Skip to main content

Management of blunt pancreatic trauma: what’s new?

Abstract

Pancreatic injuries are relatively uncommon but present a major challenge to the surgeon in terms of both diagnosis and management. Pancreatic injuries are associated with significant mortality, primarily due to associated injuries, and pancreas-specific morbidity, especially in cases of delayed diagnosis. Early diagnosis of pancreatic trauma is a key for optimal management, but remains a challenge even with more advanced imaging modalities. For both penetrating and blunt pancreatic injuries, the presence of main pancreatic ductal injury is the major determinant of morbidity and the major factor guiding management decisions. For main pancreatic ductal injury, surgery remains the preferred approach with distal pancreatectomy for most injuries and more conservative surgical management for proximal ductal injuries involving the head of the pancreas. More recently, nonoperative management has been utilized, especially in the pediatric population, with the potential for increased rates of pseudocyst and pancreatic fistulae and the potential for the need for further intervention and increased hospital stay. This review presents recent data focusing on the diagnosis, management, and outcomes of blunt pancreatic injury.

This is a preview of subscription content, access via your institution.

Fig. 1
Fig. 2
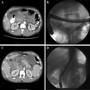
Fig. 3

References

  1. Davis JJ, Con I, Nance FC. Diagnosis and management of blunt abdominal trauma. Ann Surg. 1976;183:672–8.

    CAS  PubMed Central  PubMed  Article  Google Scholar 

  2. Jurkovich GJ, Carrico CJ. Pancreatic trauma. Surg Clin North Am. 1990;70:575–93.

    CAS  PubMed  Google Scholar 

  3. Heitsch RC, Knutson CO, Fulton RL, Jones CE. Delineation of critical factors in the treatment of pancreatic trauma. Surgery. 1976;80:523–9.

    CAS  PubMed  Google Scholar 

  4. Wisner DH, Wold RL, Frey CF. Diagnosis and treatment of pancreatic injuries. An analysis of management principles. Arch Surg. 1990;125:1109–13.

    CAS  PubMed  Article  Google Scholar 

  5. Cogbill TH, Moore EE, Morris JA, Hoyt DB, Jurkovich GJ, Mucha P, Ross SE, Feliciano DV, Shackford SR. Distal pancreatectomy for trauma: a multicenter experience. J Trauma Acute Care Surg. 1991;31:1600–6.

    CAS  Article  Google Scholar 

  6. Akhrass R, Yaffe MB, Brandt CP, Reigle M, Fallon WF, Malangoni MA. Pancreatic trauma: a ten-year multi-institutional experience. Am Surg. 1997;63:598–604.

    CAS  PubMed  Google Scholar 

  7. Vasquez JC, Coimbra R, Hoyt DB, Fortlage D. Management of penetrating pancreatic trauma: an 11-year experience of a level-1 trauma center. Injury. 2001;32:753–9.

    CAS  PubMed  Article  Google Scholar 

  8. Bokhari F, Phelen H, Holevar M, Brautigam R, Collier B, Como JJ, Clancy K, Cumming JK, Cullinane D, Smith L. East guidelines for the diagnosis and management of pancreatic trauma. The Eastern Association for the Surgery of Trauma. 2009. http://www.east.org/tpg/pancreas.pdf. Accessed 15 Aug 2014.

  9. Iqbal CW, St Peter SD, Tsao K, et al. Operative vs nonoperative management for blunt pancreatic transection in children: multi-institutional trial. J Amer Coll Surg. 2014;218:157–62.

    Article  Google Scholar 

  10. Patton JH, Lyden SP, Croce MA, Pritchard FE, Minard G, Kudsk KA, Fabian TC. Pancreatic trauma: a simplified management guideline. J Trauma Acute Care Surg. 1997;43:234–9.

    Article  Google Scholar 

  11. Ilahi O, Bochicchio GV, Scalea TM. Efficacy of computed tomography in the diagnosis of pancreatic injury in adult blunt trauma patients: a single-institutional study. Am Surg. 2002;68:704–7.

