Abstract
Purpose
As a result of multilateral migration and globalization in times of humanitarian crises, western countries face a possible increase in the incidence of central nervous system tuberculosis (CNS TB). The diagnosis of CNS TB is challenging and often delayed due to the manifold and often non-specific presentation of the disease. The aim of this review is to analyze and summarize imaging features and correlated clinical findings of CNS TB.
Methods
The different manifestations of CNS TB are explained and illustrated by characteristic neuroradiological as well as neuropathological findings. An overview on diagnostic and therapeutic approaches is provided. For clarity, tables summarizing the lesion patterns, differential diagnoses and diagnostic hints are added.
Results
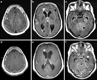
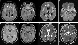
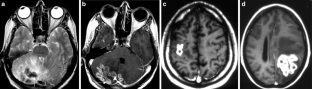
The CNS TB can be manifested (1) diffuse as tuberculous meningitis (TBM), (2) localized as tuberculoma or (3) tuberculous abscess or (4) in extradural and intradural spinal infections. Information on clinical presentation, underlying pathology and the distinguishing features is demonstrated. The TBM is further described, which may lead to cranial nerve palsy, hydrocephalus and infarction due to associated arteritis of the basal perforators. The differential diagnoses are vast and include other infections, such as bacterial, viral or fungal meningoencephalitis, malignant causes or systemic inflammation with CNS. Complicating factors of diagnosis and treatment are HIV coinfection, multi-drug resistance and TB-associated immune reconstitution inflammatory syndrome (IRIS).
Conclusions
Neurologists and (neuro-)radiologists should be familiar with the neuroradiological presentation and the clinical course of CNS TB to ensure timely diagnosis and treatment.














References
World Health Organization. Global tuberculosis report 2016. Geneva: WHO; 2016.
Raviglione MC, Snider DE Jr, Kochi A. Global epidemiology of tuberculosis. Morbidity and mortality of a worldwide epidemic. JAMA. 1995;273:220–6.
Bernaerts A, Vanhoenacker FM, Parizel PM, Van Goethem JW, Van Altena R, Laridon A, De Roeck J, Coeman V, De Schepper AM. Tuberculosis of the central nervous system: overview of neuroradiological findings. Eur Radiol. 2003;13:1876–90.
World Health Organization. Global tuberculosis control: surveillance, planning, financing. Geneva: WHO; 2004.
Verdon R, Chevret S, Laissy JP, Wolff M. Tuberculous meningitis in adults: review of 48 cases. Clin Infect Dis. 1996;22:982–8.
Wilkinson RJ, Rohlwink U, Misra UK, van Crevel R, Mai NTH, Dooley KE, Caws M, Figaji A, Savic R, Solomons R, Thwaites GE; Tuberculous Meningitis International Research Consortium. Tuberculous meningitis. Nat Rev Neurol. 2017;13:581–98.
Rock RB, Olin M, Baker CA, Molitor TW, Peterson PK. Central nervous system tuberculosis: pathogenesis and clinical aspects. Clin Microbiol Rev. 2008;21:243–61. table of contents.
Peto HM, Pratt RH, Harrington TA, LoBue PA, Armstrong LR. Epidemiology of extrapulmonary tuberculosis in the United States, 1993–2006. Clin Infect Dis. 2009;49:1350–7.
El Sahly HM, Teeter LD, Pan X, Musser JM, Graviss EA. Mortality associated with central nervous system tuberculosis. J Infect. 2007;55:502–9.
Kennedy DH, Fallon RJ. Tuberculous meningitis. JAMA. 1979;241:264–8.
Thwaites GE, Schoeman JF. Update on tuberculosis of the central nervous system: pathogenesis, diagnosis, and treatment. Clin Chest Med. 2009;30:745–54.
Department of Health. Reported tuberculosis in the United States, 2013. 2014.
Phypers M, Harris T, Power C. CNS tuberculosis: a longitudinal analysis of epidemiological and clinical features. Int J Tuberc Lung Dis. 2006;10:99–103.
Hoşoğlu S, Geyik MF, Balik I, Aygen B, Erol S, Aygencel SG, Mert A, Saltoğlu N, Dökmetaş I, Felek S, Sünbül M, Irmak H, Aydin K, Ayaz C, Kökoğlu OF, Uçmak H, Satilmiş S. Tuberculous meningitis in adults in Turkey: epidemiology, diagnosis, clinic and laboratory [corrected]. Eur J Epidemiol. 2003;18:337-43.
