Skip to main content

Single coronary artery presenting with ST-segment elevation myocardial infarction

Anlage einer einzigen Koronararterie mit ST-Strecken-Hebungs-Infarkt

This is a preview of subscription content, access via your institution.

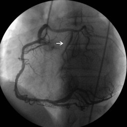
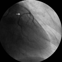
Fig. 1
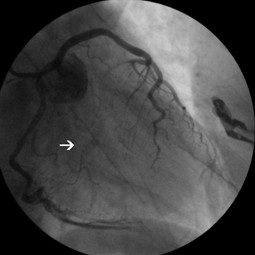
Fig. 2
Fig. 3
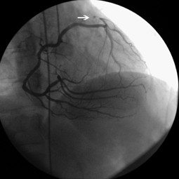
Fig. 4
Fig. 5

References

  1. Desmet W, Vanhaecke J, Vrolix M et al (1992) Isolated single coronary artery: a review of 50,000 consecutive coronary angiographies. Eur Heart J 13:1637–1640

    CAS  PubMed  Google Scholar 

  2. Yamanaka O, Hobbs RE (1990) Coronary artery anomalies in 126,595 patients undergoing coronary arteriography. Cathet Cardiovasc Diagn 21:28–40

    CAS  PubMed  Article  Google Scholar 

Download references

Conflict of interest

On behalf of all authors, the corresponding author states that there are no conflicts of interest.

Author information

Affiliations

Authors

Corresponding author

Correspondence to T. Sen MD.

Additional information

Additional material onlineThis article includes two additional videos. You will find this supplemental at dx.doi.org/10.1007/s00059-013-3850-y

Electronic supplementary material

Video 1. Right anterior oblique view shows that left main coronary artery originating from the proximity of the RCA and tracking an unusal direction to the left side and dividing into left anterior descending and left circumflex artery and LCx artery was totally occluded just after the division (avi 0,6MB)

Vidoe 2. Thrombolysis In Myocardial Infarction -3 flow was ensured (avi 1,1MB)

Rights and permissions

Reprints and Permissions

About this article

Cite this article

Sen, T., Astarcioglu, M., Parspur, A. et al. Single coronary artery presenting with ST-segment elevation myocardial infarction. Herz 39, 528–529 (2014). https://doi.org/10.1007/s00059-013-3850-y

Download citation

  • Received:

  • Accepted:

  • Published:

  • Issue Date:

  • DOI: https://doi.org/10.1007/s00059-013-3850-y

Keywords

  • Percutaneous Coronary Intervention
  • Coronary Sinus
  • Primary Percutaneous Coronary Intervention
  • Left Main Coronary Artery
  • Coronary Ostium