Skip to main content

IgA-Pemphigus

Erfolgreiche Behandlung mit Mycophenolat mofetil

IgA pemphigus

Successful treatment with mycophenolate mofetil

Zusammenfassung

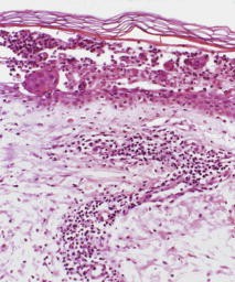
Der IgA-Pemphigus ist eine seltene, intraepidermale Autoimmundermatose, die durch interzelluläre IgA-Ablagerungen, intraepidermale Akantholyse mit Neutrophileninfiltration und zirkulierenden IgA-Autoantikörpern gegen Oberflächenstrukturen der Keratinozyten gekennzeichnet ist. Wir berichten zum 1. Mal über einen Patienten mit einem aggressiv verlaufenden IgA-Pemphigus, bei dem eine Behandlung mit Mycophenolat mofetil zur Rückbildung der Hautveränderungen bei stabilem Krankheitsverlauf führte.

Abstract

IgA pemphigus is a rare intraepidermal autoimmune disease characterized by the presence of intercellular IgA deposits, intraepidermal acantholysis with infiltration of neutrophils, and circulating IgA autoantibodies against keratinocyte cell surface components. We report for the first time about a patient with IgA pemphigus who was successfully treated with mycophenolate mofetil.

This is a preview of subscription content, access via your institution.

Abb. 1
Abb. 2

Literatur

  1. Bohm M, Beissert S, Schwarz T et al. (1997) Bullous pemphigoid treated with mycophenolate mofetil. Lancet 22:349–541

    Google Scholar 

  2. Borradori L, Saada V, Rybojad M et al. (1992) Oral intraepidermal IgA pustulosis and Crohn’s disease. Br J Dermatol 126:383–386

    CAS  PubMed  Google Scholar 

  3. Daoud MS, Lust JA, Kyle RA, Pittelkow MR (1999) Monoclonal gammopathies and associated skin disorders. J Am Acad Dermatol 40:507–535

    CAS  PubMed  Google Scholar 

  4. Ebihara T, Hashimoto T, Iwatsuki K et al. (1991) Autoantigens for IgA anti-intercellular antibodies of intercellular IgA vesiculopustular dermatosis. J Invest Dermatol 97:742–745

    Google Scholar 

  5. Elser I, Selimovic D, Ruzicka T et al. (2003) Mycophenolatmofetil als effektive Therapieoption bei vernarbendem Pemphigoid. Hautarzt 10:981–984

    Article  Google Scholar 

  6. Enk AH, Knop J (1997) Treatment of pemphigus vulgaris with mycophenolate mofetil. Lancet 350:494

    CAS  PubMed  Google Scholar 

  7. Gniadecki R, Bygum A, Clemmensen O et al. (2002) IgA pemphigus: the first two Scandinavian cases. Acta Derm Venereol 82:441–445

    Article  CAS  PubMed  Google Scholar 

  8. Groth CG (1996) The European experience with mycophenolate mofetil. European Mycophenolate Mofetil Cooperative Study Group. Transplant Proc 28:30–33

    CAS  PubMed  Google Scholar 

  9. Gruss C, Zillikens D, Hashimoto T et al. (2000) Rapid response of IgA pemphigus of subcorneal pustular dermatosis type to treatment with isotretinoin. J Am Acad Dermatol 43:923–926

    Article  CAS  PubMed  Google Scholar 

  10. Hashimoto T (2001) Immunopathology of IgA pemphigus. Clin Dermatol 19:683–689

    Article  CAS  PubMed  Google Scholar 

  11. Hashimoto T, Kiyokawa C, Mori O et al. (1997) Human desmocollin 1 (Dsc1) is an autoantigen for the subcorneal pustular dermatosis type of IgA pemphigus. J Invest Dermatol 109:127–131

