Skip to main content

Percutaneous closure of an adult patent ductus arteriosus

Abstract

A 23-year-old asymptomatic male was referred to our outpatient clinic because of an incidentally discovered grade III continuous machinery murmur at the third intercostal space on the left sternal edge. The echocardiography showed the presence of a patent ductus arteriosus (PDA).

This is a preview of subscription content, access via your institution.

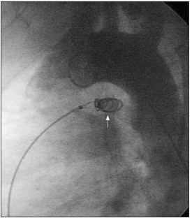
Figure 1.
Figure 2.

References

  • Campbell M. Natural history of persistent ductus arteriosus. Br Heart J 1968;30:4.

    Google Scholar 

  • Mullins CE. Patent ductus arteriosus. In: The Science and practice of pediatric cardiology, Garson A, Bricker JT, Mcnamara DG (Eds), Lea Febiger, Philadelphia 1990, p 1055.

  • Shim D, Fedderly RT, Beekman RH 3rd, et al. Follow-up of coil occlusion of patent ductus arteriosus. J Am Coll Cardiol 1996;28: 207.

    Google Scholar 

  • Magee AG, Huggon IC, Seed PT, Qureshi SA. Transcatheter coil occlusion of the arterial duct. Results of the European Registry. Eur Heart J 2001;22:1817.

    Google Scholar 

Download references

Author information

Affiliations

Authors

Corresponding author

Correspondence to H. M. M. Al. Hashimi.

Additional information

Department of Cardiology, Slotervaart Hospital, Amsterdam, the Netherlands

Department of Cardiology, Radboud University Medical Centre, Nijmegen, the Netherlands

Department of Cardiology, Radboud University Medical Centre, Nijmegen, the Netherlands

H.M.M. Al Hashimi Department of Cardiology, Slotervaart Hospital, P.O. Box 90440, 1006 BK Amsterdam, the Netherlands

Rights and permissions

Reprints and Permissions

About this article

Cite this article

Hashimi, H.M.M.A., Wardeh, A.J. & Verheugt, F.W.A. Percutaneous closure of an adult patent ductus arteriosus. NHJL 15, 196–197 (2007). https://doi.org/10.1007/BF03085980

Download citation

  • Issue Date:

  • DOI: https://doi.org/10.1007/BF03085980