Skip to main content

Identification of secretory gelsolin as a plasma biomarker associated with distant organ metastasis of colorectal cancer

Abstract

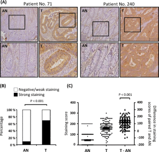
Colorectal cancer (CRC) is one of the most common cancers worldwide. More than half of all CRC patients will develop metastases, which represents the major cause of death for CRC patients. CRC metastases confined in other organs are potentially resectable, and patients who receive curative resections appear to have better outcomes. Thus, the early detection of metastasis in CRC patients could improve their survival rate after curative surgery. Here, we report the use of Cy-dye labeling combined with multi-dimensional fractionation and mass spectrometry as a proteomics-based approach for identifying CRC metastasis-associated biomarker(s) in plasma samples collected from three CRC patients upon diagnosis of their primary and metastatic tumors. Among the eight identified proteins, we used Western blot analysis and an in-house-developed ELISA to validate the increased plasma levels of one, secretory (plasma) gelsolin, in >80% of CRC patients with distal metastases in a larger sample cohort (32 patients). We also found a significant increase of secretory gelsolin in plasma samples of stage IV versus stages I–III CRC patients before treatment. Furthermore, immunohistochemistry showed that secretory gelsolin was highly overexpressed in CRC tissue specimens compared to adjacent normal tissues, and a cell model study showed that secretory gelsolin may help regulate CRC cell migration.

This is a preview of subscription content, access via your institution.

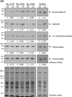
Fig. 1
Fig. 2
Fig. 3
Fig. 4
Fig. 5
Fig. 6

References

  1. Gupta GP, Massague J (2006) Cancer metastasis: building a framework. Cell 127:679–695

    PubMed  Article  CAS  Google Scholar 

  2. Chen LT, WhangPeng J (2004) Current status of clinical studies for colorectal cancer in Taiwan. Clin Colorectal Cancer 4:196–203

    PubMed  Article  Google Scholar 

  3. Walther A, Johnstone E, Swanton C, Midgley R, Tomlinson I, Kerr D (2009) Genetic prognostic and predictive markers in colorectal cancer. Nat Rev Cancer 9:489–499

    PubMed  Article  CAS  Google Scholar 

  4. Plesec TP, Hunt JL (2009) KRAS mutation testing in colorectal cancer. Adv Anat Pathol 16:196–203

    PubMed  Article  CAS  Google Scholar 

  5. Schluter K, Gassmann P, Enns A, Korb T, Hemping-Bovenkerk A, Holzen J, Haier J (2006) Organ-specific metastatic tumor cell adhesion and extravasation of colon carcinoma cells with different metastatic potential. Am J Pathol 169:1064–1073

    PubMed  Article  Google Scholar 

  6. Simmonds PC, Primrose JN, Colquitt JL, Garden OJ, Poston GJ, Rees M (2006) Surgical resection of hepatic metastases from colorectal cancer: a systematic review of published studies. Br J Cancer 94:982–999

    PubMed  Article  CAS  Google Scholar 

  7. Thompson JA, Grunert F, Zimmermann W (1991) Carcinoembryonic antigen gene family: molecular biology and clinical perspectives. J Clin Lab Anal 5:344–366

    PubMed  Article  CAS  Google Scholar 

  8. Moertel CG, O'Fallon JR, Go VL, O'Connell MJ, Thynne GS (1986) The preoperative carcinoembryonic antigen test in the diagnosis, staging, and prognosis of colorectal cancer. Cancer 58:603–610

    PubMed  Article  CAS  Google Scholar 

  9. McCall JL, Black RB, Rich CA, Harvey JR, Baker RA, Watts JM, Toouli J (1994) The value of serum carcinoembryonic antigen in predicting recurrent disease following curative resection of colorectal cancer. Dis Colon Rectum 37:875–881

    PubMed  Article  CAS  Google Scholar 

  10. Tan E, Gouvas N, Nicholls RJ, Ziprin P, Xynos E, Tekkis PP (2009) Diagnostic precision of carcinoembryonic antigen in the detection of recurrence of colorectal cancer. Surg Oncol 18:15–24

    PubMed  Article  Google Scholar 

  11. Moertel CG, Fleming TR, Macdonald JS, Haller DG, Laurie JA, Tangen C (1993) An evaluation of the carcinoembryonic antigen (CEA) test for monitoring patients with resected colon cancer. JAMA 270:943–947

    PubMed  Article  CAS  Google Scholar 

  12. Yoshikawa R, Yanagi H, Shen CS, Fujiwara Y, Noda M, Yagyu T, Gega M, Oshima T, Yamamura T, Okamura H, et al (2006) ECA39 is a novel distant metastasis-related biomarker in colorectal cancer. World J Gastroenterol 12:5884–5889