    Google Scholar 

  12. Hodak E, Lapidoth M, David M (1999) Effect of colchicine in the subcorneal pustular dermatosis type of IgA pemphigus. J Am Acad Dermatol 40:91–94

    CAS  PubMed  Google Scholar 

  13. Karpati S, Amagai M, Liu WL et al. (2000) Identification of desmoglein 1 as autoantigen in a patient with intraepidermal neutrophilic IgA dermatosis type of IgA pemphigus. Exp Dermatol 9:224–228

    Article  CAS  PubMed  Google Scholar 

  14. Lipsky JJ (1996) Mycophenolate mofetil. Lancet 348:1357–1359

    CAS  PubMed  Google Scholar 

  15. Miyagawa S, Hashimoto T, Ohno H et al. (1995) Atypical pemphigus associated with monoclonal IgA gammopathy. J Am Acad Dermatol 32:352–357

    CAS  PubMed  Google Scholar 

  16. Nousari HC, Sragovich A, Kimyai-Asadi A et al. (1999) Mycophenolate mofetil in autoimmune and inflammatory skin disorders. J Am Acad Dermatol 40:265–268

    CAS  PubMed  Google Scholar 

  17. Nishikawa T, Hashimoto T, Teraki Y, Ebihara T (1991) The clinical and histopathological spectrum of IgA pemphigus. Clin Exp Dermatol 16:401–402

    CAS  Google Scholar 

  18. Robinson ND, Hashimoto T, Amagai M, Chan LS (1999) The new pemphigus variants. J Am Acad Dermatol 40:649–671

    Google Scholar 

  19. Ruiz-Genao DP, Hernandez-Nunez A, Hashimoto T et al. (2002) A case of IgA pemphigus successfully treated with acitretin. Br J Dermatol 147:1040–1042

    Article  CAS  PubMed  Google Scholar 

  20. Sibley Hash K, Rencic A, Hernandez MI et al. (2002) Aggressive immunosuppressive therapy for a refractory case of IgA pemphigus. Arch Dermatol 138:744–746

    PubMed  Google Scholar 

  21. Megahed M (2004) IgA Pemphigus. In: Megahed M (ed) Histopathology of blistering disease with clinical, electromicroscopical, immunological and molecular biological correlation. Springer, Berlin Heidelberg New York Tokyo, pp 109–115

  22. Wallach D (1992) Intraepidermal IgA pustulosis. J Am Acad Dermatol 27:993–1000

    CAS  PubMed  Google Scholar 

  23. Varigos GA (1979) Subcorneal pustulosis with IgA abnoramlities in serum and small bowel mucosa: case report. Australas J Dermatol 20:75–77

    CAS  PubMed  Google Scholar 

  24. Wang J, Kwon J, Ding X et al. (1997) Nonsecretory IgA1 autoantibodies targeting desmosomal component desmoglein 3 in intraepidermal neutrophilic IgA dermatosis. Am J Pathol 150:1901–1907

    CAS  PubMed  Google Scholar 

  25. Yasuda H, Kobayashi H, Hashimoto T et al. (2000) Subcorneal pustular dermatosis type of IgA pemphigus: demonstration of autoantibodies to desmocollin-1 and clinical review. Br J Dermatol 143:144–148

    Article  CAS  PubMed  Google Scholar 

Download references

Interessenkonflikt:

Der korrespondierende Autor versichert, dass keine Verbindungen mit einer Firma, deren Produkt in dem Artikel genannt ist, oder einer Firma, die ein Konkurrenzprodukt vertreibt, bestehen.

Author information

Affiliations

Authors

Corresponding author

Correspondence to M. Megahed.

Rights and permissions

Reprints and Permissions

About this article

Cite this article

Burchardt, T., Büchau, A., Ruzicka, T. et al. IgA-Pemphigus. Hautarzt 55, 387–389 (2004). https://doi.org/10.1007/s00105-004-0713-8

Download citation

  • Issue Date:

  • DOI: https://doi.org/10.1007/s00105-004-0713-8