Arvanitakis Z, Long RL, Hershfield ES, Manfreda J, Kabani A, Kunimoto D, Power C. M. tuberculosis molecular variation in CNS infection: evidence for strain-dependent neurovirulence. Neurology. 1998;50:1827–32.
Bishburg E, Sunderam G, Reichman LB, Kapila R. Central nervous system tuberculosis with the acquired immunodeficiency syndrome and its related complex. Ann Intern Med. 1986;105:210–3.
Thwaites GE, Tran TH. Tuberculous meningitis: many questions, too few answers. Lancet Neurol. 2005;4:160–70.
Lesprit P, Zagdanski AM, de La Blanchardière A, Rouveau M, Decazes JM, Frija J, Lagrange P, Modaï J, Molina JM. Cerebral tuberculosis in patients with the acquired immunodeficiency syndrome (AIDS). Report of 6 cases and review. Medicine (Baltimore). 1997;76:423–31.
Askling J, Fored CM, Brandt L, Baecklund E, Bertilsson L, Cöster L, Geborek P, Jacobsson LT, Lindblad S, Lysholm J, Rantapää-Dahlqvist S, Saxne T, Romanus V, Klareskog L, Feltelius N. Risk and case characteristics of tuberculosis in rheumatoid arthritis associated with tumor necrosis factor antagonists in Sweden. Arthritis Rheum. 2005;52:1986–92.
Mackert BM, Conradi J, Loddenkemper C, van Landeghem FK, Loddenkemper R, Ignatius R, Schneider T. Neurotuberculosis: a continuing clinical challenge. Nervenarzt. 2008;79:153–66.
Berenguer J, Moreno S, Laguna F, Vicente T, Adrados M, Ortega A, González-LaHoz J, Bouza E. Tuberculous meningitis in patients infected with the human Immunodeficiency virus. N Engl J Med. 1992;326:668–72.
Ducomble T, Tolksdorf K, Karagiannis I, Hauer B, Brodhun B, Haas W, Fiebig L. The burden of extrapulmonary and meningitis tuberculosis: an investigation of national surveillance data, Germany, 2002 to 2009. Euro Surveill. 2013;18(12):20436.
Keane J. TNF-blocking agents and tuberculosis: new drugs illuminate an old topic. Rheumatology. 2005;44:714–20.
Chin JH. Tuberculous meningitis: diagnostic and therapeutic challenges. Neurol Clin Pract. 2014;4:199–205.
Dastur DK, Manghani DK, Udani PM. Pathology and pathogenetic mechanisms in neurotuberculosis. Radiol Clin North Am. 1995;33:733–52.
Rom WN, Garay SM. Tuberculosis. 2nd ed. Philadelphia: Lippincott Williams & Wilkins; 2004.
Rich A, McCordock H. The pathogenesis of tuberculous meningitis. Bull Johns Hopkins Hosp. 1933;52:5–37.
Ropper AH, Samuels MA, Klein JP. Adams and Victor’s Principles of Neurology. 10th ed. New York: McGraw-Hill; 2014.
Kumar R, Pandey CK, Bose N, Sahay S. Tuberculous brain abscess: clinical presentation, pathophysiology and treatment (in children). Childs Nerv Syst. 2002;18:118–23.
Garcia-Monco JC. Tuberculosis. In: Biller J, Ferro J, editors. Handb Clin Neurol. Neurol Asp Syst Dis Part III. 3rd Series, Vol. 121. Amsterdam: Elsevier; 2014.
Bidstrup C, Andersen PH, Skinhøj P, Andersen AB. Tuberculous meningitis in a country with a low incidence of tuberculosis: still a serious disease and a diagnostic challenge. Scand J Infect Dis. 2002;34:811–4.
Andronikou S, Smith B, Hatherhill M, Douis H, Wilmshurst J. Definitive neuroradiological diagnostic features of tuberculous meningitis in children. Pediatr Radiol. 2004;34:876–85.
Thwaites G, Fisher M, Hemingway C, Scott G, Solomon T, Innes J; British Infection Society. British Infection Society guidelines for the diagnosis and treatment of tuberculosis of the central nervous system in adults and children. J Infect. 2009;59:167–87.