    PubMed  Google Scholar 

  12. Jones RC. Management of pancreatic trauma. Am J Surg. 1985;150:698–704.

    CAS  PubMed  Article  Google Scholar 

  13. Smego DR, Richardson JD, Flint LM. Determinants of outcome in pancreatic trauma. J Trauma Acute Care Surg. 1985;25:771–6.

    CAS  Article  Google Scholar 

  14. Leppaniemi AK, Haapianen R, Kiviluoto T, Lempinem M. Pancreatic trauma: acute and late manifestations. Br J Surg. 1988;75:165–7.

    CAS  PubMed  Article  Google Scholar 

  15. Thomason DA, Krige JEJ, Thomson SR, et al. The role of endoscopic retrograde pancreatography in pancreatic trauma: a critical appraisal of 48 patients treated at a tertiary institution. J Trauma Acute Care Surg. 2014;76:1362–6.

    Article  Google Scholar 

  16. Krige JEJ, Kotze UK, Hameed M, et al. Pancreatic injuries after blunt abdominal trauma: an analysis of 110 patients treated at a level I trauma centre. South Afr J Surg. 2011;49:58–67.

    CAS  Google Scholar 

  17. Heuer M, Hussman B, Lefering R, et al. Pancreatic injury in 285 patients with severe trauma: outcome, course and treatment algorthim. Lagenbecks Arch Surg. 2011;396:1067–76.

    Article  Google Scholar 

  18. Kong Y, Zhang H, He X, et al. Endoscopic management for pancreatic injuries due to blunt abdominal trauma decreases failure of nonoperative management and incidence of pancreatic associated complications. Injury. 2014;45:134–40.

    PubMed  Article  Google Scholar 

  19. Vane DW, Grosfeld JL, West KW, Rescorla FJ. Pancreatic disorders in infancy and childhood: experience with 92 cases. J Pediatr Surg. 1989;24:771–6.

    CAS  PubMed  Article  Google Scholar 

  20. Lerner A, Branski D, Lebenthal E. Pancreatic diseases in children. Pediatr Clin North Am. 1996;43:125–56.

    CAS  PubMed  Article  Google Scholar 

  21. Takishima T, Sugimoto K, Asari Y, Kikuno T, Hirata M, Kakita A, Ohwada T, Maekawa K. Characteristics of pancreatic injury in children: a comparison with such injury in adults. J Pediatr Surg. 1996;31:896–900.

    CAS  PubMed  Article  Google Scholar 

  22. Arkovitz MS, Johnson N, Garcia VF. Pancreatic trauma in children: mechanisms of injury. J Trauma Acute Surg. 1997;42:49–53.

    CAS  Article  Google Scholar 

  23. Nadler EP, Gardner M, Schall LC, Lynch JM, Ford HR. Management of blunt pancreatic injury in children. J Trauma Acute Care Surg. 1999;47:1098–103.

    CAS  Article  Google Scholar 

  24. Beres AL, Wales PW, Christison-Lagay ER, et al. Non-operative management of high grade pancreatic trauma: is it worth the wait? J Ped Surg. 2013;48:1060–4.

    Article  Google Scholar 

  25. Mattix KD, Tataria M, Holmes J, et al. Pediatric pancreatic trauma: predictors of nonoperative management failure and associated outcomes. J Ped Surg. 2007;42:340–4.

    Article  Google Scholar 

  26. Moore EE, Cogbill TH, Malangoni MA, Jurkovich GJ, Champion HR, Gennarelli TA, McAninch JW, Pachter HL, Shackford SR, Trafton PG. Organ injury scaling, II: pancreas, duodenum, small bowel, colon, and rectum. J Trauma Acute Care Surg. 1990;30:1427–9.

    CAS  Article  Google Scholar 

  27. Lucas CE. Diagnosis and treatment of pancreatic and duodenal injury. Surg Clin North Am. 1977;57:49–65.

    CAS  PubMed  Google Scholar 

  28. Sharpe JP, Magnotti LJ, Weinberg JA, et al. Impact of a defined management algorithm on outcome after traumatic pancreatic injury. J Trauma ACS. 2012;72:100–5.

