Skip to main content

Leukozytoklastische Vaskulitis

Leukocytoclastic vasculitis

Zusammenfassung

Die leukozytoklastische Vaskulitis (LcV) stellt die häufigste Form der Vaskulitis an der Haut dar. Sie ist meist durch die Ablagerung von Immunkomplexen an der Gefäßwand bedingt. Wenn primär IgA im Immunkomplex gebunden ist, liegt oft eine systemische Beteiligung im Sinne einer Purpura Schönlein-Henoch vor. Wenn sie im Erwachsenenalter auftritt, sind schwere Komplikationen häufiger. Vaskulitiden, bei denen eher IgG oder IgM als IgA involviert sind, zeigen klinisch häufiger nur einen kutanen Befall oder auch eine milde Systembeteiligung. Bei anderen Formen der LcV sind außer den immunkomplexbedingten Entzündungsreaktionen weitere Faktoren pathophysiologisch wirksam. Die LcV kann außerdem ein initiales oder begleitendes Symptom der schweren systemischen, ANCA-assoziierten Vaskulitiden sein. In manchen Fällen ist sie Ausdruck einer Bakteriämie. Die Diagnostik dient dazu, die genaue Form der LcV und damit das Ausmaß einer systemischen Beteiligung abzuklären sowie mögliche Ursachen aufzudecken. Wenn kein Auslöser beseitigt werden kann, sollte man unkomplizierte Formen der LcV symptomatisch behandeln. Kortikosteroide sind indiziert wenn sich Nekrosen und Ulzerationen ankündigen. Bei chronisch rezidivierender LcV bietet sich der Einsatz von Dapson und Colchizin an. Bei schwerer systemischer Vaskulitis werden immunsuppressive Strategien verfolgt.

Abstract

Leukocytoclastic vasculitis (LcV) is the most common form of cutaneous vasculitis. Often LcV results from deposition of immune complexes in the vascular wall. When IgA is the dominant immunoglobulin in these complexes, systemic involvement is likely (Henoch-Schönlein purpura), being more severe in adults. LcV in which immune complexes are composed of IgG or IgM are more often limited to the skin and may additionally show minor systemic involvement. In other forms of LcV additional pathophysiological factors play a role. LcV can also be a presenting or accompanying symptom of severe systemic ANCA-associated vasculitis. In some cases, LcV is a sign of bacteriemia. The aim of diagnostic procedures is to determine the specific type of vasculitis and degree of systemic involvement as well as possible causes. If no trigger or cause can be found, uncomplicated cases of LcV should be treated symptomatically. Corticosteroids are indicated at initial signs of necrosis or ulceration. Chronic recurrent LcV may respond to dapsone or colchicine. Severe systemic vasculitis requires immunosuppressive therapy.

This is a preview of subscription content, access via your institution.

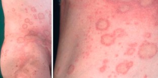
Abb. 1
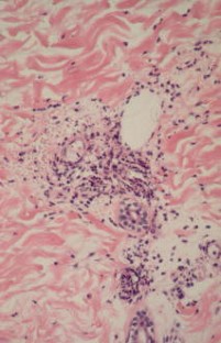
Abb. 2
Abb. 3
Abb. 4
Abb. 5
Abb. 6
Abb. 7
Abb. 8
Abb. 9
Abb. 10
Abb. 11
Abb. 12
Abb. 13a,b

Literatur

  1. Baumgartel MW, Sunderkötter C, Glockner WM, Kolde G (1994) Essential cryofibrinogenemia with generalized livedo racemosa. Hautarzt 45:243–248

    Article  CAS  PubMed  Google Scholar 

  2. Belmont HM, Abramson SB, Lie JT (1996) Pathology and pathogenesis of vascular injury in systemic lupus erythematosus. Interactions of inflammatory cells and activated endothelium. Arthritis Rheum 39:9–22

    CAS  PubMed  Google Scholar 

  3. Blanco R, Martinez-Taboada VM, Rodriguez-Valverde V, Garcia-Fuentes M (1998) Cutaneous vasculitis in children and adults. Associated diseases and etiologic factors in 303 patients. Medicine (Baltimore) 77:403–418

    Google Scholar 

  4. Blanco R, Martinez-Taboada VM, Rodriguez-Valverde V et al. (1997) Henoch-Schonlein purpura in adulthood and childhood: two different expressions of the same syndrome. Arthritis Rheum 40:859–864