Sütlaş PN, Unal A, Forta H, Senol S, Kirbaş D. Tuberculous meningitis in adults: review of 61 cases. Infection. 2003;31:387–91.
Hopewell PC. A clinical view of tuberculosis. Radiol Clin North Am. 1995;33:641–53.
al-Deeb SM, Yaqub BA, Sharif HS, Motaery KR. Neurotuberculosis: a review. Clin Neurol Neurosurg. 1992;94(Suppl):S30–S3.
Thwaites GE, van Toorn R, Schoeman J. Tuberculous meningitis: more questions, still too few answers. Lancet Neurol. 2013;12:999–1010.
Dalal PM. Observations on the involvement of cerebral vessels in tuberculous meningitis in adults. Adv Neurol. 1979;25:149–59.
Udani PM, Parekh UC, Dastur DK. Neurological and related syndromes in CNS tuberculosis. Clinical features and pathogenesis. J Neurol Sci. 1971;14:341–57.
Smith HV. Tuberculous meningitis. Int J Neurol. 1964;4(V):134–57.
Lammie GA, Hewlett RH, Schoeman JF, Donald PR. Tuberculous cerebrovascular disease: a review. J Infect. 2009;59:156–66.
Misra UK, Kalita J, Bhoi SK, Singh RK. A study of hyponatremia in tuberculous meningitis. J Neurol Sci. 2016;367:152–7.
Jeren T, Beus I. Characteristics of cerebrospinal fluid in tuberculous meningitis. Acta Cytol. 1982;26:678–80.
Cho TY, Park SC, Cho SN, Lee HR, Kim SK, Kim SK, Lee BI. Intrathecal synthesis of immunoglobulin G and Mycobacterium tuberculosis-specific humoral immune response in tuberculous meningitis. Clin Diagn Lab Immunol. 1995;2:361–4.
Thwaites GE, Chau TT, Stepniewska K, Phu NH, Chuong LV, Sinh DX, White NJ, Parry CM, Farrar JJ. Diagnosis of adult tuberculous meningitis by use of clinical and laboratory features. Lancet. 2002;360:1287–92.
Moghtaderi A, Alavi-Naini R, Izadi S, Cuevas LE. Diagnostic risk factors to differentiate tuberculous and acute bacterial meningitis. Scand J Infect Dis. 2009;41:188–94.
Kumar R, Jain R, Kaur A, Chhabra DK. Brain stem tuberculosis in children. Br J Neurosurg. 2000;14:356–61.
Thwaites GE, Duc Bang N, Huy Dung N, Thi Quy H, Thi Tuong Oanh D, Thi Cam Thoa N, Quang Hien N, Tri Thuc N, Ngoc Hai N, Thi Ngoc Lan N, Ngoc Lan N, Hong Duc N, Ngoc Tuan V, Huu Hiep C, Thi Hong Chau T, Phuong Mai P, Thi Dung N, Stepniewska K, Simmons CP, White NJ, Tinh Hien T, Farrar JJ. The influence of HIV infection on clinical presentation, response to treatment, and outcome in adults with Tuberculous meningitis. J Infect Dis. 2005;192:2134–41.
Yaramiş A, Gurkan F, Elevli M, Söker M, Haspolat K, Kirbaş G, Taş MA. Central nervous system tuberculosis in children: a review of 214 cases. Pediatrics. 1998;102:E49.
Offenbacher H, Fazekas F, Schmidt R, Kleinert R, Payer F, Kleinert G, Lechner H. MRI in tuberculous meningoencephalitis: report of four cases and review of the neuroimaging literature. J Neurol. 1991;238:340–4.
Tartaglione T, Di Lella GM, Cerase A, Leone A, Moschini M, Colosimo C. Diagnostic imaging of neurotuberculosis. Rays. 1998;23:164–80.
Schoeman J, Hewlett R, Donald P. MR of childhood tuberculous meningitis. Neuroradiology. 1988;30:473–7.
Kioumehr F, Dadsetan MR, Rooholamini SA, Au A. Central nervous system tuberculosis: MRI. Neuroradiology. 1994;36:93–6.
Jinkins JR, Gupta R, Chang KH, Rodriguez-Carbajal J. MR imaging of central nervous system tuberculosis. Radiol Clin North Am. 1995;33:771–86.