    Google Scholar 

  29. Bradley EL, Young PR, Chang MC, Allen JE, Baker CC, Meredith W, Reed L, Thomason M. Diagnosis and initial management of blunt pancreatic trauma: guidelines from a multiinstitutional review. Ann Surg. 1998;227:861–9.

    PubMed Central  PubMed  Article  Google Scholar 

  30. Tyburski JG, Dente CJ, Wilson RF, Shanti C, Steffes CP, Carlin A. Infectious complications following duodenal and/or pancreatic trauma. Am Surg. 2001;67:227–30.

    CAS  PubMed  Google Scholar 

  31. Lin BC, Chen RJ, Fang JF, Hsu YP, Kao YC, Kao JL. Management of blunt major pancreatic injury. J Trauma Acute Care Surg. 2004;56:774–8.

    Article  Google Scholar 

  32. Biffl WL, Moore EE, Croce M, et al. Western Trauma Association critical decisions in trauma: management of pancreatic injury. J Trauma Acute Care Surg. 2013;75:941–6.

    PubMed  Article  Google Scholar 

  33. Leppaniemi AK, Haapiainen RK. Risk factors of delayed diagnosis of pancreatic trauma. Eur J Surg. 1999;165:1134–7.

    CAS  PubMed  Article  Google Scholar 

  34. Moretz JA, Campbell DP, Parker DE, Williams GR. Significance of serum amylase level in evaluating pancreatic trauma. Am J Surg. 1975;130:739–41.

    PubMed  Article  Google Scholar 

  35. Takishima T, Sugimoto K, Hirata M, Asari Y, Ohwada T, Kakita A. Serum amylase level on admission in the diagnosis of blunt injury to the pancreas: its significance and limitations. Ann Surg. 1997;226:70–6.

    CAS  PubMed Central  PubMed  Article  Google Scholar 

  36. Adamson WT, Hebra A, Thomas PB, Wagstaff P, Tagge EP, Othersen HB. Serum amylase and lipase alone are not cost-effective screening methods for pediatric pancreatic trauma. J Pediatr Surg. 2003;38:354–7.

    PubMed  Article  Google Scholar 

  37. Vitale GC, Larson GM, Davidson PR, Bouwman DL, Weaver DW. Analysis of hyperamylasemia in patients with severe head injury. J Surg Res. 1987;43:226–33.

    CAS  PubMed  Article  Google Scholar 

  38. Buechter KJ, Arnold M, Steele B, Martin L, Byers P, Gomez G, Zeppa R, Augenstein J. The use of serum amylase and lipase in evaluating and managing blunt abdominal trauma. Am Surg. 1990;56:204–8.

    CAS  PubMed  Google Scholar 

  39. Pate SV, Spencer JA, el-Hasani S, et al. Imaging of pancreatic trauma. Br J Radiol. 1998;71:985–90.

    Article  Google Scholar 

  40. Akhrass R, Kim K, Brandt C. Computed tomography: an unreliable indicator of pancreatic trauma. Am Surg. 1996;62:647–51.

    CAS  PubMed  Google Scholar 

  41. Bigattini D, Boverie JH, Dondelinger RF. CT of blunt trauma of the pancreas in adults. Eur Radiol. 1999;9:244–9.

    CAS  PubMed  Article  Google Scholar 

  42. Duchesne JC, Schmieg R, Islam S, et al. Selective nonoperative management of low-grade blunt pancreatic injury: are we there yet? J Trauma. 2008;65:49–53.

    PubMed  Article  Google Scholar 

  43. Kim HS, Lee DK, Kim IW, Baik SK, Kwon SO, Park JW, Cho NC, Rhoe BS. The role of endoscopic retrograde pancreatography in the treatment of traumatic pancreatic duct injury. Gastrointest Endosc. 2001;54:49–55.

    CAS  PubMed  Article  Google Scholar 

  44. Smith DR, Stanley RJ, Rue LW. Delayed diagnosis of pancreatic transection after blunt abdominal trauma. J Trauma Acute Care Surg. 1996;40:1009–13.

