Skip to main content

Seltene Ursache einer rezidivierenden, nekrotisierenden Pankreatitis

Rare cause of recurring necrotising pancreatitis

Zusammenfassung

Hintergrund

Die nekrotisierende Pankreatitis kann eine schwere Komplikation einer Pankreasgangabflussstörung z. B. durch Steine, Tumorstenose oder bei Pancreas divisum sein. Alkohol- und Nikotinkonsum gelten als Risikofaktoren der Chronifizierung.

Patientin und Verlauf

Bei einer 63-jährigen Patientin mit o. g. Risikofaktoren, einem Pancreas divisum und vermeintlichem zystischen Pankreasschwanztumor, der sich als Pseudozyste bei einer Pankreatitis herausstellte, erfolgte eine 2-jährige Behandlung rezidivierender Pankreatitisschübe. Erst bei der Behandlung eines komplizierenden Leberabszesses fiel in einer CT eine malignitätssuspekte, zum Aufstau des Pankreashauptganges führende Pankreaskopfraumforderung auf. Retrospektiv waren Gangveränderungen schon auf Voraufnahmen sichtbar. Die partielle Duodenopankreatektomie bestätigte das Pankreaskopfkarzinom.

Schlussfolgerung

Gerade eine lange Zeit rezidivierende Pankreatitis erfordert, auch seltene Ursachen wie einen Tumor in Betracht zu ziehen. Hilfreich dafür ist – abgesehen von der Fokussierung auf die aktuelle jeweilige Komplikation, hier der Pankreasschwanzpankreatitis –, die vermeintlich unerheblichen Befunde des restlichen Organs nicht außer Acht zu lassen.

Abstract

Background

Necrotising pancreatitis may develop as a consequence of pancreatic duct obstruction by stones, tumors or in the presence of a pancreas divisum. Alcohol and nicotine are regarded as risk factors for the disease becoming chronic.

Patient and course of the disease

A 63-year-old female patient with suspected cystadenocarcinoma of the pancreas tail, which was resolved as a pancreatic pseudocyst, was treated for recurrent pancreatitis for 2 years. A tumor in the pancreas head was only detected on a follow-up CT after resection of a complicating liver abscess. In retrospect, progressive pancreatic duct anomalies were visible on previous scans. Partial duodenopancreatectomy confirmed the presence of a pancreas head carcinoma.

Conclusion

Continuous critical re-evaluation of all potential causes of pancreatitis including rare conditions, such as a tumor, is required particularly if pancreatitis recurs over a long period. Re-evaluation of studies over time and of findings apart from the actual main focus of the complication, in this case pancreatitis of the pancreas tail, may help to detect the underlying disease instead of just treating the consequences.

This is a preview of subscription content, access via your institution.

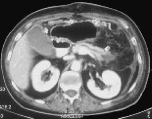
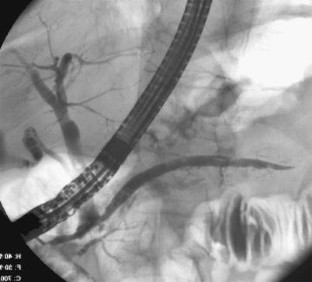
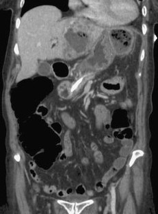
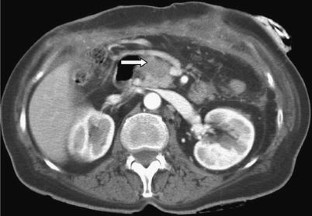
Abb. 1
Abb. 2
Abb. 3
Abb. 4
Abb. 5
Abb. 6

Literatur

  1. Balthazar EJ (2002) Acute pancreatitis: assessment of severity with clinical and CT-evaluation. Radiology 223: 603–613

    PubMed  Article  Google Scholar 

  2. Bleck JS, Wagner S, Manns MP (1997) Nicht chirurgische Therapie benigner Lebertumore. Internist 38: 937–943

    PubMed  Article  CAS  Google Scholar 

  3. Bradley EL III (1993) A clinically based classification acute pancreatitis. Arch Surg 128: 586–590

    PubMed  Google Scholar 

  4. Cahen DL, Gouma DJ, Nio Y et al. (2007) Endoscopic versus surgical drainage of the pancreatic duct in chronic pancreatitis. N Engl J Med 356: 676–684

    PubMed  Article  CAS  Google Scholar 

  5. Cerwenka H, Bacher H, Werkgartner G et al. (2005) Treatment of patients with pyogenic liver abscess. Chemotherapy 51: 366–369

    PubMed  Article  CAS  Google Scholar 

  6. DiMagno MJ, DiMagno EP (2005) Chronic pancreatitis. Curr Opin Gastroenterol 21: 544–554

    PubMed  Article  Google Scholar 

  7. Dite P, Ruzicka M, Zboril V et al. (2003) A prospective, randomized trial comparing endoscopic and surgical therapy for chronic pancreatitis. Endoscopy 35: 553–558

    PubMed  Article  CAS  Google Scholar 

  8. Draganov P, Forsmark CE (2006) V Diseases of the pancreas. In: Gastroenterology, ACP Medicine, [Internet], American College of Physicians, WebMD, [Feb 2006 Update], p 1–19

