Skip to main content

Fehler und Gefahren in der Regionalanästhesie bei Kindern

Risks and dangers in pediatric regional anesthesia

Zusammenfassung

In der Kinderanästhesie haben die periphere und die neuroaxiale Regionalanästhesie in den letzten Jahren zunehmend an Bedeutung gewonnen. Im Gegensatz zum erwachsenen Patienten werden diese Verfahren bei Kindern aber üblicherweise in Kombination mit einer Allgemeinanästhesie durchgeführt. Dieses Vorgehen ist allgemein akzeptiert. Für die sichere Durchführung von regionalanästhesiologischen Verfahren in der Kinderanästhesie ist ein fundiertes Wissen über die anatomischen, physiologischen und pharmakokinetischen Besonderheiten dieser Patientengruppe unumgänglich. Bei Beachtung dieser Besonderheiten sind Komplikationen selten. Durch den Einsatz der Sonographie können Komplikationen eventuell zusätzlich vermieden werden. Insgesamt handelt es sich bei der peripheren und der neuroaxialen Regionalanästhesie um sichere Verfahren, die pädiatrischen Patienten nicht vorenthalten werden sollten. Im vorliegenden Artikel sollen häufige und seltene Komplikationen von regionalen Verfahren bei Kindern vorgestellt werden.

Abstract

In recent years peripheral and central regional anesthesia have become increasingly more important in pediatric anesthesia. Unlike adult patients, children typically receive regional anesthesia while under general anesthesia, an approach generally accepted among pediatric anesthesiologists. A well-founded knowledge of the specific anatomical, physiological and pharmacokinetic characteristics of pediatric patients is indispensable for safely practicing pediatric regional anesthesia. If attention is paid to these characteristics, complications are rare. The use of ultrasound when administering regional anesthesia can help reduce the risk of complications even further. Peripheral and central regional anesthesia are safe procedures which pediatric patients should not be deprived of. The present article discusses frequent as well as rare complications of pediatric regional anesthesia.

This is a preview of subscription content, access via your institution.

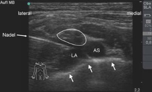
Abb. 1
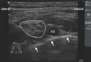
Abb. 2
Abb. 3
Abb. 4

Literatur

  1. Dalens B (2006) Some current controversies in paediatric regional anaesthesia. Curr Opin Anaesthesiol 19: 301–308

    PubMed  Article  Google Scholar 

  2. Krane EJ, Dalens BJ, Murat I, Murrell D (1998) The safety of epidurals placed during general anesthesia. Reg Anesth Pain Med 23: 433–438

    PubMed  Article  CAS  Google Scholar 

  3. Sanders JC (2002) Paediatric regional anaesthesia, a survey of practice in the United Kingdom. Br J Anaesth 89: 707–710

    PubMed  Article  CAS  Google Scholar 

  4. Morin AM, Kerwat KM, Büttner J et al. (2006) Hygieneempfehlungen für die Anlage und weiterführende Versorgung von Regionalanästhesie-Verfahren. Anaesthesiol Intensivmed 47: 372–379

    Google Scholar 

  5. Mader T, Hornung M, Boos K et al. (2007) Handlungsempfehlung zur Regionalanästhesie bei Kindern. Anaesthesiol Intensivmed 48: S79–S85

    Google Scholar 

  6. Giaufré E, Dalens B, Gombert A (1996) Epidemiology and morbidity of regional anesthesia in children: a one-year prospective survey of the French-Language Society of Pediatric Anesthesiologists. Anesth Analg 83: 904–912

    PubMed  Article  Google Scholar 

  7. Peutrell JM, Mather SJ (1997) Extradural anaesthesia. In: Peutrell JM, Mather SJ (eds) Regional anaesthesia for babies and children. Oxford University Press, Oxford, pp 194–208

  8. Gunter J (1991) Caudal anesthesia in children: a survey. Anesthesiology 75: A936

    Article  Google Scholar 

  9. Uguralp S, Mutus M, Koroglu A et al. (2002) Regional anesthesia is a good alternative to general anesthesia in pediatric surgery: experience in 1554 children. J Pediatr Surg 37: 610–613