    CAS  Article  Google Scholar 

  45. Phelan HA, Velmahos GC, Jurkovich GJ, et al. An evaluation of multidetector computed tomography in detecting pancreatic injury: results of a multicenter AAST study. J Trauma Acute Care Surg. 2009;66:641–6.

    Article  Google Scholar 

  46. Canty TG, Weinman D. Treatment of pancreatic duct disruption in children by an endoscopically placed stent. J Pediatr Surg. 2001;36:345–8.

    PubMed  Article  Google Scholar 

  47. Huckfeldt R, Agee C, Nichols WK, Barthel J. Nonoperative treatment of traumatic pancreatic duct disruption using an endoscopically placed stent. J Trauma Acute Care Surg. 1996;41:143–4.

    CAS  Article  Google Scholar 

  48. Rogers SJ, Cello JP, Schecter WP. Endoscopic retrograde cholangiopancreatography in patients with pancreatic trauma. J Trauma Acute Care Surg. 2010;68:538–44.

    Article  Google Scholar 

  49. Wind P, Tiret E, Cunningham C, Frileux P, Cugnenc PH, Parc R. Contribution of endoscopic retrograde pancreatography in management of complications following distal pancreatic trauma. Am Surg. 1999;65:777–83.

    CAS  PubMed  Google Scholar 

  50. Nirula R, Velmahos GC, Demetriades D. Magnetic resonance cholangiopancreatography in pancreatic trauma: a new diagnostic modality? J Trauma Acute Care Surg. 1999;47:585–7.

    CAS  Article  Google Scholar 

  51. Fulcher AS, Turner MA, Yelon JA, McClain LC, Broderick T, Ivatury RR, Sugerman HJ. Magnetic resonance cholangiopancreatography (MRCP) in the assessment of pancreatic duct trauma and its sequelae: preliminary findings. J Trauma Acute Care Surg. 2000;48:1001–7.

    CAS  Article  Google Scholar 

  52. Fabian TC, Kudsk KA, Croce MA, Payne LW, Mangiante EC, Voeller GR, Britt LG. Superiority of closed suction drainage for pancreatic trauma. A randomized, prospective study. Ann Surg. 1990;211:724–8.

    CAS  PubMed Central  PubMed  Article  Google Scholar 

  53. Farrell RJ, Krige JE, Bornman PC, Knottenbelt JD, Terblanche J. Operative strategies in pancreatic trauma. Br J Surg. 1996;83:934–7.

    CAS  PubMed  Article  Google Scholar 

  54. Zhou W, Lv R, Wang X, et al. Stapler vs suture closure of pancreatic remnant after distal pancreatectomy: a meta-analysis. Am J Surg. 2010;200:529–36.

    PubMed  Article  Google Scholar 

  55. Diener MK, Seiler CM, Rossian I, et al. Efficacy of stapler versus handsewn closure after distal pancreatectomy (DISPACT): a randomized, controlled multicentre trial. Lancet. 2011;377:1514–22.

    PubMed  Article  Google Scholar 

  56. Orci LA, Oldani G, Berney T, et al. Systematic review and meta-analysis of fibrin sealants for patients undergoing pancreatic resection. HPB. 2014. doi:10.1111/hpb.12064.

    PubMed Central  PubMed  Google Scholar 

  57. Hanna EM, Martinie JB, Swan RZ, et al. Fibrin sealants and topical agents in hepatobiliary and pancreatic surgery: a critical appraisal. Langenbecks Arch Surg. 2014. doi:10.1007/s00423-014-1215-5.

    PubMed  Google Scholar 

  58. Pachter HL, Hofstetter SR, Liang HG, Hoballah J. Traumatic injuries to the pancreas: the role of distal pancreatectomy with splenic preservation. J Trauma Acute Care Surg. 1989;29:1352–5.

    CAS  Article  Google Scholar 

  59. Mansour MA, Moore JB, Moore EE, et al. Conservative management of combined pancreatoduodenal injuries. Am J Surg. 1989;158:531–5.

