Skip to main content

Forsythin inhibits lipopolysaccharide-induced inflammation by suppressing JAK-STAT and p38 MAPK signalings and ROS production

Abstract

Objective

Forsythin (FOR) is an active ingredient extracted from the fruit of the medicinal plant Forsythia suspensa (Thunb.) Vahl. Here, we investigated the effect of FOR on LPS-induced inflammatory response and the underlying molecular mechanisms in RAW264.7 macrophages.

Materials and methods

RAW264.7 cells were pre-treated with or without FOR and then stimulated with or without LPS. The productions of TNF-α, IL-1β, IL-6, PGE2 and NO were determined by ELISA and nitrite analysis, respectively. The expressions of nitric oxide synthase (iNOS) and cyclooxygenase-2 (COX-2) were measured by Western blotting and RT-PCR analysis. The activations of signaling molecules were detected by Western blotting using phosphorylation specific antibodies. Reactive oxygen species (ROS) production was determined by ROS assay.

Results

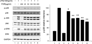
LPS-induced productions of IL-1β, IL-6, TNF-α, NO and PGE2 were inhibited by FOR in a dose-dependent manner. FOR also suppressed the LPS-elevated expressions of iNOS and COX-2. Further investigations revealed that FOR significantly inhibited the LPS-induced activations of JAK-STATs and p38 MAPKs, but not of IKKα/β in LPS-stimulated RAW264.7 cells. Additionally, FOR interfered with both JAK-STATs and p38 MAPKs signaling pathways to modulate the expressions of IL-1β, IL-6, TNF-α, iNOS and COX-2. Furthermore, FOR reduced the LPS-induced ROS accumulation, validating that FOR serves as an antioxidant.

Conclusions

Our data suggested that FOR exerts anti-inflammatory action, at least in part, via suppressing LPS-induced activation of JAK-STATs and p38 MAPKs signalings and production of ROS in macrophage cells.

This is a preview of subscription content, access via your institution.

Fig. 1
Fig. 2
Fig. 3
Fig. 4
Fig. 5
Fig. 6

References

  1. Rangel-Frausto MS, Pittet D, Costigan M, Hwang T, Davis CS, Wenzel RP. The natural history of the systemic inflammatory response syndrome (SIRS). JAMA. 1995;273(2):117–23.

    CAS  PubMed  Article  Google Scholar 

  2. Rietschel ET, Kirikae T, Schade FU, Mamat U, Schmidt G, Loppnow H, et al. Bacterial endotoxin: molecular relationships of structure to activity and function. FASEB J. 1994;8(2):217–25.

    CAS  PubMed  Google Scholar 

  3. ter Steege JC, van de Ven MW, Forget PP, Brouckaert P, Buurman WA. The role of endogenous IFN-γ, TNF-α and IL-10 in LPS-induced nitric oxide release in a mouse model. Cytokine. 1998;10(2):115–23.

    PubMed  Article  Google Scholar 

  4. Lawrence T, Willoughby DA, Gilroy DW. Anti-inflammatory lipid mediators and insights into the resolution of inflammation. Nat Rev Immunol. 2002;2(10):787–95.

    CAS  PubMed  Article  Google Scholar 

  5. Turini ME, DuBois RN. Cyclooxygenase-2: a therapeutic target. Annu Rev Med. 2002;53(1):35–57.

    CAS  PubMed  Article  Google Scholar 

  6. Moncada S. Nitric oxide: discovery and impact on clinical medicine. J R Soc Med. 1999;92(4):164.

    CAS  PubMed Central  PubMed  Google Scholar 

  7. Libby P, Ridker PM, Maseri A. Inflammation and atherosclerosis. Circulation. 2002;105(9):1135–43.

    CAS  PubMed  Article  Google Scholar 

  8. Manzi S. WASKO MCM. Inflammation-mediated rheumatic diseases and atherosclerosis. Ann Rheum Dis. 2000;59(5):321–5.

    CAS  PubMed Central  PubMed  Article  Google Scholar 

  9. Coker R, Laurent G. Pulmonary fibrosis: cytokines in the balance. Eur Respir J. 1998;11(6):1218–21.

    CAS  PubMed  Article  Google Scholar 

  10. Liou H-C. Regulation of the immune system by NF-kappaB and IkappaB. J Biochem Mol Biol. 2002;35(6):537–46.

    CAS  PubMed  Article  Google Scholar 

  11. Karin M, Delhase M. The I kappa B kinase (IKK) and NF-kappa B: key elements of proinflammatory signalling. Semin Immunol. 2000;12(1):85–98.