    PubMed  Article  Google Scholar 

  10. Dalens B, Hasnaoui A (1989) Caudal anesthesia in pediatric surgery: success rate and adverse effects in 750 consecutive patients. Anesth Analg 68: 83–89

    PubMed  Article  CAS  Google Scholar 

  11. Tanaka M, Nishikawa T (1999) The efficacy of a stimulated intravascular test dose in sevoflurane-anesthetized children: a dose-response study. Anesth Analg 89: 632–637

    PubMed  Article  CAS  Google Scholar 

  12. Tanaka M, Nishikawa T (1998) Simulation of an epidural test dose with intravenous epinephrine in sevoflurane-anesthetized children. Anesth Analg 86: 952–957

    PubMed  Article  CAS  Google Scholar 

  13. Veyckemans F, Obbergh LJ van, Gouverneur JM (1992) Lessons from 1100 pediatric caudal blocks in a teaching hospital. Reg Anesth 17: 119–125

    PubMed  CAS  Google Scholar 

  14. Dalens BJ, Mazoit JX (1998) Adverse effects of regional anaesthesia in children. Drug Saf 19: 251–268

    PubMed  Article  CAS  Google Scholar 

  15. Ved SA, Pinosky M, Nicodemus H (1993) Ventricular tachycardia and brief cardiovascular collapse in two infants after caudal anesthesia using a bupivacaine-epinephrine solution. Anesthesiology 79: 1121–1123

    PubMed  Article  CAS  Google Scholar 

  16. Becke K (2007) Regionalanästhesie im Kindesalter. In: Kretz FJ, Becke K (Hrsg) Anästhesie und Intensivmedizin bei Kindern. Thieme, Stuttgart, S 126–149

  17. Desparmet JF (1990) Total spinal anesthesia after caudal anesthesia in an infant. Anesth Analg 70: 665–667

    PubMed  Article  CAS  Google Scholar 

  18. Splinter WM, Bass J, Komocar L (1995) Regional anaesthesia for hernia repair in children: local vs caudal anaesthesia. Can J Anaesth 42: 197–200

    PubMed  CAS  Google Scholar 

  19. Ivani G (Hrsg) (2001) Paediatric regional anaesthesia. A practical approach. SEE, Firenze

  20. Olsson GL (1990) Complications in paediatric anaesthesia. Curr Opin Anaesthesiol 3: 385–389

    Google Scholar 

  21. Luz G, Innerhofer P, Häussler B et al. (2000) Comparison of ropivacaine 0.1% and 0.2% with bupivacaine 0.2% for single-shot caudal anaesthesia in children. Paediatr Anaesth 10: 499–504

    PubMed  Article  CAS  Google Scholar 

  22. Strafford MA, Wilder RT, Berde CB (1995) The risk of infection from epidural analgesia in children: a review of 1620 cases. Anesth Analg 80: 234–238

    PubMed  Article  CAS  Google Scholar 

  23. Suresh S, Wheeler M (2002) Practical pediatric regional anesthesia. Anesthesiol Clin North Am 20: 83–113

    Article  Google Scholar 

  24. Armitage EN (1979) Caudal block in children. Anaesthesia 34: 396

    Google Scholar 

  25. Jöhr M (2004) Kinderanästhesie. Elsevier, München

  26. Kost-Byerly S, Tobin JR, Greenberg RS et al. (1998) Bacterial colonization and infection rate of continuous epidural catheters in children. Anesth Analg 86: 712–716

    PubMed  Article  CAS  Google Scholar 

  27. Bubeck J, Boos K, Krause H, Thies KC (2004) Subcutaneous tunneling of caudal catheters reduces the rate of bacterial colonization to that of lumbar epidural catheters. Anesth Analg 99: 689–693

    PubMed  Article  Google Scholar 

  28. Vittinghoff M, Grisold A (2006) Prolonged use of caudal epidural catheter in low birth weight infants. Eur J Anaesthesiol 23 [Suppl 37]: A640

  29. Dalens B (1989) Regional anesthesia in children. Anesth Analg 68: 654–672

    PubMed  Article  CAS  Google Scholar 

  30. Bösenberg AT, Bland BA, Schulte-Steinberg O, Downing JW (1988) Thoracic epidural anesthesia via caudal route in infants. Anesthesiology 69: 265–269

