Skip to main content

Diagnostik der koronaren Herzerkrankung mit Computer- und Magnetresonanztomographie

Cardiac computed tomography and magnetic resonance imaging in patients with coronary artery disease

Zusammenfassung

Bei symptomatischen Patienten wird die Indikation zur Koronarangiographie mittels Computertomographie (CT) dann gesehen, wenn eine stenosierende koronare Herzkrankheit (KHK) als Ursache der Beschwerden ausgeschlossen werden soll und der Patient eine mittlere Vortestwahrscheinlichkeit für eine KHK hat. Angemessen erscheint der Einsatz der CT-Koronarangiographie auch dann, wenn ein Belastungstest nicht eindeutig ausfiel, sodass der weitere therapeutische Weg nicht klar ist. Mitunter kann bei einem Patienten, der trotz hoher Wahrscheinlichkeit einer invasiv behandlungsbedürftigen KHK die eigentlich notwendige invasive Koronarangiographie ablehnt, durch das Ergebnis einer CT-Koronarangiographie die Bereitschaft zur invasiven Diagnostik gebahnt werden.

Die Indikation zur kardialen Magnetresonanztomographie (CMR) besteht in erster Linie, wenn eine pharmakologische Belastungsuntersuchung indiziert ist. Mit Dobutamin durchgeführt ist die CMR dann eine Alternative zur Echokardiographie, während die Adenosin-Perfusions-CMR die strahlenfreie Alternative zur Myokardszintigraphie darstellt. Die CMR-Spätaufnahme nach Kontrastmittelgabe stellt den Goldstandard für die Darstellung myokardialer Narben und die Vorhersage einer Erholung der myokardialen Funktion nach Revaskularisierung (Vitalitätsuntersuchung) dar.

Abstract

Coronary angiography by computed tomography (CTCA) is most suitable for symptomatic patients with an intermediate likelihood to exclude a coronary stenosis as the cause of the symptoms. It would also be appropriate in a patient in whom an equivoval stress test result has led to uncertainty about the patient’s further management. CTCA may occasionally be acceptable in a high risk symptomatic patient who refuses the necessary invasive coronary angiography if the results of CTCA are likely to alter patient management.

The main indication for cardiac magnetic resonance imaging (CMR) is for pharmacologic stress testing. If such a test is indicated, dobutamine stress CMR is an alternative to stress echocardiography and adenosine perfusion CMR is the alternative to nuclear myocardial perfusion imaging but without radiation. Late gadolinium enhancement CMR is the current gold standard for the assessment of myocardial scars and hence is well suited to predict recovery of function in dysfunctional myocardial regions following revascularisation (viability testing).

This is a preview of subscription content, access via your institution.

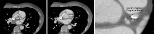
Abb. 1
Abb. 2
Abb. 3
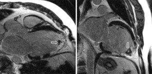
Abb. 4
Abb. 5
Abb. 6
Abb. 7
Abb. 8
Abb. 9
Abb. 10

Literatur

  1. Abbara S, Arbab-Zadeh A, Callister TQ et al. (2009) SCCT guidelines for performance of coronary computed tomographic angiography: a report of the Society of Cardiovascular Computed Tomography Guidelines Committee. J Cardiovasc Comput Tomogr 3: 190–204

    Article  PubMed  Google Scholar 

  2. Barbier CE, Bjerner T, Johansson L et al. (2006) Myocardial scars more frequent than expected: magnetic resonance imaging detects potential risk group. J Am Coll Cardiol 48: 765–771

    Article  PubMed  Google Scholar 

  3. Bastarrika G, Lee YS, Huda W et al. (2009) CT of coronary artery disease. Radiology 253: 317–338

    Article  PubMed  Google Scholar 

  4. Brenner DJ, Hall EJ (2007) Computed tomography – an increasing source of radiation exposure. N Engl J Med 357: 2277–2284

    Article  CAS  PubMed  Google Scholar 

  5. Costa MA, Shoemaker S, Futamatsu H et al. (2007) Quantitative magnetic resonance perfusion imaging detects anatomic and physiologic coronary artery disease as measured by coronary angiography and fractional flow reserve. J Am Coll Cardiol 50: 514–522

    Article  PubMed  Google Scholar 

  6. Flohr TG, McCollough CH, Bruder H et al. (2006) First performance evaluation of a dual-source CT (DSCT) system. Eur Radiol 16: 256–268

    Article  PubMed  Google Scholar 

  7. George RT, Arbab-Zadeh A, Miller JM et al. (2009) Adenosine stress 64- and 256-row detector computed tomography angiography and perfusion imaging: a pilot study evaluating the transmural extent of perfusion abnormalities to predict atherosclerosis causing myocardial ischemia. Circ Cardiovasc Imaging 2: 174–182

