Skip to main content

Prevelance of the costal cartilage fracture on the computerised tomography in chest trauma

Abstract

Introduction

Radiography remains limited in costal cartilage injuries, and sonography, CT and MR imaging turns out to be more sensitive in the detection of cartilage injuries. This study aims to determine the frequency of costal cartilage fractures detected in the CT images of the patients with high energy chest trauma and to evaluate the association of costal cartilage fracture with the complications of trauma.

Methods

The CT images of 93 patients aged 18–91 years with a trauma admitted to the Emergency Department of the State Hospital between February 2019 and June 2019 were studied retrospectively. Thorax CT images of 93 patients who presented to the emergency department with blunt chest trauma with AIS > 2 were retrospectively investigated by a radiologist with a board certificate who had 15 years of experience in the field.

Results

Costal cartilage fracture was identified in 39 of 93 patients with severe chest trauma. Among the 93 chest trauma patients admitted to the emergency department between February and June 2019, the prevalence of costal cartilage was calculated as 41.93%. Note that the most common costal cartilage fractures in the study group were identified in the 6th, 7th, 8th and 1st costal cartilages. Another significant relationship (p = 0.007) was found between costal cartilage calcification and cartilage fracture.

Conclusion

Costal cartilage fractures frequently occur in blunt thoracic trauma with multiple rib fractures and are of clinical importance as they lead to the instability of chest wall. The incidence of cartilage fractures increases in elderly patients with costal cartilage calcification.

This is a preview of subscription content, access via your institution.

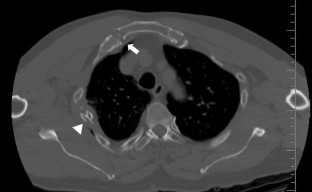
Fig. 1
Fig. 2
Fig. 3

References

  1. Hettrich CM, Browner B. High-energy trauma. Best Pract Res Clin Rheumatol. 2012;26:281–8.

    Article  Google Scholar 

  2. Kozaci N, Avcı M, Ararat E, Pinarbasili T, Ozkaya M, Etli I, et al. Comparison of ultrasonography and computed tomography in the determination of traumatic thoracic injuries. Am J Emerg Med. 2019;37:864–8.

    Article  Google Scholar 

  3. Peters S, Nicolas V, Heyer CM. Multidetector computed tomography-spectrum of blunt chest wall and lung injuries in polytraumatized patients. Clin Radiol. 2010;65:333–8.

    CAS  Article  Google Scholar 

  4. Liman ST, Kuzucu A, Tastepe AI, Ulasan GN, Topcu S. Chest injury due to blunt trauma. Eur J Cardiothorac Surg. 2003;23:374–8.

    Article  Google Scholar 

  5. DeLuca SA, Rhea JT, O’Malley TO. Radiographic evaluation of rib fracture. Am J Roentgenol. 1982;138:91–2.

    CAS  Article  Google Scholar 

  6. Malghem J, Vande Berg B, Lecouvet F, Maldague B. Costal cartilage fractures as revealed on CT and sonography. AJR Am J Roentgenol. 2001;176:429–32.

    CAS  Article  Google Scholar 

  7. Griffith JF, Rainer TH, Ching AS, Law KL, Cocks RA, Metreweli C. Sonography compared with radiography in revealing acute rib fracture. AJR Am J Roentgenol. 1999;173:1603–9.

    CAS  Article  Google Scholar 

  8. Torriani M, Kattapuram SV. Musculoskeletal ultrasound: an alternative imaging modality for sports-related injuries. Top Magn Reson Imaging. 2003;14:103–11.

    Article  Google Scholar 

  9. Subhas N, Kline MJ, Moskal MJ, White LM, Recht MP. MRI evaluation of costal cartilage injuries. AJR Am J Roentgenol. 2008;191:129–32.

    Article  Google Scholar 

  10. Nummela MT, Bensch FV, Pyhältö TT, Koskinen SK. Incidence and imaging findings of costal cartilage fractures in patients with blunt chest trauma: a retrospective review of 1461 consecutive whole-body ct examinations for trauma. Radiology. 2018;28:696–704.