McGuinness FE. Tuberculous radiculomyelopathy and myelitic tuberculomas. In: Clin Imaging Non-Pulmonary Tuberc. Berlin Heidelberg New York: Springer; 2000. pp. 27–42.
Garg R, Malhotra H, Jain A. Neuroimaging in tuberculous meningitis. Neurol India. 2016;64:219.
Bhargava S, Gupta AK, Tandon PN. Tuberculous meningitis—a CT study. Br J Radiol. 1982;55:189–96.
Ozateş M, Kemaloglu S, Gürkan F, Ozkan U, Hoşoglu S, Simşek MM. CT of the brain in tuberculous meningitis. A review of 289 patients. Acta Radiol. 2000;41:13–7.
Uysal G, Köse G, Güven A, Diren B. Magnetic resonance imaging in diagnosis of childhood central nervous system tuberculosis. Infection. 2001;29:148–53.
Botha H, Ackerman C, Candy S, Carr JA, Griffith-Richards S, Bateman KJ. Reliability and diagnostic performance of CT imaging criteria in the diagnosis of tuberculous meningitis. PLoS ONE. 2012;7:e38982.
Bullock MR, Welchman JM. Diagnostic and prognostic features of tuberculous meningitis on CT scanning. J Neurol Neurosurg Psychiatr. 1982;45:1098–101.
Parmar H, Sitoh Y‑Y, Anand P, Chua V, Hui F. Contrast-enhanced flair imaging in the evaluation of infectious leptomeningeal diseases. Eur J Radiol. 2006;58:89–95.
Given CA 2nd, Burdette JH, Elster AD, Williams DW 3rd. Pseudo-subarachnoid hemorrhage: a potential imaging pitfall associated with diffuse cerebral edema. AJNR Am J Neuroradiol. 2003;24:254–6.
Raut T, Garg RK, Jain A, Verma R, Singh MK, Malhotra HS, Kohli N, Parihar A. Hydrocephalus in tuberculous meningitis: Incidence, its predictive factors and impact on the prognosis. J Infect. 2013;66:330–7.
Donald PR, Schoeman JF. Tuberculous meningitis. N Engl J Med. 2004;351:1719–20.
Shukla R, Abbas A, Kumar P, Gupta RK, Jha S, Prasad KN. Evaluation of cerebral infarction in tuberculous meningitis by diffusion weighted imaging. J Infect. 2008;57:298–306.
Misra UK, Kalita J, Maurya PK. Stroke in tuberculous meningitis. J Neurol Sci. 2011;303:22–30.
Mathew NT, Abraham J, Chandy J. Cerebral angiographic features in tuberculous meningitis. Neurology. 1970;20:1015–23.
Kalita J, Misra UK, Nair PP. Predictors of stroke and its significance in the outcome of tuberculous meningitis. J Stroke Cerebrovasc Dis. 2009;18:251–8.
Schaberg T, Bauer T, Castell S, Dalhoff K, Detjen A, Diel R, Greinert U, Hauer B, Lange C, Magdorf K, Loddenkemper R. Empfehlungen zur Therapie, Chemoprävention und Chemoprophylaxe der Tuberkulose im Erwachsenen- und Kindesalter. Pneumologie. 2012;66:133–71.
Donald PR. Cerebrospinal fluid concentrations of antituberculosis agents in adults and children. Tuberculosis. 2010;90:279–92.
World Health Organization. Treatment of tuberculosis: guidelines. Treat. Tuberc. Guidel. Geneva: World Health Organization; 2010.
Thwaites GE, Nguyen DB, Nguyen HD, Hoang TQ, Do TT, Nguyen TC, Nguyen QH, Nguyen TT, Nguyen NH, Nguyen TN, Nguyen NL, Nguyen HD, Vu NT, Cao HH, Tran TH, Pham PM, Nguyen TD, Stepniewska K, White NJ, Tran TH, Farrar JJ. Dexamethasone for the treatment of tuberculous meningitis in adolescents and adults. N Engl J Med. 2004;351:1741–51.
Thwaites GE, Macmullen-Price J, Tran TH, Pham PM, Nguyen TD, Simmons CP, White NJ, Tran TH, Summers D, Farrar JJ. Serial MRI to determine the effect of dexamethasone on the cerebral pathology of tuberculous meningitis: an observational study. Lancet Neurol. 2007;6:230–6.
