after posterior wall acetabular fractures: the influence of initial fracture patterns. J Orthop Trauma 14(4): 230–237

    Article  PubMed  Google Scholar 

  10. Siebenrock KA, Gautier E, Woo AK, Ganz R (2002) Surgical dislocation of the femoral head for joint debridement and accurate reduction of fractures of the acetabulum. J Orthop Trauma 16(8): 543–552

    Article  PubMed  Google Scholar 

  11. Stöckle U, Hoffmann R, Nittinger M et al. (1998) Treatment of complex acetabular fractures through the modified extensile iliofemoral approach. OTA, 14th Annual Meeting, Vancouver

  12. Tscherne H, Pohlemann T (1998) Tscherne Unfallchirurgie: Becken und Acetabulum. Springer, Berlin Heidelberg New York

    Google Scholar 

  13. Wolinsky P, Davison B, Shyr Y et al. (1996) Predictors of total hip arthroplasty in patients following open reduction and internal fixation of acetabular fractures. 12th Annual Meeting, OTA, Boston

  14. Zeichen J, Pohlemann T, Gänsslen A et al. (1995) Nachuntersuchungsergebnisse nach operativer Versorgung von komplizierten Acetabulumfrakturen über erweiterte Zugänge. Unfallchirurg 98(7): 361–368

    PubMed  Google Scholar 

Download references

Interessenkonflikt

Es besteht kein Interessenkonflikt. Der korrespondierende Autor versichert, dass keine Verbindungen mit einer Firma, deren Produkt in dem Artikel genannt ist, oder einer Firma, die ein Konkurrenzprodukt vertreibt, bestehen. Die Präsentation des Themas ist unabhängig und die Darstellung der Inhalte produktneutral.

Author information

Affiliations

Authors

Corresponding author

Correspondence to A. Gänsslen.

Rights and permissions

Reprints and Permissions

About this article

Cite this article

Gänsslen, A., Bastian, L., Kirchhoff, T. et al. Vordere Pfeilerfraktur des Acetabulums mit dorsaler Impression. Unfallchirurg 109, 587–592 (2006). https://doi.org/10.1007/s00113-006-1120-7

Download citation

  • Issue Date:

  • DOI: https://doi.org/10.1007/s00113-006-1120-7

Schlüsselwörter

  • Vordere Pfeilerfraktur
  • Dorsale Impression
  • Chirurgische Hüftluxation

Keywords

  • Anterior column fracture acetabulum
  • Marginal impaction
  • Surgical hip dislocation