Abstract
Background
Primary localized amyloidosis is characterized by the deposition of amyloid proteins restricted to one organ, without systemic involvement. Primary nasopharyngeal amyloidosis is an exceedingly rare condition, for which the standard treatment remains unknown. Because of its challenging anatomical position, surgery alone hardly results in complete resection of the localized amyloidosis. Therefore, an interdisciplinary planning board to design optimal treatment is of particular importance.
Patient and methods
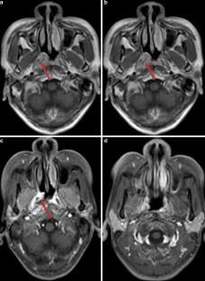
A 39-year-old man presented with a several-week history of nasal obstruction and epistaxis. Computed tomography (CT) and magnetic resonance imaging (MRI) revealed the presence of a retro-odontoid nonenhancing soft tissue mass.
Results
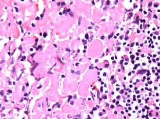
The endoscopic biopsy demonstrated that the mass was amyloid in nature. An extensive systemic workup revealed an absence of inflammatory process, systemic amyloidosis, or plasma cell dyscrasia. The patient was treated with a combination of surgery and radiotherapy, showing no evidence of recurrence or progression at his 1‑year follow-up.
Conclusion
Primary solitary amyloidosis is a rare form of amyloidosis. To the best of our knowledge, this is the first report of a nasopharyngeal amyloidosis case treated with excision and radiation leading to complete remission. Because of the difficulty for surgeons to achieve radical resection with such lesions, radiotherapy proved to be an excellent adjuvant treatment in this case.
Zusammenfassung
Hintergrund
Die primäre lokalisierte Amyloidose ist durch die Ablagerung von Amyloidproteinen gekennzeichnet, die sich auf ein Organ beschränkt, also nicht systemisch ist. Eine primäre Amyloidose im Nasen-Rachen-Raum ist außerordentlich selten, bisher gibt es keine Standardtherapie. Ihre anatomische Position bedeutet eine Herausforderung, nur selten resultiert eine chirurgische Intervention in einer vollständigen Resektion der lokalisierten Amyloidose. Daher ist die Beteiligung mehrerer Disziplinen für eine optimale Behandlung von besonderer Bedeutung.
Patient und Methoden
Bei einem 39-jährigen Patienten mit seit einigen Wochen bestehenden Symptomen nasaler Obstruktion und Nasenbluten zeigten Computer- (CT) und Magnetresonanztomographie (MRT) einen hinter dem Dens liegenden Weichteiltumor ohne Enhancement.
Ergebnisse
Die endoskopisch gewonnene Biopsie zeigte, dass es sich bei dem Tumor um eine Amyloidose handelte. Eine umfassende Diagnostik ergab keine entzündlichen Prozesse, keine systematische Amyloidose und keine Plasmazell-Dyskrasie. Der Patient wurde kombiniert chirurgisch und strahlentherapeutisch behandelt. In der 1‑Jahr-Follow-up-Untersuchung fand sich kein Hinweis für ein Rezidiv bzw. einen Progress.
Fazit
Die primäre solitäre Amyloidose ist eine seltene Amyloidoseform. Unseres Wissens ist dies der erste Bericht eines Patienten mit nasopharnygealer Amyloidose, der kombiniert chirurgisch und strahlentherapeutisch behandelt wurde und bei dem eine vollständige Remission erzielt wurde. Wegen der schwierig zu erreichenden radikalen Resektion bei Läsionen in diesem Bereich hat sich die Strahlentherapie für den vorgestellten Patienten als ausgezeichnete adjuvante Behandlungsoption erwiesen.



