Skip to main content

Entzündliche Arrosionsblutungen aus Viszeralarterien

Interventionelles und gefäßchirurgisches Management nach vorwiegend pankreaschirurgischen Eingriffen

Interventional and vascular surgical management for inflammatory arrosion hemorrhage from visceral arteries following pancreatic surgery

Zusammenfassung

Spontane oder postoperative Arrosionsblutungen aus Viszeralarterien in die freie Bauchhöhle sind eine seltene, aber bedrohliche Situation. Die Letalität nach postoperativer Massivblutung wird in der Literatur mit ca. 2% angegeben. Die therapeutischen Möglichkeiten zur Blutungskontrolle sind an erster Stelle die Relaparotomie mit Versorgung des Blutungslecks oder als interventionelle Alternative der Einsatz von endovaskulären Kathetertechniken mit Implantation von Stentgrafts oder die Embolisation blutender Gefäßstümpfe.

Wir berichten über das diagnostische und therapeutische Vorgehen anhand von 7 Patienten mit Blutungen aus der A. gastroduodenalis (n=5) nach pankreaschirurgischen Interventionen bei Pankreaskopfkarzinom, Rezidiv eines Liposarkoms und chronischer Pankreatitis, der A. hepatica communis (n=1) bei chronischer Pankreatitis und der A. mesenterica superior (n=1) nach akuter Pankreatitis. Anhand von 4 Kasuistiken werden unsere Erfahrungen mit der Implantation von Stentgrafts (Hemobahn®-Prothesen) vermittelt. Den Vorteil der Stentgrafts sehen wir in der sofortigen Blutstillung bei fehlendem Kontakt der Endoprothese zu infiziertem Gewebe und Erhalt der Perfusion des abhängigen Organs. Unsere positiven Erfahrungen mit diesen interventionellen Therapieverfahren erfordern jedoch weitere klinische Untersuchungen, wobei im Mittelpunkt die Indikationen, die technische Erfolgsrate, die stentbedingten Komplikationen und die Langzeitverläufe stehen sollten.

Abstract

Spontaneous or postoperative hemorrhage into the abdominal cavity due to inflammatory vessel arrosion represents an uncommon but menacing situation. According to the literature, such hemorrhage is associated with a lethality of nearly 2%. Therapeutical options include reoperation and interventional radiological techniques such as endovascular catheter techniques with stent graft implantation or the embolization of vessels. We report on the management of seven cases with hemorrhage either from the gastroduodenal artery (n=5) following pancreatic surgery for pancreatic carcinoma, liposarcoma, and chronic pancreatitis or from the common hepatic artery (n=1) and the superior mesenteric artery (n=1) following chronic pancreatitis. The present article describes our experiences with stent graft implantation (hemobahn prosthesis) in four cases. Based on these experiences, we see the advantages of stent grafts in primary hemostasis without any contact to infected tissue and the preservation of regular perfusion. However, further clinical data are required focussing on indication, technical success rates, stent-related complications, and long-term outcome.

This is a preview of subscription content, access via your institution.

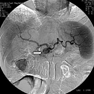
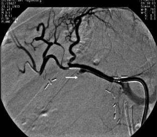
Abb. 1
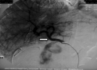
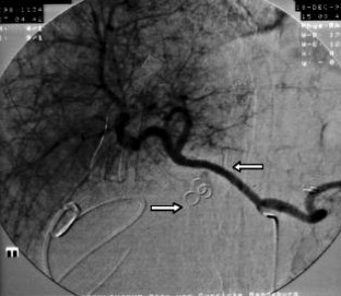
Abb. 2
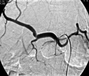
Abb. 3
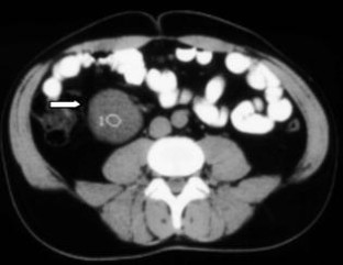
Abb. 4
Abb. 5
Abb. 6
Abb. 7
Abb. 8
Abb. 9
Abb. 10
Abb. 11
Abb. 12
Abb. 13
Abb. 14

Literatur

  1. Baker KS, Tisnado J, Cho SR (1987) Splanchnic artery aneurysms and pseudoaneurysms: transcatheter embolization. Radiology 163:135–139

    CAS  PubMed  Google Scholar 

  2. Bassi C, Falconi M, Salvia R, Mascetta G, Molinari E, Pederzoli P (2001) Management of complications after pancreaticoduodenectomy in a high volume centre: results on 150 consecutive patients. Dig Surg 18:453–458