    Article  Google Scholar 

  11. Lopez V Jr, Ma R, Li X, Steele J, Allen AA. Costal cartilage fractures and disruptions in a rugby football player. Clin J Sport Med. 2013;23:232–4.

    Article  Google Scholar 

  12. Kemp SP, Targett SG. Injury to the first rib synchondrosis in a rugby footballer. Br J Sports Med. 1999;33:131–2.

    CAS  Article  Google Scholar 

  13. Willis-Owen C, Kemp SP, Thomas RD. Hepatic injury after costochondral separation in a rugby football player. Clin J Sport Med. 2009;19:70–1.

    Article  Google Scholar 

  14. İnjuries and violence—The Facts 2014, World Health Organization (WHO), https://apps.who.int/iris/bitstream/handle/10665/149798/9789241508018_eng.pdf. Accessed 10 Dec 2019.

  15. Battle C, Hutchings H, Evans PA. Blunt chest wall trauma: a review. Trauma. 2013;15:156–75.

    Article  Google Scholar 

  16. Dreizin D, Munera F. Blunt polytrauma: evaluation with 64-section wholebody CT angiography. Radiographics. 2012;32:609–31.

    Article  Google Scholar 

  17. Sirmali M, Turut H, Topcu S, Gulhan E, Yazici U, Kaya S, et al. A comprehensive analysis of traumatic rib fractures: morbidity, mortality and management. Eur J Cardiothorac Surg. 2003;24:133–8.

    Article  Google Scholar 

  18. Bowling WM, Wilson RF, Kelen GD. Thoracic trauma. In: Tintinalli JE, Kelen GD, Stapczynski JS, editors. Emergency medicine: a comprehensive study guide. 5th ed. New York: McGraw-Hill; 2000. p. 1675–99.

    Google Scholar 

  19. Battistelli JM, Anselem B. Echography in injuries of costal cartilages. J Radiol. 1993;74:409–12.

    CAS  PubMed  Google Scholar 

  20. McAdams TR, Deimel JF, Ferguson J, Beamer BS, Beaulieu CF. Chondral rib fractures in professional American football: two cases and current practice patterns among NFL team physicians. Orthop J Sport Med. 2016;4:1–5.

    Google Scholar 

  21. Daniels SP, Kazam JJ, Yao KV, Xu HS, Green DB. Cough-induced costal cartilage fracture. Clin Imaging. 2019;55:161–4.

    Article  Google Scholar 

  22. Cameron P, Dziukas L, Hadj A, Clark P, Hooper S. Rib fractures in major trauma. Aust N Z J Surg. 1996;66:530–4.

    CAS  Article  Google Scholar 

  23. Yıldızhan A, Göğüs cerrahisi. https://www.jcam.com.tr/files/KATD-1013.pdf. Accessed 10 Dec 2019.

  24. McCormick WF, Stewart JH, Langford LA. Sex determination from chest plate roentgenograms. Am J Phys Anthropol. 1985;68:173–95.

    CAS  Article  Google Scholar 

  25. Rao NG, Pai LM. Costal cartilage calcification pattern: a clue for establishing sex identity. Forensic Sci Int. 1988;38:193–202.

    CAS  Article  Google Scholar 

  26. Rejtarova O, Slizova D, Smoranc P, Rejtar P, Bukac J. Costal cartilages—a clue for determination of sex. Biomed Pap Med Fac Univ Palacky Olomouc Czech Repub. 2004;148:241–3.

    Article  Google Scholar 

Download references

Author information

Affiliations

Authors

Corresponding author

Correspondence to Mert Ozen.

Ethics declarations

Conflict of interest

The authors declare that they have no conflicts of interests.

Rights and permissions

Reprints and Permissions

About this article

Verify currency and authenticity via CrossMark

Cite this article

Ozen, M., Cakmak, V. Prevelance of the costal cartilage fracture on the computerised tomography in chest trauma. Eur J Trauma Emerg Surg 47, 2029–2033 (2021). https://doi.org/10.1007/s00068-020-01368-3

Download citation

  • Received:

  • Accepted:

  • Published:

  • Issue Date:

  • DOI: https://doi.org/10.1007/s00068-020-01368-3

Keywords

  • Costal cartilage fracture
  • Computerised tomography
  • Trauma
  • CT