    PubMed  Article  Google Scholar 

  31. Roberts SA, Galvez I (2005) Ultrasound assessment of caudal catheter position in infants. Paediatr Anaesth15: 429–432

    Google Scholar 

  32. Blanco D, Llamazares J, Rincon R et al. (1996) Thoracic epidural anesthesia via the lumbar approach in infants and children. Anesthesiology 84: 1312–1316

    PubMed  Article  CAS  Google Scholar 

  33. Guinard JP, Borboen M (1993) Probable venous air embolism during caudal anesthesia in a child. Anesth Analg 76: 1134–1135

    PubMed  Article  CAS  Google Scholar 

  34. Schwartz N, Eisenkraft JB (1993) Probable venous air embolism during epidural placement in an infant. Anesth Analg 76: 1136–1138

    PubMed  CAS  Google Scholar 

  35. Nora JJ (1983) Etiologic aspects of heart diseases. In: Adams FH, Emmanouilides GC (eds) Heart disease in infants, children and adolescents. Williams & Wilkins, Baltimore, p 14

  36. Dalens B, Chrysostome Y (1991) Intervertebral epidural anaesthesia in paediatric surgery: success rate and adverse effects in 650 consecutive procedures. Paediatr Anaesth 1: 107–117

    Article  Google Scholar 

  37. Persson J, Flisberg P, Lundberg J (2002) Thoracic epidural anesthesia and epidural hematoma. Acta Anaesthesiol Scand 46: 1171–1174

    PubMed  Article  CAS  Google Scholar 

  38. Ross AK (2006) Pediatric regional anesthesia. In: Motoyama EK, Davis PJ (eds) Smith’s anesthesia for infants and children. Mosby Elsevier, Philadelphia

  39. Webster AC, McKishnie JD, Kenyon CF, Marschall DG (1992) Spinal anaesthesia for inguinal hernia repair in high-risk neonates. Can J Anaesth 38: 281–286

    Google Scholar 

  40. Welborn LG, Rice LJ, Hannallah RS et al. (1990) Postoperative apnea in former preterm infants: prospective comparison of spinal and general anesthesia. Anesthesiology 72: 838–842

    PubMed  CAS  Article  Google Scholar 

  41. Kokki H, Tuovinen K, Hendolin H (1998) Spinal anaesthesia for paediatric day-case surgery: a double-blind, randomized, parallel group, prospective comparison of isobaric and hyperbaric bupivacaine. Br J Anaesth 81: 502–506

    PubMed  CAS  Google Scholar 

  42. Flandin-Bléty C, Barrier G (1995) Accidents following extradural analgesia in children. The results of a retrospective study. Paediatr Anaesth 5: 41–46

    PubMed  Article  Google Scholar 

  43. Kokki H, Hendolin H (2000) Hyperbaric bupivacaine for spinal anaesthesia in 7–18 yr old children: comparison of bupivacaine 5 mg ml−1 in 0.9% and 8% glucose solutions. Br J Anaesth 84: 59–62

    PubMed  CAS  Google Scholar 

  44. Kokki H, Salonvaara M, Herrgard E, Onen P (1999) Postdural puncture headache is not an age-related symptom in children: a prospective, open-randomized, parallel group study comparing a 22-gauge Quincke with a 22-gauge Whitacre needle. Paediatr Anaesth 9: 429–434

    PubMed  Article  CAS  Google Scholar 

  45. Wright TE, Orr RJ, Haberkern CM, Walbergh EJ (1990) Complications during spinal anesthesia in infants: high spinal blockade. Anesthesiology 73: 1290–1292

    PubMed  CAS  Article  Google Scholar 

  46. Oberlander TF, Berde CB, Lam KH et al. (1995) Infants tolerate spinal anesthesia with minimal overall autonomic changes: analysis of heart rate variability in former premature infants undergoing hernia repair. Anesth Analg 80: 20–27

    PubMed  Article  CAS  Google Scholar 

  47. Fisher WJ, Bingham RM, Hall R (1999) Axillary brachial plexus block for perioperative analgesia in 250 children. Paediatr Anaesth 9: 435–438