    Article  PubMed  Google Scholar 

  8. Gibbons RJ, Abrams J, Chatterjee K et al.; American College of Cardiology; American Heart Association Task Force on Practice Guidelines, Committee on the Management of Patients With Chronic Stable Angina (2003) ACC/AHA 2002 guideline update for the management of patients with chronic stable angina – summary article: a report of the American College of Cardiology/American Heart Association Task Force on Practice Guidelines (Committee on the Management of Patients With Chronic Stable Angina). Circulation 107: 149–158

    Article  PubMed  Google Scholar 

  9. George RT, Arbab-Zadeh A, Miller JM (2009) Adenosine stress 64- and 256-row detector computed tomography angiography and perfusion imaging: a pilot study evaluating the transmural extent of perfusion abnormalities to predict atherosclerosis causing myocardial ischemia. Circ Cardiovasc Imaging 2: 174–182

    Article  PubMed  Google Scholar 

  10. Greenland P, Bonow RO, Brundage BH et al.; American College of Cardiology Foundation Clinical Expert Consensus Task Force (ACCF/AHA Writing Committee to Update the 2000 Expert Consensus Document on Electron Beam Computed Tomography); Society of Atherosclerosis Imaging and Prevention; Society of Cardiovascular Computed Tomography (2007) ACCF/AHA 2007 clinical expert consensus document on coronary artery calcium scoring by computed tomography in global cardiovascular risk assessment and in evaluation of patients with chest pain: a report of the American College of Cardiology Foundation Clinical Expert Consensus Task Force (ACCF/AHA Writing Committee to Update the 2000 Expert Consensus Document on Electron Beam Computed Tomography) developed in collaboration with the Society of Atherosclerosis Imaging and Prevention and the Society of Cardiovascular Computed Tomography. J Am Coll Cardiol 49: 378–402

    Article  PubMed  Google Scholar 

  11. Halpern EJ (2009) Triple-rule-out CT angiography for evaluation of acute chest pain and possible acute coronary syndrome. Radiology 252: 332–345

    Article  PubMed  Google Scholar 

  12. Hausleiter J, Meyer T, Hermann F et al. (2009) Estimated radiation dose associated with cardiac CT angiography. JAMA 301: 500–507

    Article  CAS  PubMed  Google Scholar 

  13. Hendel RC, Patel MR, Kramer CM et al.; American College of Cardiology Foundation Quality Strategic Directions Committee Appropriateness Criteria Working Group; American College of Radiology; Society of Cardiovascular Computed Tomography; Society for Cardiovascular Magnetic Resonance; American Society of Nuclear Cardiology; North American Society for Cardiac Imaging; Society for Cardiovascular Angiography and Interventions; Society of Interventional Radiology (2006) ACCF/ACR/SCCT/SCMR/ASNC/NASCI/SCAI/SIR 2006 appropriateness criteria for cardiac computed tomography and cardiac magnetic resonance imaging: a report of the American College of Cardiology Foundation Quality Strategic Directions Committee Appropriateness Criteria Working Group, American College of Radiology, Society of Cardiovascular Computed Tomography, Society for Cardiovascular Magnetic Resonance, American Society of Nuclear Cardiology, North American Society for Cardiac Imaging, Society for Cardiovascular Angiography and Interventions, and Society of Interventional Radiology. J Am Coll Cardiol 48: 1475–1497

    Article  PubMed  Google Scholar 

  14. Jahnke C, Nagel E, Gebker R et al. (2007) Prognostic value of cardiac magnetic resonance stress tests: adenosine stress perfusion and dobutamine stress wall motion imaging. Circulation 115: 1769–1776

    Article  PubMed  Google Scholar 

  15. Klem I, Greulich S, Heitner JF (2008) Value of cardiovascular magnetic resonance stress perfusion testing for the detection of coronary artery disease in women. JACC Cardiovasc Imaging 1: 436–445

    Article  PubMed  Google Scholar 

  16. Kim KP, Einstein AJ, Berrington González A de (2009) Coronary artery calcification screening: estimated radiation dose and cancer risk. Arch Intern Med 169: 1188–1194

    Article  PubMed  Google Scholar 

  17. Kim RJ, Wu E, Rafael A et al. (2000) The use of contrast-enhanced magnetic resonance imaging to identify reversible myocardial dysfunction. N Engl J Med 343: 1445–1453

    Article  CAS  PubMed  Google Scholar 

  18. Kwong RY, Chan AK, Brown KA et al. (2006) Impact of unrecognized myocardial scar detected by cardiac magnetic resonance imaging on event-free survival in patients presenting with signs or symptoms of coronary artery disease. Circulation 113: 2733–2743