Prasad K, Singh MB, Ryan H. Corticosteroids for managing tuberculous meningitis. Cochrane Database Syst Rev. 2008; https://doi.org/10.1002/14651858.CD002244.pub4.
Peterson PK, Gekker G, Hu S, Sheng WS, Anderson WR, Ulevitch RJ, Tobias PS, Gustafson KV, Molitor TW, Chao CC. CD14 receptor-mediated uptake of nonopsonized Mycobacterium tuberculosis by human microglia. Infect Immun. 1995;63:1598–602.
Burn CG, Finley KH. The role of hypersensitivity in the production of experimental meningitis: I. Experimental meningitis in tuberculous animals. J Exp Med. 1932;56:203–21.
Pepper DJ, Marais S, Maartens G, Rebe K, Morroni C, Rangaka MX, Oni T, Wilkinson RJ, Meintjes G. Neurologic manifestations of paradoxical tuberculosis-associated immune reconstitution inflammatory syndrome: a case series. Clin Infect Dis. 2009;48:e96–107.
Marais S, Pepper DJ, Marais BJ, Török ME. HIV-associated tuberculous meningitis—diagnostic and therapeutic challenges. Tuberculosis (Edinb). 2010;90:367–74.
Kalita J, Prasad S, Misra UK. Predictors of paradoxical tuberculoma in tuberculous meningitis. Int J Tuberc Lung Dis. 2014;18:486–91.
Török ME. Tuberculous meningitis: advances in diagnosis and treatment. Br Med Bull. 2015;113:117–31.
Schaberg T, Forssbohm M, Hauer B, Kirsten D, Kropp R, Loddenkemper R, Magdorf K, Rieder H, Sagebiel D, Urbanczik R. Guidelines for drug treatment of tuberculosis in adults and childhood. Pneumologie. 2001;55:494–511.
Abdool Karim SS, Naidoo K, Grobler A, Padayatchi N, Baxter C, Gray A, Gengiah T, Nair G, Bamber S, Singh A, Khan M, Pienaar J, El-Sadr W, Friedland G, Abdool Karim Q. Timing of initiation of antiretroviral drugs during tuberculosis therapy. N Engl J Med. 2010;362:697–706.
World Health Organization. Department of HIV/AIDS. Antiretroviral therapy for HIV infection in adults and adolescents: recommendations for a public health approach: 2010 revision. Geneva: World Health Organization; 2010.
DeLance AR, Safaee M, Oh MC, Clark AJ, Kaur G, Sun MZ, Bollen AW, Phillips JJ, Parsa AT. Tuberculoma of the central nervous system. J Clin Neurosci. 2013;20:1333–41.
Kim TK, Chang KH, Kim CJ, Goo JM, Kook MC, Han MH. Intracranial tuberculoma: comparison of MR with pathologic findings. AJNR Am J Neuroradiol. 1995;16:1903–8.
Wasay M, Kheleani BA, Moolani MK, Zaheer J, Pui M, Hasan S, Muzaffar S, Bakshi R, Sarawari AR. Brain CT and MRI findings in 100 consecutive patients with intracranial tuberculoma. J Neuroimaging. 2003;13:240–7.
Bargalló J, Berenguer J, García-Barrionuevo J, Ubeda B, Bargalló N, Cardenal C, Mercader JM. The “target sign”: is it a specific sign of CNS tuberculoma? Neuroradiology. 1996;38:547–50.
Chakraborti S, Mahadevan A, Govindan A, Nagarathna S, Santosh V, Yasha TC, Devi BI, Chandramouli BA, Kovoor JM, Chandramuki A, Shankar SK. Clinicopathological study of tuberculous brain abscess. Pathol Res Pract. 2009;205:815–22.
Luthra G, Parihar A, Nath K, Jaiswal S, Prasad KN, Husain N, Husain M, Singh S, Behari S, Gupta RK. Comparative evaluation of fungal, tubercular, and pyogenic brain abscesses with conventional and diffusion MR imaging and proton MR spectroscopy. AJNR Am J Neuroradiol. 2007;28:1332–8.
Brouwer MC, Coutinho JM, van de Beek D. Clinical characteristics and outcome of brain abscess: systematic review and meta-analysis. Neurology. 2014;82:806–13.
