Skip to main content

Retrograde Verriegelungsmarknagelung bei periprothetischer distaler Femurfraktur nach kondylärem Kniegelenkersatz

This is a preview of subscription content, access via your institution.

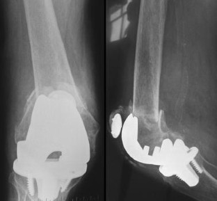
Abb. 1
Abb. 2
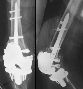
Abb. 4
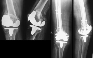
Abb. 5a–c
Abb. 3
Abb. 6
Abb. 7
Abb. 8a,b

Literatur

  1. Stedtfeld H-W, Mittlmeier Th, Landgraf P, Ewert A (2004) The logic and clinical application of blocking screws. J Bone Joint Surg 86-A (Suppl 2): 7–25

  2. Su ET, DeWal H, DiCesare PE (2004) Periprosthetic femoral fractures above total knee replacements. J Am Acad Orthop Surg 12: 12–20

    PubMed  Google Scholar 

Download references

Author information

Affiliations

Authors

Corresponding author

Correspondence to T. Mittlmeier.

Rights and permissions

Reprints and Permissions

About this article

Cite this article

Mittlmeier, T., Beck, M. Retrograde Verriegelungsmarknagelung bei periprothetischer distaler Femurfraktur nach kondylärem Kniegelenkersatz. Unfallchirurg 108, 497–502 (2005). https://doi.org/10.1007/s00113-005-0956-6

Download citation

  • Issue Date:

  • DOI: https://doi.org/10.1007/s00113-005-0956-6