    PubMed  Article  CAS  Google Scholar 

  48. Bhat R (2004) Transient vascular insufficiency after axillary brachial plexus block in a child. Anesth Analg 98: 1284–1285

    PubMed  Article  Google Scholar 

  49. Dalens B, Vanneuville G, Tanguy A (1987) A new parascalene approach to the brachial plexus in children: comparison with the supraclavicular approach. Anesth Analg 66: 1264–1271

    PubMed  CAS  Google Scholar 

  50. Jose Maria B de, Tielens LK (2004) Vertical infraclavicular brachial plexus block in children: a preliminary study. Paediatr Anaesth 14: 931–935

    Article  Google Scholar 

  51. Tobias JD (2001) Brachial plexus anaesthesia in children. Paediatr Anaesth 11: 265–275

    PubMed  Article  CAS  Google Scholar 

  52. Dalens B, Tanguy A, Vanneuville G (1990) Sciatic nerve blocks in children: comparison of the posterior, anterior, and lateral approaches in 180 pediatric patients. Anesth Analg 70: 131–137

    PubMed  Article  CAS  Google Scholar 

  53. Schuepfer G, Jöhr M (2005) Psoas compartment block in children: Part I – description of the technique. Paediatr Anaesth 15: 461–464

    PubMed  Article  Google Scholar 

  54. Soh CR, Ng SB, Lim SL (2003) Dorsal penile nerve block. Paediatr Anaesth 13: 329–333

    PubMed  Article  CAS  Google Scholar 

  55. Burke D, Joypaul V, Thomson MF (2000) Circumcision supplemented by dorsal penile nerve block with 0.75% ropivacaine: a complication. Reg Anesth Pain Med 25: 424–427

    PubMed  Article  CAS  Google Scholar 

  56. Berens R, Pontus SP (1990) A complication associated with dorsal penile nerve block. Reg Anesth 15: 309–310

    PubMed  CAS  Google Scholar 

  57. Sara CA, Lowry CJ (1984) A complication of circumcision and dorsal nerve block of the penis. Anaesth Intens Care 13: 79–82

    Google Scholar 

  58. Smith T, Moratin P, Wulf H (1996) Smaller children have greater bupivacaine plasma concentrations after ilioinguinal block. Br J Anaesth 76: 452–455

    PubMed  CAS  Google Scholar 

  59. Jöhr M, Sossai R (1999) Colonic puncture during ilioinguinal nerve block in a child. Anesth Analg 88: 1051–1052

    PubMed  Article  Google Scholar 

  60. Lipp AK, Woodcock J, Hensman B, Wilkinson K (2004) Leg weakness is a complication of ilio-inguinal nerve block in children. Br J Anaesth 92: 273–274

    PubMed  Article  CAS  Google Scholar 

  61. Berde CB (1992) Convulsions associated with pediatric regional anesthesia. Anesth Analg 75: 164–166

    PubMed  Article  CAS  Google Scholar 

  62. Knudsen K, Beckman Suurküla M, Blomberg S et al. (1997) Central nervous and cardiovascular effects of i.v. infusions of ropivacaine, bupivacaine and placebo in volunteers. Br J Anaesth 78: 507–514

    PubMed  CAS  Google Scholar 

  63. Berde CB (1993) Bupivacaine toxicity secondary to continuous caudal epidural infusion in children. Anesth Analg 77: 1305

    Article  Google Scholar 

Download references

Interessenkonflikt

Der korrespondierende Autor gibt an, dass kein Interessenkonflikt besteht.

Author information

Affiliations

Authors

Corresponding author

Correspondence to R. Hillmann DESA.

Rights and permissions

Reprints and Permissions

About this article

Cite this article

Hillmann, R., Kretz, FJ. Fehler und Gefahren in der Regionalanästhesie bei Kindern. Anaesthesist 57, 165–174 (2008). https://doi.org/10.1007/s00101-008-1303-4

Download citation

  • Published:

  • Issue Date:

  • DOI: https://doi.org/10.1007/s00101-008-1303-4

Schlüsselwörter

  • Kinderanästhesie
  • Regionalanästhesie
  • Komplikationen
  • Sonographie

Keywords

  • Pediatric anesthesia
  • Regional anesthesia
  • Complications
  • Ultrasound