Jevtic V. Vertebral infection. Eur Radiol. 2004;14(Suppl):43–52.
Ansari S, Amanullah M, Ahmad K, Rauniyar RK. Pott’s spine: Diagnostic imaging modalities and technology advancements. N Am J Med Sci. 2013;5:404–11.
Garcia-Monco JC. Tuberculosis. Handb Clin Neurol. 2014;121:1485–99.
Jung NY, Jee WH, Ha KY, Park CK, Byun JY. Discrimination of tuberculosis spondylitis from pyogenic spondylitis on MRI. Am J Roentgenol. 2004;182:1405–10.
Li T, Liu T, Jiang Z, Cui X, Sun J. Diagnosing pyogenic, brucella and tuberculous spondylitis using histopathology and MRI: a retrospective study. Exp Ther Med. 2016;12:2069–77.
Garg RK, Malhotra HS, Gupta R. Spinal cord involvement in tuberculous meningitis. Spinal Cord. 2015;53:649–57.
Tali ET, Gultekin S. Spinal infections. Eur Radiol. 2005;15:599–607.
Trebst C, Raab P, Voss EV, Rommer P, Abu-Mugheisib M, Zettl UK, Stangel M. Longitudinal extensive transverse myelitis—it’s not all neuromyelitis optica. Nat Rev Neurol. 2011;7:688–98.
Weidauer S, Wagner M, Nichtweiß M. Magnetic resonance imaging and clinical features in acute and subacute myelopathies. Clin Neuroradiol. 2017;27:417–33.
Baldwin KJ, Zunt JR. Evaluation and treatment of chronic meningitis. Neurohospitalist. 2014;4:185–95.
Chamie G, Marquez C, Luetkemeyer A. HIV-associated central nervous system tuberculosis. Semin Neurol. 2014;34:103–15.
Hughes DC, Raghavan A, Mordekar SR, Griffiths PD, Connolly DJA. Role of imaging in the diagnosis of acute bacterial meningitis and its complications. Postgrad Med J. 2010;86:478–85.
McGill F, Heyderman RS, Panagiotou S, Tunkel AR, Solomon T. Acute bacterial meningitis in adults. Lancet. 2016;388:3036–47.
Cegielski JP, Wallace RJ. Central nervous system infections with nontuberculous mycobacteria. Clin Infect Dis. 1997;25:1496–7.
Cai R, Qi T, Lu H. Central nervous system infection with non-tuberculous mycobacteria: a report of that infection in two patients with AIDS. Drug Discov Ther. 2014;8:276–9.
Flor A, Capdevila JA, Martin N, Gavaldà J, Pahissa A. Nontuberculous mycobacterial meningitis: report of two cases and review. Clin Infect Dis. 1996;23:1266–73.
Guven T, Ugurlu K, Ergonul O, Celikbas AK, Gok SE, Comoglu S, Baykam N, Dokuzoguz B. Neurobrucellosis: clinical and diagnostic features. Clin Infect Dis. 2013;56:1407–12.
Kesav P, Vishnu VY, Khurana D. Is neurobrucellosis the Pandora’s Box of modern medicine? Clin Infect Dis. 2013;57:1056–7.
Al-Sous MW, Bohlega S, Al-Kawi MZ, Alwatban J, McLean DR. Neurobrucellosis: clinical and neuroimaging correlation. AJNR Am J Neuroradiol. 2004;25:395–401.
Kastrup O, Wanke I, Maschke M. Neuroimaging of infections of the central nervous system. Semin Neurol. 2008;28:511–22.
Acknowledgements
We would like to thank Michael Nichtweiß for generously offering advice and expertise within the process of this review. Furthermore, we would like to thank Marlies Wagner and Patrick Harter for the kind contribution of histopathological and radiological images.
Author information
Authors and Affiliations
Corresponding author
Ethics declarations
Conflict of interest
M.A. Schaller, F. Wicke, C. Foerch and S. Weidauer declare that they have no competing interests.
Rights and permissions
About this article
Cite this article
Schaller, M.A., Wicke, F., Foerch, C. et al. Central Nervous System Tuberculosis. Clin Neuroradiol 29, 3–18 (2019). https://doi.org/10.1007/s00062-018-0726-9
Received:
Accepted:
Published:
Issue Date:
DOI: https://doi.org/10.1007/s00062-018-0726-9