    CAS  PubMed  Article  Google Scholar 

  12. Baeuerle PA, Baltimore D. NF-kappa B: ten years after. Cell. 1996;87(1):13.

    CAS  PubMed  Article  Google Scholar 

  13. Kisseleva T, Bhattacharya S, Braunstein J, Schindler C. Signaling through the JAK/STAT pathway, recent advances and future challenges. Gene. 2002;285(1):1–24.

    CAS  PubMed  Article  Google Scholar 

  14. Kovarik P, Mangold M, Ramsauer K, Heidari H, Steinborn R, Zotter A, et al. Specificity of signaling by STAT1 depends on SH2 and C-terminal domains that regulate Ser727 phosphorylation, differentially affecting specific target gene expression. EMBO J. 2001;20(1):91–100.

    CAS  PubMed Central  PubMed  Article  Google Scholar 

  15. Wen Z, Zhong Z, Darnell JE Jr. Maximal activation of transcription by Statl and Stat3 requires both tyrosine and serine phosphorylation. Cell. 1995;82(2):241–50.

    CAS  PubMed  Article  Google Scholar 

  16. Chan ED, Riches DW. IFN-γ + LPS induction of iNOS is modulated by ERK, JNK/SAPK, and p38 mapk in a mouse macrophage cell line. Am J Physiol Cell Physiol. 2001;280(3):441–50.

    Google Scholar 

  17. Chen B, Chen Y, Lin W. Involvement of p38 mitogen-activated protein kinase in lipopolysaccharide-induced iNOS and COX-2 expression in J774 macrophages. Immunology. 1999;97(1):124–9.

    CAS  PubMed Central  PubMed  Article  Google Scholar 

  18. Li H-B, Chen F. Preparative isolation and purification of phillyrin from the medicinal plant Forsythia suspensa by high-speed counter-current chromatography. J Chromatogr A. 2005;1083(1):102–5.

    CAS  PubMed  Article  Google Scholar 

  19. Cuéllar M, Giner R, Recio M, Just M, Máñez S, Cerda S, et al. Screening of antiinflammatory medicinal plants used in traditional medicine against skin diseases. Phytother Res. 1998;12(1):18–23.

    Article  Google Scholar 

  20. Schinella G, Tournier H, Prieto J, De Buschiazzo PM, Rıos J. Antioxidant activity of anti-inflammatory plant extracts. Life Sci. 2002;70(9):1023–33.

    CAS  PubMed  Article  Google Scholar 

  21. Chen H-Y, Shiao M-S, Huang Y-L, Shen C-C, Lin Y-L, Kuo Y-H, et al. Antioxidant principles from ephemerantha l onchophylla. J Nat Prod. 1999;62(9):1225–7.

    CAS  PubMed  Article  Google Scholar 

  22. Ozaki Y, Rui J, Tang Y, Satake M. Antiinflammatory effect of Forsythia suspensa Vahl and its active fraction. Biol Pharma Bull. 1997;20(8):861.

    CAS  Article  Google Scholar 

  23. Qu H, Zhang Y, Wang Y, Li B, Sun W. Antioxidant and antibacterial activity of two compounds (forsythiaside and forsythin) isolated from Forsythia suspensa. J Pharm Pharmacol. 2008;60(2):261–6.

    CAS  PubMed  Article  Google Scholar 

  24. Cao X, Yue L, Song J, Wu Q, Li N, Luo L, et al. Inducible HSP70 antagonizes IL-1β cytocidal effects through inhibiting NF-kB activation via destabilizing TAK1 in HeLa cells. PLoS One. 2012;7(11):e50059.