    Article  PubMed  Google Scholar 

  19. Kwong RY, Schussheim AE, Rekhraj S et al. (2003) Detecting acute coronary syndrome in the emergency department with cardiac magnetic resonance imaging. Circulation 107: 531–537

    Article  PubMed  Google Scholar 

  20. Maruyama T, Takada M, Hasuike T et al. (2008) Radiation dose reduction and coronary assessability of prospective electrocardiogram-gated computed tomography coronary angiography: comparison with retrospective electrocardiogram-gated helical scan. J Am Coll Cardiol 52: 1450–1455

    Article  PubMed  Google Scholar 

  21. Meijboom WB, Meijs MF, Schuijf JD et al. (2008) Diagnostic accuracy of 64-slice computed tomography coronary angiography: a prospective, multicenter, multivendor study. J Am Coll Cardiol 52: 2135–2144

    Article  PubMed  Google Scholar 

  22. Miller JM, Rochitte CE, Dewey M et al. (2008) Diagnostic performance of coronary angiography by 64-row CT. N Engl J Med 359: 2324–2336

    Article  CAS  PubMed  Google Scholar 

  23. Ong P, Athanasiadis A, Hill S et al. (2008) Coronary artery spasm as a frequent cause of acute coronary syndrome: The CASPAR (Coronary Artery Spasm in Patients With Acute Coronary Syndrome) Study. J Am Coll Cardiol 52: 523–527

    Article  PubMed  Google Scholar 

  24. Ostrom MP, Gopal A, Ahmadi N et al. (2008) Mortality incidence and the severity of coronary atherosclerosis assessed by computed tomography angiography. J Am Coll Cardiol 52: 1335–1343

    Article  PubMed  Google Scholar 

  25. Pennell DJ, Sechtem UP, Higgins CB et al.; Society for Cardiovascular Magnetic Resonance; Working Group on Cardiovascular Magnetic Resonance of the European Society of Cardiology (2004) Clinical indications for cardiovascular magnetic resonance (CMR): consensus panel report. Eur Heart J 25: 1940–1965

    Article  PubMed  Google Scholar 

  26. Redberg RF, Walsh J (2008) Pay now, benefits may follow – the case of cardiac computed tomographic angiography. N Engl J Med 359: 2309–2311

    Article  CAS  PubMed  Google Scholar 

  27. Ricciardi MJ, Wu E, Davidson CJ et al. (2001) Visualization of discrete microinfarction after percutaneous coronary intervention associated with mild creatine kinase-MB elevation. Circulation 103: 2780–2783

    Article  CAS  PubMed  Google Scholar 

  28. Tonino PA, De Bruyne B, Pijls NH et al.; FAME Study Investigators (2009) Fractional flow reserve versus angiography for guiding percutaneous coronary intervention. N Engl J Med 360: 213–224

    Article  CAS  PubMed  Google Scholar 

  29. Weinsaft JW, Kim HW, Shah DJ et al. (2008) Detection of left ventricular thrombus by delayed-enhancement cardiovascular magnetic resonance prevalence and markers in patients with systolic dysfunction. J Am Coll Cardiol 52: 148–157

    Article  PubMed  Google Scholar 

  30. Yan AT, Shayne AJ, Brown KA et al. (2006) Characterization of the peri-infarct zone by contrast-enhanced cardiac magnetic resonance imaging is a powerful predictor of post-myocardial infarction mortality. Circulation 114: 32–39

    Article  PubMed  Google Scholar 

  31. Yang Q, Li K, Liu X et al. (2009) Contrast-enhanced whole-heart coronary magnetic resonance angiography at 3.0-T: a comparative study with X-ray angiography in a single center. J Am Coll Cardiol 54: 69–76

    Article  PubMed  Google Scholar 

  32. Yilmaz A, Sechtem U (2009) Risikoprädiktion durch die kardiale Magnetresonanztomographie. Dtsch Med Wochenschr 134: 2008-2012

    Article  CAS  PubMed  Google Scholar 

Download references

Author information

Affiliations

Authors

Corresponding author

Correspondence to U. Sechtem.

Rights and permissions

Reprints and Permissions

About this article

Cite this article

Sechtem, U., Geissler, A., Athanasiadis, A. et al. Diagnostik der koronaren Herzerkrankung mit Computer- und Magnetresonanztomographie. Internist 51, 625–640 (2010). https://doi.org/10.1007/s00108-010-2585-6

Download citation

  • Published:

  • Issue Date:

  • DOI: https://doi.org/10.1007/s00108-010-2585-6

Schlüsselwörter

  • Computertomographie
  • Koronararterien
  • CT-Angiographie
  • Myokardperfusion
  • Kardiale Magnetresonanztomographie

Keywords

  • Computed tomography
  • Coronary arteries
  • CT angiography
  • Myocardial perfusion
  • Cardiovascular magnetic resonance