Skip to main content

Fully threaded headless compression screw versus partially threaded cancellous lag screw in medial malleolus fractures: clinical and radiological outcomes

Abstract

Purpose

The aim of this study was to evaluate the clinical and radiological results of medial malleolar fractures, which were treated with fully threaded headless compression screws and to compare the clinical and radiological results of this screws and partially threaded cancellous lag screws.

Methods

Sixty-one patients who attended the final follow-up examination were included in the study. Group 1 comprised 29 patients applied with fully threaded headless compression screws and Group 2 comprised 32 patients with partially threaded cancellous lag screws. Radiological evaluation was made with standard radiographs. The clinical evaluations were applied using the AOFAS ankle hindfoot scale. Pain or sensitivity by touching over the medial malleolus was recorded and scored according to Visual Analog Scale.

Results

No significant differences were determined between the groups with respect to age, gender, fracture type, follow-up time, bone union time and AOFAS scores. The medial sensitivity associated with implant irritation was significantly lower in Group 1. There was no need for removal of the fixation material in any patient of Group 1.

Conclusions

The results of this study showed satisfactory results in the two fixation techniques in medial malleolar fractures. However, the rates of medial sensitivity associated with implant irritation were lower in the group where fully threaded headless compression screws were used. Therefore, to prevent postoperative patient dissatisfaction caused by persistent medial sensitivity associated with implant irritation, despite successful surgical treatment, the primary choice may be fully threaded headless compression screws.

This is a preview of subscription content, access via your institution.

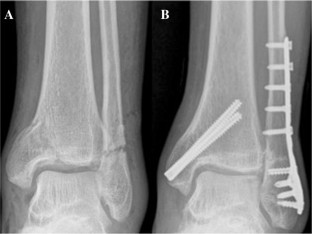
Fig. 1
Fig. 2
Fig. 3

References

  1. Earl M, Wayne J, Brodrick C, Vokshoor A, Adelaar R. Contribution of the deltoid ligament to ankle joint contact characteristics: a cadaver study. Foot Ankle Int. 1996;17:317–24.

    Article  Google Scholar 

  2. Wang X, Zhang C, Yin JW, Wang C, Huang JZ, Ma X, et al. Treatment of medial malleolus or pure deltoid ligament injury in patients with supination-external rotation type IV ankle fractures. Orthop Surg. 2017;9:42–8.

    CAS  Article  Google Scholar 

  3. Wegner AM, Wolinsky PR, Cheng RZ, Robbins MA, Garcia TC, Amanatullah DF. Sled fixation for horizontal medial malleolus fractures. Clin Biomech (Bristol, Avon). 2017;42:92–6.

    Article  Google Scholar 

  4. Ricci WM, Tornetta P, Borrelli J Jr. Lag screw fixation of medial malleolar fractures: a biomechanical, radiographic, and clinical comparison of unicortical partially threaded lag screws and bicortical fully threaded lag screws. J Orthop Trauma. 2012;26:602–6.

    Article  Google Scholar 

  5. Georgiadis GM, White DB. Modified tension band wiring of medial malleolar ankle fractures. Foot Ankle Int. 1995;16:64–8.

    CAS  Article  Google Scholar 

  6. Ostrum RF, Litsky AS. Tension band fixation of medial malleolus fractures. J Orthop Trauma. 1992;6:464–8.

    CAS  Article  Google Scholar 

  7. Jones DA, Cannada LK, Bledsoe JG. Are hook plates advantageous compared to antiglide plates for vertical shear malleolar fractures? Am J Orthop (Belle Mead NJ). 2016;45:98–102.

    Google Scholar 

  8. Patel T, Owen JR, Byrd WA, Graves RB, Chande RD, Mounasamy V, et al. Biomechanical performance of a new device for medial malleolar fractures. Foot Ankle Int. 2013;34:426–33.

    Article  Google Scholar 

  9. Maniar H, Kempegowda H, Tawari AA, Rutter MR, Borade A, Cush G, et al. Medial malleoli fractures: clinical comparison between newly designed sled device and conventional screws. Foot Ankle Spec. 2017;10:296–301.

    Article  Google Scholar 

  10. Hahn DM, Colton CL. Malleoli. In: Ruedi TP, Buckley RE, Moran CG, editors. AO principles of fracture management. New York: AO Publishing Inc; 2009. p. 870–897.

    Google Scholar 

  11. Pollard JD, Deyhim A, Rigby RB, Dau N, King C, Fallat LM, et al. Comparison of pullout strength between 3.5-mm fully threaded, bicortical screws and 4.0-mm partially threaded, cancellous screws in the fixation of medial malleolar fractures. J Foot Ankle Surg. 2010;49:248–52.

    Article  Google Scholar 

  12. Barnes H, Cannada LK, Watson JT. A clinical evaluation of alternative fixation techniques for medial malleolus fractures. Injury. 2014;45:1365–7.

