Skip to main content

Optimierte Positionierung zentraler Venenkatheter durch eine modifizierte Anwendung der intravasalen Elektrokardiographie

Validierung mithilfe der transösophagealen Echokardiographie

Modified ECG-guidance for optimal central venous catheter tip positioning

A transesophageal echocardiography controlled study

Zusammenfassung

Hintergrund

Ein etabliertes Verfahren der Lagekontrolle zentralvenöser Katheter (ZVK) ist die sog. intraatriale Elektrokardiographie. Bislang wird eine intraatriale Position angenommen, wenn die P-Welle signifikant erhöht ist. In früheren Studien konnte jedoch gezeigt werden, dass eine P-Amplituden-Erhöhung auch bei extraatrialen, extravasalen oder intraarteriellen Fehllagen in der Aorta ascendens auftritt. Daher evaluierten wir einen modifizierten Ansatz zur Platzierung der ZVK-Spitze bei Auftreten der maximalen P-Wellen-Amplitude mithilfe der transösophagealen Echokardiographie (TEE).

Patienten und Methode

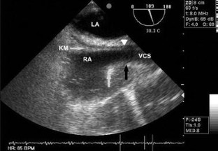
In dieser prospektiven randomisierten Studie wurden bei jeweils 100 Patienten die rechte bzw. die linke V. jugularis interna kanüliert. Die Katheterspitze wurde mithilfe des Elektrokardiogramms (EKG) platziert. Der Katheter wurde an der Stelle fixiert, an der die P-Welle die größte Amplitude erreichte. Die Einführtiefe wurde notiert. Mit Hilfe der TEE wurde die Lage der ZVK-Spitze in Relation zur Crista terminalis bestimmt.

Ergebnisse

Mithilfe der intraatrialen Elektrokardiographie konnte immer eine maximale P-Welle definiert werden. Alle ZVK-Spitzen lagen innerhalb einer Distanz von ± 0,5 cm zur Basis der Crista terminalis am Übergang der V. cava sup. zum rechten Vorhof. Radiologisch lagen alle Katheter zudem parallel zum Verlauf der V. cava superior.

Schlussfolgerung

Die maximale P-Wellen-Amplitude (Einthoven-II-Ableitung) wird bereits im Vorhofeingang abgeleitet. Dies erklärt, dass im Gegensatz zur üblichen Methode der EKG-gestützten ZVK-Positionierung unser Ansatz regelhaft in einer korrekten Lage der Katheterspitze am Übergang zum rechten Vorhof mit parallelem Verlauf des Katheters zur V. cava superior resultierte.

Abstract

Background

Intraatrial electrocardiography (ECG) is a well-established method for central-venous catheter (CVC) placement and an intraatrial position is assumed, when a significantly increased P-wave is registered. However, an increase in P-wave amplitude also occurs in other positions. Therefore we evaluated CVC tip positioning by means of transesophageal echocardiography (TEE) at a maximum P-wave amplitude.

Patients and methods

In this prospective randomized study the right or left internal jugular vein was cannulated with 100 patients in each group and catheter tip positioning was guided by means of ECG. The catheter was fixed at the position of maximum P-wave amplitude and the insertion depth was registered. The relationship of the CVC tip position to the superior edge of the crista terminalis was demonstrated with the help of TEE.

Results

In all patients the catheter tip was found ± 0,5 cm from the superior edge of the crista terminalis at the transition from the superior vena cava to the right atrium. On x-ray control, all catheters ran along the length of the vessel wall of the superior vena cava.

Conclusions

A maximum P-wave is derived even at the entrance to the right atrium. This explains why ECG-guided CVC placement — based on the largest P-wave amplitude — consistently resulted in correct positioning of the CVC tip at the transition from the superior vena cava to the right atrium.

This is a preview of subscription content, access via your institution.

Abb. 1
Abb. 2
Abb. 3
Abb. 4
Abb. 5

Literatur

  1. Andropoulos DB, Stayer SA, Bent ST, Campos CJ, Bezold LI, Alvarez M, Fraser CD (1999) A controlled study of transesophageal echocardiography to guide central venous catheter placement in congenital heart surgery patients. Anesth Analg 89:65–70

    CAS  PubMed  Google Scholar 

  2. Aslamy Z, Dewald CL, Heffner JE (1998) MRI of central venous anatomy: implications for central venous catheter insertion. Chest 114:820–826

    CAS  PubMed  Google Scholar 

  3. Caruso LJ, Gravenstein N, Layon AJ, Peters K, Gabrielli A (2002) A better landmark for positioning a central venous catheter. J Clin Monit Comput 17:331–334

