Skip to main content

Neues zu Thrombolyse und Thrombektomie bei Lungenembolie

New aspects of thrombolysis and thrombectomy in pulmonary embolism

Zusammenfassung

Die Lungenembolie ist eine potenziell lebensbedrohliche Erkrankung, die unterschiedlich schwer verlaufen kann. Anhand einer notfallmäßigen Risikostratifizierung wird die Therapie der Lungenembolie gesteuert. Kann bei geringem Risiko eine ambulante Behandlung erfolgen, muss bei hohem Mortalitätsrisiko eine rasche Rekanalisation angestrebt werden, in aller Regel mittels Thrombolyse oder Thrombektomie. Die systemische Thrombolyse ist dabei bislang das Mittel der Wahl, sofern keine Kontraindikationen vorliegen. Die Dosierung (niedrige vs. volle Dosierung) und Applikation (systemisch vs. lokal über einen Katheter) der zur Lyse am häufigsten eingesetzten Alteplase wird in Studien überprüft mit dem Ziel, das Blutungsrisiko zu senken. Falls Kontraindikationen für eine Thrombolyse vorliegen, ist primär die chirurgische oder sekundär die interventionelle Thrombektomie anzustreben. In diesem Artikel werden diese Verfahren und die verfügbare Literatur besprochen.

Abstract

Pulmonary embolism is a potentially life-threatening disease, which can present with varying severity. Based on an emergency risk stratification, the initial treatment strategy should be chosen without delay. While patients with a low mortality risk can be treated in an outpatient setting, patients at high risk should proceed to immediate recanalization by thrombolysis or thrombectomy. Systemic thrombolysis is the first line therapy in the absence of contraindications. The dosing (low versus full dose) and application (systemic versus local via a catheter) of alteplase, the most frequently used agent, is the subject of a number of current studies with the goal to reduce the risk of bleeding. In the case of contraindications for systemic thrombolysis surgical or alternatively, interventional thrombectomy should be performed. This article discusses these procedures in the light of the currently available literature.

This is a preview of subscription content, access via your institution.

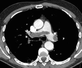
Abb. 1
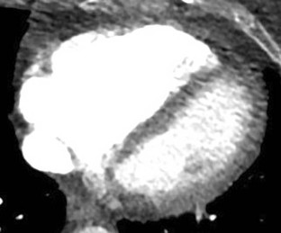
Abb. 2

Literatur

  1. Aklog L, Williams CS, Byrne JG et al (2002) Acute pulmonary embolectomy: a contemporary approach. Circulation 105:1416–1419

    Article  Google Scholar 

  2. Aujesky D, Obrosky DS, Stone RA et al (2005) Derivation and validation of a prognostic model for pulmonary embolism. Am J Respir Crit Care Med 172:1041–1046

    Article  Google Scholar 

  3. Aymard T, Kadner A, Widmer A et al (2013) Massive pulmonary embolism: surgical embolectomy versus thrombolytic therapy—should surgical indications be revisited? Eur J Cardiothorac Surg 43:90–94 (discussion 94)

    Article  Google Scholar 

  4. Bloomfield P, Boon NA, De Bono DP (1988) Indications for pulmonary embolectomy. Lancet 2:329

    CAS  Article  Google Scholar 

  5. Brady AJ, Crake T, Oakley CM (1991) Percutaneous catheter fragmentation and distal dispersion of proximal pulmonary embolus. Lancet 338:1186–1189

    CAS  Article  Google Scholar 

  6. Chatterjee S, Chakraborty A, Weinberg I et al (2014) Thrombolysis for pulmonary embolism and risk of all-cause mortality, major bleeding, and intracranial hemorrhage: a meta-analysis. JAMA 311:2414–2421

    Article  Google Scholar 

  7. Chechi T, Vecchio S, Spaziani G et al (2009) Rheolytic thrombectomy in patients with massive and submassive acute pulmonary embolism. Catheter Cardiovasc Interv 73:506–513

    Article  Google Scholar 

  8. Cuculi F, Kobza R, Bergner M et al (2012) Usefulness of aspiration of pulmonary emboli and prolonged local thrombolysis to treat pulmonary embolism. Am J Cardiol 110:1841–1845

    Article  Google Scholar 

  9. Eid-Lidt G, Gaspar J, Sandoval J et al (2008) Combined clot fragmentation and aspiration in patients with acute pulmonary embolism. Chest 134:54–60

    Article  Google Scholar 

  10. Engelberger RP, Kucher N (2011) Catheter-based reperfusion treatment of pulmonary embolism. Circulation 124:2139–2144

    Article  Google Scholar 

  11. Ferrigno L, Bloch R, Threlkeld J et al (2011) Management of pulmonary embolism with rheolytic thrombectomy. Can Respir J 18:e52–e58