References
Westermark P, Benson MD, Buxbaum JN et al (2005) Amyloid: toward terminology clarification. Report from the nomenclature committee of the international society of amyloidosis. Amyloid 12:1–4. doi:10.1080/13506120500032196
Werner BC, Shen FH, Shimer AL (2013) Primary cervical amyloidoma: a case report and review of the literature. Spine J 13:e1–e7. doi:10.1016/j.spinee.2013.04.003
Bardin RL, Barnes CE, Stanton CA et al (2004) Soft tissue amyloidoma of the extremities: a case report and review of the literature. Arch Pathol Lab Med 128:1270–1273. doi:10.1043/1543-2165(2004)128〈1270:STAOTE〉2.0.CO;2
Maheshwari AV, Muro-Cacho CA, Kransdorf MJ et al (2009) Soft-tissue amyloidoma of the extremities: a case report and review of literature. Skeletal Radiol 38:287–292. doi:10.1007/s00256-008-0621-6
Mahon C, Oliver F, Purvis D et al (2015) Amyloidosis cutis dyschromica in two siblings and review of the epidemiology, clinical features and management in 48 cases. Australas J Dermatol. doi:10.1111/ajd.12342
Hazenberg BP (2013) Amyloidosis: a clinical overview. Rheum Dis Clin North Am 39:323–345. doi:10.1016/j.rdc.2013.02.012
Glenner GG, Wong CW (2012) Alzheimer’s disease: initial report of the purification and characterization of a novel cerebrovascular amyloid protein. Biochem Biophys Res Commun 425:534–539. doi:10.1016/j.bbrc.2012.08.020
Sattianayagam PT, Hawkins PN, Gillmore JD (2009) Systemic amyloidosis and the gastrointestinal tract. Nat Rev Gastroenterol Hepatol 6:608–617. doi:10.1038/nrgastro.2009.147
Glenner GG (1980) Amyloid deposits and amyloidosis: the beta-fibrilloses. N Engl J Med 302:1283–1292. doi:10.1056/NEJM198006053022305
Scott PP, Scott WW, Siegelman SS (1986) Amyloidosis: an overview. Semin Roentgenol 21:103–112. doi:10.1016/0037-198X(86)90027-1
Parmar H, Rath T, Castillo M et al (2010) Imaging of focal amyloid depositions in the head, neck, and spine: amyloidoma. AJNR Am J Neuroradiol 31:1165–1170. doi:10.3174/ajnr.A1977
Durbec M, Ambrun A, Barnoud R et al (2012) Localized nasopharyngeal amyloidosis. Eur Ann Otorhinolaryngol Head Neck Dis 129:160–162. doi:10.1016/j.anorl.2011.10.010
Gilad R, Milillo P, Som PM (2007) Severe diffuse systemic amyloidosis with involvement of the pharynx, larynx, and trachea: CT and MR findings. AJNR Am J Neuroradiol 28:1557–1558. doi:10.3174/ajnr.A0604
Alexiou C, Kau RJ, Dietzfelbinger H et al (1999) Extramedullary plasmacytoma: tumor occurrence and therapeutic concepts. Cancer 85:2305–2314
Patel A, Pambuccian S, Maisel R (2002) Nasopharyngeal amyloidosis. Am J Otolaryngol 23:308–311. doi:10.1053/ajot.2002.124195
Lesserson JA, Finn DG (1995) Endoscopic treatment of amyloidosis of the nasopharynx. Am J Rhinol 9:43–47. doi:10.2500/105065895781874033
Kramer R, Som ML (1935) Local tumor-like deposits of amyloid in the larynx: report of a case with a review of the literature. Arch Otolaryngol 21:324–334. doi:10.1001/archotol.1935.00640020334008
Ottosson BG (1955) Isolated amyloidosis of the nose report of a case. Acta Otolaryngol 45:59–61. doi:10.3109/00016485509118143
Garrett JA (1968) Amyloid deposits in the nose and maxillary sinuses: report of a case. Arch Otolaryngol 87:411–412. doi:10.1001/archotol.1968.00760060413014
Zakzouk MS (1984) An unusual aetiology of unilateral glue ear in a child. J Laryngol Otol 98:519–522. doi:10.1017/S0022215100146997
Mufarrij AA, Busaba NY, Zaytoun GM et al (1990) Primary localized amyloidosis of the nose and paranasal sinuses. A case report with immunohistochemical observations and a review of the literature. Am J Surg Pathol 14:379–383. doi:10.1097/00000478-199004000-00011
Tsikoudas A, Martin-Hirsch DP, Woodhead CJ (2001) Primary sinonasal amyloidosis. J Laryngol Otol 115:55–56. doi:10.1258/0022215011906803
