Skip to main content

Hoffa fracture: fixation using headless compression screws

Abstract

Introduction

Hoffa fractures are uni- or bicondylar fractures of the distal femur in a coronal tangential plane.

Case Presentation

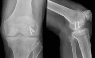
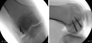
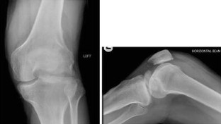
We report the case of an isolated, low energy, closed, displaced, lateral femoral condyle Hoffa fracture in a 54 year old Caucasian man. This was treated by open reduction and internal fixation using two headless compression screws. At 1 year review the patient was pain free, the fracture had radiographically united and there was a range of movement to his knee of 0°–100°.

Discussion

Traditional methods of fixation for Hoffa fractures have led either to the application of complicated constructs attempting to achieve stability, or to large articular surface defects created whilst countersinking headed lag screws. Both have negative implications for the patient. We describe a novel method, not previously described in the literature, using screws in a posterior to anterior direction. This provides compression perpendicular to the fracture site whilst protecting against shear and torsional forces, thereby providing more stable fixation. Furthermore, our method allows for a minimally invasive approach and uses headless compression screws, which reduces the chance of damage to the articular surface and is, therefore, less physiologically invasive.

This is a preview of subscription content, access via your institution.

Fig. 1
Fig. 2
Fig. 3

References

  1. Agarwel S, Giannoudis P, Smith R. Cruciate fracture of the distal femur: the double Hoffa fracture. Injury. 2004;35:828–30.

    Article  Google Scholar 

  2. Jarit G, Kummer F, Gibber M, Egol K. A mechanical evaluation of two fixation methods using cancellous screws for coronal fractures of the lateral condyle of the distal femur (OTA 33B). J Orthop Trauma. 2006;20(4):273–6.

    Article  PubMed  Google Scholar 

  3. Letenneur J, Labour P, Rogez J, et al. Hoffa’s fractures––report of 20 cases (author’s transl) [French]. Ann Chir. 1978;32(3–4):213–9. (Eng. Abst).

    CAS  PubMed  Google Scholar 

  4. O’Brien P. Fractures of the distal femur. In: Bucholz R, Heckman J, Court-Brown C, et al., editors. Rockwood and Green’s fractures in adults. Philadelphia: Lippincott Williams & Wilkins; 2005. p. 1915–67.

    Google Scholar 

  5. Baker B, Escobedo E, Nork S, Henley M. Hoffa fracture––a common association with high energy supracondylar fractures of the distal femur. Am J Roentgenol. 2002;178:994.

    Google Scholar 

  6. Heyschen U, Gohring U, Meeder P. Bilateral Hoffa fracture: a rarity. Aktuelle Traumatol. 1994;24(3):83–6.

    Google Scholar 

  7. Lewis S, Pozo J, Muirhead-Allwood W. Coronal fractures of the lateral femoral condyle. J Bone Joint Surg. 1989;71-B:118–20.

    Google Scholar 

  8. Westmoreland G, McLaurin T, Hutton W. Screw pullout strength: a biomechanical comparison of large-fragment and small-fragment fixation in the tibial plateau. J Orthop Trauma. 2002;16(3):178–81.

    Article  PubMed  Google Scholar 

  9. Karunaker M, Egol K, Peindl R, et al. Split depression tibial plateau fractures. A biomechanical study. J Orthop Trauma. 2002;16(3):172–7.

    Article  Google Scholar 

Download references

Conflict of interest statement

No funds were received in support of this study. No benefits in any form have been or will be received from a commercial party related directly or indirectly to the subject of this manuscript.

Author information

Affiliations

Authors

Corresponding author

Correspondence to V. Borse.

Rights and permissions

Reprints and Permissions

About this article

Cite this article

Borse, V., Hahnel, J. & Cohen, A. Hoffa fracture: fixation using headless compression screws. Eur J Trauma Emerg Surg 36, 477–479 (2010). https://doi.org/10.1007/s00068-010-0014-0

Download citation

  • Received:

  • Accepted:

  • Published:

  • Issue Date:

  • DOI: https://doi.org/10.1007/s00068-010-0014-0

Keywords

  • Hoffa
  • Distal femoral fracture
  • Headless compression screws
  • AO 33B3