Skip to main content

Rupture of right coronary sinus of Valsalva aneurysm into right ventricle

Abstract

A sinus of Valsalva aneurysm is a rare cardiac anomaly that may be congenital or acquired; a coexisting cardiac lesion might be present. If the aneurysm ruptures, it causes acute symptoms of dyspnoea. Echocardiography and cardiac magnetic resonance imaging are useful for diagnosis. The treatment of choice is surgery. We present a case of a patient with acute onset of symptoms due to a ruptured sinus of Valsalva aneurysm. (Neth Heart J 2010;18:209-11)

This is a preview of subscription content, access via your institution.

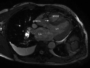
Figure 1
Figure 2
Figure 3

References

  1. Jung SH, Yun TJ, Im YM, Park JJ, Song H, Lee JW, et al. Ruptured sinus of Valsalva aneurysm: transaortic repair may cause sinus of Valsalva distortion and aortic regurgitation. J Thorac Cardiovasc Surg. 2008;135:1153-8.

    Google Scholar 

  2. Moustafa S, Mookadam F, Cooper L, Adam G, Zehr K, Stulak J, et al. Sinus of Valsalva aneurysms--47 years of a single center experience and systematic overview of published reports. Am J Cardiol. 2007;99:1159-64.

    Google Scholar 

  3. Wang ZJ, Zou CW, Li DC, Li HX, Wang AB, Yuan GD et al. Surgical repair of sinus of Valsalva aneurysm in Asian patients. Ann Thorac Surg. 2007;84:156-60.

    Google Scholar 

  4. Yan F, Huo Q, Qiao J, Murat V, Ma SF. Surgery for sinus of valsalva aneurysm: 27-year experience with 100 patients. Asian Cardiovasc Thorac Ann. 2008;16:36-5.

    Google Scholar 

  5. Reichert CL. Ruptured sinus Valsalva aneurysm, a rare cause of heart failure. Neth Heart J. 2008;16:60-1.

    Google Scholar 

  6. Weijerse A, van der Schoot MJ, Maat LP, Bruning TA, Geleijnse ML, Bogers AJ. Cardiac tamponade due to a ruptured aneurysm of the sinus of valsalva. J Card Surg. 2008;23:256-8.

    Google Scholar 

Download references

Author information

Affiliations

Authors

Corresponding author

Correspondence to M. C. Post.

Additional information

Department of Cardiology, St Antonius Hospital, Nieuwegein, the Netherlands

Department of Cardiothoracic Surgery, St Antonius Hospital, Nieuwegein, the Netherlands

Rights and permissions

Reprints and Permissions

About this article

Cite this article

Post, M.C., Braam, R.L., Groenemeijer, B.E. et al. Rupture of right coronary sinus of Valsalva aneurysm into right ventricle. NHJL 18, 209–211 (2010). https://doi.org/10.1007/BF03091763

Download citation

  • Issue Date:

  • DOI: https://doi.org/10.1007/BF03091763

  • Aortic Aneurysm
  • Aortic Rupture
  • Echocardiography
  • Magnetic Resonance Imaging
  • Sinus of Valsalva
  • Case Report