    CAS  PubMed  Article  Google Scholar 

  60. Feliciano DV, Martin TD, Cruse PA, et al. Management of combined pancreatoduodenal injuries. Ann Surg. 1987;205:673–80.

    CAS  PubMed Central  PubMed  Article  Google Scholar 

  61. van der Wilden GM, Yeh DD, Hwabejire JO, et al. Trauma Whipple: do or don’t after severe pancreaticoduodenal injuries? An analysis of the National Trauma Data Bank. World J Surg. 2014;38:335–40.

    PubMed  Article  Google Scholar 

  62. Holland AJ, Davey RB, Sparnon AL, Chapman M, LeQuesne GW. Traumatic pancreatitis: long-term review of initial non-operative management in children. J Paediatr Child Health. 1999;35:78–81.

    CAS  PubMed  Article  Google Scholar 

  63. Keller MS, Stafford PW, Vane DW. Conservative management of pancreatic trauma in children. J Trauma Acute Care Surg. 1997;42:1097–100.

    CAS  Article  Google Scholar 

  64. Shilyansky J, Sena LM, Kreller M, Chait P, Babyn PS, Filler RM, Pearl RH. Nonoperative management of pancreatic injuries in children. J Pediatr Surg. 1998;33:343–9.

    CAS  PubMed  Article  Google Scholar 

  65. Friess H, Bordihn K, Ebert M, Malfertheiner P, Kemmer T, Dennler HJ, Bucher MW. Inhibition of pancreatic secretion under long-term octreotide treatment in humans. Digestion. 1994;55(Suppl 1):10–5.

    CAS  PubMed  Article  Google Scholar 

  66. Bassi C, Falconi M, Lombardi D, Briani G, Vesentini S, Camboni MG, Pederzoli P. Prophylaxis of complications after pancreatic surgery: results of a multicenter trial in Italy. Italian Study Group. Digestion. 1994;55(Suppl 1):41–7.

    PubMed  Article  Google Scholar 

  67. Buchler M, Friess H, Klempa I, Hermanek P, Sulkowski U, Becker H, Schafmayer A, Baca I, Lorenz D, Meister R. Role of octreotide in the prevention of postoperative complications following pancreatic resection. Am J Surg. 1992;163:125–30.

    CAS  PubMed  Article  Google Scholar 

  68. Amirata E, Livingston DH, Elcavage J. Octreotide acetate decreases pancreatic complications after pancreatic trauma. Am J Surg. 1994;168:345–7.

    CAS  PubMed  Article  Google Scholar 

  69. Nwariaku FE, Terracina A, Mileski WJ, Minei JP, Carrico CJ. Is octreotide beneficial following pancreatic injury? Am J Surg. 1995;170:582–5.

    CAS  PubMed  Article  Google Scholar 

  70. Wales PW, Shuckett B, Kim PC. Long-term outcome after nonoperative management of complete traumatic pancreatic transection in children. J Pediatr Surg. 2001;36:823–7.

    CAS  PubMed  Article  Google Scholar 

Download references

Conflict of interest

Douglas A. Potoka, Barbara A. Gaines, Ari Leppäniemi, and Andrew B. Peitzman declare that they have no conflict of interest.

Ethical standard

This work is in compliance with ethical requirements. Douglas A. Potoka, Barbara A. Gaines, Ari Leppäniemi, and Andrew B. Peitzman declare that this is a review article that includes no studies on humans or animals.

Author information

Affiliations

Authors

Corresponding author

Correspondence to A. B. Peitzman.

Rights and permissions

Reprints and Permissions

About this article

Verify currency and authenticity via CrossMark

Cite this article

Potoka, D.A., Gaines, B.A., Leppäniemi, A. et al. Management of blunt pancreatic trauma: what’s new?. Eur J Trauma Emerg Surg 41, 239–250 (2015). https://doi.org/10.1007/s00068-015-0510-3

Download citation

  • Received:

  • Accepted:

  • Published:

  • Issue Date:

  • DOI: https://doi.org/10.1007/s00068-015-0510-3

Keywords

  • Pancreatic injury
  • Blunt abdominal trauma
  • ERCP
  • Nonoperative management