    Article  CAS  PubMed  Google Scholar 

  3. Beattie GC, Hardman JG, Redhead D, Siriwardena AK (2003) Evidence for a central role for selective mesenteric angiography in the management of the major vascular complications of pancreatitis. Am J Surg 185:96–102

    Article  PubMed  Google Scholar 

  4. Bürger Th, Halloul Z, Meyer F, Grote R, Lippert H (2000) Emergency stent-graft repair of ruptured hepatic artery secondary to local postoperative peritonitis. J Endovasc Ther 7:324–327

    PubMed  Google Scholar 

  5. Crist DW, Sitzmann JV, Cameron JL (1987) Improved hospital morbidity, mortality and survival after Whipple procedure. Ann Surg 206:358–365

    CAS  PubMed  Google Scholar 

  6. Friess H, Uhl W, Beger HG, Buchler MW (1994) Surgical treatment of pancreatic cancer. Dig Surg 11:378

    Google Scholar 

  7. Foley DP, Rensing BJ, Pieper M et al. (1999) Clinical and quantitative angiographic outcomes following elective implantation of the self-expanding Wallstent for longer coronary artery lesions—final results of the Wallstent native study. Int J Cardiovasc Intervent 2:171–179

    PubMed  Google Scholar 

  8. Gabelmann A, Gorich J, Merkle EM (2002) Endovascular treatment of visceral artery aneurysms. J Endovasc Ther 9:38–47

    PubMed  Google Scholar 

  9. Halloul Z, Meyer F, Tautenhahn J, Grote R, Lippert H, Bürger T (2002) Das Management von Aneurysmata peripankreatischer Arterien. Zentralbl Chir 127:141–143

    Article  CAS  PubMed  Google Scholar 

  10. Holmes DR (2003) State of the art in coronary intervention. Am J Cardiol 91:50–53

    Article  Google Scholar 

  11. Kadir S, Athanasoulis CA, Ring EJ, Greenfield A (1980) Transcatheter embolization of intrahepatic arterial aneurysms. Radiology 134:335–339

    CAS  PubMed  Google Scholar 

  12. Kasirajan K, Greenberg RK, Clair D, Ouriel K (2001) Endovascular management of visceral artery aneurysm. J Endovasc Ther 8:150–155

    CAS  PubMed  Google Scholar 

  13. Memis A., Parildar M (2001) Interventional radiological treatment in complications of pancreatitis. Eur J Radiol 43:219–228

    Article  Google Scholar 

  14. Rasmussen IB, Charter DC (1998) Treatment of rare complications of acute pancreatitis. In: Howard J, Idezuki Y, Ihse I, Prinz R (eds) Surgical diseases of pancreas, 3rd edn. Williams & Wilkins, Baltimore, p 311–17

  15. Sener SF, Fremgen A, Menck HR, Winchester DP (1999) Pancreatic cancer: A report of treatment and survival trends for 100.313 patients diagnosed from 1985–1995, using the National Cancer Database. J Am Coll Surg 189:1–7

    Article  CAS  PubMed  Google Scholar 

  16. Serruys P, Grines C, Stone G et al. (1998) Stent implantation in acute myocardial infarction using a heparin-coated stent: a pilot study as a preamble to a randomised trial comparing ballon angioplasty and stenting. Int J Cardiovasc Intervent 1:19–27

    PubMed  Google Scholar 

  17. Trede M (1985) The surgical treatment of pancreatic carcinoma. Surgery 97:28–35

    CAS  PubMed  Google Scholar 

  18. Trede M (1996) Extensive palliative carcinoma operation—Is it really worthwhile? What are the aims? Langenbecks Arch Chir [Suppl Kongressbd] 113:89–90

    Google Scholar 

  19. Venturini M, Angeli E, Salvion et al. (2002) Haemorrhage from a right hepatic artery pseudoaneurysm: Endovascular treatment with a coronary stent-graft. J Endovasc Ther 9:221–224

    PubMed  Google Scholar 

Download references

Interessenkonflikt:

Keine Angaben

Author information

Affiliations

Authors

Corresponding author

Correspondence to T. Gebauer.

Rights and permissions

Reprints and Permissions

About this article

Cite this article

Gebauer, T., Schulz, HU., Tautenhahn, J. et al. Entzündliche Arrosionsblutungen aus Viszeralarterien. Chirurg 75, 1021–1028 (2004). https://doi.org/10.1007/s00104-004-0834-8

Download citation

  • Issue Date:

  • DOI: https://doi.org/10.1007/s00104-004-0834-8

Schlüsselwörter

  • Entzündliche Arrosionsblutung
  • Stentgrafts
  • Hemobahn®-Prothese

Keywords

  • Inflammatory arrosion hemorrhage
  • Stent grafts
  • Hemobahn® prosthesis