    PubMed  Google Scholar 

  4. Chalkiadis GA, Goucke CR (1998) Depth of central venous catheter insertion in adults: an audit and assessment of a technique to improve tip position. Anaesth Intensive Care 26:61–66

    CAS  PubMed  Google Scholar 

  5. Cohn LH, Edmunds LHJ (2003) Cardiac surgery in the adult. McGraw-Hill Professional, New York

  6. Collier PE, Blocker SH, Graff DM, Doyle P (1998) Cardiac tamponade from central venous catheters. Am J Surg 176:212–214

    CAS  PubMed  Google Scholar 

  7. Corsten SA, Dijk B van, Bakker NC, Lange JJ de, Scheffer GJ (1994) Central venous catheter placement using the ECG-guided Cavafix-Certodyn SD catheter. J Clin Anesth 6:469–472

    CAS  PubMed  Google Scholar 

  8. Czepizak CA, O’Callaghan JM, Venus B (1995) Evaluation of formulas for optimal positioning of central venous catheters. Chest 107:1662–1664

    CAS  PubMed  Google Scholar 

  9. Fletcher SJ, Bodenham AR (2000) Safe placement of central venous catheters: where should the tip of the catheter lie? Br J Anaesth 85:188–191

    CAS  PubMed  Google Scholar 

  10. Food and Drug Administration (1989) Precautions necessary with central venous catheters. FDA Task Force. FDA Drug Bull:15–16

    Google Scholar 

  11. Gravenstein N, Blackshear RH (1991) In vitro evaluation of relative perforating potential of central venous catheters: comparison of materials, selected models, number of lumens, and angles of incidence to simulated membrane. J Clin Monit 7:1–6

    CAS  PubMed  Google Scholar 

  12. Gray H (2005) Gray’s anatomy. Elsevier Churchill Livingston, Edinburgh

  13. Greenall MJ, Blewitt RW, McMahon MJ (1975) Cardiac tamponade and central venous catheters. BMJ 2:595–597

    CAS  PubMed  Google Scholar 

  14. Hellerstein HK, Pritchard WH, Lewis RL (1949) Recording of intracavity potentials through a single lumen, saline filled catheter. Proc Soc Exp Biol Med 71:58–60

    Google Scholar 

  15. Koscielniak-Nielsen ZJ, Otkjaer S, Hansen OB, Hemmingsen C (1991) CVP catheter electrocardiography: an alternative to radiographic control after cannulation of central veins? Acta Anaesthesiol Scand 35:762–766

    CAS  PubMed  Google Scholar 

  16. Macfarlane PW, Lawrie TDV (1989) Comprehensive electrocardiology. Pergamon Press, New York

  17. Madan M, Shah MV, Alexander DJ, Taylor C, McMahon MJ (1994) Right atrial electrocardiography: a technique for the placement of central venous catheters for chemotherapy or intravenous nutrition. Br J Surg 81:1604–1605

    CAS  PubMed  Google Scholar 

  18. McGee WT, Ackerman BL, Rouben LR, Prasad VM, Bandi V, Mallory DL (1993) Accurate placement of central venous catheters: a prospective, randomized, multicenter trial. Crit Care Med 21:1118–1123

    CAS  PubMed  Google Scholar 

  19. Michaelis G, Biscoping J (1998) Entwicklung und derzeitiger Stand der elektrokardiographischen Lagekontrolle zentralvenöser Katheter. Anasthesiol Intensivmed Notfallmed Schmerzther 33:106–110

    CAS  PubMed  Google Scholar 

  20. Michaelis G, Biscoping J, Hempelmann G (1988) Die Platzierung des zentralvenösen Katheters unter EKG-Kontrolle. Anaesthesiol Intensivmed 30:272–278

    Google Scholar 

  21. Miller JA, Singireddy S, Maldjian P, Baker SR (1999) A reevaluation of the radiographically detectable complications of percutaneous venous access lines inserted by four subcutaneous approaches. Am Surg 65:125–130

    CAS  PubMed  Google Scholar 

  22. Peres PW (1990) Positioning central venous catheters — A prospective survey. Anaesth Intensive Care 18:536–539

    CAS  PubMed  Google Scholar 

  23. Salmela L, Aromaa U (1993) Verification of the position of a central venous catheter by intra-atrial ECG. When does this method fail? Acta Anaesthesiol Scand 37:26–28

    CAS  PubMed  Google Scholar 

  24. Schummer W, Schummer C, Reinhold L (2002) Differenzialdiagnose linksthorakaler Venenkatheter am Beispiel einer persistierenden linken oberen Hohlvene. Anaesthesist 51:726–730