    Article  Google Scholar 

  13. Tekin AÇ, Çabuk H, Dedeoğlu SS, Saygılı MS, Adaş M, Büyükkurt CD, et al. Anterograde headless cannulated screw fixation in the treatment of medial malleolar fractures: evaluation of a new technique and its outcomes. Med Princ Pract. 2016;25:429–34.

    Article  Google Scholar 

  14. Wegner AM, Wolinsky PR, Robbins MA, Garcia TC, Maitra S, Amanatullah DF. Antiglide plating of vertical medial malleolus fractures provides stiffer initial fixation than bicortical or unicortical screw fixation. Clin Biomech (Bristol, Avon). 2016;31:29–32.

    Article  Google Scholar 

  15. Herscovici D Jr, Scaduto JM, Infante A. Conservative treatment of isolated fractures of the medial malleolus. J Bone Jt Surg Br. 2007;89:89–93.

    Article  Google Scholar 

  16. Ibrahim T, Beiri A, Azzabi M, Best AJ, Taylor GJ, Menon DK. Reliability and validity of the subjective component of the American Orthopaedic Foot and Ankle Society clinical rating scales. J Foot Ankle Surg. 2007;46:65–74.

    Article  Google Scholar 

  17. Kitaoka HB, Alexander IJ, Adelaar RS, Nunley JA, Myerson MS, Sanders M. Clinical rating systems for the ankle-hindfoot, midfoot, hallux, and lesser toes. Foot Ankle Int. 1994;15:349–53.

    CAS  Article  Google Scholar 

  18. Lareau CR, Bariteau JT, Paller DJ, Koruprolu SC, DiGiovanni CW. Contribution of the medial malleolus to tibiotalar joint contact characteristics. Foot Ankle Spec. 2015;8:23–8.

    Article  Google Scholar 

  19. Rovinsky D, Haskell A, Liu Q, Paiement GD, Robinovitch S. Evaluation of a new method of small fragment fixation in a medial malleolus fracture model. J Orthop Trauma. 2000;14:420–5.

    CAS  Article  Google Scholar 

  20. Jennings MM, Schuberth JM. Fixation of the medial malleolar fracture: a simplified technique. J Foot Ankle Surg. 2008;47:368–71.

    Article  Google Scholar 

  21. Koslowsky TC, Mader K, Kirchner S, Gausepohl T, Pennig D. Treatment of medial malleolar fractures using fine-threaded K-wires: a new operative technique. J Trauma. 2007;62:258–61.

    Article  Google Scholar 

  22. Kupcha P, Pappas S. Medial malleolar fixation with a bicortical screw: technique tip. Foot Ankle Int. 2008;29:1151–3.

    Article  Google Scholar 

  23. Fowler TT, Pugh KJ, Litsky AS, Taylor BC, French BG. Medial malleolar fractures: a biomechanical study of fixation techniques. Orthopedics. 2011;34:349–55.

    Google Scholar 

  24. Minkowitz RB, Bhadsavle S, Walsh M, Egol KA. Removal of painful orthopaedic implants after fracture union. J Bone Jt Surg Am. 2007;89:1906–12.

    Article  Google Scholar 

  25. Brown OL, Dirschl DR, Obremskey WT. Incidence of hardware-related pain and its effect on functional outcomes after open reduction and internal fixation of ankle fractures. J Orthop Trauma. 2001;15:271–4.

    CAS  Article  Google Scholar 

  26. Sugathan HK, Kilpatrick M, Joyce TJ, Harrison JW. A biomechanical study on variation of compressive force along the Acutrak 2 screw. Injury. 2012;43:205–8.

    Article  Google Scholar 

Download references

Author information

Affiliations

Authors

Corresponding author

Correspondence to Tugrul Bulut.

Ethics declarations

Conflict of interest

The authors declare that they have no conflict of interest.

Ethical approval

All procedures performed in studies involving human participants were in accordance with the ethical standards of the institutional and/or national research committee and with the 1964 Helsinki declaration and its later amendments or comparable ethical standards. Since the study was retrospective, informed consent by patients and providers was not required.

Rights and permissions

Reprints and Permissions

About this article

Verify currency and authenticity via CrossMark

Cite this article

Bulut, T., Gursoy, M. & Ertem, H. Fully threaded headless compression screw versus partially threaded cancellous lag screw in medial malleolus fractures: clinical and radiological outcomes. Eur J Trauma Emerg Surg 47, 179–185 (2021). https://doi.org/10.1007/s00068-019-01207-0

Download citation

  • Received:

  • Accepted:

  • Published:

  • Issue Date:

  • DOI: https://doi.org/10.1007/s00068-019-01207-0

Keywords

  • Medial malleolar fracture
  • Ankle fracture
  • Headless compression screw
  • Cancellous lag screw