    PubMed  CAS  Google Scholar 

  13. Yamada M, Ichikawa Y, Yamagishi S, Momiyama N, Ota M, Fujii S, Tanaka K, Togo S, Ohki S, Shimada H (2008) Amphiregulin is a promising prognostic marker for liver metastases of colorectal cancer. Clin Cancer Res 14:2351–2356

    PubMed  Article  CAS  Google Scholar 

  14. Kawahara A, Akagi Y, Hattori S, Mizobe T, Shirouzu K, Ono M, Yanagawa T, Kuwano M, Kage M (2009) Higher expression of deoxyuridine triphosphatase (dUTPase) may predict the metastasis potential of colorectal cancer. J Clin Pathol 62:364–369

    PubMed  Article  CAS  Google Scholar 

  15. Barderas R, Babel I, Casal JI (2010) Colorectal cancer proteomics, molecular characterization and biomarker discovery. Proteomics Clin Appl 4:159–178

    PubMed  Article  CAS  Google Scholar 

  16. Jimenez CR, Knol JC, Meijer GA, Fijneman RJ (2010) Proteomics of colorectal cancer: overview of discovery studies and identification of commonly identified cancer-associated proteins and candidate CRC serum markers. J Proteomics 73:1873–1895

    PubMed  Article  CAS  Google Scholar 

  17. Simpson RJ, Bernhard OK, Greening DW, Moritz RL (2008) Proteomics-driven cancer biomarker discovery: looking to the future. Curr Opin Chem Biol 12:72–77

    PubMed  Article  CAS  Google Scholar 

  18. Wu CC, Peng PH, Chang YT, Huang YS, Chang KP, Hao SP, Tsang NM, Yeh CT, Chang YS, Yu JS (2008) Identification of potential serum markers for nasopharyngeal carcinoma from a xenografted mouse model using Cy-dye labeling combined with three-dimensional fractionation. Proteomics 8:3605–3620

    PubMed  Article  CAS  Google Scholar 

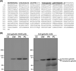
  19. Kwiatkowski DJ, Stossel TP, Orkin SH, Mole JE, Colten HR, Yin HL (1986) Plasma and cytoplasmic gelsolins are encoded by a single gene and contain a duplicated actin-binding domain. Nature 323:455–458

    PubMed  Article  CAS  Google Scholar 

  20. Yin HL (1987) Gelsolin: calcium- and polyphosphoinositide-regulated actin-modulating protein. Bioessays 7:176–179

    PubMed  Article  CAS  Google Scholar 

  21. Silacci P, Mazzolai L, Gauci C, Stergiopulos N, Yin HL, Hayoz D (2004) Gelsolin superfamily proteins: key regulators of cellular functions. Cell Mol Life Sci 61:2614–2623

    PubMed  Article  CAS  Google Scholar 

  22. Bucki R, Levental I, Kulakowska A, Janmey PA (2008) Plasma gelsolin: function, prognostic value, and potential therapeutic use. Curr Protein Pept Sci 9:541–551

    PubMed  Article  CAS  Google Scholar 

  23. Ware LB, Matthay MA (2000) The acute respiratory distress syndrome. N Engl J Med 342:1334–1349

    PubMed  Article  CAS  Google Scholar 

  24. Paunio T, Kiuru S, Karonen SL, Palo J, Peltonen L (1994) Quantification of serum and cerebrospinal fluid gelsolin in familial amyloidosis, Finnish type (AGel) Int. J Exp Clin Invest 1:80–89

    CAS  Google Scholar 

  25. Lofberg M, Paunio T, Tahtela R, Kiuru S, Somer H (1998) Serum gelsolin and rhabdomyolysis. J Neurol Sci 157:187–190

    PubMed  Article  CAS  Google Scholar 

  26. Kwiatkowski DJ, Mehl R, Izumo S, Nadal-Ginard B, Yin HL (1988) Muscle is the major source of plasma gelsolin. J Biol Chem 263:8239–8243

    PubMed  CAS  Google Scholar 

  27. Asch HL, Winston JS, Edge SB, Stomper PC, Asch BB (1999) Down-regulation of gelsolin expression in human breast ductal carcinoma in situ with and without invasion. Breast Cancer Res Treat 55:179–188

    PubMed  Article  CAS  Google Scholar 

  28. Visapaa H, Bui M, Huang Y, Seligson D, Tsai H, Pantuck A, Figlin R, Rao JY, Belldegrun A, Horvath S, et al (2003) Correlation of Ki-67 and gelsolin expression to clinical outcome in renal clear cell carcinoma. Urology 61:845–850

    PubMed  Article  Google Scholar 

  29. Noske A, Denkert C, Schober H, Sers C, Zhumabayeva B, Weichert W, Dietel M, Wiechen K (2005) Loss of Gelsolin expression in human ovarian carcinomas. Eur J Cancer 41:461–469