    CAS  PubMed Central  PubMed  Article  Google Scholar 

  25. Hoffmann A, Baltimore D. Circuitry of nuclear factor κB signaling. Immunol Rev. 2006;210(1):171–86.

    PubMed  Article  Google Scholar 

  26. Murray PJ. The JAK-STAT signaling pathway: input and output integration. J Immunol. 2007;178(5):2623–9.

    CAS  PubMed  Article  Google Scholar 

  27. Pfitzner E, Kliem S, Baus D, Litterst M. The role of STATs in inflammation and inflammatory diseases. Curr Pharm Des. 2004;10(23):2839–50.

    CAS  PubMed  Article  Google Scholar 

  28. Levy DE, Darnell J. Stats: transcriptional control and biological impact. Nat Rev Mol Cell Biol. 2002;3(9):651–62.

    CAS  PubMed  Article  Google Scholar 

  29. Qi Z, Yin F, Lu L, Shen L, Qi S, Lan L, et al. Baicalein reduces lipopolysaccharide-induced inflammation via suppressing JAK/STATs activation and ROS production. Inflamm Res. 2013;62(9):845–55.

    Article  Google Scholar 

  30. Carter AB, Monick MM, Hunninghake GW. Both Erk and p38 kinases are necessary for cytokine gene transcription. Am J Respir Cell Mol Biol. 1999;20(4):751–8.

    CAS  PubMed  Article  Google Scholar 

  31. Lee JC, Young PR. Role of CSB/p38/RK stress response kinase in LPS and cytokine signaling mechanisms. J Leukoc Biol. 1996;59(2):152–7.

    CAS  PubMed  Google Scholar 

  32. Qi S, Xin Y, Guo Y, Diao Y, Kou X, Luo L, et al. Ampelopsin reduces endotoxic inflammation via repressing ROS-mediated activation of PI3 K/Akt/NF-κB signaling pathways. Int Immunopharmacol. 2012;12(1):278–87.

    CAS  PubMed  Article  Google Scholar 

  33. Pan J-S, Hong M-Z, Ren J-L. Reactive oxygen species: a double-edged sword in oncogenesis. World J Gastroenterol. 2009;15(14):1702.

    CAS  PubMed Central  PubMed  Article  Google Scholar 

  34. Aruoma OI, Grootveld M, Bahorun T. Free radicals in biology and medicine: from inflammation to biotechnology. Biofactors. 2006;27(1–4):1–3.

    CAS  PubMed  Article  Google Scholar 

  35. Qu H, Zhang Y, Chai X, Sun W. Isoforsythiaside, an antioxidant and antibacterial phenylethanoid glycoside isolated from Forsythia suspensa. Bioorg Chem. 2012;40:87–91.

    CAS  PubMed  Article  Google Scholar 

  36. JiuLin H, ChunYan W, QingHua L. Study on the content of forsythin, total flavonoids of Forsythia suspensa and their antioxidant activity. Med Plant. 2012;3(6):28–30.

    Google Scholar 

  37. Liu Z, Fan Y, Wang Y, Han C, Pan Y, Huang H, et al. Dipyrithione inhibits lipopolysaccharide-induced iNOS and COX-2 up-regulation in macrophages and protects against endotoxic shock in mice. FEBS Lett. 2008;582(12):1643–50.

    CAS  PubMed  Article  Google Scholar 

  38. Tsatsanis C, Androulidaki A, Venihaki M, Margioris AN. Signalling networks regulating cyclooxygenase-2. Int J Biochem Cell Biol. 2006;38(10):1654–61.

    CAS  PubMed  Article  Google Scholar 

  39. Okugawa S, Ota Y, Kitazawa T, Nakayama K, Yanagimoto S, Tsukada K, et al. Janus kinase 2 is involved in lipopolysaccharide-induced activation of macrophages. Am J Physiol Cell Physiol. 2003;285(2):399–408.