    Article  Google Scholar 

  12. Fukuda I, Taniguchi S, Fukui K et al (2011) Improved outcome of surgical pulmonary embolectomy by aggressive intervention for critically ill patients. Ann Thorac Surg 91:728–732

    Article  Google Scholar 

  13. Goldhaber SZ, Visani L, De Rosa M (1999) Acute pulmonary embolism: clinical outcomes in the International Cooperative Pulmonary Embolism Registry (ICOPER). Lancet 353:1386–1389

    CAS  Article  Google Scholar 

  14. Heberlein WE, Meek ME, Saleh O et al (2013) New generation aspiration catheter: feasibility in the treatment of pulmonary embolism. World J Radiol 5:430–435

    Article  Google Scholar 

  15. Kearon C, Akl EA, Comerota AJ et al (2012) Antithrombotic therapy for VTE disease: Antithrombotic therapy and prevention of thrombosis, 9th ed: American College of Chest Physicians Evidence-Based Clinical Practice guidelines. Chest 141:e419S–494S

    CAS  Article  Google Scholar 

  16. Kearon C, Akl EA, Ornelas J et al (2016) Antithrombotic therapy for VTE disease: CHEST guideline and expert panel report. Chest 149:315–352

    Article  Google Scholar 

  17. Keeling WB, Leshnower BG, Lasajanak Y et al (2016) Midterm benefits of surgical pulmonary embolectomy for acute pulmonary embolus on right ventricular function. J Thorac Cardiovasc Surg 152:872–878

    Article  Google Scholar 

  18. Keeling WB, Sundt T, Leacche M et al (2016) Outcomes after surgical pulmonary embolectomy for acute pulmonary embolus: a multi-institutional study. Ann Thorac Surg 102:1498–1502

    Article  Google Scholar 

  19. Kiser TH, Burnham EL, Clark B et al (2018) Half-dose versus full-dose alteplase for treatment of pulmonary embolism. Crit Care Med 46:1617–1625

    CAS  Article  Google Scholar 

  20. Koning R, Cribier A, Gerber L et al (1997) A new treatment for severe pulmonary embolism: percutaneous rheolytic thrombectomy. Circulation 96:2498–2500

    CAS  Article  Google Scholar 

  21. Konstantinides SV, Torbicki A, Agnelli G et al (2014) 2014 ESC guidelines on the diagnosis and management of acute pulmonary embolism. Eur Heart J 35:3033–3069, 3069a–3069k

    CAS  Article  Google Scholar 

  22. Konstantinides SV, Vicaut E, Danays T et al (2017) Impact of thrombolytic therapy on the long-term outcome of intermediate-risk pulmonary embolism. J Am Coll Cardiol 69:1536–1544

    CAS  Article  Google Scholar 

  23. Kumar N, Janjigian Y, Schwartz DR (2007) Paradoxical worsening of shock after the use of a percutaneous mechanical thrombectomy device in a postpartum patient with a massive pulmonary embolism. Chest 132:677–679

    Article  Google Scholar 

  24. Kuo WT, Gould MK, Louie JD et al (2009) Catheter-directed therapy for the treatment of massive pulmonary embolism: systematic review and meta-analysis of modern techniques. J Vasc Interv Radiol 20:1431–1440

    Article  Google Scholar 

  25. Kuo WT, Van Den Bosch M, Hofmann LV et al (2008) Catheter-directed embolectomy, fragmentation, and thrombolysis for the treatment of massive pulmonary embolism after failure of systemic thrombolysis. Chest 134:250–254

    Article  Google Scholar 

  26. Leacche M, Unic D, Goldhaber SZ et al (2005) Modern surgical treatment of massive pulmonary embolism: results in 47 consecutive patients after rapid diagnosis and aggressive surgical approach. J Thorac Cardiovasc Surg 129:1018–1023

    Article  Google Scholar 

  27. Lee T, Itagaki S, Chiang YP et al (2018) Survival and recurrence after acute pulmonary embolism treated with pulmonary embolectomy or thrombolysis in New York State, 1999 to 2013. J Thorac Cardiovasc Surg 155:1084–1090.e12

    Article  Google Scholar 

  28. Margheri M, Vittori G, Vecchio S et al (2008) Early and long-term clinical results of AngioJet rheolytic thrombectomy in patients with acute pulmonary embolism. Am J Cardiol 101:252–258

    Article  Google Scholar 

  29. Meneveau N, Seronde MF, Blonde MC et al (2006) Management of unsuccessful thrombolysis in acute massive pulmonary embolism. Chest 129:1043–1050

    Article  Google Scholar 

  30. Meyer G, Vicaut E, Danays T et al (2014) Fibrinolysis for patients with intermediate-risk pulmonary embolism. N Engl J Med 370:1402–1411