    PubMed  Article  CAS  Google Scholar 

  30. Tanaka M, Mullauer L, Ogiso Y, Fujita H, Moriya S, Furuuchi K, Harabayashi T, Shinohara N, Koyanagi T, Kuzumaki N (1995) Gelsolin: a candidate for suppressor of human bladder cancer. Cancer Res 55:3228–3232

    PubMed  CAS  Google Scholar 

  31. Yang J, Tan D, Asch HL, Swede H, Bepler G, Geradts J, Moysich KB (2004) Prognostic significance of gelsolin expression level and variability in non-small cell lung cancer. Lung Cancer 46:29–42

    PubMed  Article  Google Scholar 

  32. Liao CJ, Wu TI, Huang YH, Chang TC, Wang CS, Tsai MM, Hsu CY, Tsai MH, Lai CH, Lin KH (2011) Overexpression of gelsolin in human cervical carcinoma and its clinicopathological significance. Gynecol Oncol 120:135–144

    PubMed  Article  CAS  Google Scholar 

  33. Shieh DB, Chen IW, Wei TY, Shao CY, Chang HJ, Chung CH, Wong TY, Jin YT (2006) Tissue expression of gelsolin in oral carcinogenesis progression and its clinicopathological implications. Oral Oncol 42:599–606

    PubMed  Article  CAS  Google Scholar 

  34. Desch CE, Benson AB 3rd, Somerfield MR, Flynn PJ, Krause C, Loprinzi CL, Minsky BD, Pfister DG, Virgo KS, Petrelli NJ (2005) Colorectal cancer surveillance: 2005 update of an American Society of Clinical Oncology practice guideline. J Clin Oncol 23:8512–8519

    PubMed  Article  Google Scholar 

  35. Polanski M, Anderson NL (2007) A list of candidate cancer biomarkers for targeted proteomics. Biomark Insights 1:1–48

    PubMed  Google Scholar 

  36. Lind SE, Janmey PA (1984) Human plasma gelsolin binds to fibronectin. J Biol Chem 259:13262–13266

    PubMed  CAS  Google Scholar 

  37. Bohgaki M, Matsumoto M, Atsumi T, Kondo T, Yasuda S, Horita T, Nakayama KI, Okumura F, Hatakeyama S, Koike T (2011) Plasma gelsolin facilitates interaction between beta(2) glycoprotein I and alpha5beta1 integrin. J Cell Mol Med 15:141–151

    PubMed  Article  CAS  Google Scholar 

Download references

Acknowledgments

This work was supported by grants from the National Science Council of Taiwan, Republic of China (NSC96-2320-B-182-031-MY3 and 99-2923-B-182-002-MY2), the Ministry of Education, Taiwan, Republic of China (EMRPD190041), and Chang Gung University and Memorial Hospital, Taiwan, Republic of China (CMRPD160099 and CMRPD180033).

Disclosures/Conflicts of interest

None.

Author information

Affiliations

Authors

Corresponding authors

Correspondence to Ling-Ling Hsieh or Jau-Song Yu.

Electronic supplementary material

Below is the link to the electronic supplementary material.

Supporting information 1

One supplementary materials and methods file, four supplementary table files, and five supplementary figure files that support the presented data. Table S1. Clinicopathological characteristics of the 32 paired CRC plasma samples used in this study. Table S2. Comparative analysis of fluorescence intensity of the Cy-dye-labeled plasma proteins after multi-dimensional separation. Table S3. Summary of the secretory gelsolin levels determined by Western blot analysis and ELISA in the 32 paired CRC plasma samples used in this study. Table S4. Relationship between secretory gelsolin expression levels and clinicopathologic characteristics of the 148 CRC patients. Figure S1. Fractionation, visualization, and quantitative analysis of the Cy-dye labeled plasma proteins. Figure S2. Representative fluorimetric images of the protein bands containing each protein identified in experiments 1 and 2. Figure S3. Representative peptide mass fingerprints and matched peptides (from MALDI-TOF MS) and the MS/MS spectra of the two selected peptides (from MicrOTOF-Q MS) used for protein identification. Figure S4. Protein staining patterns of the 32 paired plasma samples. Figure S5. Establishment of a sandwich ELISA for secretory gelsolin. (PDF 1,538 kb)

Rights and permissions

Reprints and Permissions

About this article

Cite this article

Tsai, MH., Wu, CC., Peng, PH. et al. Identification of secretory gelsolin as a plasma biomarker associated with distant organ metastasis of colorectal cancer. J Mol Med 90, 187–200 (2012). https://doi.org/10.1007/s00109-011-0817-4

Download citation

  • Received:

  • Revised:

  • Accepted:

  • Published:

  • Issue Date:

  • DOI: https://doi.org/10.1007/s00109-011-0817-4

Keywords

  • Colorectal cancer
  • Metastasis
  • Secretory gelsolin
  • Plasma biomarker
  • Migration