    CAS  PubMed  Google Scholar 

  5. Braverman IM, Yen A (1975) Demonstration of immune complexes in spontaneous and histamine-induced lesions and in normal skin of patients with leukocytoclastic angitis. J Invest Dermatol 64:105–112

    CAS  PubMed  Google Scholar 

  6. Calabrese LH, Duna GF (1996) Drug-induced vasculitis. Curr Opin Rheumatol 8:34–40

    CAS  PubMed  Google Scholar 

  7. Calabrese LH, Michel BA, Bloch DA et al. (1990) The American College of Rheumatology 1990 criteria for the classification of hypersensitivity vasculitis. Arthritis Rheum 33:1108–1113

    CAS  PubMed  Google Scholar 

  8. Cassidy JT, Petty RE (1995) Textbook of pediatric rheumatology, 3rd edn. WB Saunders Co.

  9. Cioc AM, Sedmak DD, Nuovo GJ et al. (2002) Parvovirus B19 associated adult Henoch Schonlein purpura. J Cutan Pathol 29:602–607

    Article  PubMed  Google Scholar 

  10. Clauss M, Sunderkötter C, Sveinbjornsson B et al. (2001) A permissive role for tumor necrosis factor in vascular endothelial growth factor-induced vascular permeability. Blood 97:1321–1329

    Article  CAS  PubMed  Google Scholar 

  11. Colakovski H, Lorber DL (2001) Propylthiouracil-induced perinuclear-staining antineutrophil cytoplasmic autoantibody-positive vasculitis in conjunction with pericarditis. Endocr Pract 7:37–39

    CAS  PubMed  Google Scholar 

  12. Costner MI, Sontheimer RD, Provost T (2004) Lupus erythematosus. In: Sontheimer RG, Provost T (eds) Cutaneous manifestations of rheumatic diseases, 2nd edn. Williams & Wilkins Co., Philadelphia, pp 15–64

  13. Daoud MS, Gibson LE, DeRemee RA et al. (1994) Cutaneous Wegener’s granulomatosis: clinical, histopathologic, and immunopathologic features of thirty patients. J Am Acad Dermatol 31:605–612

    CAS  PubMed  Google Scholar 

  14. Davis MD, Daoud MS, Kirby B et al. (1998) Clinicopathologic correlation of hypocomplementemic and normocomplementemic urticarial vasculitis. J Am Acad Dermatol 38:899–905

    CAS  PubMed  Google Scholar 

  15. Fiorentino DF (2003) Cutaneous vasculitis. J Am Acad Dermatol 48:311–340

    Article  PubMed  Google Scholar 

  16. Garcia-Porrua C, Calvino MC, Llorca J et al. (2002) Henoch-Schonlein purpura in children and adults: clinical differences in a defined population. Semin Arthritis Rheum 32:149–156

    Article  PubMed  Google Scholar 

  17. Goldstein AR, White RH, Akuse R, Chantler C (1992) Long-term follow-up of childhood Henoch-Schonlein nephritis. Lancet 339:280–282

    Article  CAS  PubMed  Google Scholar 

  18. Goraya JS, Kaur S (2002) Acute infantile hemorrhagic edema and Henoch-Schonlein purpura: is IgA the missing link? J Am Acad Dermatol 47:801; author reply 801–802

    Article  PubMed  Google Scholar 

  19. Groger M, Sarmay G, Fiebiger E et al. (1996) Dermal microvascular endothelial cells express CD32 receptors in vivo and in vitro. J Immunol 156:1549–1556

    CAS  PubMed  Google Scholar 

  20. Hene RJ, Velthuis P, van de Wiel A et al. (1986) The relevance of IgA deposits in vessel walls of clinically normal skin. A prospective study. Arch Intern Med 146:745–749

    Article  CAS  PubMed  Google Scholar 

  21. Hunder GG, Arend WP, Bloch DA et al. (1990) The American College of Rheumatology 1990 criteria for the classification of vasculitis. Introduction. Arthritis Rheum 33:1065–1067

    CAS  PubMed  Google Scholar 

  22. Jennette JC, Falk RJ, Andrassy K et al. (1994) Nomenclature of systemic vasculitides. Proposal of an international consensus conference. Arthritis Rheum 37:187–192

