Skip to main content

32-jähriger Patient mit Durchfall und akutem Nierenversagen

A 32-year-old patient with diarrhoe and acute kidney failure

Zusammenfassung

Ein 32-jähriger Patient stellte sich aufgrund von akutem Brechdurchfall in unserem Klinikum vor. Leichtere Durchfälle, gelegentlich auch mit Blutbeimengungen bestanden bereits seit mehreren Jahren. Zum Zeitpunkt der Vorstellung war der Patient außerdem anurisch. Nach Ausschluss eines prä- und postrenalen Nierenversagens erfolgte eine Nierenbiopsie. Die histologische Aufarbeitung der Nierenbiopsie zeigte Veränderungen, die auf ein hämolytisch-urämisches Syndrom hinweisen. Für eine Glomerulonephritis im Rahmen einer Vaskulitis gab es keinen Anhalt. Als Ursache für den Durchfall und die Erregereintrittspforte ist bei typischer Bildgebung auch ohne histologischen Nachweis ein M. Crohn anzusehen. Wir berichteten damit erstmals von einem hämolytisch-urämischen Syndrom als Erstmanifestation eines M. Crohn.

Abstract

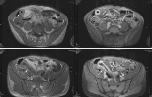
A 32-year-old male patient presented in the emergency department of our hospital with acute vomiting and diarrhoe. He reported occasional non-severe diarrhoe over several years in the past. Furthermore, at the time of presentation the patient had had anuria for several days. A prerenal and postrenal origin of the renal failure was excluded. A renal biopsy was performed and histopathological examination displayed findings consistent with a haemolytic-uraemic syndrome but no signs of glomerulonephritis. MRI examination of the small bowel revealed inflammatory alterations typical for Crohn’s disease, even without histological verification. We describe haemolytic-waemic syndrom as manifestation of Crohn’s disease for the first time.

This is a preview of subscription content, access via your institution.

Abb. 1

Literatur

  1. Allford SL, Hunt BJ, Rose P, Machin SJ (2003) Guidelines on the diagnosis and management of the thrombotic microangiopathic haemolytic anaemias. Br J Haematol 120: 556–573

    Article  PubMed  Google Scholar 

  2. Clutterbuck EJ, Evans DJ, Pusey CD (1990) Renal involvement in Churg-Strauss syndrome. Nephrol Dial Transplant 5: 161–167

    PubMed  Google Scholar 

  3. Furlan M, Lammle B (2001) Aetiology and pathogenesis of thrombotic thrombocytopenic purpura and haemolytic uraemic syndrome: the role of von Willebrand factor-cleaving protease. Best Pract Res Clin Haematol 14: 437–454

    Article  PubMed  Google Scholar 

  4. Peraldi MN, Akposso K, Haymann JP et al. (1997) Haemolytic-uraemic syndrome in patients with Crohn’s disease. Nephrol Dial Transplant 12: 2744–2745

    Article  PubMed  Google Scholar 

  5. Remuzzi G (1987) HUS and TTP: variable expression of a single entity. Kidney Int 32: 292–308

    PubMed  Google Scholar 

  6. Remuzzi G, Ruggenenti P (1995) The hemolytic uremic syndrome. Kidney Int 48: 2–19

    PubMed  Google Scholar 

  7. Rooney N, Variend S, Taitz LS (1988) Haemolytic uraemic syndrome and pseudomembranous colitis. Pediatr Nephrol 2: 415–418

    Article  PubMed  Google Scholar 

  8. Ruggenenti P, Noris M, Remuzzi G (2001) Thrombotic microangiopathy, hemolytic uremic syndrome, and thrombotic thrombocytopenic purpura. Kidney Int 60: 831–846

    Article  PubMed  Google Scholar 

  9. Tsai HM (2003) Advances in the pathogenesis, diagnosis, and treatment of thrombotic thrombocytopenic purpura. J Am Soc Nephrol 14: 1072–1081

    Article  PubMed  Google Scholar 

Download references

Interessenkonflikt

Es besteht kein Interessenkonflikt. Der korrespondierende Autor versichert, dass keine Verbindungen mit einer Firma, deren Produkt in dem Artikel genannt ist, oder einer Firma, die ein Konkurrenzprodukt vertreibt, bestehen. Die Präsentation des Themas ist unabhängig und die Darstellung der Inhalte produktneutral.

Author information

Affiliations

Authors

Corresponding author

Correspondence to A. Hoffmeister.

Rights and permissions

Reprints and Permissions

About this article

Cite this article

Hoffmeister, A., Wittenburg, H., Teich, N. et al. 32-jähriger Patient mit Durchfall und akutem Nierenversagen. Internist 47, 1063–1067 (2006). https://doi.org/10.1007/s00108-006-1705-9

Download citation

  • Issue Date:

  • DOI: https://doi.org/10.1007/s00108-006-1705-9

Schlüsselwörter

  • Durchfall
  • Morbus Crohn
  • Hämolytisch-urämisches Syndrom
  • Akutes Nierenversagen
  • Anurie

Keywords

  • Diarrhoe
  • Crohn’s disease
  • Haemolytic-uraemic syndrome
  • Acute renal failure
  • Anuria