  9. Freelove R, Walling AD (2006) Pancreatic cancer: diagnosis and management. Am Fam Physician 73: 485–492

    PubMed  Google Scholar 

  10. Glasbrenner B, Schwarz M, Pauls S et al. (2000) Prospective comparison of endoscopic ultrasound and endoscopic retrograde cholangiopancreaticography in the preoperative assessment of masses in the pancreatic head. Dig Surg 17: 468–474

    PubMed  Article  CAS  Google Scholar 

  11. Greenberg RE, Bank S, Strak B (1990) Adenocarcinoma of the pancreas producing pancreatitis and pancreatic abscess. Pancreas 5: 108–113

    PubMed  Article  CAS  Google Scholar 

  12. Hanck C, Whitcomb DC (2004) Alcoholic pancreatitis. Gastroenterol Clin North Am 33: 751–765

    PubMed  Article  Google Scholar 

  13. Juturi JV, Maghfoor I, Doll DC et al. (2000) A case of biliary carcinoid presenting with pancreatitis and obstructive jaundice. Am J Gastroenterol 95: 2973–2974

    PubMed  Article  CAS  Google Scholar 

  14. Kohler H, Lankisch PG (1987) Acute pancreatitis and hyperamylasemia in pancreatic carcinoma. Pancreas 2: 117–119

    PubMed  Article  CAS  Google Scholar 

  15. Liew KVS, Lau TC, Ho CH et al. (2000) Pyogenic liver abscess – a tropical centre‘s experience in management with review of current literature. Singapore Med J 41: 489–492

    PubMed  CAS  Google Scholar 

  16. Loewenfels AB, Maisonneuve P, Cavalli G et al. (1993) Pancreatitis and the risk of pancreatic cancer. N Engl J Med 328: 1433–1437

    Article  Google Scholar 

  17. Mohsen AH, Green ST, Read RC et al. (2002) Liver abscess in adults: ten years experience in a UK centre. Q J Med 95: 797–802

    CAS  Google Scholar 

  18. Olivia MR, Mortele KJ, Erturk S et al. (2006) Magnetic resonance imaging of the pancreas. Appl Radiol 35: 7–24

    Google Scholar 

  19. Pezzilli R (2007) How to cure chronic pancreatitis: endoscopic or surgical approach? JOP 8: 355–356

    PubMed  Google Scholar 

  20. Rosch T, Lorenz R, Braig C et al. (1991) Endoscopic ultrasound in pancreatic tumor diagnosis. Gastrointest Endosc 37: 347–352

    PubMed  CAS  Article  Google Scholar 

  21. Schmidt SC, Knoop M, Keck H (1998) Leberteilresektion nach posttraumatischem Leberabszeß. Chirurg 69: 985–988

    PubMed  Article  CAS  Google Scholar 

  22. Singh VV, Bhutani MS, Draganov P (2003) Carcinoid of the minor papilla in incomplete pancreas divisum presenting as acute relapsing pancreatitis. Pancreas 27: 96–97

    PubMed  Article  Google Scholar 

  23. Stevens T, Conwell DL, Zuccaro G (2004) Pathogenesis of chronic pancreatitis: an evidence- based review of past theories and recent developments. Am J Gastroenterol 99: 2256–2270

    PubMed  Article  CAS  Google Scholar 

  24. Tan YM, Chung AY (2005) An appraisal of surgical and percutaneous drainage for pyogenic liver abscesses larger than 5 cm. Ann Surg 241: 485–490

    PubMed  Article  Google Scholar 

  25. Testoni PA (2001) Aetiologies of recurrent acute pancreatitis: acute or chronic relapsing disease? JOP 2: 357–367

    PubMed  CAS  Google Scholar 

  26. Uhl W, Warshaw A, Imrie C et al. (2002) IAP guidelines for the surgical management of acute pancreatitis. Pancreatology 2: 565–573

    PubMed  Article  Google Scholar 

  27. UK Working Party on Acute Pancreatitis (2005) UK guidelines for the management of acute pancreatitis. Gut 54: 1–9

    Google Scholar 

  28. Driel BEM van, Gulik TM van, Sturm PDJ et al. (1999) Differential diagnosis of chronic pancreatitis and pancreatic cancer in brush cytology specimens. Cancer Res 59: 5732–5736

    PubMed  Google Scholar 

  29. Whitcomb DC (2006) Acute pancreatitis. N Engl J Med 354: 2142–2150

    PubMed  Article  Google Scholar 

  30. Yadav D, Pitchumoni CS (2003) Issues in hyperlipidemic pancreatitis. J Clin Gastroenterol 36: 54–62

    PubMed  Article  CAS  Google Scholar 

Download references

Interessenskonflikt

Der korrespondierende Autor gibt an, dass kein Interessenskonflikt besteht.

Author information

Affiliations

Authors

Corresponding author

Correspondence to G. Leder.

Rights and permissions

Reprints and Permissions

About this article

Cite this article

Leder, G., Formentini, A., Hoffmann, M. et al. Seltene Ursache einer rezidivierenden, nekrotisierenden Pankreatitis. Chirurg 79, 252–257 (2008). https://doi.org/10.1007/s00104-007-1415-4

Download citation

  • Published:

  • Issue Date:

  • DOI: https://doi.org/10.1007/s00104-007-1415-4

Schlüsselwörter

  • Pankreatitis
  • Pankreaskarzinom
  • Pancreas divisum
  • Leberabszess
  • Pankreasgangstenose

Keywords

  • Pancreatitis
  • Pancreatic cancer
  • Pancreas divisum
  • Liver abscess
  • Pancreatic duct stenosis