    CAS  PubMed  Google Scholar 

  23. Jessop SJ (1995) Cutaneous leucocytoclastic vasculitis: a clinical and aetiological study. Br J Rheumatol 34:942–945

    CAS  PubMed  Google Scholar 

  24. Julian BA, Waldo FB, Rifai A, Mestecky J (1988) IgA nephropathy, the most common glomerulonephritis worldwide. A neglected disease in the United States? Am J Med 84:129–132

    Article  CAS  Google Scholar 

  25. Lentsch AB, Ward PA (2000) Regulation of inflammatory vascular damage. J Pathol 190:343–348

    Article  CAS  PubMed  Google Scholar 

  26. Levy M, Broyer M, Arsan A et al. (1976) Anaphylactoid purpura nephritis in childhood: natural history and immunopathology. Adv Nephrol Necker Hosp 6:183–228

    CAS  PubMed  Google Scholar 

  27. Lotti T, Ghersetich I, Comacchi C, Jorizzo JL (1998) Cutaneous small-vessel vasculitis. J Am Acad Dermatol 39:667–687; quiz 688–690

    CAS  PubMed  Google Scholar 

  28. Mannik M (1989) Development of immune complexes in the skin. J Invest Dermatol 93:73S–77S

    CAS  PubMed  Google Scholar 

  29. Mehregan DR, Hall MJ, Gibson LE (1992) Urticarial vasculitis: a histopathologic and clinical review of 72 cases. J Am Acad Dermatol 26:441–448

    CAS  PubMed  Google Scholar 

  30. Michel BA, Hunder GG, Bloch DA, Calabrese LH (1992) Hypersensitivity vasculitis and Henoch-Schonlein purpura: a comparison between the 2 disorders. J Rheumatol 19:721–728

    CAS  PubMed  Google Scholar 

  31. Mills JA, Michel BA, Bloch DA et al. (1990) The American College of Rheumatology 1990 criteria for the classification of Henoch-Schonlein purpura. Arthritis Rheum 33:1114–1121

    CAS  PubMed  Google Scholar 

  32. Nashan D, Sunderkötter C, Bonsmann G et al. (1995) Chronic urticaria, arthralgia, raised erythrocyte sedimentation rate and IgG paraproteinaemia: a variant of Schnitzler’s syndrome? Br J Dermatol 133:132–134

    CAS  PubMed  Google Scholar 

  33. Piette W (2004) Primary systemic vasculitis. In: Sontheimer RD, Provost T (eds) Cutaneous manifestations of rheumatic diseases, 2nd edn. Williams & Wilkins Co., Philadelphia, pp 159–196

  34. Piette WW (1997) What is Schonlein-Henoch purpura, and why should we care? Arch Dermatol 133:515–518

    Article  CAS  PubMed  Google Scholar 

  35. Pillebout E, Thervet E, Hill G et al. (2002) Henoch-Schonlein Purpura in adults: outcome and prognostic factors. J Am Soc Nephrol 13:1271–1278

    PubMed  Google Scholar 

  36. Pozzi C, Bolasco PG, Fogazzi GB et al. (1999) Corticosteroids in IgA nephropathy: a randomised controlled trial. Lancet 353:883–887

    Article  CAS  PubMed  Google Scholar 

  37. Sais G, Vidaller A, Jucgla A et al. (1995) Colchicine in the treatment of cutaneous leukocytoclastic vasculitis. Results of a prospective, randomized controlled trial. Arch Dermatol 131:1399–1402

    Article  CAS  PubMed  Google Scholar 

  38. Sais G, Vidaller A, Jucgla A et al. (1998) Prognostic factors in leukocytoclastic vasculitis: a clinicopathologic study of 160 patients. Arch Dermatol 134:309–315

    Article  CAS  PubMed  Google Scholar 

  39. Saulsbury FT (1999) Henoch-Schonlein purpura in children. Report of 100 patients and review of the literature. Medicine (Baltimore) 78:395–409

  40. Schifferli JA (1996) Complement and immune complexes. Res Immunol 147:109–110

    Article  CAS  PubMed  Google Scholar 

  41. Schifferli JA, Ng YC, Peters DK (1986) The role of complement and its receptor in the elimination of immune complexes. N Engl J Med 315:488–495

    CAS  PubMed  Google Scholar 

  42. Somer T, Finegold SM (1995) Vasculitides associated with infections, immunization, and antimicrobial drugs. Clin Infect Dis 20:1010–1036