    CAS  Article  Google Scholar 

  31. Muller-Hulsbeck S, Brossmann J, Jahnke T et al (2001) Mechanical thrombectomy of major and massive pulmonary embolism with use of the Amplatz thrombectomy device. Invest Radiol 36:317–322

    CAS  Article  Google Scholar 

  32. Nakazawa K, Tajima H, Murata S et al (2008) Catheter fragmentation of acute massive pulmonary thromboembolism: distal embolisation and pulmonary arterial pressure elevation. Br J Radiol 81:848–854

    CAS  Article  Google Scholar 

  33. Nassiri N, Jain A, Mcphee D et al (2012) Massive and submassive pulmonary embolism: experience with an algorithm for catheter-directed mechanical thrombectomy. Ann Vasc Surg 26:18–24

    Article  Google Scholar 

  34. Neely RC, Byrne JG, Gosev I et al (2015) Surgical embolectomy for acute massive and submassive pulmonary embolism in a series of 115 patients. Ann Thorac Surg 100:1245–1251 (discussion 1251–1242)

    Article  Google Scholar 

  35. Osborne ZJ, Rossi P, Aucar J et al (2014) Surgical pulmonary embolectomy in a community hospital. Am J Surg 207:337–341 (discussion 340–331)

    Article  Google Scholar 

  36. Reekers JA, Baarslag HJ, Koolen MG et al (2003) Mechanical thrombectomy for early treatment of massive pulmonary embolism. Cardiovasc Intervent Radiol 26:246–250

    Article  Google Scholar 

  37. Schmitz-Rode T, Gunther RW, Pfeffer JG et al (1995) Acute massive pulmonary embolism: use of a rotatable pigtail catheter for diagnosis and fragmentation therapy. Radiology 197:157–162

    CAS  Article  Google Scholar 

  38. Schmitz-Rode T, Janssens U, Duda SH et al (2000) Massive pulmonary embolism: percutaneous emergency treatment by pigtail rotation catheter. J Am Coll Cardiol 36:375–380

    CAS  Article  Google Scholar 

  39. Schmitz-Rode T, Janssens U, Schild HH et al (1998) Fragmentation of massive pulmonary embolism using a pigtail rotation catheter. Chest 114:1427–1436

    CAS  Article  Google Scholar 

  40. Sharifi M, Bay C, Skrocki L et al (2013) Moderate pulmonary embolism treated with thrombolysis (from the “MOPETT” Trial). Am J Cardiol 111:273–277

    Article  Google Scholar 

  41. Stein PD, Alnas M, Beemath A et al (2007) Outcome of pulmonary embolectomy. Am J Cardiol 99:421–423

    Article  Google Scholar 

  42. Stein PD, Matta F (2014) Pulmonary embolectomy in elderly patients. Am J Med 127:348–350

    Article  Google Scholar 

  43. Tapson VF, Jimenez D (2017) Catheter-based approaches for the treatment of acute pulmonary embolism. Semin Respir Crit Care Med 38:73–83

    Article  Google Scholar 

  44. Wan S, Quinlan DJ, Agnelli G et al (2004) Thrombolysis compared with heparin for the initial treatment of pulmonary embolism: a meta-analysis of the randomized controlled trials. Circulation 110:744–749

    CAS  Article  Google Scholar 

  45. Zuin M, Rigatelli G, Carraro M et al (2019) Systemic thrombolysis in haemodynamically unstable pulmonary embolism: The earlier the better? Thromb Res 173:117–123

    CAS  Article  Google Scholar 

Download references

Author information

Affiliations

Authors

Corresponding author

Correspondence to N. Gauchel.

Ethics declarations

Interessenkonflikt

N. Gauchel, C. Bode und D. Duerschmied geben an, dass kein Interessenkonflikt besteht.

Dieser Beitrag beinhaltet keine von den Autoren durchgeführten Studien an Menschen oder Tieren.

Rights and permissions

Reprints and Permissions

About this article

Verify currency and authenticity via CrossMark

Cite this article

Gauchel, N., Bode, C. & Duerschmied, D. Neues zu Thrombolyse und Thrombektomie bei Lungenembolie. Herz 44, 324–329 (2019). https://doi.org/10.1007/s00059-019-4801-z

Download citation

  • Published:

  • Issue Date:

  • DOI: https://doi.org/10.1007/s00059-019-4801-z

Schlüsselwörter

  • Lungenarterie
  • Thrombus
  • Rekanalisation
  • Antikoagulation
  • Gewebeplasmoinogenaktivator

Keywords

  • Pulmonary artery
  • Thrombus
  • Recanalization
  • Anticoagulation
  • Tissue plasminogen activator