    Article  Google Scholar 

  40. Park EJ, Park SY, Joe E-h, Jou I. 15d-PGJ2 and rosiglitazone suppress Janus kinase-STAT inflammatory signaling through induction of suppressor of cytokine signaling 1 (SOCS1) and SOCS3 in glia. J Biol Chem. 2003;278(17):14747–52.

    CAS  PubMed  Article  Google Scholar 

  41. Kovarik P, Stoiber D, Eyers PA, Menghini R, Neininger A, Gaestel M, et al. Stress-induced phosphorylation of STAT1 at Ser727 requires p38 mitogen-activated protein kinase whereas IFN-γ uses a different signaling pathway. Proc Natl Acad Sci. 1999;96(24):13956–61.

    CAS  PubMed Central  PubMed  Article  Google Scholar 

  42. Shuai K, Liu B. Regulation of JAK–STAT signalling in the immune system. Nat Rev Immunol. 2003;3(11):900–11.

    CAS  PubMed  Article  Google Scholar 

  43. Galdiero M, Vitiello M, D’Isanto M, Raieta K, Galdiero E. STAT1 and STAT3 phosphorylation by porins are independent of JAKs but are dependent on MAPK pathway and plays a role in U937 cells production of interleukin-6. Cytokine. 2006;36(5):218–28.

    CAS  PubMed  Article  Google Scholar 

  44. Sakaguchi M, Oka M, Iwasaki T, Fukami Y, Nishigori C. Role and regulation of STAT3 phosphorylation at Ser727 in melanocytes and melanoma cells. J Investig Dermatol. 2012;132(7):1877–85.

    CAS  PubMed  Article  Google Scholar 

  45. Choi J-S, Choi Y-J, Shin S-Y, Li J, Kang S-W, Bae J-Y, et al. Dietary flavonoids differentially reduce oxidized LDL-induced apoptosis in human endothelial cells: role of MAPK-and JAK/STAT-signaling. J Nutr. 2008;138(6):983–90.

    CAS  PubMed  Google Scholar 

  46. Simon AR, Rai U, Fanburg BL, Cochran BH. Activation of the JAK-STAT pathway by reactive oxygen species. Am J Physiol Cell Physiol. 1998;275(6):1640–52.

    Google Scholar 

  47. Ohmori Y, Hamilton TA. Requirement for STAT1 in LPS-induced gene expression in macrophages. J Leukoc Biol. 2001;69(4):598–604.

    CAS  PubMed  Google Scholar 

Download references

Acknowledgments

This work was supported by grants from the National Nature Science Foundation of China (Nos. 81072433, 81172798, and 31071000), the Jiangsu Provincial Nature Science Foundation (No. BK2012452), and by the Priority Academic Program Development of Jiangsu Higher Education Institutions (No. 164320H106).

Conflict of interest

The authors declare that they have no conflict of interest.

Author information

Affiliations

Authors

Corresponding author

Correspondence to Zhimin Yin.

Additional information

Responsible Editor: Graham R. Wallace.

Electronic supplementary material

Below is the link to the electronic supplementary material.

Supplementary material 1 (TIFF 274 kb)

Fig.S1 Cells were pretreated with or without FOR (25, 50, 100, 150, 200 μg/ml) for 2 h. After stimulation with or without LPS (100 ng/ml) for 4 h, the levels of phospho-STAT3 (ser727) and total cellular STAT3 were determined by Western blot analysis.

Rights and permissions

Reprints and Permissions

About this article

Cite this article

Pan, X., Cao, X., Li, N. et al. Forsythin inhibits lipopolysaccharide-induced inflammation by suppressing JAK-STAT and p38 MAPK signalings and ROS production. Inflamm. Res. 63, 597–608 (2014). https://doi.org/10.1007/s00011-014-0731-7

Download citation

  • Received:

  • Revised:

  • Accepted:

  • Published:

  • Issue Date:

  • DOI: https://doi.org/10.1007/s00011-014-0731-7

Keywords

  • Forsythin
  • JAK-STATs
  • p38 MAPKs
  • ROS
  • RAW264.7 cells