    CAS  PubMed  Google Scholar 

  43. Sunderkötter C, Kolde G (in press) Cutaneous vasculitis. In: Bos J (ed) Skin Immune System (SIS). Cutaneous immunology and clinical immunodermatology, 3rd edn. CRC Press, Boca Raton New York

  44. Sunderkötter C, Bonsmann G, Roth J (in press) Vaskulitiden, Vaskulopathien, Pannikulitiden und Differentialdiagnose. In: Traupe H, Hamm H (eds) Pädiatrische Dermatologie, 2nd edn. Springer, Berlin Heidelberg New York Tokyo

  45. Sunderkötter C, Seeliger S, Schonlau F et al. (2001) Different pathways leading to cutaneous leukocytoclastic vasculitis in mice. Exp Dermatol 10:391–404

    Article  PubMed  Google Scholar 

  46. Swerlick RA, Lawley TJ (1989) Cutaneous vasculitis: its relationship to systemic disease. Med Clin North Am 73:1221–1235

    CAS  PubMed  Google Scholar 

  47. Tancrede-Bohin E, Ochonisky S, Vignon-Pennamen MD et al. (1997) Schonlein-Henoch purpura in adult patients. Predictive factors for IgA glomerulonephritis in a retrospective study of 57 cases. Arch Dermatol 133:438–442

    Article  CAS  PubMed  Google Scholar 

  48. ten Holder S M, Joy MS, Falk RJ (2002) Cutaneous and systemic manifestations of drug-induced vasculitis. Ann Pharmacother 36:130–147

    Article  PubMed  Google Scholar 

  49. Trejo O, Ramos-Casals M, Garcia-Carrasco M et al. (2001) Cryoglobulinemia: study of etiologic factors and clinical and immunologic features in 443 patients from a single center. Medicine (Baltimore) 80:252–262

    Google Scholar 

  50. Van Hale HM, Gibson LE, Schroeter AL (1986) Henoch-Schonlein vasculitis: direct immunofluorescence study of uninvolved skin. J Am Acad Dermatol 15:665–670

    PubMed  Google Scholar 

  51. Wilkinson SM, English JS, Smith NP et al. (1992) Erythema elevatum diutinum: a clinicopathological study. Clin Exp Dermatol 17:87–93

    CAS  PubMed  Google Scholar 

  52. Wisnieski JJ (2000) Urticarial vasculitis. Curr Opin Rheumatol 12:24–31

    Article  CAS  PubMed  Google Scholar 

  53. Zaja F, De Vita S, Mazzaro C et al. (2003) Efficacy and safety of rituximab in type II mixed cryoglobulinemia. Blood 101:3827–3834

    Article  CAS  PubMed  Google Scholar 

Download references

Danksagung

Die Abbildungen wurden freundlicherweise überlassen vom Fotolabor der Klinik und Poliklinik für Dermatologie des Universitätsklinikums Münster (wir danken Frau J. Bückmann, Herrn P. Wissel und Herrn Prof. Dr. T. Luger). Für die Hilfe bei der grafischen Gestaltung danken wir außerdem dem Fotolabor der Klinik für Dermatologie und Allergologie des Universitätsklinikums Ulm (Frau M. Mössner-Strohm, Herrn S. Reihle und Frau Prof. Dr. K. Scharffetter-Kochanek).

Interessenkonflikt:

Der korrespondierende Autor versichert, dass keine Verbindungen mit einer Firma, deren Produkt in dem Artikel genannt ist, oder einer Firma, die ein Konkurrenzprodukt vertreibt, bestehen.

Author information

Affiliations

Authors

Corresponding author

Correspondence to C. Sunderkötter.

Rights and permissions

Reprints and Permissions

About this article

Cite this article

Sunderkötter, C., Roth, J. & Bonsmann, G. Leukozytoklastische Vaskulitis. Hautarzt 55, 759–785 (2004). https://doi.org/10.1007/s00105-004-0760-1

Download citation

  • Issue Date:

  • DOI: https://doi.org/10.1007/s00105-004-0760-1

Schlüsselwörter

  • Leukozytoklastische Vaskulitis
  • Immunkomplexe
  • Purpura Schönlein-Henoch
  • Hypersensitivitätsvaskulitis
  • ANCA

Keywords

  • Leukocytoclastic vasculitis, purpura
  • Immune complex
  • Henoch-Schönlein purpura
  • Hypersensitivity vasculitis
  • ANCA