Elcock HW, Grimaldi P (1996) Post-nasal obstruction by amyloid, secondary to Waldenstrom’s macroglobulinaemia. J Laryngol Otol 1972(86):1075–1079
Dominguez S, Wienberg P, Claros P et al (1996) Primary localized nasopharyngeal amyloidosis: a case report. Int J Pediatr Otorhinolaryngol 36:61–67
Lim JS, Lebowitz RA, Jacobs JB (1999) Primary amyloidosis presenting as a nasopharyngeal mass. Am J Rhinol 13:209–212. doi:10.2500/105065899781389768
Kurrus JA, Hayes JK, Hoidal JR et al (1998) Radiation therapy for tracheobronchial amyloidosis. Chest 114:1489–1492. doi:10.1378/chest.114.5.1489
Truong MT, Kachnic LA, Grillone GA et al (2012) Long-term results of conformal radiotherapy for progressive airway amyloidosis. Int J Radiat Oncol Biol Phys 83:734–739. doi:10.1016/j.ijrobp.2011.07.036
Thibault I, Vallières I (2011) Macroglossia due to systemic amyloidosis: is there a role for radiotherapy? Case Rep Oncol 4(2):392–399. doi:10.1159/000330238
Creach KM, Foote RL, Neben-Wittich MA et al (2009) Radiotherapy for extramedullary plasmacytoma of the head and neck. Int J Radiat Oncol Biol Phys 73:789–794. doi:10.1016/j.ijrobp.2008.04.077
Gallivan GJ, Gallivan HK (2010) Laryngeal amyloidosis causing hoarseness and airway obstruction. J Voice 24:235–239. doi:10.1016/j.jvoice.2008.07.006
Neuner GA, Badros AA, Meyer TK et al (2012) Complete resolution of laryngeal amyloidosis with radiation treatment. Head Neck 34:748–752. doi:10.1002/hed.21626
Kitaevich EP, Voitsekhovskaia SG (1977) Treatment of local laryngeal amyloidosis. Zh Ushn Nos Gorl Bolezn 1:96–97
Saarilahti K, Kouri M, Collan J et al (2005) Intensity modulated radiotherapy for head and neck cancer: evidence for preserved salivary gland function. Radiother Oncol 74:251–258. doi:10.1016/j.radonc.2004.11.004
Peng G, Wang T, Yang KY et al (2012) A prospective, randomized study comparing outcomes and toxicities of intensity-modulated radiotherapy vs. conventional two-dimensional radiotherapy for the treatment of nasopharyngeal carcinoma. Radiother Oncol 104:286–293. doi:10.1016/j.radonc.2012.08.013
Arenas M, Gil F, Gironella M et al (2006) Anti-inflammatory effects of low-dose radiotherapy in an experimental model of systemic inflammation in mice. Int J Radiat Oncol Biol Phys 66:560–567. doi:10.1016/j.ijrobp.2006.06.004
Arenas M, Gil F, Gironella M et al (2008) Time course of anti-inflammatory effect of low-dose radiotherapy: correlation with TGF-beta(1) expression. Radiother Oncol 86:399–406. doi:10.1016/j.radonc.2007.10.032
Hu K, Yahalom J (2000) Radiotherapy in the management of plasma cell tumors. Oncology 14:101–108
Bosch A, Frias Z (1988) Radiotherapy in the treatment of multiple myeloma. Int J Radiat Oncol Biol Phys 15:1363–1369. doi:10.1016/0360-3016(88)90232-5
Liebross RH, Ha CS, Cox JD et al (1999) Clinical course of solitary extramedullary plasmacytoma. Radiother Oncol 52:245–249. doi:10.1016/S0167-8140(99)00114-0
Author information
Authors and Affiliations
Corresponding author
Ethics declarations
Conflict of interest
M. Luo, G. Peng, L. Shi, X. Ming, Z. Li, S. Fei, Q. Ding, and J. Jing state that there are no conflicts of interest.
The accompanying manuscript does not include studies on humans or animals.
Additional information
Ming Luo and Gang Peng contributed equally to this work and should be considered co-first authors
Rights and permissions
About this article
Cite this article
Luo, M., Peng, G., Shi, L. et al. Intensity-modulated radiotherapy for localized nasopharyngeal amyloidosis. Strahlenther Onkol 192, 944–950 (2016). https://doi.org/10.1007/s00066-016-0996-6
Received:
Accepted:
Published:
Issue Date:
DOI: https://doi.org/10.1007/s00066-016-0996-6