    CAS  PubMed  Google Scholar 

  25. Schummer W, Herrmann S, Schummer C et al. (2003) Intra-atrial ECG is not a reliable method for positioning left internal jugular vein catheters. Br J Anaesth 91:481–486

    CAS  PubMed  Google Scholar 

  26. Schummer W, Schummer C, Schelenz C et al. (2004) Central venous catheters — The inability of ‚intra-atrial ECG‘ to prove adequate positioning. Br J Anaesth 93:193–198

    CAS  PubMed  Google Scholar 

  27. Schummer W, Schummer C, Müller A, Steenbeck J, Fuchs J, Bredle D, Hüttemann E (2004) ECG-guided central venous catheter positioning: does it detect the pericardial reflection rather than the right atrium? Eur J Anaesthesiol 21:600–605

    CAS  PubMed  Google Scholar 

  28. Schummer W, Schummer C, Paxian M, Frober R, Settmacher U (2005) ECG recording of central venous catheter misplaced in inferior thyroid artery. Br J Anaesth 94:296–299

    CAS  PubMed  Google Scholar 

  29. Schummer W, Schummer C, Paxian M, Stock U, Richter K, Bauer M (2005) Extravasale Lage von zentralen Venenkathetern bei korrekter EKG-Ableitung. Anasthesiol Intensivmed Notfallmed Schmerzther 40:91–96

    CAS  PubMed  Google Scholar 

  30. Schuster M, Nave H, Piepenbrock S, Pabst R, Panning B (2000) The carina as a landmark in central venous catheter placement. Br J Anaesth 85:192–194

    CAS  PubMed  Google Scholar 

  31. Shanewise JS, Cheung AT, Aronson S et al. (1999) ASE/SCA guidelines for performing a comprehensive intraoperative multiplane transesophageal echocardiography examination: recommendations of the American Society of Echocardiography Council for Intraoperative Echocardiography and the Society of Cardiovascular Anesthesiologists Task Force for Certification in Perioperative Transesophageal Echocardiography. Anesth Analg 89:870–884

    CAS  PubMed  Google Scholar 

  32. Tocino IM, Watanabe A (1986) Impending catheter perforation of superior vena cava: radiographic recognition. AJR Am J Roentgenol 146:487–490

    CAS  PubMed  Google Scholar 

  33. Vesely TM (2003) Central venous catheter tip position: a continuing controversy. J Vasc Interv Radiol 14:527–534

    PubMed  Google Scholar 

  34. Wilson RG, Gaer JA (1988) Right atrial electrocardiography in placement of central venous catheters. Lancet 1:462–463

    CAS  PubMed  Google Scholar 

  35. Wunderbaldinger P (2001) „Tubes and lines“ im Thoraxröntgenbild: Fehlpositionen und Komplikationen. Wien Med Wochenschr 151:524–531

    CAS  PubMed  Google Scholar 

Download references

Danksagung

Unser Dank gilt Frau Brandstädt vom Institut für Medizinische Statistik, Informatik und Dokumentation der Friedrich-Schiller-Universität, Jena, für die Hilfe bei der statistischen Auswertung und Herrn PD Uwe Leder aus der Klinik für Innere Medizin III für die Diskussion der elektrophysiologischen Phänomene.

Interessenkonflikt:

Der korrespondierende Autor weist auf eine Verbindung mit folgender Firma/Firmen hin: Dr. W. Schummer ist als Berater für die Fa. B. Braun tätig gewesen.

Author information

Affiliations

Authors

Corresponding author

Correspondence to W. Schummer.

Rights and permissions

Reprints and Permissions

About this article

Cite this article

Schummer, W., Schummer, C., Schelenz, C. et al. Optimierte Positionierung zentraler Venenkatheter durch eine modifizierte Anwendung der intravasalen Elektrokardiographie. Anaesthesist 54, 983–990 (2005). https://doi.org/10.1007/s00101-005-0886-2

Download citation

  • Issue Date:

  • DOI: https://doi.org/10.1007/s00101-005-0886-2

Schlüsselwörter

  • Zentrale Venenkatheterisierung
  • Intraatriale Elektrokardiographie
  • Transösophageale Echokardiographie
  • Anatomie des rechten Vorhofs
  • Thoraxröntgenaufnahme

Keywords

  • Central venous catheterization
  • Transesophageal echocardiography
  • Anatomy of the right atrium
  • Intraatrial electrocardiography
  • Chest x-ray